Cách chữa móm tại nhà có mang lại hiệu quả thật không?

Quản trị viên
23/08/2024

Cách chữa móm tại nhà có hiệu quả hay không?

 

1. Các cách chữa móm tại nhà

Thông thường những trường hợp thực hiện chữa răng móm tại nhà sẽ áp dụng các cách như dùng tay đẩy răng hoặc tự tạo mắc cài gắn lên răng. Ở độ tuổi đang dậy thì và ở mức độ móm rất nhẹ thì những cách này có thể cho hiệu quả. Tuy nhiên thật sự rất nguy hiểm vì rất dễ xảy ra sai lệch, làm răng bị xô đẩy theo hướng khác không như mong muốn.

Dùng tay đẩy răng không mang lại hiệu quả và gây nguy hiểm

Còn ở độ tuổi đã trưởng thành thì việc áp dụng các cách làm hết móm tại nhà như dùng tay đẩy hoàn toàn không mang lại hiệu quả gì bởi răng và xương hàm đã cố định chắc chắn, rất khó di chuyển. Đặc biệt những trường hợp móm do xương hàm gây ra thì chỉ có sự can thiệp của nha sỹ vào vị trí và thế mọc của răng đồng thời can thiệp sâu vào xương hàm mới mang lại hiệu quả.

Vì vậy hãy từ bỏ ý định tìm cách chữa móm tại nhà bởi không có thực tế nào chứng minh được kết quả nó mang lại mà chỉ có những dẫn chứng về việc tự điều chỉnh tại nhà và gây biến chứng nguy hiểm.

Thay vì tìm cách chữa móm tại nhà, bạn hãy tới trực tiếp trung tâm nha khoa để bác sỹ kiểm tra và tiến hành điều trị để đảm bảo kết quả thẩm mỹ và an toàn tuyệt đối.

 

2. Hãy từ bỏ các cách chữa móm tại nhà

Như đã nói ở trên, các cách làm hết móm tại nhà không chỉ không mang lại hiệu quả mà còn gây những biến chứng nguy hiểm.

Hiện nay với kỹ thuật nha khoa hiện đại, răng móm không còn là vấn đề đáng lo ngại nữa. Tuy nhiên để biết phương pháp nào phù hợp, chúng ta cần phải xác định được mình thuộc dạng răng móm nào.

Các trường hợp răng móm được chia làm 2 dạng là móm do răng và móm do xương hàm. Cũng nhiều trường hợp bị đồng thời cả răng và xương hàm.

Cách chữa móm tại nhà không mang lại hiệu quả với trường hợp móm do răng

Đây là tình trạng do răng hàm dưới phát triển quá mức nên chìa ra ngoài so với cung hàm và so với hàm trên. Lúc này có hai phương pháp điều chỉnh mang lại hiệu quả là niềng răng và mài răng bọc sứ.

Với phương pháp mài răng bọc sứ, bác sỹ sẽ tiến hành mài răng những chiếc bị móm sao cho thẳng đứng và đều đặn trên cung hàm, sau đó thiết kế mão sứ bọc lên bên ngoài. Phương pháp này mang lại hiệu quả nhanh chóng và thẩm mỹ cao do răng sứ giống hệt răng thật. Tuy nhiên chỉ được áp dụng cho các trường hợp móm nhẹ bởi răng chỉ được mài ở mức độ nhất định.

Mài răng bọc sứ mang lại hiệu quả nhanh chóng

Với phương pháp niềng răng, bác sỹ sẽ sử dụng các khí cụ như mắc cài, dây cung hoặc khay niềng để tác động lực kéo lên răng, đưa răng di chuyển từ từ đến vị trí đều đặn, phương thẳng đứng trên cung hàm. Đây là phương pháp được nhiều người ưa chuộng và được các chuyên gia nha khoa tin dùng nhất bởi mang lại hiệu quả thẩm mỹ tối ưu, vĩnh viễn và an toàn tuyệt đối.

Niềng răng là phương pháp chỉnh răng móm tối ưu nhất

Khi bạn tìm cách chữa răng móm tại nhà là bạn đang muốn tiết kiệm chi phí. Niềng răng sẽ giúp bạn thực hiện điều đó bởi hiện nay đã có rất nhiều loại khí cụ niềng răng với chi phí khác nhau để đáp ứng điều kiện chi trả của mọi đối tượng khách hàng.

Cách chữa móm tại nhà không mang lại hiệu quả với trường hợp móm do xương hàm

Móm do răng không thể khắc phục tại nhà, và móm do xương hàm lại càng không thể. Lúc này bác sỹ sẽ phải chỉ định phẫu thuật chỉnh hàm bằng cách cắt bớt phần xương hàm dưới, sau đó đẩy lùi về phía sau theo tỷ lệ chuẩn khớp cắn giữa hai hàm.

 

3. Chỉnh răng móm tại nha khoa Lạc Việt

Dù bạn thuộc dạng răng móm nào và tương ứng với phương pháp điều trị nào đều phải được thực hiện tại trung tâm nha khoa uy tín mới có thể mang lại hiệu quả và an toàn tuyệt đối.

Hiện nay tại nha khoa Lạc Việt, mọi trường hợp thẩm mỹ răng móm đều được thực hiện bởi các bác sỹ tay nghề giỏi, chuyên môn sâu và giàu kinh nghiệm cùng sự hỗ trợ của trang thiết bị và công nghệ hiện đại. Hơn nữa, nha khoa Lạc Việt với tiêu chí lấy chất lượng điều trị làm mục tiêu và đảm bảo chi phí hợp lý nhất đã trở thành động lực cho khách hàng từ bỏ các cách chữa móm tại nhà không mang lại hiệu quả.

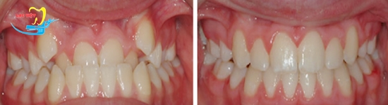
Kết quả một trường hợp niềng răng móm tại nha khoa Lạc Việt (*)

(*) Lưu ý hiệu quả khác nhau trong từng trường hợp cụ thể

Đặc biệt nha khoa Lạc Việt đã ứng dụng thành công các công nghệ niềng răng tiên tiến như: hệ thống mắc cài Smart Clip giúp rút ngắn thời gian điều trị, Mini Screw tăng hiệu quả điều trị, khí cụ nong hàm Tranforce 3D giúp hạn chế nhổ răng trước khi niềng… Đặc biệt nha khoa Lạc Việt đã được Forsyth chuyển giao độc quyền công nghệ niềng răng mắc cài 3M UGSL. Đây là một sáng chế tiên tiến bậc nhất, giúp rút ngắn thời gian niềng răng đến ⅔ so với các loại mắc cài thông thường.

Trên đây là giải đáp của chúng tôi về vấn đề các cách chữa móm tại nhà có mang lại hiệu quả không. Để được tư vấn chi tiết hơn hoặc bạn muốn sử dụng dịch vụ cắm implant xin vui lòng liên hệ Hotline 0971.066.726. Nha khoa Lạc Việt luôn tự tin đồng hành cùng bạn trên con đường chinh phục nụ cười!

 
Chia sẻ

Tin cùng chủ đề

Đăng ký tư vấn

Vui lòng để lại thông tin và nhu cầu của Quý Khách để được tư vấn

Đối tác của Nha khoa lạc việt intech

Osstem Implant
Osstem Implant
test
test1
Đặt lịch hẹn Messenger Liên hệ Zalo Địa chỉ