Dũa kẻ răng khi chỉnh nha là gì? Thời điểm nào là phù hợp?

Quản trị viên
23/08/2024

Dũa kẽ răng khi chỉnh nha là gì?

Dũa kẽ hay xẻ kẽ (interproximal reduction – IPR hoặc stripping) là một thủ thuật sử dụng mũi khoan mịn đầu nhỏ, lá mài hoặc tay khoan chậm và dụng mài chuyên dụng để làm nhỏ kích thước theo chiều ngang của răng.

null

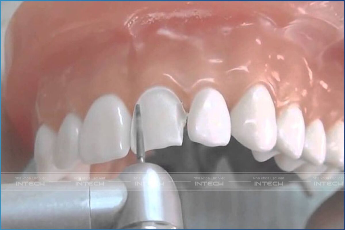
Hình ảnh dũa kẻ răng trong khi chỉnh nha bác sĩ trực tiếp thực hiện

Với thủ thuật này, bác sĩ niềng răng giỏi ở Hà Nội sẽ lấy đi một phần men răng (dao động từ 0.1 đến 0.5mm). Lượng men răng này rất nhỏ và sẽ được lấy đi từ từ qua từng buổi hẹn khác nhau. Vì vậy, bệnh nhân hầu như sẽ không có cảm giác ê buốt hay tăng mức độ nhạy cảm khi sử dụng những loại đồ ăn quá nóng/ lạnh.

Trong một số trường hợp hiếm gặp, bệnh nhân quá nhạy cảm, bác sĩ sẽ chỉ định mỗi lần hẹn chỉ lấy đi 0.1mm men răng và sử dụng thêm các chất chống ê buốt, tái tạo men ngà như vecni flour hoặc gel flour.

Chỉ định mài kẽ

Trong chỉnh nha, mài kẽ răng được chỉ định khá rộng rãi, đặc biệt là trong những trường hợp sau đây:

  • Trục răng cửa 2 hàm chìa nhẹ, khách hàng có mong muốn cải thiện thẩm mỹ, điều chỉnh trục răng.
  • Khấp khểnh nhẹ hàm trên hoặc hàm dưới. Mài kẽ được chỉ định những case chen chúc dưới 4mm, bệnh nhân không có nguy cơ sâu răng và men răng còn chắc khoẻ
  • Chênh lệch kích thước giữa các răng hàm trên và hàm dưới. Khi phân tích mẫu hàm, các bác sĩ sẽ chú ý đến chỉ số Bolton (tỉ lệ răng hàm dưới/ răng hàm trên). Khi kết thúc điều trị, để có được độ cắn chìa, cắn phủ lý tưởng, lồng múi khớp cắn ăn nhai tốt thì xẻ kẽ là bắt buộc.
  • Mài kẽ kết hợp với nhổ răng hoặc di xa để tăng khả năng giảm hô hoặc móm.
  • Bệnh nhân muốn làm giảm kích thước răng cửa để cải thiện thẩm mỹ do răng cửa quá lớn.
  • Hình thể răng bất thường, răng có hình dạng tam giác (cổ răng có kích thước nhỏ, thân răng và rìa cắn có kích thước lớn), vùng cổ răng thường xuất hiện những tam giác đen. Để làm nhỏ những tam giác này và cải thiện thẩm mỹ nụ cưới, các bác sĩ thường làm nhỏ kích thước vùng 1/3 giữa và 1/3 rìa cắn bằng mài kẽ.

Thời điểm mài kẽ răng

Mỗi ca niềng răng, bác sĩ lại có chỉ định xẻ kẽ vào những giai đoạn khác nhau của quá trình điều trị

Trường hợp cắn đối đầu vùng răng cửa, có chen chúc nhẹ nhóm răng cửa hàm dưới.

Nếu chỉ dàn đều đơn thuần, răng cửa hàm dưới sẽ chìa ra trước và gây cắn ngược thực sự. Đối với trường hợp này, bác sĩ thường xẻ kẽ nhẹ vùng răng cửa dưới ngay trong giai đoạn đầu chỉnh nha để tránh tình trạng nêu trên.

Trường hợp chen chúc nhẹ răng 2 hàm

Bác sĩ cũng chỉ định mài kẽ để sắp đều cung răng ngay sau khi gắn mắc cài

null

Răng chen chúc bạn cần mài kẻ răng theo hướng dẫn bác sĩ

Trường hợp, hình thể thân răng bất thường

Có tam giác đen hoặc chênh lệch kích thước răng 2 hàm, bác sĩ thường mài kẽ trong giai đoạn tinh chỉnh – gần kết thúc điều trị để lồng múi khớp cắn và hoàn thiện ca bệnh.

Quy trình cắt kẻ răng

Trong quá trình điều trị, bác sĩ chuyên môn cao lên phương án tốt nhất cho khách hàng và nếu như bạn hài lòng với chức năng cắt kẻ răng, bác sĩ tiến hành thực hiện kẻ răng với quy trình như sau:

Bước 1: Tiến hành làm sạch răng miệng, vị trí lân cận các răng cần xẻ kẻ

Bước 2: Tiếp đến là đánh dấu vào vị trí chỗ răng mà cần cắt kẻ

Bước 3: Tiến hành chức năng gây tê giúp khách hàng không nhận được cảm giác đau buốt

Bước 4: Sử dụng máy chuyên dụng máy mài vị trí phần cổ, thân với tỉ lệ thích hợp

Bước 5: Thao tác lại xẻ kẻ ở các răng cần mài theo kích thước được tính toán trước đó.

null

Kết quả đạt được sau khi cắt kẻ răng

Cần lưu ý điểm gì khi cắt kẻ chỉnh nha

Thứ nhất, khách hàng cần thực hiện làm sạch răng miệng đúng cách 2 lần/ngày và dùng chỉ nha khoa làm sạch răng

Thứ hai, đối với trẻ em thì không nên mài kẻ răng vì lí do buồng tủy răng có kích thước lớn, nếu như xẻ kẻ bị ê buốt, đau nhức

Thứ ba, đối với người có răng bị mòn nặng thì không nên xẻ kẻ bởi răng yếu, nếu như bạn không chuẩn tỉ lệ làm răng nhạy cảm.

Thứ tư, bạn nên chọn địa chỉ niềng răng uy tín tại Hà Nội có cơ sở vật chất đầy đủ kết hợp đội ngũ bác sĩ có tay nghề nhiều năm

Nếu bạn đang muốn tìm hiểu thêm trồng răng implant có thể tới Nha khoa Lạc Việt Intech để được thăm khám và tư vấn chi tiết.

Trên đây là phần thông tin giải đáp kiến thức dũa kẻ răng khi chỉnh nha giúp quý khách hàng nắm rõ. Nếu trong quá trình chỉnh nha, bạn cần vướng mắc xin truy cập vào Website:lacvietintech or Hotline:096.192.0606 để được tư vấn chính xác.

 
Chia sẻ

Tin cùng chủ đề

Đăng ký tư vấn

Vui lòng để lại thông tin và nhu cầu của Quý Khách để được tư vấn

Đối tác của Nha khoa lạc việt intech

Osstem Implant
Osstem Implant
test
test1
Đặt lịch hẹn Messenger Liên hệ Zalo Địa chỉ