Kiến thức niềng răng

Bọc Răng Sứ Có Niềng Được Không: 3 Lưu Ý Để Tránh Mất Tiền Oan Khi Niềng Răng Bọc Sứ

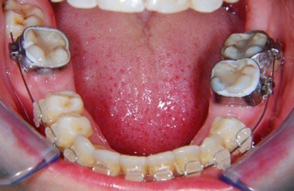
Bọc Răng Sứ Có Niềng Được Không: 3 Lưu Ý Để Tránh Mất Tiền Oan Khi Niềng Răng Bọc Sứ

Bọc răng sứ có niềng được không là câu hỏi khiến nhiều người lo lắng sau khi làm răng sứ nhưng vẫn chưa hài lòng với khớp cắn hoặc răng lệch lạc. Thực tế, răng đã bọc sứ vẫn có thể niềng, nhưng quá trình này tiềm ẩn nhiều rủi ro nếu không được thực hiện đúng cách. Bài viết sau sẽ giúp bạn hiểu rõ ưu nhược điểm, quy trình và 3 lưu ý quan trọng trước khi quyết định niềng răng sau khi bọc sứ.
Xem chi tiết
7 Tiêu Chí "Vàng" Chọn Nha Khoa Uy Tín: Bí Quyết Từ Chuyên Gia

7 Tiêu Chí "Vàng" Chọn Nha Khoa Uy Tín: Bí Quyết Từ Chuyên Gia

Bạn đang tìm kiếm một nha khoa uy tín? Đừng bỏ qua 7 tiêu chí quan trọng dưới đây. Nha khoa Lạc Việt Intech sẽ chia sẻ những kinh nghiệm "xương máu" để cô chú, anh chị và các bạn chọn đúng, an toàn và hiệu quả.
Xem chi tiết
Hôi miệng khi niềng răng: 5 nguyên nhân và cách khắc phục hiệu quả

Hôi miệng khi niềng răng: 5 nguyên nhân và cách khắc phục hiệu quả

Hôi miệng khi niềng răng là vấn đề nhiều người gặp phải. Bài viết này sẽ cùng bạn tìm hiểu tường tận các nguyên nhân và đưa ra lời khuyên từ bác sĩ, giúp bạn chăm sóc răng miệng đúng cách để tạm biệt hơi thở có mùi.
Xem chi tiết
Niềng Răng Nên Ăn Gì? 05 Nhóm Thực Phẩm Siêu Ngon Mà Không Lo Bong Mắc Cài

Niềng Răng Nên Ăn Gì? 05 Nhóm Thực Phẩm Siêu Ngon Mà Không Lo Bong Mắc Cài

Bạn đang niềng răng và lo lắng về chế độ ăn uống? Niềng răng nên ăn gì để vừa đảm bảo dinh dưỡng vừa không làm ảnh hưởng đến quá trình điều trị? Việc mang mắc cài hay dây cung tạo lực giúp răng di chuyển, do đó, chế độ ăn và vệ sinh răng miệng đóng vai trò rất quan trọng. Bài viết này sẽ giúp bạn giải đáp những thắc mắc đó.
Xem chi tiết

Niềng răng hô, răng khấp khểnh: Có thật sự thay đổi cả khuôn mặt?

Bạn có đang tự ti về nụ cười của mình? Răng hô, răng khấp khểnh liệu có làm bạn ngại giao tiếp? Niềng răng có thật sự là giải pháp "cải thiện nhan sắc"? Tất cả những thắc mắc này sẽ được giải đáp chi tiết trong bài viết dưới đây, dựa trên những chia sẻ chuyên sâu từ talk show Lạc Việt Intech Recap.
Xem chi tiết
Nụ cười hở lợi: 5 cách điều trị hiệu quả, an toàn và bền vững

Nụ cười hở lợi: 5 cách điều trị hiệu quả, an toàn và bền vững

Bạn có đang cảm thấy tự ti khi cười vì phần lợi lộ ra quá nhiều? Đừng lo lắng, tình trạng cười hở lợi là một khuyết điểm phổ biến và hoàn toàn có thể được khắc phục triệt để. Bài viết này sẽ là cẩm nang chi tiết, giúp bạn hiểu rõ nguyên nhân và khám phá những cách chữa cười hở lợi hiệu quả, an toàn nhất để tìm lại nụ cười rạng rỡ và tự tin.
Xem chi tiết
VỆ SINH RĂNG MIỆNG KHI NIỀNG - 4 LƯU Ý ĐẶC BIỆT QUAN TRỌNG

VỆ SINH RĂNG MIỆNG KHI NIỀNG - 4 LƯU Ý ĐẶC BIỆT QUAN TRỌNG

Việc vệ sinh răng miệng khi niềng răng sạch sẽ là vô cùng quan trọng. Nếu không chú ý, bạn rất dễ mắc các bệnh lý như viêm nướu, sâu răng và hôi miệng. Chăm sóc răng niềng đúng cách không hề đơn giản nhưng lại quyết định đến sức khỏe răng miệng và hiệu quả của cả quá trình chỉnh nha. Mắc cài và dây cung tạo ra nhiều kẽ hở nhỏ. Bài viết này sẽ hướng dẫn bạn chi tiết cách vệ sinh răng miệng khi niềng răng. Nội dung được tham vấn bởi bác sĩ Nguyễn Ngọc Ánh, chuyên gia chỉnh nha tại hệ thống nha khoa Lạc Việt Intech.
Xem chi tiết
NIỀNG RĂNG MẮC CÀI KIM LOẠI TỐT KHÔNG? 5 ƯU ĐIỂM CỦA MẮC CÀI KIM LOẠI

NIỀNG RĂNG MẮC CÀI KIM LOẠI TỐT KHÔNG? 5 ƯU ĐIỂM CỦA MẮC CÀI KIM LOẠI

Bạn đang băn khoăn liẹu niềng răng mắc cài kim loại tốt không? Đây là phương pháp chỉnh nha đã có lịch sử lâu đời và được nhiều chuyên gia tin dùng. Bài viết này sẽ giúp bạn giải đáp thắc mắc: niềng răng mắc cài kim loại có tốt không? Đồng thời, chúng ta sẽ cùng khám phá 5 ưu điểm "thần kỳ" của phương pháp này. Nội dung bài viết được tham vấn bởi Bác sĩ Hoàng Linh, chuyên gia chỉnh nha tại hệ thống nha khoa Lạc Việt Intech.
Xem chi tiết
Viêm lợi trùm khi niềng răng: Nguyên nhân và cách xử lý hiệu quả

Viêm lợi trùm khi niềng răng: Nguyên nhân và cách xử lý hiệu quả

Viêm lợi trùm khi niềng răng là tình trạng nguy hiểm nhưng nhiều người lại không biết cách xử lý. Hãy cùng tìm hiểu nguyên nhân, dấu hiệu và cách chữa viêm lợi trùm hiệu quả nhất với bác sĩ Phương Hoa - chuyên gia chỉnh nha tại Nha khoa Lạc Việt Intech để bảo vệ sức khỏe răng miệng của bạn.
Xem chi tiết
QUY TRÌNH NIỀNG RĂNG MẮC CÀI CHI TIẾT - 5 BƯỚC KHÔNG THỂ BỎ QUA

QUY TRÌNH NIỀNG RĂNG MẮC CÀI CHI TIẾT - 5 BƯỚC KHÔNG THỂ BỎ QUA

Quy trình niềng răng mắc cài luôn là câu hỏi được nhiều người niềng răng đặt ra, bạn cần nắm rõ quy trình này để quá trình niềng răng của mình trở nên dễ dàng và thuận lợi hơn. Bài viết sau đây sẽ cung cấp cho bạn quy trình niềng răng 5 bước chi tiết nhất và những lời khuyên đáng giá đến từ bác sĩ kinh nghiệm tại nha khoa Lạc Việt Intech.
Xem chi tiết
BẢNG GIÁ NIỀNG RĂNG MẮC CÀI 2025 CHI TIẾT NHẤT

BẢNG GIÁ NIỀNG RĂNG MẮC CÀI 2025 CHI TIẾT NHẤT

Bạn đang băn khoăn về chi phí niềng răng? Bạn lo lắng về những khoản phí phát sinh không rõ ràng? Đừng lo lắng! Bài viết này sẽ cung cấp cho bạn thông tin chi tiết nhất về bảng giá niềng răng mắc cài tại Nha khoa Lạc Việt Intech. Chúng tôi sẽ giúp bạn hiểu rõ từng loại chi phí. Từ đó, bạn có thể dễ dàng lên kế hoạch tài chính cho nụ cười của mình.
Xem chi tiết
CẮM VIS NIỀNG RĂNG CÓ ĐAU KHÔNG? RỦI RO KHI CẮM VIS

CẮM VIS NIỀNG RĂNG CÓ ĐAU KHÔNG? RỦI RO KHI CẮM VIS

Cắm vis niềng răng là một kỹ thuật tiên tiến, mang lại hiệu quả cao trong chỉnh nha. Cắm vis niềng răng có đau không? Mặc dù có thể có chút lo lắng về cảm giác đau, nhưng với kỹ thuật gây tê và sự chuyên nghiệp của bác sĩ, quá trình này diễn ra khá nhẹ nhàng. Quan trọng nhất là bạn cần tìm một bác sĩ chỉnh nha giỏi, có kinh nghiệm để được tư vấn chính xác và thực hiện thủ thuật an toàn
Xem chi tiết
LƯU Ý KHI NIỀNG RĂNG: CẨM NANG KHÔNG THỂ BỎ QUA

LƯU Ý KHI NIỀNG RĂNG: CẨM NANG KHÔNG THỂ BỎ QUA

Niềng răng không chỉ đơn giản là gắn mắc cài và chờ ngày đẹp. Đó là cả một hành trình cần chuẩn bị kỹ lưỡng, phối hợp chặt chẽ với bác sĩ, và đặc biệt là tuân thủ đúng cách trong từng giai đoạn. Dưới góc nhìn của một bác sĩ chuyên khoa chỉnh nha, bài viết này sẽ giúp bạn hiểu rõ những lưu ý khi niềng răng – từ trước khi bắt đầu đến sau khi tháo niềng – để đạt hiệu quả tối ưu, hạn chế biến chứng và giữ nụ cười đẹp dài lâ
Xem chi tiết
MẤT RĂNG 6 CÓ NIỀNG ĐƯỢC KHÔNG - 3 GIẢI PHÁP AN TOÀN

MẤT RĂNG 6 CÓ NIỀNG ĐƯỢC KHÔNG - 3 GIẢI PHÁP AN TOÀN

Mất răng là vấn đề răng miệng thường gặp. Đặc biệt, câu hỏi mất răng số 6 có niềng được không được nhiều người quan tâm. Răng số 6 là răng hàm lớn, đóng vai trò rất quan trọng trong việc ăn nhai. Bài viết này sẽ giúp bạn hiểu rõ về chiếc răng đặc biệt này, những nguyên nhân phổ biến gây mất nó, các phương án điều trị khi mất răng 6, và những lưu ý cần thiết nếu bạn muốn niềng răng.
Xem chi tiết
3 DẤU HIỆU CẢNH BÁO NIỀNG RĂNG HỎNG - CÁCH NHẬN BIẾT

3 DẤU HIỆU CẢNH BÁO NIỀNG RĂNG HỎNG - CÁCH NHẬN BIẾT

Niềng răng là một hành trình phổ biến và hiệu quả để kiến tạo nụ cười hoàn hảo, cải thiện khớp cắn và nâng cao sức khỏe răng miệng tổng thể. Việc nhận biết sớm các dấu hiệu niềng răng hỏng là cực kỳ quan trọng. Một khi các dấu hiệu cảnh báo được nhận diện, bạn có thể chủ động tìm kiếm sự hỗ trợ từ bác sĩ, điều chỉnh kế hoạch điều trị và bảo vệ nụ cười của mình.
Xem chi tiết

Đăng ký tư vấn

Vui lòng để lại thông tin và nhu cầu của Quý Khách để được tư vấn

Đặt lịch hẹn Messenger Liên hệ Zalo Địa chỉ