Lợi trùm khi niềng răng: Nguyên nhân, cách phòng ngừa và khắc phục

Quản trị viên
10/03/2023

Tình trạng lợi trùm khi niềng răng nguyên nhân do đâu, cách phòng ngừa và khắc phục tình trạng này như thế nào? Hãy cùng bác sĩ nha khoa Lạc Việt chúng tôi đi tìm hiểu qua bài viết dưới đây nhé. Mời các bạn tham khảo bài viết.

Lợi trùm là gì? 

Lợi trùm là phần lợi bao phủ lên bề mặt răng.Vì vậy, lợi trùm thường xuyên bị tác động bởi thức ăn, nước uống hoặc tác động khi răng khôn mọc lên.

Lợi trùm rất dễ bị viêm. Khi bị viêm lợi trùm, bạn sẽ cảm thấy có cảm giác đau nhức, khó chịu. Bởi lúc này, thức ăn, mảng bám, vi khuẩn tích tụ lâu trong kẽ răng sẽ khiến lợi sưng phồng, đỏ tấy.

Biểu hiện của lợi trùm chúng ta có thể dễ dàng nhận thấy bằng mắt thường. Đó là cảm giác đau nhức, sưng đỏ xuất hiện tại vùng răng bị lợi trùm. Khi chúng chung ta ấn tay vào lợi có thể rỉ mủ và có mùi khó chịu.

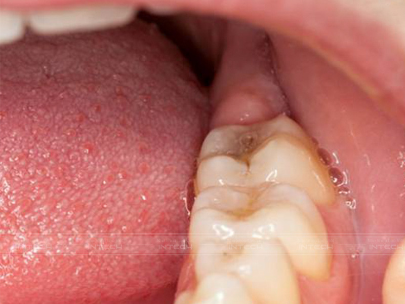
Khi bị lợi trùm, phần lợi sẽ sưng đỏ, tấy, đau nhức thậm chí khi ấn tay vào sẽ thấy rỉ mủ

Khi bị lợi trùm, phần lợi sẽ sưng đỏ, tấy, đau nhức thậm chí khi ấn tay vào sẽ thấy rỉ mủ

Tình trạng lợi trùm gây rất nhiều đau đớn và khó khăn cho người bệnh. Lúc này, việc ăn nhai, nói chuyện, thậm chí há miệng cũng sẽ gặp khó khăn. Trường hợp nghiệm trọng, người bệnh có thể sốt, sưng hạch ở cổ và nếu không được chữa trị dứt điểm, bệnh sẽ tái đi tái lại nhiều lần.

Nguyên nhân lợi trùm khi niềng răng

Nguyên nhân 1: Bác sĩ tay nghề yếu, niềng răng sai kỹ thuật

Khi bạn thực hiện niềng răng tại nha khoa không uy tín, đội ngũ bác sĩ tay nghề yếu, kém sẽ rất dễ dẫn đến tình trạng bị lợi trùm. Việc các bác sĩ sử dụng khí cụ chỉnh nha không đạt tiêu chuẩn, gắn mắc cài sai vị trí hay siết răng quá mạnh... đều có thể dẫn đến tình trạng viêm lợi, lợi trùm gây đau nhức, khó chịu cho bệnh nhân.

Vì vậy, bạn hãy lựa chọn những nha khoa uy tín, có đội ngũ bác sĩ tay nghề cao thực hiện niềng răng để tránh những biến chứng nguy hiểm trong quá trình chỉnh nha.

Nguyên nhân 2: Vệ sinh răng miệng không đúng cách

Khi thực hiện niềng răng, bạn sẽ phải đeo thêm một hệ thống khí cụ chỉnh nha trong miệng. Điều này khiến cho sau khi ăn sẽ giắt vào mắc cài, dây thun, dây cung niềng răng rất khó vệ sinh. Nếu bạn vệ sinh răng miệng không đúng cách, lâu ngày sẽ tích tụ mảng bám, vi khuẩn. Những vi khuẩn này tấn công vào mô nướu sẽ rất dễ gây ra tình trạng lợi trùm.

Nguyên nhân 3: Thiếu hụt dinh dưỡng

Việc đeo một hệ thống khí cụ chỉnh nha trong miệng khi niềng răng khiến bạn gặp khó khăn khi ăn uống, thậm chí bạn kén ăn, chán ăn. Bên cạnh đó, vì sợ rơi mắc cài nên bạn cũng sẽ bạn hạn chế ăn các loại thực phẩm cứng, dai,... từ đó khiến cơ thể bạn thiếu hụt một số dưỡng chất quan trọng như vitamin C, Canxi. Từ đó làm cho răng và nướu yếu hơn bình thường, tạo điều kiện cho các vi khuẩn tấn công gây ra tình trạng viêm nướu, viêm lợi.

Nguyên nhân 4: Răng khôn mọc lệch

Răng khôn mọc lệch là tình trạng răng khôn mọc xiên ngang hoặc mọc chéo đâm vào lợi mà nếu không được xử lý kịp thời, nó sẽ gây viêm, sưng đau ở vùng lợi.

Phần lợi trùm tại vị trí răng khôn sẽ dễ bị viêm nhiễm do nằm ở vị trí dễ giắt thức ăn gây tích tụ vi khuẩn

Phần lợi trùm tại vị trí răng khôn sẽ dễ bị viêm nhiễm do nằm ở vị trí dễ giắt thức ăn gây tích tụ vi khuẩn

Để đảm bảo không để tình trạng răng khôn mọc lệch gây lợi trùm trong quá trình niềng răng, tại nha khoa Lạc Việt Intech, khi thăm khám và lên kế hoạch điều trị, các bác sĩ sẽ tiến hành cho bệnh nhân chụp phim để xem răng khôn có mọc đúng vị trí hay không? Nếu như phát hiện răng khôn mọc lệch, các bác sĩ sẽ chỉ định cho bệnh nhân nhổ răng khôn để tránh những biến chứng khi đang thực hiện niềng răng.

Hiện nay tại nha khoa Lạc Việt Intech đang thực hiện nhổ răng khôn bằng sóng siêu âm cao tần Piezotome hoàn toàn không đau nên các bạn hoàn toàn có thể yên tâm điều trị.

Cách khắc phục niềng răng bị lợi trùm

Niềng răng bị lợi trùm không quá nguy hiểm, nhưng nó gây nhiều đau đớn, khó chịu, ảnh hưởng đến sức khỏe răng miệng và cuộc sống hàng ngày của người bệnh. Vì vậy bạn cần phát hiện sớm để khắc phục kịp thời tình trạng lợi trùm để vừa ngăn ngừa vi khuẩn lây lan sang vùng lợi khác, vừa giúp quá trình niềng răng không bị ảnh hưởng. 

Khi có các dấu hiệu niềng răng bị lợi trùm, bạn cần liên hệ ngay cho bác sĩ nha khoa để thăm khám và bác sĩ sẽ đưa ra phương hướng điều trị tùy thuộc vào tình trạng viêm lợi của bạn.

Trường hợp lợi trùm nhẹ:

Nếu như tình trạng lợi trùm của bạn không sưng hay viêm nặng thì bạn có thể  xử lý tại nhà. Bạn nên vệ sinh răng miệng sạch sẽ và súc miệng bằng nước muối loãng để loại bỏ vi khuẩn, khiến lợi dễ chịu hơn. Bạn cũng có thể sử dụng các loại thuốc giảm viêm được các bác sĩ kê đơn để điều trị dứt điểm tình trạng này.  

Trường hợp lợi trùm nặng:

Trong trường hợp viêm lợi trùm của bạn đã nặng, thì bác sĩ sẽ tiến hành thăm khám và đưa các phương án điều trị như sau:

  • Nếu răng khôn của bạn mọc thẳng, không ảnh hưởng đến những răng bên cạnh thì bác sĩ sẽ thực hiện cắt lợi trùm để loại bỏ phần lợi bị sưng, viêm.
  • Nếu răng khôn của bạn mọc lệch, mọc chéo gây ảnh hưởng đến các răng khác, gây viêm và sưng lợi thì việc cắt lợi trùm sẽ không có hiệu quả.  Lúc này, các bác sĩ sẽ chỉ định nhổ răng khôn để giải quyết triệt để vấn đề. 

Làm thế nào để phòng ngừa niềng răng bị lợi trùm?

Để không xảy ra tình trạng lợi trùm khi niềng răng, bác sĩ nha khoa Lạc Việt Intech khuyên bạn cần lưu ý những điều sau:

Lựa chọn nha khoa uy tín để thực hiện niềng răng

Trước khi niềng răng, bạn nên lựa chọn một nha khoa uy tín, có đội ngũ bác sĩ tay nghề cao, giàu kinh nghiệm để thực hiện điều trị cho bạn.

  • Tại nha khoa Lạc Việt Intech, trước khi thực hiện gắn mắc cài, bệnh nhân đều được vệ sinh răng miệng và điều trị các bệnh lý răng miệng (nếu có) để đảm bảo sức khỏe răng miệng của bạn trong suốt quá trình niềng răng.
  • Bên cạnh đó, trong quá trình thăm khám trước khi niềng, các bác sĩ cũng sẽ tiến hành chụp phim X-quang cho bạn. Nếu phát hiện răng khôn mọc lệch, bạ cũng sẽ được chỉ định nhổ răng khôn bằng sóng siêu âm cao tần Piezotome không đau. Nhờ vậy, bạn sẽ không gặp phải tình trạng viêm lợi trùm do răng khôn mọc lệch trong quá trình niềng răng.
  • Nhờ có kinh nghiệm lâm sàng phong phú từ các case khó, các bác sĩ Lạc Việt Intech cũng sẽ lên cho bạn một kế hoạch điều trị hoàn hảo, sử dụng lực di chuyển răng hợp lý để vừa đảm bảo được hiệu quả chỉnh nha, vừa bảo vệ được sức khỏe răng miệng cho bạn.

Vệ sinh răng miệng sạch sẽ

Sau khi gắn mắc cài, bạn nên vệ sinh răng ít nhất 3 lần/ngày bằng bàn chải mềm, máy tăm nước hoặc sử dụng nước súc miệng chuyên biệt cho niềng răng. Đặc biệt những vùng gắn mắc cài bạn cần chải nhẹ nhàng và kĩ lưỡng để loại bỏ hoàn toàn thức ăn và mảng bám, tránh để vi khuẩn tích tụ vi khuẩn tấn công gây viêm lợi.

Bổ sung đa dạng các nhóm thực phẩm

Bổ sung đa dạng các loại thực phẩm giúp cơ thể được bổ sung đủ vitamin C, Canxi để răng và nướu khỏe mạnh

Bổ sung đa dạng các loại thực phẩm giúp cơ thể được bổ sung đủ vitamin C, Canxi để răng và nướu khỏe mạnh

Mặc dù thời gian đầu niềng răng bạn sẽ cảm thấy chán ăn, hay phải kiêng một số loại thực phẩm,... nhưng ngay sau khi quen với mắc cài, bạn hãy làm quen lại với chế độ ăn bình thường như khi chưa niềng răng.

Việc ăn uống đa dạng và đầy đủ các nhóm thực phẩm, đặc biệt là các nhóm thực phẩm giàu vitamin C, Canxi,... sẽ khiến cơ thể bạn đảm bảo dinh dưỡng, nhờ đó răng, nướu cũng sẽ khoẻ mạnh hơn. Ngoài ra, nếu cô chú/anh chị chưa hiểu rõ cấy ghép răng implant là gì thì hãy liên hệ Lạc Việt Intech nhé để được tư vấn chi tiết.

Hy vọng bài viết trên đã giải đáp cho bạn những thắc mắc về vấn đề lợi trùm khi niềng răng. Nếu bạn còn có những câu hỏi về niềng răng cần được giải đáp, liên hệ ngay đến số hotline 096.192.0606 để được các bác sĩ tư vấn kịp thời và hữu ích nhé!

Chia sẻ

Tin cùng chủ đề

Đăng ký tư vấn

Vui lòng để lại thông tin và nhu cầu của Quý Khách để được tư vấn

Đối tác của Nha khoa lạc việt intech

Osstem Implant
Osstem Implant
test
test1
Đặt lịch hẹn Messenger Liên hệ Zalo Địa chỉ