CẮM VIS NIỀNG RĂNG CÓ ĐAU KHÔNG? RỦI RO KHI CẮM VIS

Pham Sam
30/07/2025

1. Cắm vis niềng răng là gì? Có tác dụng gì trong chỉnh nha?

Cắm vít niềng răng, hay còn gọi là cắm minivis chỉnh nha, là một kỹ thuật hiện đại trong chỉnh nha. Bác sĩ sử dụng những chiếc vít nhỏ (thường dài khoảng 6-12mm, đường kính 1.2-2mm) đặt tạm thời vào xương hàm. Mục đích chính là tạo ra một điểm neo chặn cố định và tuyệt đối.

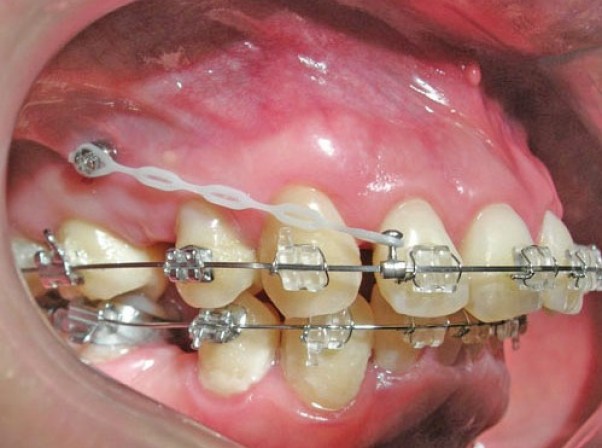
cắm minivis niềng răng có đau không? Minivis được cắm ở vị trí liên chân răng, làm điểm neo chặn kéo răng 7 thay thế vị trí răng 6

Trong chỉnh nha, để di chuyển răng, chúng ta cần một điểm tựa vững chắc. Các phương pháp truyền thống thường dùng chính những chiếc răng khác làm điểm tựa. Với vít chỉnh nha, điểm tựa được tạo ra trực tiếp từ xương hàm. Điều này mang lại những lợi ích vượt trội:

  • Di chuyển răng chính xác: Lực kéo được truyền trực tiếp và tập trung vào răng cần di chuyển, giúp chúng đi đúng hướng và đạt được vị trí mong muốn một cách hiệu quả.
  • Kiểm soát tốt hơn: Bác sĩ có thể kiểm soát chặt chẽ hướng và mức độ di chuyển của răng.
  • Khắc phục các ca khó: Vis đặc biệt hiệu quả trong những trường hợp phức tạp mà các phương pháp truyền thống khó giải quyết. Ví dụ: kéo lùi toàn bộ khối răng cửa, đánh lún răng, đóng khoảng mất răng lớn.
  • Giảm thiểu tác dụng phụ: Hạn chế tối đa sự dịch chuyển không mong muốn của các răng khác, giúp quá trình điều trị diễn ra mượt mà hơn.

Tuy nhiên, điều này phải được tính toán kỹ càng và được bác sĩ có kinh nghiệm thực hiện. 

2. Cắm vis niềng răng có đau không? 

"Cắm vis niềng răng có đau không?" là nỗi lo chung của rất nhiều người niềng răng. Thực tế, quy trình này được thực hiện nhẹ nhàng và không gây đau đớn trong quá trình cắm. 

Trước khi cắm vis, bác sĩ sẽ tiến hành gây tê cục bộ tại vùng cần cắm. Thuốc tê sẽ làm tê hoàn toàn niêm mạc và xương xung quanh vị trí đó. Do đó, bạn sẽ không cảm thấy đau trong suốt quá trình bác sĩ thực hiện. Cảm giác duy nhất bạn có thể nhận thấy là một chút áp lực hoặc hơi tức nhẹ khi vít được đưa vào.

Toàn bộ quá trình cắm một chiếc vis diễn ra rất nhanh, thường chỉ mất khoảng vài phút cho mỗi vít. 

Cắm visHình ảnh minivis trong miệng

Sau khi hết thuốc tê, bạn có thể cảm thấy hơi ê ẩm, khó chịu nhẹ tại vị trí cắm. Mức độ ê ẩm này thường nhẹ đến trung bình và có thể kiểm soát được bằng thuốc giảm đau thông thường (như Paracetamol) nếu cần. Cảm giác này thường kéo dài trong vài ngày đầu và giảm dần theo thời gian. Bác sĩ sẽ hướng dẫn bạn cụ thể về việc sử dụng thuốc và chăm sóc sau cắm.

3. Có phải ai niềng răng cũng phải cắm vis không?

Không phải tất cả mọi trường hợp niềng răng đều cần cắm vis. Việc có cần cắm vis hay không phụ thuộc vào tình trạng răng miệng cụ thể, mức độ phức tạp của ca chỉnh nha, và mục tiêu điều trị mà bác sĩ đã đưa ra trong kế hoạch. 

Các trường hợp điển hình có thể được chỉ định cắm vis:

  • Kéo lùi khối răng cửa tối đa: Khi bệnh nhân bị hô nhiều do răng cửa chìa ra quá mức, cần kéo toàn bộ khối răng cửa về phía sau để cải thiện thẩm mỹ và chức năng.
  • Đóng khoảng mất răng: Trong trường hợp bệnh nhân mất một hoặc nhiều răng, vis sẽ giúp kéo các răng còn lại về phía khoảng trống, đóng kín khoảng mất răng mà không cần trồng răng giả.
  • Chỉnh khớp cắn sâu: Giúp đánh lún (làm trồi lên) hoặc làm trồi (làm lún xuống) các răng cụ thể để cân bằng lại mặt phẳng khớp cắn.
  • Đánh lún hoặc làm trồi răng đơn lẻ: Khi có một răng mọc quá dài hoặc quá ngắn so với các răng khác.
  • Di chuyển toàn bộ cung răng: Trong một số trường hợp cần thay đổi vị trí của cả hàm răng để đạt được khớp cắn lý tưởng.
  • Chỉnh hình đường giữa: Khi đường giữa của hàm trên và hàm dưới không thẳng hàng.

Bác sĩ chỉnh nha sẽ là người duy nhất có đủ chuyên môn để quyết định điều này sau khi thăm khám kỹ lưỡng và phân tích phim X-quang.

4. Quy trình cắm vis diễn ra như thế nào?

Quy trình cắm vis niềng răng có đau không được thực hiện theo các bước chuẩn y khoa, đảm bảo an toàn và hiệu quả:

  1. Thăm khám lâm sàng và chụp phim X-quang: Bác sĩ sẽ kiểm tra tổng thể tình trạng răng, nướu, xương hàm của bạn. Các phim X-quang chuyên biệt như phim sọ nghiêng (Cephalometric) và đặc biệt là phim Cone Beam CT sẽ được chụp. giúp bác sĩ xác định vị trí cắm vis an toàn nhất, tránh các cấu trúc giải phẫu quan trọng như chân răng, dây thần kinh, mạch máu, xoang hàm. 
  2. Lên kế hoạch và đánh dấu vị trí: Dựa trên phân tích phim và mục tiêu điều trị, bác sĩ sẽ xác định chính xác vị trí tối ưu để đặt vis. Vị trí này thường nằm giữa hai chân răng hoặc ở vùng xương dày phía sau hàm.
  3. Vệ sinh và gây tê tại chỗ: Vùng cắm vis sẽ được sát khuẩn kỹ lưỡng. Sau đó, bác sĩ sẽ tiêm thuốc tê cục bộ vào niêm mạc và xương tại vị trí đã định. Bạn sẽ không cảm thấy đau trong bước này.
  4. Cắm vis: Bác sĩ sẽ sử dụng dụng cụ chuyên dụng để đặt vít nhẹ nhàng vào xương hàm theo phương hướng đã định. Quá trình này diễn ra rất nhanh chóng và không gây đau nhờ tác dụng của thuốc tê.
  5. Kiểm tra và hướng dẫn chăm sóc: Sau khi cắm, bác sĩ sẽ kiểm tra độ ổn định của vis và đảm bảo không có bất thường nào. Cuối cùng, bạn sẽ được hướng dẫn chi tiết về cách chăm sóc vis tại nhà, chế độ ăn uống và vệ sinh để đảm bảo vis ổn định và lành thương tốt. 

Quy trình này phải đảm bảo vệ sinh, đảm bảo vô khuẩn để tránh nhiễm trùng. 

5. Có ảnh hưởng đến thời gian niềng răng không?

Trong nhiều trường hợp, bác sĩ có thể bắt đầu gắn thun hoặc lò xo kéo răng vào vis trong vòng vài ngày hoặc một tuần sau khi cắm, ngay khi vị trí cắm đã ổn định. Thời gian này có thể thay đổi tùy thuộc vào vị trí cắm vis và đánh giá của bác sĩ.

Một trong những lợi ích lớn nhất của việc cắm vis niềng răng là khả năng rút ngắn tổng thời gian niềng răng. Nhờ có điểm neo chặn cố định, lực kéo được tác dụng hiệu quả và chính xác hơn, giúp răng di chuyển nhanh chóng và theo đúng kế hoạch. Điều này đặc biệt đúng với những ca phức tạp, giúp đạt được kết quả mong muốn trong thời gian ngắn hơn so với việc chỉ sử dụng các phương pháp neo chặn truyền thống.

6. Rủi ro khi cắm minivis 

Cắm vis niềng răng có đau không là một thủ thuật an toàn khi được thực hiện bởi bác sĩ có chuyên môn và kinh nghiệm. Tuy nhiên, như bất kỳ thủ thuật y khoa nào, vẫn có một số rủi ro nhỏ về biến chứng, mặc dù chúng hiếm gặp:

  • Viêm nhiễm tại vị trí cắm: Đây là biến chứng phổ biến nhất, thường do vệ sinh không tốt hoặc do vi khuẩn xâm nhập. Dấu hiệu có thể bao gồm sưng, đỏ, đau, hoặc có dịch tiết quanh vis. Việc vệ sinh răng miệng kỹ lưỡng và tuân thủ hướng dẫn của bác sĩ là chìa khóa để phòng ngừa.
  • Lỏng vis hoặc vis bị rơi ra: Vis có thể bị lỏng hoặc rơi ra khỏi xương. Nguyên nhân có thể do lực tác động quá mạnh, xương hàm không đủ chất lượng (mật độ xương thấp), vệ sinh kém dẫn đến viêm nhiễm, hoặc trong một số ít trường hợp là do cơ thể không chấp nhận vật liệu. Nếu vis bị lỏng hoặc rơi, bạn cần thông báo ngay cho bác sĩ để được xử lý.
  • Gãy vis: Rất hiếm khi xảy ra do chất liệu của vis thường rất bền. Nếu xảy ra, mảnh vỡ thường có thể được lấy ra dễ dàng.
  • Cắm sai vị trí hoặc tổn thương cấu trúc lân cận: Cực kỳ hiếm gặp nếu bác sĩ đã có kinh nghiệm và sử dụng phim CBCT để định vị chính xác. Nguy cơ có thể là chạm vào chân răng lân cận, dây thần kinh, mạch máu hoặc xoang hàm. Đó là lý do việc thăm khám và chụp phim kỹ lưỡng trước khi cắm là cực kỳ quan trọng.

Dù là rủi ro nào xảy ra, bạn cũng cần phải báo ngay cho bác sĩ của bạn để được giải quyết kịp thời, tránh hậu quả nặng nề hơn, ảnh hưởng đến kết quả niềng răng. 

7. Mới cắm vis nên kiêng gì? 

Chăm sóc và vệ sinh sau khi cắm vis là yếu tố then chốt để đảm bảo vis ổn định và không xảy ra biến chứng.

Chế độ ăn uống:

  • Trong vài ngày đầu: Chỉ nên ăn các thức ăn mềm, lỏng như cháo, súp, sữa, nước ép, sinh tố.

cắm vis niềng răngĐồ ăn nên ăn sau khi cắm vis

  • Tránh thức ăn dai, cứng, dính: Các loại kẹo cứng, đồ ăn có xương, hạt, đá, hoặc thức ăn quá dính có thể tạo áp lực lên vis và làm lỏng hoặc rơi vis.
  • Không nhai trực tiếp vào vùng có vis: Hạn chế sử dụng hàm tại vị trí cắm vis trong những ngày đầu.

Vệ sinh răng miệng:

  • Giữ vệ sinh tuyệt đối: Đây là điều quan trọng nhất để tránh viêm nhiễm.
  • Chải răng nhẹ nhàng: Sử dụng bàn chải lông mềm và chải nhẹ nhàng xung quanh vis, tránh tác động mạnh trực tiếp vào vis.
  • Sử dụng tăm nước hoặc chỉ nha khoa: Để làm sạch kỹ các kẽ răng và vùng xung quanh vis.
  • Nước súc miệng: Bác sĩ có thể kê đơn nước súc miệng diệt khuẩn (như Chlorhexidine) trong vài ngày đầu để giảm nguy cơ viêm nhiễm. Súc miệng nhẹ nhàng, không súc mạnh.
  • Không dùng tay hoặc lưỡi chạm vào vis: Tránh dùng ngón tay hoặc lưỡi chạm vào vị trí cắm vis để tránh đưa vi khuẩn vào hoặc làm vis bị lỏng.

Uống thuốc giảm đau và kháng sinh (nếu được kê đơn) theo đúng liều lượng và chỉ dẫn của bác sĩ.

Theo dõi tình trạng vis hàng ngày. Nếu có bất kỳ dấu hiệu sưng, đỏ, đau nhiều, chảy máu, hoặc vis bị lỏng/rơi, hãy liên hệ ngay với bác sĩ. Đến tái khám đúng lịch hẹn để bác sĩ kiểm tra độ ổn định của vis và tiến độ điều trị.

8. Cắm vis bao nhiêu tiền? Có nằm trong chi phí niềng răng không?

Chi phí cắm vis niềng răng có sự dao động đáng kể giữa các phòng khám nha khoa và khu vực địa lý. Mức giá trung bình cho mỗi chiếc vis thường nằm trong khoảng từ 500.000 VNĐ đến 3.000.000 VNĐ (hoặc hơn tùy trường hợp và loại vis). Tại nha khoa Lạc Việt Intech, 1 vis có giá 2.000.000 đồng. 

Về việc có nằm trong tổng chi phí niềng răng hay không, điều này tùy thuộc vào chính sách của từng nha khoa:

  • Một số nha khoa sẽ tính riêng chi phí cắm vis, xem đây là một dịch vụ bổ sung ngoài gói niềng răng cơ bản.
  • Một số nha khoa khác có thể đã bao gồm chi phí cắm vis trong tổng gói niềng răng trọn gói, đặc biệt là với các gói niềng răng phức tạp.

Trước khi bắt đầu điều trị, bạn cần hỏi rõ ràng và chi tiết về tất cả các khoản chi phí liên quan đến niềng răng, bao gồm cả chi phí cắm vis (nếu có), chi phí mắc cài, dây cung, các khí cụ hỗ trợ khác, chi phí duy trì,... Điều này giúp bạn có cái nhìn tổng thể về tài chính và tránh những phát sinh bất ngờ. 

9. Vis sẽ được tháo ra khi nào? Có để lại dấu vết hay không?

Vis sẽ được tháo ra khi nó đã hoàn thành vai trò của mình trong quá trình điều trị chỉnh nha. Thông thường, vis được tháo khi răng đã di chuyển đến vị trí mong muốn hoặc khi không còn cần điểm neo chặn tuyệt đối nữa.

Quá trình tháo vis diễn ra rất nhanh chóng và đơn giản. Bác sĩ sẽ gây tê nhẹ tại chỗ và sau đó dùng dụng cụ chuyên dụng để tháo vis ra khỏi xương hàm. Bạn sẽ cảm thấy rất ít hoặc không có khó chịu. Sau khi vis được tháo, một lỗ nhỏ sẽ xuất hiện tại vị trí cắm. Lỗ này thường tự lành và đóng lại hoàn toàn trong vòng vài ngày đến vài tuần. Nếu bạn chăm sóc răng miệng tốt và không có biến chứng viêm nhiễm, vị trí đó sẽ không để lại sẹo hoặc bất kỳ dấu vết nào đáng kể trên niêm mạc. Xương hàm bên dưới cũng sẽ tái tạo lại hoàn toàn.

Tóm lại, cắm vis niềng răng là một kỹ thuật tiên tiến, mang lại hiệu quả cao trong chỉnh nha. Mặc dù có thể có chút lo lắng về cảm giác đau, nhưng với kỹ thuật gây tê và sự chuyên nghiệp của bác sĩ, quá trình này diễn ra khá nhẹ nhàng. Quan trọng nhất là bạn cần tìm một bác sĩ chỉnh nha giỏi, có kinh nghiệm để được tư vấn chính xác và thực hiện thủ thuật an toàn.

 

Chia sẻ

Tin cùng chủ đề

Đăng ký tư vấn

Vui lòng để lại thông tin và nhu cầu của Quý Khách để được tư vấn

Đối tác của Nha khoa lạc việt intech

Osstem Implant
Osstem Implant
test
test1
Đặt lịch hẹn Messenger Liên hệ Zalo Địa chỉ