Có nên niềng răng mắc cài pha lê không?

Quản trị viên
29/01/2024

Có mấy loại mắc cài pha lê?

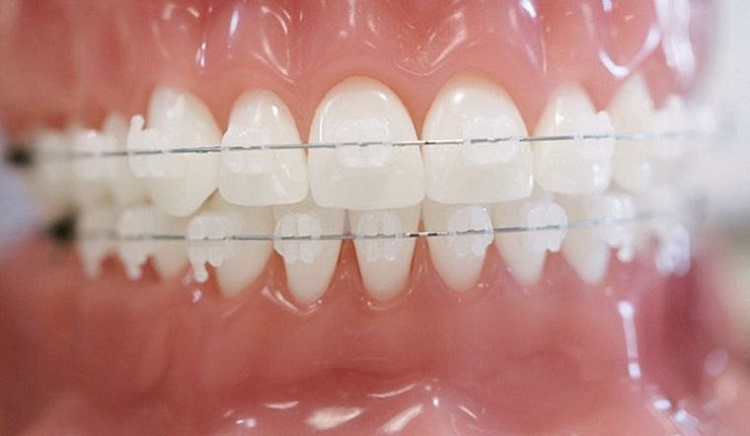
Niềng răng bằng mắc cài pha cũng tương tự như phương pháp niềng răng bằng mắc cài kim loại và mắc cài sứ. Điểm khác biệt chính là phần mắc cài được làm từ pha lê trong suốt, màu sắc trong và được gắn trực tiếp lên phần thân răng. 

Mắc cài pha lê có cấu tạo và chức năng tương tự như mắc cài sứ và kim loại

Niềng răng bằng mắc cài pha lê thường bao gồm hai loại là pha lê thường (pha lê buộc chun, pha lê truyền thống) và pha lê tự buộc.

  • Đối với pha lê truyền thống: Thường sử dụng chỉ thép hoặc chun để cố định phần mắc cài và dây cung.
  • Đối với pha lê tự động: Gồm hệ thống khóa tự động (Wing – clip).

Mỗi loại mắc cài sẽ có ưu điểm và nhược điểm riêng, khách hàng có thể dựa vào những đặc điểm này để lựa chọn loại mắc cài phù hợp.

Niềng răng mắc cài pha lê có tốt không?

Giống như các phương pháp niềng răng khác, niềng răng mắc cài pha lê thường có những ưu và nhược điểm khác nhau.

Ưu điểm của niềng răng mắc cài pha lê

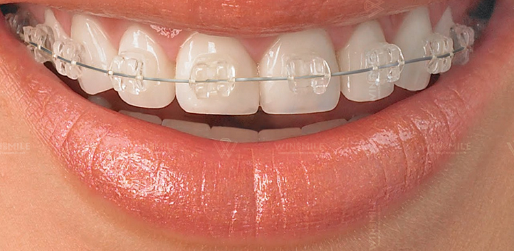
  • Tính thẩm mỹ cao: 

Do mắc cài của pha lê thường rất giống với màu của răng nên khi sử dụng loại mắc cài này, bạn sẽ không cần lo lắng về vấn đề lộ mắc cài so với khi sử dụng mắc cài kim loại. Bạn có thể tự tin giao tiếp, nói chuyện trước nhiều người mà không phải e ngại. Với những người luôn phải giao tiếp, làm các công việc đối ngoại thì niềng răng bằng mắc cài pha lê là sự lựa chọn rất phù hợp.

  • An toàn với sức khỏe

Chất liệu của mắc cài pha lê thường ít gây ra sự kích ứng và rất an toàn đối với nhiều người. Tuy vậy, để đảm bảo một cách chắc chắn, bạn cần phải đảm bảo mình không bị dị ứng với pha lê hoặc kim loại trước khi thực hiện việc niềng răng.

  • Hhiệu quả chỉnh nha cao: 

Khi thực hiện niềng răng bằng mắc cài pha lê, những khiếm khuyết ở răng như răng mọc lệch lạc, răng bị hô, móm với mức độ từ trung bình đến phức tạp đều được can thiệp một cách hiệu quả.

Nhược điểm của niềng răng mắc cài pha lê

Bên cạnh những ưu điểm vượt trội thì niềng răng bằng mắc cài pha lê cũng có những hạn chế nhất định như:

  • Chất liệu pha lê dễ bị vỡ: 

So với mắc cài kim loại truyền thống thì niềng răng bằng mắc cài pha lê thường không được chắc chắn do chất liệu pha lê không thể cứng, chắc bằng mắc cài kim loại. Nếu bạn lo lắng răng mắc cài sẽ rất dễ bị vỡ, bạn nên hạn chế sự va đập ở bên ngoài cũng như nên hạn chế sử dụng đồ ăn dai và cứng.

Mắc cài pha lê dễ vỡ và dễ bị nhiễm màu, ố vàng 

  • Mắc cài dễ bị nhiễm màu

Mắc cài pha lê dạng thun buộc cố định ở trên răng thường có màu trắng trong. Do đó, trong quá trình niềng răng nếu như bạn không vệ sinh răng miệng một cách kỹ càng và cẩn thận, phân dây thun và mắc cài sẽ bị chuyển sang màu khác và gây ảnh hưởng đến tính thẩm mỹ của khuôn hàm.

Phân biệt mắc cài pha lê và sứ

Có thể nói rằng, mắc cài pha lê và mắc cài sứ có khá nhiều điểm giống nhau từ phần thiết kế của mắc cài cho đến chức năng. Mắc cài pha lê và mắc cài sứ được đánh giá cao về tính thẩm mỹ. Theo đó, những điểm giống và khác nhau của mắc cài pha lê và mắc cài sứ phải kể đến như sau:

Điểm giống nhau

Mắc cài pha lê và mắc cài sứ được sử dụng cho những trường hợp răng bị móm, hô, răng vẩu, răng bị sai lệch khớp cắn, răng mọc lệch lạc. Từ đó giúp cho khách hàng có được hàm răng đều đẹp như ý muốn. Hai loại mắc cài này có một số điểm chung về: 

  • Thiết kế

Để đem đến hiệu quả chỉnh nha một cách tối đa, cả hai loại mắc cài được gắn trực tiếp lên bề mặt của răng, cùng với đó là hệ thống các dây cung được cố định ở trên mắc cài. Nhờ quá trình tạo lực mà răng sẽ được điều chỉnh về vị trí ở trên cung hàm. Theo đó, mắc cài pha lê hay mắc cài sứ đều gồm có hai dạng chính gồm pha lê chuẩn, mắc cài sứ, mắc cài pha lê tự buộc.

  • Thời gian niềng răng

Cả hai dạng mắc cài pha lê và mắc cài sứ có thời gian điều trị đều như nhau. Tùy thuộc vào tình trạng răng miệng mà bạn sẽ phải đeo niềng từ 1 đến 3 năm. Sau khoảng thời gian này, bạn sẽ sở hữu được một hàm răng đều đẹp, nụ cười tự tin như mong muốn.

  • Vệ sinh răng miệng dễ dàng

Nếu việc sử dụng mắc cài kim loại có thể gây cho bạn sự khó khăn khi vệ sinh răng miệng thì mắc cài pha lê và mắc cài sứ sẽ ngăn chặn được mảng bám của các loại thức ăn bị bám dính vào. Từ đó, việc vệ sinh răng miệng sẽ trở nên dễ dàng và đơn giản hơn, bạn cũng sẽ phòng ngừa được các bệnh lý về răng miệng vô cùng hiệu quả.

Điểm khác nhau

Bên cạnh những điểm giống nhau thì 2 loại mắc cài này cũng có một số điểm khác biệt:

  • Về tính thẩm mỹ:

- Mắc cài pha lê có màu sắc trong suốt, vô hình nên rất khó để người đối diện phát hiện bạn đang niềng răng. Do đó, tính thẩm mỹ của hàm răng sẽ được đảm bảo hơn so với dạng mắc cài sứ.

- Màu sắc của mắc cài sứ tuy tương đồng với màu của răng nhưng lại không cho thể cho hiệu quả thẩm mỹ bằng mắc cài pha lê.

Màu sắc của mắc cài pha lê tương đồng với màu sắc của răng, do đó đảm bảo thẩm mỹ

  • Về độ bền chắc:

- Độ bền chắc của mắc cài pha lê thường không cao, đặc biệt mắc cài rất dễ bị vỡ mỗi khi va chạm lực mạnh từ bên ngoài.

- Ngược lại, độ bền chắc của mắc cài sứ thường cao hơn so với dạng mắc cài pha lê và rất khó bị vỡ, nứt mỗi khi va đập.

  • Về lực tác động:

- Lực kéo của dây cung, mắc cài pha lê thường yếu hơn so với mắc cài sứ. Do đó mà hiệu quả chỉnh nha của phương pháp chỉnh nha này thường không bằng mắc cài sứ.

- Tuy nhiên, lực kéo của mắc cài sứ lại luôn ổn định và diễn ra liên tục. Nhờ vậy mà hiệu quả chỉnh nha mà phương pháp này mang tới sẽ rất cao.

  • Về mức độ tiện lợi:

- So với mắc cài pha lê thì mắc cài sứ thường có thiết kế to hơn. Đây là nguyên nhân khiến cho mắc cài chiếm diện tích lớn ở trên bề mặt răng và gây ra cảm giác khó chịu cho người sử dụng.

- Mắc cài sứ lại có thiết kế nhỏ nhắn, góc cạnh nên sẽ đem lại sự dễ chịu, thoải mái cho người đeo mắc cài.

Những ai phù hợp niềng răng mắc cài pha lê?

Phương pháp niềng răng mắc cài pha lê thường rất phù hợp với những người muốn niềng răng nhưng vẫn muốn đảm bảo nhu cầu thẩm mỹ của mình với mức chi phí hợp lý. Những khách hàng gặp các tình trạng sai lệch răng từ đơn giản tới phức tạp đều có thể sử dụng mắc cài pha lê. Ngoài ra, cấy ghép răng cũng đang là một giải pháp làm đẹp hàm răng được nhiều người lựa chọn. Liên hệ ngay Lạc Việt Intech để được tư vấn chi tiết nhé!

Trên đây là những thông tin liên quan đến vấn đề niềng răng mắc cài pha lê. Hi vọng bạn sẽ có được kiến thức hữu ích để có thể cân nhắc khi thực hiện quá trình niềng răng.

Chia sẻ

Tin cùng chủ đề

Đăng ký tư vấn

Vui lòng để lại thông tin và nhu cầu của Quý Khách để được tư vấn

Đối tác của Nha khoa lạc việt intech

Osstem Implant
Osstem Implant
test
test1
Đặt lịch hẹn Messenger Liên hệ Zalo Địa chỉ