NIỀNG RĂNG BẰNG NHỰA LÀ GÌ, HIỆU QUẢ THẾ NÀO VÀ GIÁ BAO NHIÊU?

Quản trị viên
23/08/2024

Niềng răng bằng nhựa là phương pháp chỉnh nha tiên tiến nhất hiện nay

 

1. Niềng răng bằng nhựa là gì?

Niềng răng nhựa còn được gọi bởi nhiều cái tên khác như niềng răng không mắc cài, niềng răng vô hình, khay niềng trong suốt… Bởi đúng như tên gọi, đây là phương pháp niềng răng mới, không còn sử dụng hệ thống mắc cài và dây cung mà thay vào đó là bộ khay được làm bằng nhựa dẻo trong suốt, có tính năng đàn hồi tác động lực lên răng, đưa răng di chuyển từ từ đến vị trí đều đặn trên cung hàm.

Khay nhựa niềng răng có màu trong suốt

 

2. Niềng răng bằng nhựa hiệu quả như thế nào?

Để biết nẹp răng nhựa hiệu quả như thế nào, trước hết chúng ta cần tìm hiểu về những ưu nhược điểm của phương pháp chỉnh nha này.

    >>> HÓT: Khuyến mại NIỀNG RĂNG lớn nhất – chi tiết vui lòng CLICK TẠI ĐÂY

Ưu điểm của phương pháp niềng răng bằng nhựa

Điểm nổi trội đầu tiên phải kể đến của phương pháp niềng răng nhựa là tính thẩm mỹ hoàn hảo. Khay niềng được làm bằng nhựa trong suốt, thiết kế mỏng và ôm sát lấy các mặt răng nên khi đeo lên răng hoàn toàn không bị người đối diện nhìn thấy, giúp bạn tự tin giao tiếp trong suốt quá trình chỉnh nha. Vì thế nẹp răng nhựa được nhiều người ưa chuộng, nhất là những người đề cao thẩm mỹ, công việc thường xuyên giao tiếp.

Niềng răng nhựa mang tính thẩm mỹ cao hơn rất nhiều so với niềng răng mắc cài

Ngoài ra, niềng răng bằng nhựa còn mang những ưu điểm nổi trội sau:

+ Dễ dàng tháo lắp nên việc vệ sinh sẽ dễ dàng, nhanh chóng và sạch sẽ hơn nhiều so với các phương pháp niềng răng mắc cài. Nhờ vậy các bệnh lý thường gặp sau niềng răng như sâu răng, viêm lợi, răng xỉn màu không còn đáng lo ngại. Việc tháo lắp dễ dàng cũng giúp bệnh nhân ăn uống thoải mái hơn, không phải kiêng những món mình yêu thích.

Khay niềng nhựa dễ dàng vệ sinh sạch sẽ

+ Đảm bảo an toàn tuyệt đối: Các khay niềng được làm bằng chất liệu nhựa đã được kiểm nghiệm là lành tính, thân thiện với sức khỏe và không gây phản ứng trong môi trường khoang miệng. Hơn nữa, việc sử dụng khay niềng sẽ không còn lo lắng bung buột mắc cài, gây tổn thương môi, má và các mô mềm như niềng răng mắc cài nữa.

+ Cho hiệu quả thẩm mỹ cao: Khay niềng bằng nhựa mà nhất là khay Invisalign được chế tác bởi công nghệ cao tại trung tâm chế tác Invisalign Hoa Kỳ, dưới sự theo dõi của các kỹ sư hàng đầu nên đảm bảo độ chính xác và tương thích cao với khung hàm. Mỗi bệnh nhân sẽ có bộ khay khác nhau, tùy vào mức độ sai lệch, càng nặng càng sử dụng nhiều khay niềng.

+ Phù hợp cho người bận rộn hoặc ở xa trung tâm nha khoa: Với phương pháp niềng răng nhựa, bệnh nhân có thể tự thay khay tại nhà 2 tuần 1 lần và cứ 2 tháng mới phải tới phòng khám để kiểm tra.

Nhược điểm của phương pháp niềng răng bằng nhựa

So với ưu điểm thì nhược điểm của phương pháp nẹp răng nhựa không đáng kể. Nhược điểm lớn nhất là chi phí nhưng điều này là hợp lý vì tính thẩm mỹ tuyệt đối. Ngoài ra có một vài nhược điểm nhỏ như khay nhựa dễ dàng tháo lắp nên có thể sẽ bị thất lạc hoặc nếu không đảm bảo đeo đủ 22h/ngày thì không đạt hiệu quả.

Vì vậy khi thực hiện niềng răng bằng nhựa, bạn hoàn toàn có thể yên tâm về hiệu quả thẩm mỹ của phương pháp này nếu được thực hiện tại trung tâm nha khoa uy tín.

 

3. Niềng răng bằng nhựa giá bao nhiêu?

Như đã nói, niềng răng nhựa có chi phí cao hơn nhiều so với niềng răng mắc cài thông thường, nhất là khay Invisalign. Khay Invisalign được chế tác độc quyền tại Hoa Kỳ nên có mức giá chung cho toàn thế giới. Điều này đồng nghĩa Việt Nam sẽ chịu mức giá chung với các nước phát triển.

Khay nhựa Invisalign có chi phí rất cao

Nếu không đủ điều kiện để chi trả cho phương pháp này, bạn có thể sử dụng khay Invitech. Khay này tại Việt Nam dựa trên công nghệ và dây chuyền của Đức nên sẽ có chi phí thấp hơn nhiều mà vẫn đảm bảo hiệu quả tốt.

Tình trạng sai lệch càng nặng, sử dụng số lượng khay càng nhiều thì chi phí càng cao. Mỗi trường hợp bệnh nhân sẽ sử dụng từ 20 – 45 khay cho đến khi đạt kết quả tối ưu nhất.

Dưới đây là bẳng giá niềng răng bằng nhựa tại Nha Khoa Lạc Việt, trung tâm chuyên sâu về niềng răng tại Hà Nội.

Loại niềng răng Xuất xứ Giá thành 2 hàm
Ivisalign mức độ 1 USA 62.000.000
Ivisalign mức độ 1 USA 81.000.000
Ivisalign mức độ 1 USA 115.000.000
Ivisalign mức độ 1 USA 120.000.000

Để niềng răng bằng nhựa phát huy được những ưu điểm nổi trội đồng thời đảm bảo chi phí hợp lý thì phải lựa chọn trung tâm nha khoa uy tín để thực hiện.

Hiện nay tại nha khoa Lạc Việt với đội ngũ bác sỹ trình độ chuyên môn cao, tay nghề giỏi và giàu kinh nghiệm cùng sự hỗ trợ của trang thiết bị công nghệ hiện đại đã trở thành sự lựa chọn hàng đầu về trung tâm nha khoa thực hiện nẹp răng nhựa nói riêng và nẹp răng thẩm mỹ nói chung uy tín nhất. Ngoài ra, nếu bạn đang tìm hiểu nha khoa implant thì Lạc Việt Intech là địa chỉ uy tín mà bạn có thể lựa chọn.

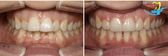
Kết quả một trường hợp nẹp răng nhựa tại nha khoa Lạc Việt.

Trên đây là giải đáp của chúng tôi về vấn đề niềng răng bằng nhựa và hiệu quả  cũng như chi phí của phương pháp này. Để được tư vấn chi tiết hơn, xin vui lòng liên hệ nha khoa Lạc Việt theo Hotline 0971.066.726. Cảm ơn bạn đã tin tưởng và quan tâm tới dịch vụ của chúng tôi!

Chia sẻ

Tin cùng chủ đề

Đăng ký tư vấn

Vui lòng để lại thông tin và nhu cầu của Quý Khách để được tư vấn

Đối tác của Nha khoa lạc việt intech

Osstem Implant
Osstem Implant
test
test1
Đặt lịch hẹn Messenger Liên hệ Zalo Địa chỉ