3 Biến chứng của niềng răng cực kỳ nguy hiểm, Chuyên gia chia sẻ cách nhận biết sớm và phòng tránh hiệu quả

BTV
29/08/2025

Nội dung bài viết được tham vấn bởi Thạc sĩ, bác sĩ Thái Khắc Vinh tại hệ thống nha khoa Lạc Việt Intech. Bác sĩ sẽ chia sẻ chi tiết về 3 biến chứng của niềng răng nguy hiểm, bao gồm hậu quả và cách nhận biết sớm tại nhà. Đồng thời, bài viết cũng phân tích những nguyên nhân phổ biến dẫn đến các tình trạng này và đưa ra lời khuyên hữu ích để bạn phòng tránh.

3 biến chứng cực kỳ nguy hiểm khi niềng răng

1. Biến chứng niềng răng Bật chân răng ra khỏi xương ổ răng

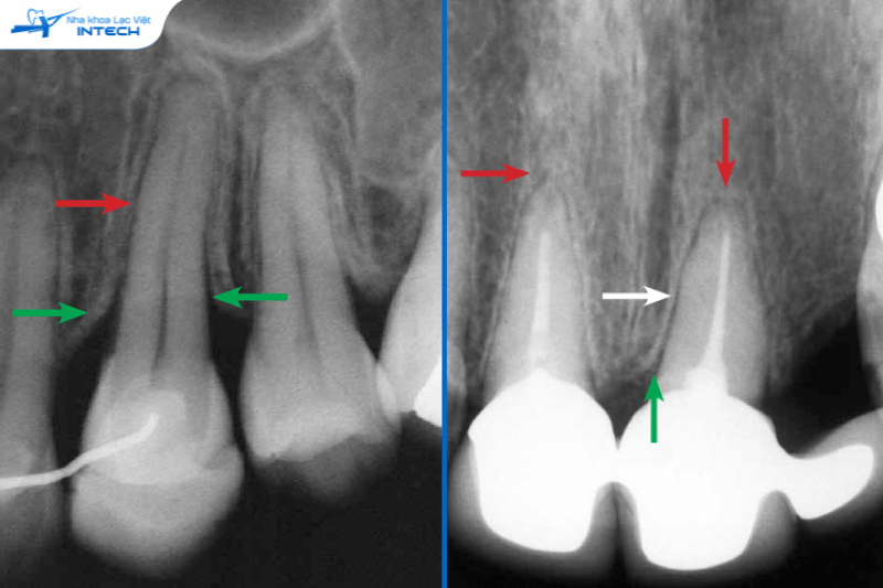
Đây là một trong những tác hại của niềng răng nặng nề và đáng lo ngại nhất. Bình thường, chân răng của bạn phải nằm gọn theo trục của xương hàm. Tuy nhiên, nếu bác sĩ sử dụng lực quá mạnh, hoặc kiểm soát lực không tốt trong quá trình niềng răng, chân răng có thể bị bật ra khỏi vị trí này. Ngoài ra, việc sử dụng các khí cụ kém chất lượng cũng là một nguyên nhân gây ra tình trạng này. Khi đó, chóp răng có thể trồi hẳn ra ngoài.

bật chân răng khỏi xương khi niềng

Nếu không kiểm soát lực tốt sẽ dẫn đến biến chứng bật chân răng khỏi xương 

Hậu quả bật chân răng khi niềng

Hậu quả của biến chứng này rất nghiêm trọng. Việc khắc phục vô cùng nan giải, tỉ lệ thành công chỉ khoảng 30%. Với 70% trường hợp còn lại, bạn sẽ buộc phải nhổ bỏ răng và thay thế bằng cấy ghép Implant. Điều này không chỉ gây tốn kém về chi phí mà còn mất nhiều thời gian và công sức.

Dấu hiệu nhận biết

Để chẩn đoán chính xác, bác sĩ cần chụp phim CT Cone Beam. Tuy nhiên, bạn có thể nhận biết sớm tại nhà qua một số dấu hiệu:

  • Răng bị cụp vào trong: Bạn thấy răng của mình tự nhiên bị cụp vào, đặc biệt là khi cắn hai hàm răng lại với nhau.

  • Khớp cắn nấp hộp: Khi bạn cắn lại, bạn không thể nhìn thấy răng hàm dưới.

  • Sờ thấy chóp răng nhô ra: Bạn có thể sờ thấy một cục cứng nhô ra ở phần lợi phía trên chân răng. Dù vậy, dấu hiệu này cũng có thể là do xương ổ răng quá phát, nên bạn cần thăm khám bác sĩ để có kết luận chính xác.

>> Xem thêm: 9 tác hại của niềng rănhg không đúng kỹ thuật có thể xảy ra

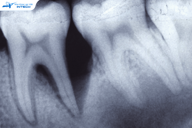
2. Biến chứng niềng răng: Tiêu ngót chân răng

Niềng răng có nguy hiểm không? Có, nếu xảy ra tình trạng tiêu ngót chân răng quá mức. Thông thường, khoảng 90% các trường hợp niềng răng sẽ có một chút tiêu ngót nhẹ ở chóp răng, chỉ khoảng 1-2mm. Đây là hiện tượng bình thường. Tuy nhiên, nếu bác sĩ dùng lực quá mạnh, chân răng có thể bị tiêu đi một đoạn lớn. Điều này sẽ ảnh hưởng nghiêm trọng đến tuổi thọ của răng. 

tiêu ngọt chân răng khi niềng

Hầu hết các trường hợp niềng răng đều có thể bị tiêu ngót chân răng nhưng với mức độ nhất định

Hậu quả tiêu ngót chân răng

Khi chân răng bị ngắn đi, khả năng ăn nhai của răng giảm sút đáng kể. Hơn nữa, tuổi thọ của răng cũng bị giảm đi rất nhiều. Những chiếc răng bị tiêu ngót nặng thường chỉ có thể tồn tại được khoảng 3-4 năm sau khi tháo niềng, sau đó sẽ bị rụng đi.

Dấu hiệu nhận biết

Dấu hiệu sớm của tình trạng này là răng bị lung lay quá mức. Mặc dù răng thường lung lay nhẹ trong quá trình niềng, nhưng nếu bạn cảm thấy đau nhức liên tục hoặc khi ấn vào thấy răng bị nhún, hãy nghi ngờ đến tác hại của niềng răng này. Để chẩn đoán chắc chắn, bác sĩ sẽ so sánh phim X-quang toàn hàm (Panorama) hoặc phim CT Cone Beam trước và sau khi niềng để đánh giá mức độ tiêu ngót.

3. Biến chứng niềng răng: Tiêu xương ổ răng

Xương ổ răng là nền móng vững chắc giúp răng đứng vững. Tác hại của niềng răng sai cách có thể làm phần xương này bị tiêu dần. Nguyên nhân của biến chứng  có thể do bác sĩ dùng lực quá mạnh, sai phương thức truyền lực, hoặc do bệnh nhân vệ sinh răng miệng kém dẫn đến viêm nha chu.

Hậu quả tiêu xương ổ răng khi niềng

Khi xương ổ răng bị tiêu, diện tích bám giữ của chân răng giảm đi đáng kể. Điều này khiến răng trở nên yếu, lung lay và có nguy cơ bị mất sớm. Đây là một trong những biến chứng của niềng răng nguy hiểm, ảnh hưởng trực tiếp đến sức khỏe lâu dài của răng miệng.

tiêu xương ổ răng ở niềng

Dấu hiệu nhận biết tiêu xương ổ răng khi niềng

Tiêu xương ổ răng là một biến chứng diễn ra thầm lặng, khó nhận biết bằng mắt thường. Dấu hiệu ban đầu thường là răng bị lung lay nhẹ. Để chẩn đoán chính xác, bác sĩ sẽ cần chụp phim X-quang hoặc CT để kiểm tra mật độ xương và chiều cao xương ổ răng.

Các nguyên dẫn đến các biến chứng nguy hiểm khi niềng răng

Theo bác sĩ Vinh, những biến chứng nguy hiểm của niềng răng như bật chân răng, tiêu ngót chân răng hay tiêu xương ổ răng đều xuất phát từ những sai sót chuyên môn của bác sĩ. Có ba nguyên nhân cốt lõi mà bác sĩ Thái Khắc Vinh đã nhấn mạnh:

  • Lập kế hoạch điều trị sai: Bác sĩ không xác định được con đường di chuyển răng an toàn và hiệu quả nhất. Niềng răng là quá trình di chuyển răng từ vị trí cũ sang vị trí mới, và bác sĩ phải chọn đúng lộ trình an toàn, thuận lợi để mang lại kết quả tốt nhất.

  • Sử dụng lực không phù hợp: Bác sĩ không tính toán được lực và cường độ cần sử dụng. Lực quá mạnh có thể làm bật hoặc tiêu chân răng. Ngược lại, lực quá yếu hoặc không đều sẽ khiến răng không di chuyển hoặc di chuyển quá mức.

  • Lựa chọn khí cụ và công nghệ không đúng: Bác sĩ có thể sử dụng các khí cụ kém chất lượng hoặc không phù hợp với tình trạng răng của bạn. Ngoài ra, việc thiếu các công nghệ hiện đại để kiểm soát lực và theo dõi quá trình di chuyển răng cũng là một nguyên nhân phổ biến.

Bác sĩ đã khẳng định rằng, bản chất của niềng răng là một quá trình di chuyển răng từ vị trí cũ đến vị trí mới. Nhiệm vụ của bác sĩ là phải trả lời được ba câu hỏi quan trọng để đảm bảo sự an toàn cho bệnh nhân:

  • Đường đi: Răng di chuyển theo con đường nào là an toàn và thuận lợi nhất?

  • Lực: Cần sử dụng lực bao nhiêu để răng di chuyển an toàn và ổn định?

  • Khí cụ: Nên sử dụng khí cụ gì và cách thức nào để đạt được kết quả tốt nhất?

>> Xem thêm: X-matrix kiểm soát lực di chuyển của răng thế nào

Lời khuyên từ bác sĩ

Chia sẻ của bác sĩ Vinh đã được tổng hợp trong bảng dưới đây

Biến chứng Nguyên nhân chính Hậu quả
Dấu hiệu nhận biết sớm
Bật chân răng khỏi xương ổ răng

- Lực tác động quá mạnh hoặc không kiểm soát tốt.

- Sử dụng khí cụ kém chất lượng.

- Khó khắc phục, tỉ lệ thành công thấp

- Đa phần phải nhổ răng và cấy Implant.

- Răng bị cụp vào trong, tạo khớp cắn nấp hộp.
- Cười hở lợi bất thường
- Có thể sờ thấy chóp răng nhô ra ở lợi.
Tiêu ngót chân răng

- Lực di chuyển răng quá mạnh, không ổn định.

- Sử dụng khí cụ sai cách.

- Răng yếu, ăn nhai khó khăn.

- Tuổi thọ răng giảm, có thể rụng sớm sau 3-4 năm.

- Răng lung lay quá mức, đau nhức liên tục.
- Ấn vào thấy răng bị nhún.
Tiêu xương ổ răng

- Lực tác động mạnh, sai phương thức truyền lực.

- Vệ sinh răng miệng kém, gây viêm nha chu.

- Răng yếu, lung lay và có nguy cơ bị mất sớm.
- Răng lung lay nhẹ một cách bất thường.
- Chỉ có thể chẩn đoán chính xác bằng phim chụp X-quang hoặc CT.

biến chứng niềng răng

Theo bác sĩ Vinh, những biến chứng nguy hiểm của niềng răng đều xuất phát từ những sai sót chuyên môn của bác sĩ.

Không thể phủ nhận, niềng răng mang lại vô vàn lợi ích cho sức khỏe và thẩm mỹ. Tuy nhiên, hành trình này cũng tiềm ẩn những rủi ro nhất định. Một khi đã gặp phải các biến chứng nguy hiểm, việc khắc phục sẽ vô cùng khó khăn. Chính vì vậy, quyết định lựa chọn cơ sở nha khoa ngay từ đầu là yếu tố then chốt, quyết định sự thành công của cả quá trình.

Để đảm bảo an toàn và đạt được kết quả như ý, bạn cần lưu ý:

  • Tìm hiểu kỹ về nha khoa: Hãy lựa chọn những nha khoa uy tín, nơi có đội ngũ bác sĩ chuyên môn cao và giàu kinh nghiệm thực tiễn.

  • Ưu tiên công nghệ hiện đại: Các công nghệ tiên tiến như X-quang 3D sẽ hỗ trợ bác sĩ chẩn đoán chính xác và lên phác đồ điều trị chuẩn xác, giảm thiểu rủi ro.

  • Tuân thủ đúng hướng dẫn: Vệ sinh răng miệng cẩn thận và tái khám đúng hẹn là cách tốt nhất để bạn đồng hành cùng bác sĩ, đảm bảo tiến độ điều trị.

>> Xem thêm: 7 tiêu chí vàng chọn nha khoa niềng răng uy tín

Một quyết định đúng đắn ngay từ đầu không chỉ mang lại nụ cười khỏe mạnh mà còn là sự đầu tư an toàn cho tương lai của bạn. Nếu bạn có bất kỳ thắc mắc nào về niềng răng, đừng ngần ngại để lại câu hỏi phía dưới. Đội ngũ bác sĩ của chúng tôi sẽ giải đáp chi tiết cho bạn.


 

Chia sẻ

Tin cùng chủ đề

Đăng ký tư vấn

Vui lòng để lại thông tin và nhu cầu của Quý Khách để được tư vấn

Đối tác của Nha khoa lạc việt intech

Osstem Implant
Osstem Implant
test
test1
Đặt lịch hẹn Messenger Liên hệ Zalo Địa chỉ