Hô hàm dưới hay còn gọi là răng móm (khớp cắn ngược), là tình trạng răng hàm dưới phủ ra phía ngoài răng hàm trên khi ở trạng thái hai hàm răng cắn chặt. Tình trạng này gây ra các vấn đề về cả thẩm mỹ và chức năng của hàm răng.
Giống như nhiều dạng sai lệch khớp cắn khác, hô hàm dưới của có những dấu hiệu nhận biết riêng:
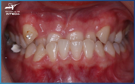
Hô hàm dưới
Đây là nguyên nhân chủ yếu khiến hàm dưới nhô ra. Nói dễ hiểu hơn, bạn sẽ bị di truyền nếu như ông bà, bố mẹ của bạn gặp tình trạng này.
Ở trẻ nhỏ thường xuất hiện những thói quen xấu như: mút tay, ngậm ti giả, lưỡi đặt vị trí không chính xác,... Là những nguyên nhân gây nên hiện tượng răng vẩu hàm dưới. Việc hình thành thói quen xấu trong một thời gian dài sẽ ảnh hưởng đến cấu trúc xương hàm và hướng mọc của răng và khiến khớp cắn của hai hàm bị sai lệch.
Mất răng có thể do bẩm sinh hoặc tác động mạnh của ngoại lực khi không được phục hồi sớm cũng là yếu tố gây nên tình trạng hàm dưới phát triển quá mức.
Khi đó, tình trạng tiêu xương hàm tại vị trí thiếu răng sẽ khiến các răng có xu hướng xô vào nhau kèm theo hiện tượng tụt lợi. Đặc biệt, nếu mất răng ở hàm trên, diện tích hàm sẽ bị thu hẹp lại gây ra móm do xương.
Khi mất nhiều răng thì tình trạng móm càng được thể hiện rõ.
Tùy vào tình trạng hô hàm dưới do răng, do xương hay do cả răng và xương mà các bác sĩ sẽ đưa ra phương pháp điều trị phù hợp nhất. Cụ thể:
Răng vẩu hàm dưới do xương thì chỉ có một giải pháp duy nhất để khắc phục, đó là phẫu thuật. Phẫu thuật hàm móm được tiến hành như sau:
Bác sĩ sẽ rạch một đường vào lợi ngay sau xương hàm ở 2 bên hàm dưới. Sau đó, cắt một phần của xương hàm dưới và di chuyển về lùi về phía sau để khớp cắn hai hàm cân đối. Kế tiếp, bác sĩ sẽ cố định xương hàm ở vị trí chuẩn bằng cách đặt đĩa hoặc vít. Cuối cùng, bác sĩ sẽ khâu kín vết thương.
Sau khi hoàn thành quá trình điều trị, bạn nên tái khám định kỳ theo đúng lịch hẹn của bác sĩ. Điều này giúp bác sĩ đánh giá được chính xác tình trạng hai hàm sau phẫu thuật và có những biện pháp xử lý kịp thời nếu cần thiết.
Phẫu thuật răng hô hàm dưới là phương pháp mang lại hiệu quả nhanh chóng, chỉ sau một lần điều trị bạn đã khắc phục hoàn toàn tình trạng trên và sở hữu gương mặt cân đối, hài hòa. Tuy nhiên, bạn cũng nên nhớ lựa chọn thật kỹ địa chỉ nha khoa để tránh gặp những rủi ro trong quá trình phẫu thuật.
Đây là phương pháp khắc phục tình trạng vẩu hàm dưới được khá nhiều người ưu tiên lựa chọn.
Công nghệ sử dụng một lớp sử mỏng khoảng 0.2 mm - 0.5 mm dán cố định bằng keo dán chuyên dụng vào bên ngoài bề mặt sau răng khi đã được mài theo tỷ lệ. Sau khi thực hiện, khuôn răng hai hàm cân đối hơn, chuẩn khớp cắn và cải thiện khuyết điểm hiệu quả hơn.
Tuy nhiên, dán sứ chỉ phù hợp với những tình trạng hô hàm dưới do răng ở mức độ nhẹ. Phương pháp này chỉ giúp thay đổi hình thể và màu sắc răng chứ không thể khiến cả khối thân chân răng dịch chuyển đến vị trí đúng trên cung hàm. Do đó, nếu bạn gặp tình trạng phức tạp thì cần phải xem xét, lựa chọn phương pháp phù hợp hơn.
Niềng răng hàm dưới là phương pháp chỉnh nha sử dụng dây cung, mắc cài, dây thun… Để tạo lực tác động giúp đưa răng về vị trí mong muốn. Không chỉ cải thiện răng thưa, khấp khểnh… Phương pháp này còn cải thiện hô hàm dưới do răng hiệu quả, bao gồm case đơn giản hay phức tạp.
Niềng răng là giải pháp hiệu quả cải thiện hô hàm dưới
Hiện nay, có rất nhiều loại niềng răng khác nhau như: Niềng răng mắc cài kim loại, mắc cài sứ, niềng răng mặt trong hay niềng răng trong suốt. Tùy vào tình trạng khớp cắn, nhu cầu, tài chính mà có thể chọn loại phù hợp.
Nha khoa Lạc Việt Intech hiện đang áp dụng công nghệ X - Matrix độc quyền. Nhờ tiên phong trong việc đưa trí tuệ nhân tạo mang đến kế hoạch điều trị cá nhân hóa theo từng bệnh nhân giúp việc niềng răng đạt kết quả điều trị hoàn hảo.
Công nghệ X - Matrix là sự phức hợp của bộ 3 công nghệ: SmileStream, Autolign và Webceph.
Hiện nay, trên thị trường có rất nhiều hệ thống mắc cài khác nhau với những thông số kỹ thuật rất khác nhau, được thiết kế để phù hợp với từng sai lệch khớp cắn cụ thể.
Smilestream với tính năng RBT cho biết được vị trí của răng trong xương khi gắn các loại mắc cài khác nhau, giúp bác sĩ dễ dàng hơn trong việc lựa chọn hệ thống mắc cài, độ torque cá nhân hoá phù hợp nhất với tình trạng của bệnh nhân.
Công nghệ định vị dẫn đường trong thuật toán giúp chọn vị trí với độ bám hoàn hảo của mắc cài trên bề mặt răng, hạn chế bong mắc cài.
Bên cạnh đó, với công nghệ Webceph dựa trên phân tích phim Cephalo và hình ảnh đa chiều, đa lớp cắt giúp tái cấu trúc tầng mặt dưới hỗ trợ bác sĩ đánh giá phương pháp điều trị. Đồng thời, tính toán chính xác sự ra vào môi trên dưới trùng với đường thẩm mỹ E và điều chỉnh răng và xương hàm tạo gương mặt V Line mà không cần phẫu thuật.
Ngoài ra, Auto lign không chỉ mô phỏng trước kết quả 3D sau niềng mà còn mang lại khả năng định dạng cung răng và lựa chọn dây cung cá nhân hoá cho từng bệnh nhân cụ thể.
Chính vì vậy, X - Matrix mang đến hiệu quả điều trị X2 so với công nghệ truyền thống. Ngoài ra, nếu bạn đang muốn trồng răng implant hãy tới ngay Lạc Việt Intech nhé!
Hy vọng bài viết trên đã cung cấp đủ thông tin để giúp bạn trả lời các thắc mắc về vấn đề hô hàm dưới và các cách điều trị hiệu quả. Nếu bạn còn bất kỳ thắc mắc gì, hãy liên hệ với HOTLINE 19006421 của Nha khoa Lạc Việt Intech để được giải đáp nhé.
Tin cùng chủ đề
Câu hỏi liên quan
Tin tức nổi bật
Đăng ký tư vấn
Đối tác của Nha khoa lạc việt intech