Nguyên nhân niềng răng bị tụt lợi là gì? Khắc phục thế nào?

Quản trị viên
23/08/2024

Tụt lợi là gì? Dấu hiệu nhận biết?

Tụt lợi hay tụt nướu là bệnh lý thường gặp. Đây là hiện tượng chân răng lộ rõ do lợi bị di chuyển sâu vào chân răng hoặc lợi tiêu dần.

Ở giai đoạn đầu, tụt lợi thường không có dấu hiệu rõ ràng. Sau 1 thời gian, có thể dẫn đến một số những triệu chứng như:

  • Chảy máu chân răng khi đánh răng hoặc dùng chỉ tơ nha khoa
  • Nướu răng bị thu hẹp, phần thân răng dài hơn so với những còn lại.
  • Nướu có màu đỏ sẫm, sưng và gây ra những cơn đau nhẹ
  • Đau phần nướu, có thể chảy máu hoặc mủ khi dùng tay ấn vào.
  • Nướu bị thu hẹp, làm chân răng lộ ra nhiều
  • Răng lung lay khi sờ vào và có dấu hiệu yếu dần đi
  • Bị tê, buốt khi ăn do men răng bị mất hoặc ăn mòn

null

Tụt nướu là tình trạng lợi di chuyển sâu, để lộ chân răng.

Nguyên nhân khiến niềng răng bị tụt lợi?

Có 4 nguyên nhân khiến niềng răng gây tụt lợi bao gồm:

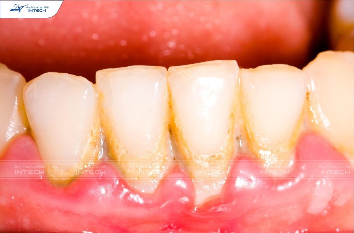
Mảng bám cao răng

Đeo mắc cài khiến việc vệ sinh răng miệng trở nên khó khăn hơn bình thường. Thức ăn thừa dắt vào kẽ răng có thể gây nên những mảng bám dư thừa và kết thành cao răng.

Cao răng là môi trường lý tưởng để vi khuẩn phát triển gây viêm nướu. Bệnh viêm nướu nếu không điều trị kịp thời có thể dẫn đến tụt lợi.

null

Cao răng là nguyên nhân gây tình trạng tụt lợi.

Lực kéo từ khí cụ chỉnh nha không phù hợp

Kỹ thuật niềng không đảm bảo cũng là nguyên nhân gây tụt nướu. Việc tác động lực quá mạnh hoặc đột ngột sẽ khiến chân răng bị lung lay, răng chết tủy, ảnh hưởng đến sức khỏe răng miệng cũng như hiệu quả niềng răng.

Trường hợp này xảy ra tình trạng này chủ yếu là do khách hàng lựa chọn địa chỉ nha khoa kém chất lượng, bác sĩ không có chuyên môn.

Đánh răng sai cách

Đánh răng mạnh bằng bàn chải cứng, chà xát chân răng có thể làm tổn thương nướu, Khi nướu bị tổn thương sẽ có xu hướng chảy máu và tiêu giảm theo thời gian.

Mắc các bệnh lý răng miệng

Bác sĩ khuyến cáo, nếu bạn mắc các bệnh lý răng miệng như viêm nha chu, viêm chân răng… Cần chữa trị dứt điểm trước khi niềng răng để tránh tình trạng tụt nướu hay niềng không hiệu quả.

null

Cần xử lý các bệnh lý răng miệng để tránh tụt lợi khi niềng răng.

Niềng răng bị tụt lợi nguy hiểm không? Ảnh hưởng kết quả niềng răng?

Khi tụt nướu, tức là bạn sẽ bị lộ một phần chân răng dài, phần này có nhiều khả năng cao gây sâu răng do lớp men bên dưới yếu (mật độ khoảng chỉ khoảng 40%). Lớp men này được xem như là lớp giáp sắt bảo vệ răng. Khi ít hoặc không còn lớp men này, răng bị mỏng, phần ngà lộ ra. Việc tiếp xúc với môi trường bên ngoài hoặc ăn đồ ăn quá nóng hoặc quá lạnh rất dễ gây cảm giác khó chịu, ê buốt.

Ngoài ra, khi chân răng lộ sẽ tạo ra khe hở lớn, khiến thức ăn giắt lại. Việc không vệ sinh sạch sẽ tạo cơ hội cho vi khuẩn phát triển mạnh, gây nên các bệnh lý như viêm nha chu, lâu dần có thể gây tiêu xương hoặc thậm chí là mất răng.

Tụt lợi còn khiến răng dài hơn, gây mất đối xứng với các răng xung quanh. Điều này cũng ít nhiều ảnh hưởng đến tính thẩm mỹ, khiến bạn thiếu tự ti khi cười hay trong giao tiếp hàng ngày.

null

Tụt nướu khi niềng ảnh hưởng đến thẩm mỹ.

Đặc biệt, tụt lợi ảnh hưởng khá nhiều đến quá trình niềng răng. Do tác động lực để răng di chuyển về đúng vị trí, do vậy đòi hỏi răng cần khỏe mạnh, được chăm sóc tốt. Răng yếu có thể dẫn đến hiệu quả niềng không cao hoặc bị kéo dài.

Cách khắc phục niềng răng bị tụt lợi

Dưới đây là cách khắc phục khi niềng răng bị tụt lợi:

Đối với trường hợp nhẹ:

Nếu tụt nướu nhẹ, bạn chỉ cần thay đổi thói quen đánh răng, đảm bảo nhẹ nhàng đúng cách. Bên cạnh đó, hãy sử dụng bàn chải lông mềm kết hợp máy tăm nước cho người niềng răng để vệ sinh.

Ngoài ra, hãy lấy cao răng định kỳ hoặc khi bạn thấy vôi bám nhiều vào chân răng. Nếu xuất hiện tình trạng ê buốt, có thể sử dụng các loại kem đánh răng chống ê hay ngậm gel flour theo chỉ định của bác sĩ.

null

Vệ sinh đúng cách để tránh hạn chế tụt lợi khi niềng

Đối với trường hợp nặng:

Trường hợp tụt nướu nặng, có thể bác sĩ sẽ chỉ định phẫu thuật ghép mô nướu nhằm phục hồi phần lợi phủ chân răng trước đó.

Để thực hiện, bác sĩ sẽ phải nạo sạch túi nha, tránh vi khuẩn trú ngụ. Tiếp theo, sẽ khâu mô lợi vào vị trí gốc răng để kéo lợi lại. Ngoài ra, sẽ sử dụng vạt niêm mạc ở vùng răng bên cạnh.

Tùy vào trường hợp cụ thể, bác sĩ sẽ chỉ định nên ghép lợi tự thân hay mô sinh học từ động vật hay lấy mô từ người khác. Sau khi thực hiện ghép lợi, bệnh nhân sẽ mất khoảng 6 tuần để lành thường và 1 năm để lợi giống như ban đầu.

null

Ghép mô nướu khi lợi tụt quá sâu

Nên làm gì để ngăn ngừa niềng răng bị tụt lợi?

Nghiên cứu mới nhất trên 251 người chỉnh nha, kết quả cho thấy số người tụt lợi rất ít, trung bình chỉ tụt nướu khoảng 0,05mm. Do vậy, bạn cũng không nên quá lo lắng niềng răng có gây tụt nướu không?

Tuy nhiên, để đảm bảo niềng răng đạt hiệu quả cao, tránh tụt nướu, hãy duy trì thói quen chăm sóc răng miệng khoa học như:  

+ Trong giai đoạn niềng răng, hãy tuân thủ lịch chỉnh nha cũng bác sĩ.

+ Theo dõi sức khỏe răng miệng hàng ngày. Nếu xuất hiện tình trạng sưng tấy, ửng đỏ hoặc đau nhức, cần đến gặp nha sĩ để được xử lý, khắc phục.

+ Sử dụng bàn chải lông mềm hoặc bàn chải dành riêng cho người niềng răng.

+ Bên cạnh đó, sáng và tối trước khi đi ngủ, hãy dùng thêm nước súc miệng để làm sạch vi khuẩn, giữ hơi thở luôn thơm tho.

+ Hạn chế ăn những đồ ăn chứa nhiều đường, nước có gas, thuốc lá… bởi có thể hình thành cao răng hoặc gây sâu răng.

+ La chọn địa chỉ niềng răng uy tín, có đội ngũ bác sĩ niềng răng giỏi để ngăn ngừa nguy cơ niềng răng sai cách gây tụt lợi.

null

Sử dụng thêm tăm nước để vệ sinh răng miệng khi niềng răng.

Niềng răng bị tụt lợi có thể ảnh hưởng đến kết quả niềng răng, do vậy hãy chăm sóc răng miệng đúng cách để có được hàm răng chắc khỏe cùng nụ cười rạng rỡ. Nếu có bất kỳ những băn khoăn, thắc mắc nào về vấn đề niềng răng chỉnh nha, hoặc bạn muốn tìm hiểu công nghệ implant hãy liên hệ ngay đến Hotline 096.192.0606 để được hỗ trợ!

 
Chia sẻ

Tin cùng chủ đề

Đăng ký tư vấn

Vui lòng để lại thông tin và nhu cầu của Quý Khách để được tư vấn

Đối tác của Nha khoa lạc việt intech

Osstem Implant
Osstem Implant
test
test1
Đặt lịch hẹn Messenger Liên hệ Zalo Địa chỉ