Con trai răng khểnh có nên niềng răng hay không?

Quản trị viên
23/08/2024

Có khá nhiều bạn nam có răng khểnh và muốn khắc phục

1. Con trai răng khểnh thường thu hút người nhìn

Phải công nhận là răng khểnh có nét duyên thầm mà nhiều người muốn sở hữu, không chỉ nam giới và các bạn nữ cũng vậy. Những vật nhỏ này sẽ giúp cô gái và chàng trai trở nên dễ thương hơn và có sức hút kỳ lạ, nhất là khi họ cười hoặc nói chuyện. Đối với con trai, có răng khểnh sẽ giúp nụ cười của họ thu hút phái nữ tuy mọc “sai quỹ đạo” những chiếc răng khểnh này lại vô tình hình thành nên sức hút riêng của chủ nhân giúp họ nổi bật giữa chốn đông người. Ngoài ra, con trai răng khểnh còn tạo cho người đối diện cảm giác vui vẻ và tin tưởng.

Hiện nay rất nhiều ca sỹ Vpop sở hữu chiếc răng khểnh duyên dáng như: Ngô kiến Huy, Minh Quân, Trung quân Idol và các nam ca sỹ Hàn Quốc cũng coi răng khểnh như một model đẹp mà nhiều người muốn có như Jung Yong Hwa của CNBLUE, Lee Hong Ki của FT Island, Daerong của Tasty…

Lee Hong Ki của FT Island sở hữu răng khểnh rất đẹp

 

2. Con trai răng khểnh có nên đi niềng răng không?

Chúng ta không thể phủ nhận nét duyên dáng và thu hút mà chiếc răng khểnh đem lại, chúng giúp cho chủ nhân nổi bât, tuy nhiên có nhiều trường hợp răng khểnh lại không đem đến giá trị thẩm mỹ cao mà chúng lại gây ra những vấn đề về sức khỏe răng miệng gặp phải hàng ngày làm bạn rất khó chịu.

Với trường hợp của bạn đã biết được những tác hại mà răng khểnh gây ra. Răng khểnh bị mọc vênh lên so với cung hàm đây là điều kiện lý tưởng để thức ăn dễ dàng mắc vào, đồng thời việc vệ sinh răng miệng cũng trở nên khó khăn và khó làm sạch được những kẽ răng này. Về lâu về dài vi khuẩn sẽ sinh sôi, phát triển và gây ra nhiều bệnh lý như sâu răng, viêm nướu, hôi miệng …

Răng khểnh rất dễ gây nên những bệnh lý về răng miệng khá nguy hiểm

Ngoài ra, chiếc răng khểnh tự nhiên mọc lệch và chồi ra ngoài khiến chiếc răng bên cạnh bị đẩy vào sâu hơn khi có va chạm từ bên ngoài, răng sẽ dễ bị tổn thương hơn.

Theo xu hướng của giới trẻ trên khắp thế giới thì 1 hàm răng đều đặn và thẳng khít được ưu tiên hơn cả. Có thể thấy, nét duyên dáng của răng khểnh nam giới không đủ khỏa lấp được những tác hại xấu mà nó gây ra cho sức khỏe răng miệng. Vì vậy, con trai răng khểnh nên cân nhắc thật kĩ giữa việc giữ lại răng khểnh hay đi niềng răng khểnh để bảo vệ sức khỏe răng miệng.

 

2. Con trai răng khểnh và cách khắc phục tại nha khoa Lạc Việt

Hiện nay, tại nha khoa Lạc Việt đang thực hiện thẩm mỹ răng khấp khểnh với đa dang các loại khí cụ và ứng dụng các công nghệ tiên tiến trên thế giới. Mọi trường hợp niềng răng khểnh nói riêng và niềng răng thẩm mỹ nói chung đều được thực hiện bởi các bác sỹ giỏi, chuyên môn và kinh nghiệm cao cùng sự hỗ trợ của trang thiết bi hiện đại. Bạn có thể an tâm khi chỉnh nha răng khểnh bởi đây là giải pháp giúp bạn niềng răng mang lại hiệu quả thẩm mỹ tối ưu và đảm bảo an toàn tuyệt đối.

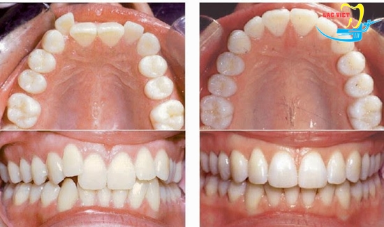
Kết quả một trường hợp niềng răng khểnh cho bệnh nhân nam tại nha khoa Lạc Việt (*)

(*) Lưu ý hiệu quả khác nhau trong từng trường hợp cụ thể

Về chi phí của phương pháp niềng răng cho con trai răng khểnh  tại đây cũng rất hợp lý, bạn có thể xem chi tiết ở bảng giá sau:

Bảng giá dịch vụ niềng răng mắc cài mặt trong:

 

LOẠI NIỀNG RĂNG XUẤT XỨ Giá Niêm Yết GIÁ KHUYẾN MÃI (TT TRẢ THẲNG) GIÁ KHUYẾN MÃI (TT TRẢ GÓP)
Mắc cài mặt lưỡi 3D CLB Hàn Quốc 66.900.000 đ 50.200.000 đ 53.500.000 đ
Mắc cài mặt lưỡi 3D DTC Mỹ 80.900.000 đ 52.600.000 đ 55.700.000 đ
Mắc cài mặt lưỡi cá nhân 3D Incognito Mỹ 103.000.000 đ 77.300.000 đ 82.400.000 đ

Bảng giá niềng răng mắc cài mặt ngoài:

 

Gói dịch vụ Loại khí cụ sử dụng Chỉ định điều trị Giá gốc Giá ưu đãi trả thẳng Giá ưu đãi trả góp 50%
Mắc cài kim loại buộc chun đơn giản - Mắc cài Tomy (Nhật) hoặc OrthoQuest (Hàn Quốc).
- Dây cung CO - BA và hệ thống khí cụ sinh lực tiêu chuẩn cơ.
- Răng thưa dưới 0,5mm.
- Răng khấp khểnh không quá 0,5mm
30.000.000 24.000.000 27.000.000
Mắc cài kim loại buộc chun tiêu chuẩn - Mắc cài UGSL 3M Unitek MBT Slot 0.22 (Mỹ).
- Dây cung NI - TI kích hoạt nhiệt tự trình HA.
- Hệ thống cố định dây cung Ligature
- Hệ thống khí cụ đóng khoảng kích hoạt biến nhiệt Multiloop
Mọi loại sai lệch: Hô, móm, khấp khểnh, thưa,... và mọi độ tuổi. 38.000.000 30.400.000 34.200.000
Mắc cài kim loại tự động. - Mắc cài kim loại tự động AO - MBT Slot 0.22 phủ nano titanium (không ma sát) của american orthodontics (Mỹ).
- Dây cung NI - TI kích hoạt nhiệt tự trình HA.
- Hệ thống cố định dây cung bằng khóa titanium nguyên khối.
- Hệ thống khí cụ đóng khoảng kích hoạt biền nhiệt Multiloop.
Mọi loại sai lệch: Hô, móm, khấp khểnh, thưa,... và mọi độ tuổi. 44.000.000 35.200.000 39.600.000
Mắc cài sứ buộc chun - Mắc cài sứ Symetri Clear MBT Slot 0.22 của Ormco(Mỹ).
- Dây cung NI - TI kích hoạt nhiệt tự trình HA.
- Hệ thống cố định dây cung Ligature
- Hệ thống khí cụ đóng khoảng kích hoạt biến nhiệt Multiloop
Mọi loại sai lệch: Hô, móm, khấp khểnh, thưa,... và mọi độ tuổi. 40.000.000 35.000.000 37.000.000
Mắc cài sứ tự động - Mắc cài sứ tự động Damon Clear 2 Slot 0.22 của Ormco(Mỹ).
- Dây cung NI - TI kích hoạt nhiệt tự trình HA.
- Hệ thống cố định dây cung bằng nắp khóa zirconium nguyên khối
- Hệ thống khí cụ đóng khoảng kích hoạt biến nhiệt Multiloop.
Mọi loại sai lệch: Hô, móm, khấp khểnh, thưa,... và mọi độ tuổi. 60.000.000 51.200.000 55.000.000

Bảng giá dịch vụ niềng răng Invisalign:

 

MỨC ĐỘ KHÓ SỐ LƯỢNG CẶP KHAY GIÁ NIÊM YẾT GIÁ KHUYẾN MÃI (TT TRẢ THẲNG GIÁ KHUYẾN MÃI (TT TRẢ GÓP)
Ca Comprehensive kết hợp với khí cụ phức tạp Không giới hạn số khay 159.700.000 đ 95,800,000 đ 103,800,000 đ
Ca Comprehensive Không giới hạn số khay 149.400.000 đ 89,600,000 đ 97,100,000 đ
Ca Moderate Từ 26 cặp trở xuống 128.800.000 đ 77,300,000 đ 83,700,000 đ
Ca Lite Từ 14 cặp trở xuống 97.900.000 đ 68,500,000 đ 73,400,000 đ
Ca Express Từ 7 cặp trở xuống 66.900.000 đ 60,200,000 đ 63,000,000 đ

 

Trên đây là toàn bộ giải thích của nha sỹ Lạc Việt về việc con trai răng khểnh có nên niềng hay không, tùy thuộc vào quyết định của bạn để có quyết định sau cùng cho mình nhé. Nếu còn bất cứ thắc mắc nào liên quan tới chỉnh sửa răng khểnh hoặc bạn đang muốn thực hiện nha khoa implant hãy liên hệ với trung tâm qua địa chỉ sau:

Chia sẻ

Tin cùng chủ đề

Đăng ký tư vấn

Vui lòng để lại thông tin và nhu cầu của Quý Khách để được tư vấn

Đối tác của Nha khoa lạc việt intech

Osstem Implant
Osstem Implant
test
test1
Đặt lịch hẹn Messenger Liên hệ Zalo Địa chỉ