Nhổ răng niềng răng khi nào kéo khít khoảng? Bác sĩ giải đáp

Quản trị viên

23/08/2024

Giai đoạn đóng khoảng nhổ răng thường là giai đoạn kéo dài nhất trong toàn bộ quá trình niềng răng. Vậy cụ thể nhổ răng niềng răng khi nào kéo khít khoảng? Hãy cùng tìm hiểu qua bài viết dưới đây nhé!

Nhổ răng niềng răng khi nào kéo khít khoảng?

Không có một con số chính xác nào có thể trả lời cho câu hỏi này. Thời gian đóng hết khoảng nhổ răng ngắn hay dài sẽ phụ thuộc vào nhiều yếu tố. Tuy nhiên, bạn có thể ước chừng khoảng thời gian này dựa trên thông tin là: trung bình mỗi tháng, răng sẽ dịch chuyển từ 0.5mm-1mm. Như vậy, khi biết được độ rộng khoảng nhổ răng thì ta có thể tính ra được khi nào sẽ kéo khít khoảng.

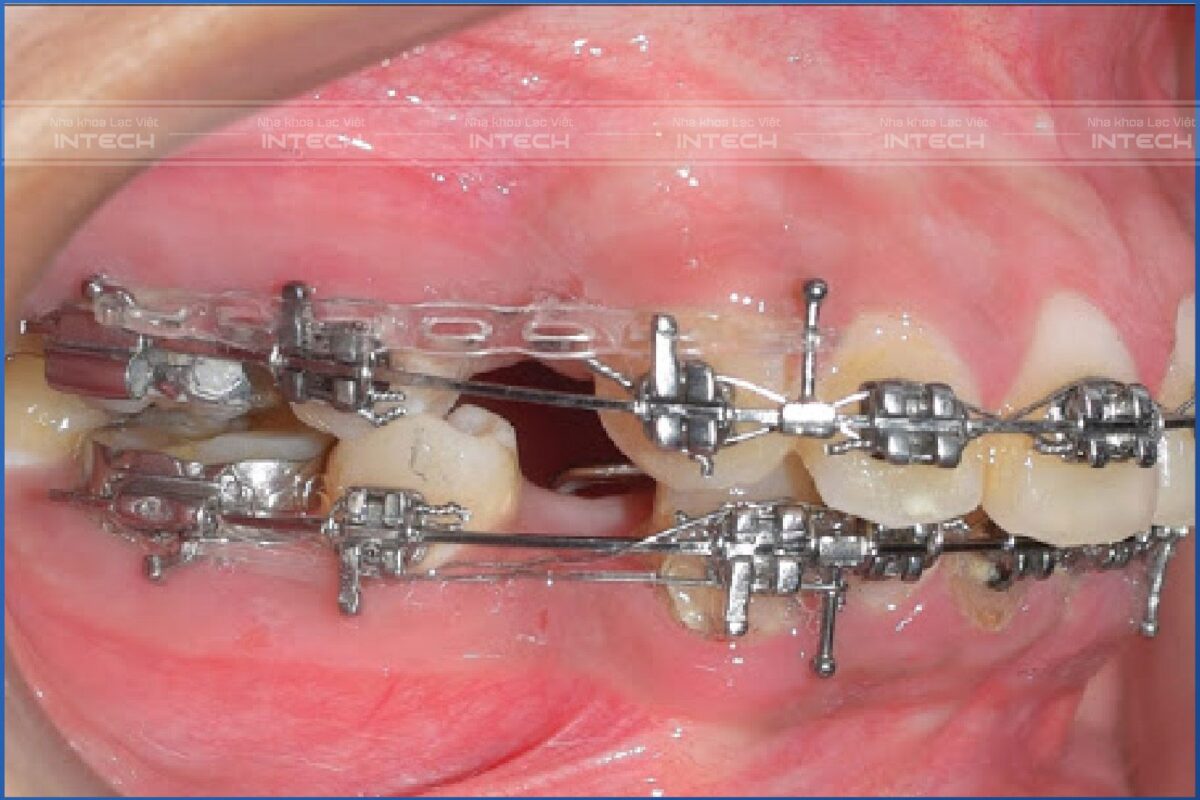
Trong niềng răng, có một tỉ lệ lớn các trường hợp được chỉ định nhổ bỏ răng hàm nhỏ thứ nhất (răng số 4) để giải quyết vấn đề chen chúc hoặc giảm hô. Nhổ răng số 4 thường tạo ra khoảng trống 7-8mm, vì vậy mất khoảng từ 7-16 tháng cho giai đoạn đóng khoảng.


Thời gian đóng khoảng mất khoảng từ 7 đến 16 tháng

Tương tự, một số trường hợp phải nhổ bỏ răng khác, ví dụ như răng hàm lớn thứ nhất (răng số 6) bị bệnh lý, khoảng trống tạo ra là 10-12mm. Vậy nên thời gian kéo khít khoảng phải dài hơn.

Có rất nhiều yếu tố có thể ảnh hưởng đến thời gian kéo đóng khoảng nhổ răng trong niềng răng: mức độ phức tạp của sai lệch răng, sự hợp tác điều trị, khí cụ niềng răng chất lượng tốt.

Các yếu tố ảnh hưởng đến thời gian đóng khoảng nhổ răng

Nhổ răng niềng răng khi nào kéo khít khoảng sẽ phụ thuộc vào những yếu tố sau đây:

  • Mức độ phức tạp các sai lệch răng

Nhổ răng là một biện pháp lấy nhiều khoảng với mục đích giải quyết các vấn đề lớn như chen chúc nhiều, hô nhiều,… Nếu răng của bạn có nhiều vấn đề.


Các tình trạng răng ảnh hưởng đến thời gian đóng khoảng

Ví dụ như vừa chen chúc nặng, vừa hô răng, thì quá trình đóng khoảng sẽ kéo dài hơn bình thường. Bác sĩ chuyên niềng răng phải ưu tiên dàn đều răng trước khi kéo để giảm hô, vì vậy bạn sẽ thấy khoảng nhổ răng của mình khít lại chậm hơn so với các ca nhổ răng để giảm hô đơn thuần.

  • Sự hợp tác điều trị bệnh nhân

Đây được cho là yếu tố mang tính quyết định đối với quá trình đóng khoảng có kết thúc đúng dự tính hay không. Cụ thể như sau:

Vệ sinh răng miệng:

Vệ sinh răng miệng tốt có tác dụng:

Giữ sức khỏe răng miệng và mô nha chu

Chỉ khi răng và mô nha chu (xương ổ răng và lợi) khỏe mạnh thì răng mới di chuyển đúng kế hoạch đưa ra. Nếu vệ sinh răng miệng không tốt, lợi bị viêm và xương bị tiêu dần thì răng sẽ không dịch chuyển hoặc dịch chuyển rất chậm, từ đó làm tăng thời gian đóng khoảng.

Giảm tình trạng bong (sút) mắc cài

Mắc cài cần được gắn chặt trên quá trình niềng răng trong suốt vì nó đóng vai trò là điểm tác động lực dịch chuyển răng. Nếu mắc cài bị bong thì ngay lập tức lực sẽ mất tác dụng trên chiếc răng đó khiến nó không những không dịch chuyển như mong muốn mà còn bị thay đổi vị trí theo hướng không kiểm soát. Bác sĩ có thể phải mất thêm thời gian để khắc phục chuyển động sai này trước khi tiếp tục kéo đóng khoảng.

Tạo sự trượt thuận lợi giữa dây cung và mắc cài

Có nhiều trường hợp, bác sĩ áp dụng cơ chế trượt để đóng khoảng nhổ răng, có nghĩa là răng sẽ dịch chuyển nhờ sự trượt của mắc cài dọc theo một dây cung cứng chắc. Nếu vệ sinh răng miệng không tốt, thức ăn sẽ bám xung quanh dây cung, bên trong các rãnh mắc cài cản trở sự trượt này. Khi đó bạn sẽ thấy khoảng nhổ răng của mình đóng rất chậm.

Kéo chun

Trong nhiều trường hợp, để đóng khoảng nhổ răng, bác sĩ sử dụng lực kéo từ những chiếc chun đã được tính toán lực chi tiết, bạn sẽ được hướng dẫn đeo chun và tự thay chun ở nhà. Thông thường chun sẽ được đeo 20-24 giờ một ngày, thay 1-2 ngày một lần. Nếu bạn không đeo chun đúng hướng dẫn thì lực kéo sẽ không đảm bảo cho quá trình đóng khoảng diễn ra nhanh chóng.


Việc kéo chun là một trong những yếu tố quyết định thời gian đóng khoảng

Thậm chí có nhiều trường hợp bệnh nhân tự ý tăng lực chun kéo không theo hướng dẫn của bác sĩ, điều này sẽ mang lại hậu quả lớn. Không những không dịch chuyển răng nhanh hơn mà còn có thể gây ra các biến chứng tiêu chân răng, tiêu xương,…

Khí cụ niềng răng chất lượng tốt

Khí cụ dây cung, mắc cài, chun kéo, lò xo kéo, minivis,…nếu không đảm bảo chất lượng tốt thì lực tác động lên răng sẽ không đúng như tính toán của bác sĩ. Đây cũng sẽ là một yếu tố ảnh hưởng đến thời gian đóng khoảng nhổ răng.

Như vậy, ta hiểu răng thời gian đóng khoảng nhổ răng là một khoảng dao động phụ thuộc vào nhiều yếu tố. Từ đó ta có những giải pháp để tiết kiệm thời gian này giúp quá trình niềng răng khi nhổ răng diễn ra một cách suôn sẻ.

Hi vọng bài viết đã giúp bạn trả lời cho câu hỏi “nhổ răng niềng răng khi nào kéo khít khoảng?”. Nếu bạn còn bất kì thắc mắc nào, hãy liên hệ với chúng tôi để được giải đáp

 

Tin không thể bỏ lỡ

Khối Nghỉ Hè "Sâu Răng" Đổ Bộ Nha Khoa Lạc Việt Intech
Ngày 22/06, Nha khoa Lạc Việt Intech đồng loạt tổ chức chương trình chăm sóc răng miệng miễn phí cho hàng trăm em nhỏ tại 4 cơ sở Hà Nội. Các bé được bác sĩ khám kỹ, điều trị nhẹ nhàng và nhận quà học tập dễ thương – mang lại trải nghiệm nha khoa tích cực, giúp bố mẹ yên tâm hơn về sức khỏe răng miệng của con trong dịp hè.
Bác sĩ Lạc Việt Intech góp mặt tại Hội nghị Nha khoa Trẻ em Quốc tế VAPD 2025
Hai bác sĩ Lạc Việt Intech tham gia hỗ trợ phiên dịch tại Hội nghị Nha khoa Trẻ em Quốc tế VAPD 2025, góp phần kết nối tri thức quốc tế và cập nhật xu hướng điều trị hiện đại trong lĩnh vực nha khoa trẻ em.
Nha Khoa Lạc Việt Intech & Neo Biotech Chính Thức Ký Kết Hợp Tác Chiến Lược
Ngày 28/05/2025, Nha khoa Lạc Việt Intech và Neo Biotech đã chính thức ký kết hợp tác chiến lược, đánh dấu cột mốc mới trong mối quan hệ gắn bó giữa hai đơn vị đã đồng hành cùng nhau trong nhiều năm qua.
Nha Khoa Lạc Việt Intech Hướng Dẫn Các Bé British Vietnamese International School Hanoi Chăm Sóc Răng Miệng
Nha Khoa Lạc Việt Intech đã có dịp đồng hành cùng các bé tại British Vietnamese International School Hanoi trong một chương trình chăm sóc răng miệng vô cùng ý nghĩa diễn ra vào ngày 03/04 vừa qua. Đây là hoạt động thiết thực nhằm nâng cao nhận thức và hình thành thói quen vệ sinh răng miệng khoa học cho các em ngay từ khi còn nhỏ.
Lạc Việt InTech lọt TOP 10 Thương hiệu uy tín quốc gia 2024
Nha khoa Lạc Việt Intech vô cùng tự hào khi lọt Top 10 Thương hiệu uy tín quốc gia 2024, Giải thưởng Nha khoa Lạc Việt Intech là minh chứng khẳng định uy tín của đơn vị dẫn đầu chất lượng điều trị
Nha Khoa Lạc Việt Intech Lọt Top 50 Doanh Nghiệp Xuất Sắc Toàn Cầu
Tại sự kiện Thương hiệu xuất sắc toàn cầu 2024 ở Hà Nội, Nha khoa Lạc Việt Intech tự hào là đơn vị nha khoa Việt Nam duy nhất lọt Top 50 thương hiệu toàn cầu.

Bài viết này có hữu ích không?

Chưa có bài đánh giá.

Những bài viết đang được nhiều người quan tâm

Tin cùng chủ đề

Công Bố Kết Quả Minigame: Lời Thương Gửi Gắm - Quà Hiếu Trao Tay
Sau những ngày diễn ra sôi nổi, mini game đã nhận được sự tham gia nhiệt tình của đông đảo khách hàng trên khắp cả nước. Lạc Việt Intech vô cùng trân trọng và cảm ơn tất cả mọi người đã đồng hành cùng chương trình. Sau đây là công bố kết quả Minigame: Lời Thương Gửi Gắm - Quà Hiếu Trao Tay.
Đại Diện Thương Hiệu Neo Biotech (Hàn Quốc) Đến Thăm Và Làm Việc Tại Nha Khoa Lạc Việt Intech
Vừa qua, Nha khoa Lạc Việt Intech vinh dự đón tiếp Giám đốc khu vực Châu Á cùng các giáo sư, chuyên gia hàng đầu đến từ Hàn Quốc – đại diện thương hiệu Neo Biotech, trong chuyến thăm quan và làm việc tại phòng khám.
Khối Nghỉ Hè "Sâu Răng" Đổ Bộ Nha Khoa Lạc Việt Intech
Ngày 22/06, Nha khoa Lạc Việt Intech đồng loạt tổ chức chương trình chăm sóc răng miệng miễn phí cho hàng trăm em nhỏ tại 4 cơ sở Hà Nội. Các bé được bác sĩ khám kỹ, điều trị nhẹ nhàng và nhận quà học tập dễ thương – mang lại trải nghiệm nha khoa tích cực, giúp bố mẹ yên tâm hơn về sức khỏe răng miệng của con trong dịp hè.
Nha khoa Lạc Việt Intech đồng hành cùng TEDxFTU 2025 với vai trò Nhà Tài Trợ Kim Cương
Lạc Việt Intech đồng hành cùng TEDxFTU 2025 với vai trò Nhà Tài Trợ Kim Cương, lan tỏa thông điệp: nụ cười khỏe mạnh – tư duy tự tin, cùng thế hệ trẻ kiến tạo giá trị tích cực.
Ra Mắt Thẻ Smile Together – Cùng Lạc Việt Intech Chăm Răng Khỏe Cho Cả Gia Đình
Bạn muốn cả gia đình được chăm sóc răng miệng chuyên sâu, đều đặn và tiết kiệm? Thẻ SMILE TOGETHER chính là món quà sức khỏe trọn vẹn từ Nha khoa Lạc Việt Intech – dành riêng cho các gia đình hiện đại.
Bác sĩ Lạc Việt Intech góp mặt tại Hội nghị Nha khoa Trẻ em Quốc tế VAPD 2025
Hai bác sĩ Lạc Việt Intech tham gia hỗ trợ phiên dịch tại Hội nghị Nha khoa Trẻ em Quốc tế VAPD 2025, góp phần kết nối tri thức quốc tế và cập nhật xu hướng điều trị hiện đại trong lĩnh vực nha khoa trẻ em.

Đăng ký tư vấn

Vui lòng để lại thông tin và nhu cầu của Quý Khách để được tư vấn

Đặt lịch hẹn Messenger Liên hệ Zalo Địa chỉ