Giải mã ý nghĩa sử dụng thun liên hàm trong niềng răng

BTV
21/09/2024

Thun liên hàm là gì?

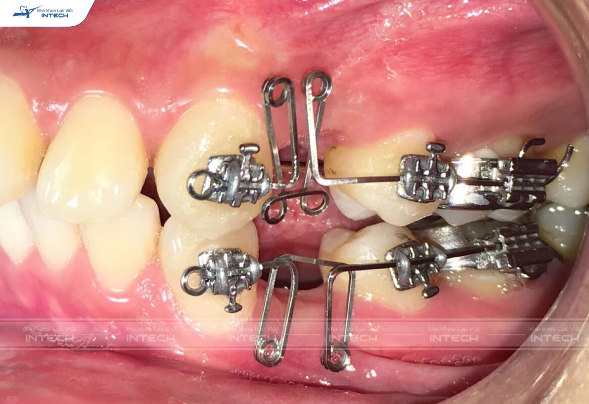
Thun liên hàm là một khí cụ được sử dụng rất phổ biến trong niềng răng cài sứ, kim loại, mặt trong. Đây là những vòng dây cao su có độ đàn hồi cao với độ dày và bán kính khác nhau, mắc trong một cung hàm hoặc từ hàm trên xuống hàm dưới.

Vì sao cần sử dụng thun liên hàm trong niềng răng?

Thun liên hàm đóng vai trò rất quan trọng trong việc kéo lui nhóm răng và điều chỉnh khớp cắn hai hàm, đây chính là lí do vì sao bạn cần sử dụng loại thun này trong chỉnh nha.

Sau đây là những tác dụng của thun liên hàm:

  • Kéo lui cung răng 2 hàm

Nhiều người lầm tưởng rằng, chun liên hàm chỉ có tác dụng điều chỉnh cung răng hai hàm bằng cách kéo từ hàm trên xuống hàm dưới. Tuy nhiên, loại chun này còn được sử dụng để kéo lui nhóm răng cửa. Tác dụng này của chun phát huy trong giai đoạn đóng khoảng để giảm hô hai hàm, kéo từ hook hoặc loop đến vis hoặc mắc cài răng số 7 trong kĩ thuật dây thẳng.


Kéo lui cung răng 2 hàm cần sử dụng thun liên hàm
  • Điều chỉnh cắn chéo/ cắn kéo

Cắn chéo là tình trạng răng hàm dưới nằm ở phía ngoài so với răng tương ứng hàm trên dẫn đến sang chấn khớp cắn. Cắn kéo là trường hợp răng sau hàm dưới không lồng múi được vào rãnh giữa của răng sau hàm trên và trục răng sau hàm dưới bị đổ về phía lưỡi. Chun liên hàm cùng với button được gắn ở mặt trong của các răng có thể giải quyết được sai khớp cắn này.


Sử dụng thun liên hàm để điều chỉnh giai đoạn cắn chéo/ cắn kéo
  • Điều chỉnh khớp cắn hạng II

Sai khớp cắn hạng II là tình trạng toàn bộ răng hàm trên nằm ở phía trước răng hàm dưới hoặc hàm dưới quá lui sau so với tương quan chuẩn. Những trường hợp này, bệnh nhân thường có độ cắn chìa tăng, mặt ngoài nhô nhiều. Thun liên hàm hạng II có khả năng di xa hàm trên ra sau và kéo hàm dưới ra trước. Kéo thun hạng II đặc biệt có tác dụng với những bệnh nhân đang tăng trưởng, để kích thích sự phát triển ra trước của những trường hợp lùi hàm dưới.


Giai đoạn điều chỉnh khớp cắn hạng II cần sử dụng thun liên hàm
  • Điều chỉnh khớp cắn hạng III

Sai khớp cắn hạng III khi hàm trên ở phía sau so với hàm dưới hoặc ngược lại. Tình trạng này xảy ra có thể do răng, do động học xương hàm dưới (trượt chức năng ra trước) hoặc do sai lệch xương (quá phát xương hàm dưới hoặc thiểu sản xương hàm trên). Thun hạng III đặc biệt có tác dụng với tình trạng trượt chức năng ra trước, sau khi giải điểm vướng ở răng sau, bác sĩ niềng răng thường chỉ định loại chun này. Bên cạnh đó, những trường hợp sai lệch nhẹ do xương cũng được điều trị bù trừ bằng thun hạng III.


Sử dụng thun liên hàm giai đoạn điều chỉnh khớp cắn hạng III

Cách kéo thun liên hàm

Để thun liên hàm đạt được hiệu quả tối đa, bạn nên tuân theo những chỉ dẫn sau đây:

  • Ghi nhớ chính xác vị trí kéo thun (soi gương trước khi thay thun mới hoặc liên hệ ngay với bác sĩ để được hướng dẫn chính xác)
  • Thay thun đều theo đúng chỉ định ( 1 ngày thay 1 thun hoặc 2 ngày thay 1 thun)
  • Không tự ý tháo hoặc đeo thêm thun

Hi vọng rằng bài viết trên đây đã giúp quý khách hàng hiểu rõ hơn về thun liên hàm và các tác dụng của chúng. Nếu có thêm thắc mắc nào, hoặc bạn đang muốn trồng cấy ghép răng implant thì các bạn hãy để lại bình luận dưới bài viết này hoặc liên hệ trực tiếp tới số Hotline của Nha khoa Lạc Việt Intech để được giải đáp.

Chia sẻ

Tin cùng chủ đề

Đăng ký tư vấn

Vui lòng để lại thông tin và nhu cầu của Quý Khách để được tư vấn

Đối tác của Nha khoa lạc việt intech

Osstem Implant
Osstem Implant
test
test1
Đặt lịch hẹn Messenger Liên hệ Zalo Địa chỉ