5 tác hại của niềng răng mà bạn không thể bỏ qua

Quản trị viên
07/12/2023

Đây là 5 tác hại của niềng răng được đăng tải phổ biến trên các trang tìm kiếm hiện nay. Những tác hại của niềng răng này không chỉ được đề cập trên nhiều bài viết trong các hội nhóm mà còn được các bệnh nhân niềng răng tại các nha khoa kém chất lượng đăng tải, tăng thêm sự hoang mang cho những bạn đang có ý định niềng răng hay sự sợ hãi cho những bạn niềng răng.

1. Sâu răng khi niềng răng

Đây là tình trạng phổ biến nhất, cực nhiều bạn niềng răng gặp phải. Để các bạn hiểu rõ hơn về việc tại sao những người niềng răng lại dễ sâu răng đến vậy, bác sĩ đã chuẩn bị mô hình niềng răng ở đây. Một bên là không gắn mắc cài, còn một bên là gắn mắc cài. Khi ăn một loại thức ăn gì đó, thức ăn sẽ có xu hướng dễ dính lại ở các góc cạnh của mắc cài hơn rất nhiều, trong khi những răng không đính mắc cài thì hoàn toàn không gặp phải tình trạng này.

Nếu bệnh nhân chủ quan, không loại bỏ những mảnh thức ăn thừa này trong khoang miệng quá lâu, tạo điều kiện cho vi khuẩn sinh sôi và dẫn đến xuất hiện những vết đốm liti màu đen như thế này. Thực chất, đây là tác hại không quá nguy hiểm, chỉ cần người niềng răng phát hiện ra sớm, khi sâu răng chưa quá nghiêm trọng, chưa ảnh hưởng sâu đến ngà răng và tuỷ răng thì điều trị vô cùng dễ dàng. Chỉ cần bạn thay đổi thói quen vệ sinh răng miệng, nắm rõ những bước vệ sinh răng miệng chuẩn y khoa cũng như luôn chuẩn bị 3 loại dụng cụ: bàn chải đánh răng đầu mềm, chỉ nha khoa, và bàn chải kẽ trong mỗi lần vệ sinh răng là có thể tránh được tác hại này.

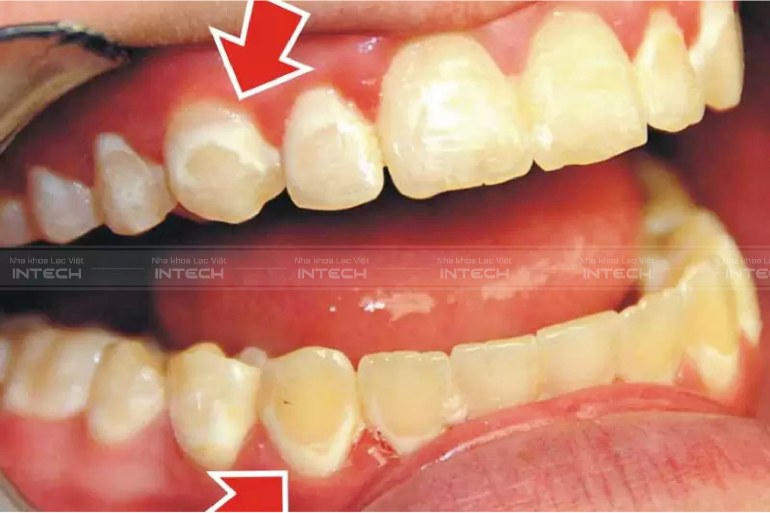
2. Huỷ khoáng men răng

Đây là tác hại của niềng răng thứ hai mà bác sĩ nghĩ nó khá là phổ biến đấy. Đây được gọi là huỷ khoáng men răng. Nguyên nhân gây nên tình trạng này cũng là do vệ sinh răng miệng kém kèm với việc sử dụng quá nhiều món chứa đường hoặc có tính axit cao trong bữa ăn. Theo thời gian, vi khuẩn tấn công mạnh mẽ khiến cho men răng bị mài mòn. Kéo theo đó lượng khoáng chất canxi của răng bị hao hụt thậm chí mất đi.

Các bạn có thể nhận thấy biểu hiện của nó khá rõ rệt thông qua hình ảnh này, các đốm trắng liti xuất hiện trên thân răng, nếu người niềng không điều trị kịp thời, rất có thể những vết trắng này sẽ loang dần ra, rất mất thẩm mỹ. Nguy hiểm hơn, nếu huỷ khoáng men răng lâu ngày có thể gây nên hậu quả gãy vỡ, sứt mẻ và nặng nề nhất là rụng răng.

Khi bị bệnh nhân gặp tình trạng này, thường bác sĩ sẽ điều trị bằng phương pháp ICON DMJ, điều trị dựa trên nguyên lý thẩm thấu rất đơn giản. Sau khi etching bằng Icon-Etch, chất thẩm thấu là nhựa resin không hạt độn, có tính chảy lỏng cao, được bôi vào vùng răng bị đốm trắng. Nguyên lý mao dẫn đưa chất này thẩm thấu sâu vào trong men xốp, giúp khóa chặt các tổn thương sâu răng chưa tạo hốc.

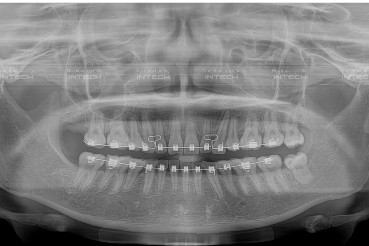
3. Tiêu chóp chân răng

Đây là một trong những tác hại của niềng răng hỏng vô cùng nghiêm trọng. Theo các nghiên cứu của Hiệp hội chỉnh nha thế giới về biến chứng tiêu cụt chân răng, chỉ dưới 2% các trường hợp sau niềng răng, chân răng bị tiêu. Thực chất việc tiêu cụt chân răng trong quá trình niềng răng là không thể tránh khỏi, nhưng nó vẫn có những giới hạn y khoa nhất định.

Đối với tình trạng tiêu cụt chân răng không xảy ra biến chứng, thì mức độ tiêu cụt dưới 30% so với tổng tỉ lệ chiều dài chân răng. Tuy nhiên, nếu vượt qua con số này thì cực kỳ nguy hiểm vì chân răng đã bị tiêu ngắn đi sẽ không thể dài trở lại, dẫn tới răng yếu và tuổi thọ răng giảm.

Nguyên nhân dẫn tới loại biến chứng niềng răng này chủ yếu do nha sĩ dùng lực quá mạnh, làm thiếu máu cục bộ vùng chóp răng hoặc sử dụng sai khí cụ khiến chóp chân răng đi ra khỏi xương ổ răng, dẫn tới tiêu ngót chân răng. Việc quan sát được mình có bị tiêu chóp chân răng không hề đơn giản vì đây là biến chứng nằm sâu trong ổ răng mà chỉ có phim X-Quang 3D mới có thể xác định được.

Trên tay bác sĩ đang là tình trạng một bạn khách hàng niềng răng hỏng TẠI Hải Phòng và đến với Lạc Việt Intech với tình trạng tiêu chóp chân răng. Trên hình ảnh này bác sĩ thấy những dấu hiệu cho việc này như: ..... Đây chính là những dấu hiệu trực quan nhất cho biến chứng niềng răng này.

4. Tiêu xương tụt lợi

Tại Việt Nam chưa có một nghiên cứu nào liên quan đến tiêu xương tụt lợi. Nhưng theo một nghiên cứu bệnh nhân thực hiện niềng răng bị tụt lợi kèm theo tại Mỹ với con số là 400.000 người, tỷ lệ bệnh nhân có tụt lợi không mong muốn là khoảng 10%.

Con số này khá là lớn, khẳng định đây là một trong những tác hại của việc niềng răng hỏng thường gặp nhất. Nguyên nhân tiêu xương tụt lợi có thể do tình trạng vệ sinh răng miệng không tốt của BN trong quá trình niềng răng dẫn tới tình trạng viêm lợi, viêm nha chu.

Tuy nhiên nếu nguyên nhân là do lực kéo quá mạnh hoặc sử dụng cơ học không sinh lí trong quá trình niềng thì có thể dẫn đến việc chân răng di chuyển sai lệch, tiêu xương ổ răng. Hậu quả nghiêm trọng có thể làm lung lay, thậm chí bạn sẽ phải đi trồng lại chiếc răng mới đấy.

Cũng giống như tiêu chóp chân răng, việc quan sát được mình có bị tiêu xương tụt lợi hay không không hề đơn giản vì đây là biến chứng nằm ở xương mà chỉ có phim X-Quang 3D mới có thể xác định được. Trên tay bác sĩ đang là tình trạng một bạn khách hàng niềng răng hỏng và đến với Lạc Việt Intech với tình trạng tiêu xương ổ răng. 

5. Chân răng bật ra khỏi ổ răng

Đây chính là tác hại của việc niềng răng hỏng khiến cho chân răng bật ra khỏi xương hàm. Thực sự tình trạng này quá nguy hiểm, khi chân răng bật khỏi xương có thể ảnh hưởng nghiêm trọng tới sức sống và tuổi thọ của răng, thậm chí có thể khiến bạn mất chiếc răng này một cách đau đớn.

Các bạn biết đấy, nếu ví răng như 1 cái cây thì chân răng chính là bộ rễ, rễ bám càng chắc thì cây càng khỏe mạnh. Nếu các bạn để ý, để nhổ 1 chiếc răng ra khỏi ổ răng, thông thường bác sĩ sẽ phải sử dụng các công cụ như kìm, bẩy, máy siêu âm để tạo lực làm răng lung lay rồi mới có thể đưa được răng ra ngoài như thế này.

Nếu chân răng tự bật ra khỏi xương hàm thì nguyên nhân thường do di chuyển răng lực quá lớn, cơ sinh học di chuyển răng bị sai dẫn đến chân răng dịch chuyển nén vào vùng xương vỏ làm tiêu xương và kết quả là chóp răng bị lộ ra khỏi xương hàm . Với những trường hợp nhẹ nha sĩ có thể thay đổi hướng torque để xoay chân răng trở lại, còn những trường hợp quá nặng hoặc không được phát hiện kịp thời thì nguy cơ chết tủy răng thậm chí mất răng sẽ rất cao.

Nhiều bạn chia sẻ khi lấy tay sờ vào vùng lợi tương ứng với vùng chóp răng, đôi khi sẽ cảm nhận thấy chóp răng ở phía ngoài. Đây cũng là một cách tương đối để xác định được việc bạn có bị bật chân răng ra khỏi xương ổ răng hay không. Tuy nhiên, để biết chính xác mình có bật chân răng ra khỏi xương hàm hay không, bạn hoàn toàn có thể đến Lạc Việt Intech để chụp phim CT conebeam cũng như được bác sĩ chẩn đoán bệnh nhé.

Làm gì để không gặp phải các tác hại của niềng răng?

Các bạn thấy đấy, với 5 tác hại vừa kể ở trên, có đến 3/5 tác hại vô cùng nguy hiểm đến từ việc niềng răng hỏng. Đây chính là con số vô cùng nhỏ trong những biến chứng mà niềng răng hỏng có thể gây ra như tăng cười hở lợi, lệch đường giữa, lệch mặt,... Và bác sĩ xin khẳng định, hầu hết những biến chứung này đề là do nha khoa không uy tín.

Nhiều nghiên cứu chỉ ra rằng mức độ thành công của một ca niềng răng phụ thuộc đến 80% vào cơ sở nha khoa. Để quá trình niềng răng diễn ra thuận lợi thì tay nghề bác sĩ và công nghệ hiện đại là yếu tố tiên quyết. Với kinh nghiệm hơn 5 năm trong lĩnh vực răng hàm mặt, bác sĩ thực sự khuyến cáo rằng để các bạn có thể có được một quá trình niềng răng an toàn, không biến chứng cũng như nhận được thành quả mỹ mãn thì chỉ có một phương pháp duy nhất là niềng răng với sự theo dõi của chuyên gia chỉnh nha, có nhiều năm kinh nghiệm cũng như có kiến thức sâu rộng về niềng răng chuyên sâu kết hợp với những công nghệ hiện đại tiên tiến trên thế giới. - Không phải ai cũng có thể thực hiện chỉnh nha bởi chỉ định niềng răng một phương pháp vô cùng khó.

Các bác sĩ phải học 6 năm tại trường đại học chính quy cũng như trau dồi hàng trăm chương trình đào tạo chuyên sâu trong và ngoài nước hàng năm để có thể nắm vững kiến thức chuyên môn và lên phác đồ điều trị cho từng trường hợp cụ thể. Tuy nhiên, để bác sĩ trở thành chuyên gia trong chính ngành mà họ đang làm việc thì còn phải kết hợp cả kinh nghiệm điều trị lâm sàng. Điều này bạn có thể đánh giá thông qua số lượng ca bác sĩ điều trị thành công mỗi năm.

Trên thực tế tại nha khoa Lạc Việt Intech, mỗi năm các bác sĩ phải điều trị trên 500 ca niềng răng , liên tục tu nghiệp tại các khoá học tại các nước có nền tảng giáo dục ngành y tốt nhất trên thế giới như Nhật. Mỹ, ngoài ra còn được liên tục có cơ hội hợp tác với các bác sĩ chỉnh nha hàng đầu tại Châu Á và quốc tế. Nếu bạn chưa hiểu rõ cắm implant để làm gì hãy liên hệ ngay Lạc Việt Intech để được tư vấn chi tiết nhé!

Chính thì thế bác sĩ tin rằng, khách hàng hoàn toàn có thể yên tâm khi niềng răng tại lạc việt Intech. - Tuy nhiên chỉ có mỗi yếu tố bác sĩ thì hoàn toàn chưa đủ. Tôi đã theo dõi các giáo sư đầu ngành mà tôi đã từng cộng tác, Dù tay nghề rất cao được sự công nhận và tôn trọng của bao nhiêu thế hệ bác sĩ nhưng đi kèm với họ luôn là những cỗ máy hiện đại và tiên tiến nhất để giúp họ có những dữ liệu chính xác để chẩn đoán và điều trị. Và tại Lạc Việt Intech, bác sĩ cũng có công nghệ X-Matrix giúp biết trước kết quả điều trị chính xác đến 99,9% cũng như tiên lượng những biến chứng có thể xảy ra để bác sĩ lên phác đồ điều trị an toàn tuyệt đối.

Xem thêm những chia sẻ chi tiết nhất của bác sĩ trong video dưới đây:

 

Chia sẻ

Tin cùng chủ đề

Đăng ký tư vấn

Vui lòng để lại thông tin và nhu cầu của Quý Khách để được tư vấn

Đối tác của Nha khoa lạc việt intech

Osstem Implant
Osstem Implant
test
test1
Đặt lịch hẹn Messenger Liên hệ Zalo Địa chỉ