Bác sĩ chia sẻ tác dụng chụp phim Xquang trước niềng răng

Quản trị viên
23/08/2024

Tại sao phải chụp phim Xquang khi niềng răng?

  • Chụp phim khi niềng răng để đưa ra chẩn đoán chính xác

Phim X quang cho phép bác sĩ chuyên niềng răng khảo sát các thành phần xương, răng ở sâu bên trong mà mắt thường không thể đánh giá được, từ đó đưa ra chẩn đoán đầy đủ. Cụ thể chức năng của một số loại phim chụp trong niềng răng đối với chẩn đoán như sau:

null

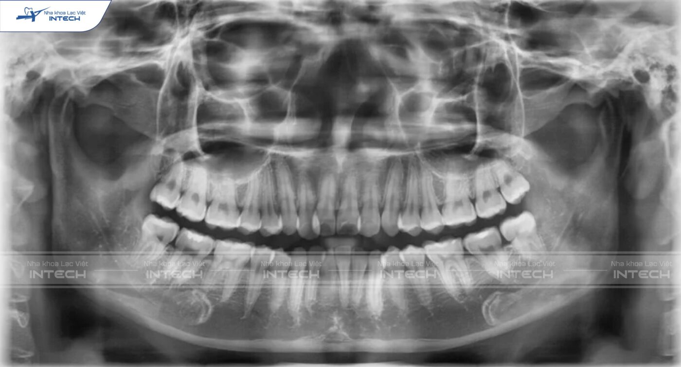
Giai đoạn chụp phim đưa ra chẩn đoán chính xác

Phim toàn cảnh (Panorama):

Loại phim này giúp khảo sát toàn bộ răng trên cung hàm, số lượng, đặc điểm chân răng, răng ngầm, răng sữa, mầm răng vĩnh viễn, răng không,… Ngoài ra trên phim Panorama, bác sĩ cùng đánh giá được một số loại bệnh lý như sâu răng, viêm quanh cuống, viêm nha chu,…

Tất cả những vấn đề này đều góp phần giúp bác sĩ có một chẩn đoán đầy đủ và chính xác, không bị bỏ sót vấn đề.

Phim đo sọ nghiêng (Lateral Cephalometric):

Đây được coi là phim chụp không thể thiếu trong chẩn đoán chỉnh nha. Phim này có tác dụng khảo sát vị trí các cấu trúc xương trong tương quan của chúng với các cấu trúc khác của phức hợp sọ mặt, từ đó xác định mức độ sai lệch xương. Ngoài ra những tiêu chuẩn về trục răng, mô mềm,..cũng được đánh giá trên phim Cephalometric.

Phim mặt thẳng

Đây là loại phim ít được chỉ định hơn nhưng rất quan trọng trong khi chẩn đoán các vấn đề về bất đối xứng xương hai bên. Các trường hợp lệch mặt hay cung hàm hẹp chỉ có thể xác định trên loại phim này

Phim CT Conebeam

Đây là phim cắt lớp và dựng hình 3D chuyên dụng trong Nha khoa nói chung và Chỉnh nha nói riêng. Các trường hợp răng ngầm, cấu trúc xương và thần kinh đặc biệt là những chỉ định chụp phim này.

  • Chụp phim X quang khi niềng răng lên kế hoạch điều trị

Lên kế hoạch điều trị là quá trình phân tích các dữ liệu thăm khám trên lâm sàng, kết hợp các thông số đo đạc trên mẫu hàm và trên phim X quang, cuối cùng đưa ra một kế hoạch thực hiện nhằm đạt được mục tiêu điều trị.

Nếu thiếu các thông tin trên phim X quang, bác sĩ có thể bỏ sót các vấn đề, đưa ra chẩn đoán sai, từ đó kế hoạch điều trị sẽ không đầy đủ hoặc không chính xác, gây ra các hậu quả nghiêm trọng.

null

Giai đoạn chụp phim để lên kế hoạch điều trị
  • Chụp phim Xquang niềng răng tiên lượng kết quả điều trị

Với đặc điểm cấu trúc và vị trí xương, răng, mô mềm của bạn, liệu sau khi chỉnh nha có thể cải thiện được hay không? Nếu có thì mức độ cải thiện sẽ là bao nhiêu? Hoặc trường hợp của bạn có thể niềng răng hiệu quả hay bắt buộc phải kết hợp phẫu thuật chỉnh hình xương mới cho kết quả tối ưu?

Tất cả các tiên lượng điều trị trên đều phải dựa trên phân tích phim X quang. Điều này giúp bạn tránh khỏi những kết quả không mong muốn nếu bác sĩ đưa ra tiên lượng chính xác.

null

Giai đoạn chụp phim để tiên lượng kết quả điều trị
  • Chụp phim Xquang niềng răng theo dõi tiến triển điều trị

Những tiến triển của điều trị đôi khi được quan sát trên phim X quang rất rõ ràng. Các bác sĩ chỉnh nha thường xuyên có quy trình “chồng phim” trước và sau điều trị. Đây là quá trình so sánh sự thay đổi vị trí xương, răng, các góc và các mặt phẳng xương trên phim Cephalometric, từ đó đánh giá xem những sự biến đổi đó có đúng với mục tiêu điều trị ban đầu hay không.

null

Cuối cùng là giai đoạn chụp phim theo dõi tiến triển của điều trị

Chụp phim Xquang trước khi niềng răng có đau không?

Hiện tại tại chuỗi hệ thống nha khoa Lạc Việt Intech cung cấp đầy đủ các phương pháp chỉnh nha để chụp phim Xquang giúp quý khách hàng lựa chọn bao gồm:

+ Niềng răng mắc cài kim loại

+ Niềng răng mắc cài mặt trong

Niềng răng mắc cài sứ

+ Niềng răng trong suốt

Thực trạng hơn 99% khách hàng có thể lo lắng suy nghĩ là chụp Xquang có thể lo sợ bị đau. Nhưng thực tế là việc chụp phim Xquang trước khi chỉnh nha không hề đau, thông thường mất thời gian chỉ từ 3 đến 5s bạn sẽ thấy kết quả tổng quát, tình trạng răng bạn.

Một số lưu ý để có kết quả khi chụp Xquang là bạn nên đứng tư thế thả lỏng, không nên quá căng thẳng để giúp quá trình cho lại kết quả phim chất lượng phim được rõ nét nhất.

Mục đích là để đội ngũ bác sĩ niềng răng chẩn đoán dễ dàng và kết quả chính xác hơn bạn nhé. Ngoài ra, nếu bạn đang muốn trồng răng implant hiệu quả thì Lạc Việt Intech chính là địa chỉ uy tín mà bạn nên lựa chọn.

Những lưu ý khi chụp phim Xquang khi niềng răng

Giống như tất cả các quy trình chụp X quang nói chung, khi chụp phim niềng răng thì bạn cũng phải lưu ý những vấn đề sau:

  • Thông báo với người chụp phim nếu bạn có thai hoặc nghi ngờ có thai
  • Tháo bỏ các trang sức kim loại trên vùng đầu, mặt, cổ tránh làm sai lệch hình ảnh phim
  • Thực hiện đúng thao tác, tư thế theo đúng hướng dẫn
  • Tuân thủ các biện pháp giảm nhiễm xạ theo hướng dẫn

Hi vọng bài viết trên đã giúp bạn trả lời cho câu hỏi tại sao phải chụp phim Xquang khi niềng răng?” và biết được các lưu ý khi chụp phim. Nếu bạn còn bất kì thắc mắc gì, hãy liên hệ với chúng tôi để được tư vấn nhé!

 
Chia sẻ

Tin cùng chủ đề

Đăng ký tư vấn

Vui lòng để lại thông tin và nhu cầu của Quý Khách để được tư vấn

Đối tác của Nha khoa lạc việt intech

Osstem Implant
Osstem Implant
test
test1
Đặt lịch hẹn Messenger Liên hệ Zalo Địa chỉ