Trụ phục hình giải phẫu cá nhân hóa

Quản trị viên
15/06/2024

Trụ phục hình giải phẫu cá nhân hóa là gì?

Trụ phục hình giải phẫu cá nhân hóa, từ chuyên ngành gọi là Customized Abutment, là loại trụ phục hình trên răng implant được sản xuất cá nhân hóa, theo hình thể giải phẫu răng - lợi và mô nha chu của từng bệnh nhân, từ đó mang lại sự phù hợp tối đa về mặt thẩm mỹ, chức năng và sinh học của răng implant, giúp răng implant thẩm mỹ hơn, ăn nhai tốt hơn và bền vững hơn. Customized Abutment được coi là chía khóa của giải pháp trồng răng các nhân hóa DCT.

Trụ phục hình giải phẫu cá nhân hóa Trụ phục hình giải phẫu cá nhân hóa bằng Zirconia (có màu trắng) và titaniuma (có màu đen).

Customized abutment ra đời là sự kết hợp của 4 công nghệ: Oral Scanning Ultra, Tái lập giả định 3D Exocad, CAD/ CAM 5 trục và công nghệ chế tác vật liệu zirconia đa lớp Multilayer.

Cấu tạo của trụ phục hình cá nhân hóa.

Trụ phục hình cá nhân hóa gồm hai phần, một phần nằm trong lợi gọi là phần trong lợi, và phần nhô ra khỏi lợi, là nơi để gắn răng sứ vào gọi là phần cùi răng.

+ Phần trong lợi của trụ phục hình các nhân hóa:

Đây là phần rất quan trọng, vừa đảm trách việc định hình mô nha chu, vừa đảm trách việc thẩm mỹ hồng, vừa đóng vai trò thiết lập hàng rào sinh học bảo vệ mô nha chu và chân implant ở phía dưới.

Phần trong lợi của Customized có hình thể tùy biến theo cấu trúc chuẩn huyệt ổ răng của từng răng, có đường hoàn tất uốn lượn theo bờ lợi. Nó tạo lập một khung định hình, nâng đỡ cấu trúc mô nha chu, từ đó thiết lập lại một mô nha chu quanh răng implant giống như răng thật tiêu chuẩn.

Mặt khác, bề mặt của phần trong lợi được xử lý Etching, tạo ra một bề mặt ái sinh học, giúp nó có thể kết nối sinh học theo cơ chế biểu mô với mô nha chu, tạo ra một khoảng sinh học ngăn không cho vi khuẩn xâm nhập xuống bên dưới.

Đây là những thuộc tính cực kỳ quan trọng của trụ phục hình cá nhân hóa, quyết định tới thẩm mỹ cũng như độ bền của răng implant.

+ Phần cùi răng:

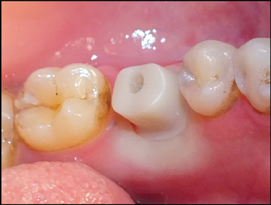
Phần cùi răng tưng tự như phần ngà răng của răng thật, nó là nơi răng sứ bám vào. Khác với trụ phục hình bán sẵn chỉ có một thiết diện tròn, phần cùi răng của Customized abutment được thiết kế theo hình thể thân răng thật, dựa trên những phân tích về phương tác động lực, giúp quá trình ăn nhai tốt hơn, bảo vệ được răng sứ trên implant tốt hơn.

trụ phục hình cá nhân hóaHình ảnh phần cùi răng của trụ phục hình cá nhân hóa.

Trụ phục hình giải phẫu cá nhân hóa khác các loại trụ phục hình khác ở điểm nào?

>>> Xem chi tiết các loại trụ phục hình trên implant tại bài viết: Các loại trụ phục hình trên răng implant.

+ Điểm khác thứ nhất: Khác nhau về hình thể giải phẫu:

Trụ phục hình giải phẫu cá nhân hóa có hình thể giống thân răng của bệnh nhân, cấu trúc đường viền uốn lượn theo bờ lợi của từng răng và từng người, đường kính, chiều dài cũng được thiết kế theo từng người và từng răng riêng biệt.

Trụ phục hình sản xuất sẵn (trụ gắn xi măng và trụ bắt vít) chỉ có một dạng hình thể duy nhất là hình tròn, chỉ có một số kích thước nhất định.

trụ phục hình giải phẫu cá nhân hóa vs trụ phục hình sản xuất sẵn Khác nhau về hình thể giữa hai thế hệ trụ phục hình

+ Điểm khác nhau thứ 2: Khác nhau về vật liệu chế tác:

Trụ phục hình giải phẫu cá nhân hóa chỉ được sản xuất bằng titanium thuần chất hoặc toàn Zirconia

Trụ phục hình sản xuất sẵn có thể được sản xuất từ titanium hoặc thép không gỉ, không được sản xuất từ sứ zirconia

+ Điểm khác nhau thứ 3: Khác nhau về công nghệ chế tác:

Trụ phục hình giải phẫu cá nhân hóa được sản xuất bằng công nghệ CAD/CAM

Trụ phục hình sản xuất sẵn được sản xuất bằng công nghệ thiêu kết nung chảy và đúc định hình.

+ Điểm khác nhau thứ 4: Khác nhau về tính năng: 

Trụ phục hình giải phẫu cá nhân hóa vừa có tính năng định hình giải phẫu lợi và mô nha chu, vừa có tính năng thiết lập hàng rào sinh học bảo vệ implant, vừa có tính năng chuyên chở lực nhai.

Trụ phục hình sản xuất sẵn chỉ có tính năng chuyên chở lực nhai (tính năng cơ học), không có khả năng tạo hình lợi và không có khả năng tạo lập khoảng sinh học (vì thế, khi cắm implant và sử dụng abutment kiểu cũ sẽ có hiện tượng tiêu xương sinh lý quanh cổ implant 2mm để tạo lập khoáng sinh học, tức khoảng sinh học sẽ nằm ở chân implant chứ không phải ở trụ phục hình). Khi đã biết răng implant là gì bạn sẽ dễ dàng chọn loại trụ phù hợp với mình.

customized abutment vs stock abutment Kết quả lâm sàng khác nhau giữa 2 thế hệ trụ phục hình (so sánh với răng thật)

Chính những điểm khác nhau này dẫn tới những khác nhau về hiệu quả điều trị khi sử dụng 2 thế hệ trụ phục hình trên.

[trụ phục hình giải phẫu cá nhân hóa Một trường hợp sử dụng abutment sản xuất sẵn có cổ răng thắt nhỏ, lợi không được đẩy phồng khiến cho răng xấu, bị giắt thức ăn.

trụ phục hình giải phẫu cá nhân hóa Kết quả sau khi được thay thế bằng trụ phục hình giải phẫu cá nhân hóa.

Abutment Customized được thực hiện như thế nào?

Khác với loại sản xuất sẵn là được sản xuất đại trà từ trước, Customized Abutment được sản xuất sau khi đặt chân implant vào trong xương hàm, nó được tính toán thiết kế và sản xuất để có thể tái lập lại phần lợi quanh implant theo đúng chuẩn giải phẫu của từng răng và từng người.

Customized Abutment được thực hiện thông qua 5 bước sau:

  • Bước 1: thu thập dữ liệu lợi và răng bằng công nghệ Scanning Oral:

Scanning Oral Ultra là công nghệ thu thập dữ liệu dựa trên tia hồng ngoại.

Để có thể tái lập được mô lợi, sau khi implant đặt trong xương hàm đã tính hợp, bác sĩ sẽ bộc lộ implant và đặt một thiết bị định vị gọi là Scan body vào chân implant, tiếp theo bác sĩ sẽ sử dụng một máy Scan Oral quét toàn bộ dữ liệu bao gồm cả răng, lợi và implant (thông qua Scan body).

Xem chi tiết tại VIDEO NÀY

  • Bước 2: Tái lập lại giải phẫu lợi trên Exocad.

Khi mất răng, lợi sẽ bị tiêu ngót theo thời gian. Khi áp dụng Customized, dữ liệu lợi từ Scan Oral sẽ được chuyển vào Exocad, tại đây, cấu trúc lợi sẽ được tái lập giả định theo không gian ba chiều, làm sao để tái sinh lại mô lợi hoàn hảo nhất theo 3 chiều không gian bao gồm: Tái lập lại độ phồng lợi theo chiều ngoài trong, tái lập lại gai lợi (nhú lợi) theo chiều gần xa và tái lập lại đường viền lợi theo chiều đứng.

Xem chi tại VIDEO NÀY

  • Bước 3: Thiết kế trụ abutment customized giải phẫu cá nhân hóa dựa trên dữ liệu giải phẫu lợi lý tưởng Exocad.

Sau khi thiết kế được một mô lợi hoàn hảo cả theo ba chiều không gian, một customized sẽ được thiết kế phù hợp với cấu trúc giải phẫu lợi lý tưởng. Trụ phục hình được sản xuất theo hình dạng phù hợp nhất, có vai trò định hình lợi theo hình dạng lý tưởng đã được thiết kế trên Exocad.

Xem chi tiết tại VIDEO NÀY

Trong những trường hợp phức tạp, quá trình định hình lợi có thể phải qua một bước trung gian gián tiếp: trước khi thiết kế customized sau cùng, bác sĩ sẽ thiết kế một trụ định hình có tên là Anatomic Healing Abutment (trụ lành thương giải phẫu), có vai trò tạo hình lợi theo thiết kế trước khi sản xuất trụ phục hình giải phẫu sau cùng.

  • Bước 4: Sản xuất abutment customized giải phẫu cá nhân hóa bằng công nghệ CAD/CAM 5 trục.

Trụ phục hình sau khi được thiết kế cá nhân hóa theo đúng giải phẫu lợi lý tưởng trên Exocad sẽ được chuyển qua để sản xuất bằng công nghệ CAD/CAM.

Khác với công nghệ CAD/CAM thông thường dùng để sản xuất răng sứ, CAD/CAM dùng để sản xuất Customized Abutment là loại 5 trục (xoay được theo 5 chiều không gian), là loại robot thông minh nhất hiện nay.

Có hai loại vật liệu được dùng để sản xuất Customized: Titanium thuần chất hoặc Zirconia đa lớp Multilayer.

  • Sản xuất titanium thuần chất: Từ những thỏi titanium nguyên khối có hình trụ (gọi là Premill), máy tiện CAD/CAM sẽ tiện thành các trụ phục hình cá nhân hóa được thiết kế tự Exocad.

Premill Thỏi premill bằng titanium thuần chất dùng để sản xuất Customized titanium.

 
Custmomized titanium

Trụ phục hình giải phẫu cá nhân hóa bằng titanium sau khi sản xuất xong.

  • Sản xuất từ Zirconia đa lớp Multilayer: Khác với Zirconia dùng để sản xuất răng sứ, zirconia dùng để sản xuất trụ phục hình là loại đa lớp được nén ép nhiều lần để tăng độ cứng và độ trơ sinh học.

Customized Abutment Zirconia được sản xuất từ những bánh Zirconia có hình tròn, có nhiều màu sắc khác nhau để phù hợp với màu sắc răng và lợi của từng người.
TRỤ PHỤC HÌNH GIẢI PHẪU CÁ NHÂN HÓA (CUSTOMIZED ABUTMENT) Các bánh toàn sứ zirconia dùng để sản xuất Customized Zirconia.

TRỤ PHỤC HÌNH GIẢI PHẪU CÁ NHÂN HÓA (CUSTOMIZED ABUTMENT) Hình ảnh sau khi tiện CAD/CAM chưa thiêu kết.

TRỤ PHỤC HÌNH GIẢI PHẪU CÁ NHÂN HÓA (CUSTOMIZED ABUTMENT) Hình ảnh trụ customized zirconia sau khi hoàn thiện.

Xem chi tiết tại VIDEO NÀY

  • Bước 5: Chuyển Abutment Customized lên miệng:

Customized Abutment sau khi sản xuất xong sẽ được gắn lên implant trong xương hàm bằng một vít kết nối.


TRỤ PHỤC HÌNH GIẢI PHẪU CÁ NHÂN HÓA (CUSTOMIZED ABUTMENT) Quy trình gắn Customized lên miệng (mô phỏng).

Hiện có những loại trụ phục hình giải phẫu cá nhân hóa nào?

Hiện nay có 2 loại trụ phục hình giải phẫu cá nhân hóa là trụ được sản xuất từ titanium thuần chất (Customized Abutment Titanium) và trụ được sản xuất từ sứ Zirconia (Customized Abutment Zirconia).

Loại thứ nhất: Trụ phục hình giải phẫu cá nhân hóa bằng titanium (Customized Abutment Titanium)

Thường được thiết kế cho răng hàm. Loại trụ này rẻ hơn so với trụ sản xuất bằng zirconia, tuy nhiên nó có giá thành cao hơn khá nhiều so với các loại trụ phục hình sản xuất sẵn.

Về ưu điểm: Customized titanium đạt được 3/4 tiêu chí so với một trụ phục hình lý tưởng: Customized titanium có độ cứng chắc rất tốt, được thiết kế cá nhân hóa theo giải phẫu lợi lý tưởng cho từng răng nên có khả năng tái lập thẩm mỹ hình thể lợi theo cả 3 chiều không gian: độ phồng ngoài trong, nhú lợi và đường viền lợi. Được làm từ titanium nên có thể thiết lập được hàng rào bám dính lợi lên bề mặt trụ phục hình (bám dính biểu mô), ngăn không cho vi khuẩn từ môi trường miệng xâm nhập xuống phía dưới.


trụ phục hình giải phẫu cá nhân hóa Hình ảnh lỗ lợi lý tưởng của răng hàm (trên răng thật sẽ do thân răng tạo hình).

trụ phục hình giải phẫu cá nhân hóa Hình ảnh trụ phục hình giải phẫu cá nhân hòa bằng titanium: tạo lại hình thể giống như lỗ lợi giải phẫu.

trụ phục hình abutment stock Hình ảnh trụ phục hình chế tác sẵn: không tạo được hình thể lợi theo giải phẫu chuẩn do chỉ có một hình dạng duy nhất.

Tuy nhiên, trụ phục hình bằng titanium vẫn còn một nhược điểm: do được sản xuất từ titanium có màu đen nên khi sử dụng cho răng cửa hoặc răng hàm có lợi mỏng sẽ dẫn tới ánh đen titanium bị lộ ra ngoài, khiến cho màu sắc lợi và cổ răng không được tự nhiên. Để khắc phục nhược điểm này, người ta sử dụng công nghệ điện phân để mạ một lớp mỏng vàng lên bề mặt titanium, tuy nhiên, lớp này sẽ ngăn cản bám dính biểu mô lợi lên bề mặt titanium, dẫn tới hàng rào bảo vệ giữa trụ phục hình và lợi bị mất, tạo điều kiện cho vi khuẩn từ miệng xâm nhập, phá hủy các cấu trúc phía dưới.


Trụ phục hình trên implant Một trường hợp bị ảnh đen lợi do sử dụng trụ phục hình titanium.

Loại thứ 2: Trụ phục hình giải phẫu cá nhân hòa bằng zirconia (Customized Abutment Zirconia): 

Đây là loại trụ phục hình hoàn hảo nhất, đạt được cả 4/4 tiêu chí của một trụ phục hình lý tưởng. Sự kết hợp giữa một trụ implant được đặt chuẩn xác trong xương hàm với Customized Zirconia và răng sứ Zirconia 3D Pro Max Multilayer sẽ mang lại cho bệnh nhân một chiếc răng implant hoàn hảo. 

  >>> Xem thêm: Các tiêu chí của một trụ phục hình lý tưởng.

Về ưu điểm: Customized Zirconia đạt cả 4/4/ tiêu chí của một trụ phục hình lý tưởng: Rất cứng chắc, được thiết kế cá nhân hòa theo giải phẫu lợi lý tưởng nên có khả năng tái thiết thẩm mỹ lợi. Phổ màu đa dạng từ màu trắng giống như men răng, đến màu vàng nhạt như chân răng hay màu hồng nhạt của lợi nên khi sử dụng Zirconia Customized sẽ mang lại một thẩm mỹ màu sắc lợi tuyệt đối. Đặc biệt, kết nối giữa Zirconia đa lớp Multilayer và lợi là kiểu kết nối “bám dính biểu mô”, là loại kết nối vững chắc và ổn định hơn nhiều so với kết nối biểu mô của bề mặt titanium, chính vì ưu điểm này, khi sử dụng Zirconia Customized hàng rào bảo vệ giữa trụ và lợi sẽ rất tốt, đảm bảo vi khuẩn không thể xâm nhập từ môi trường miệng xuống các cấu trúc phía dưới.


abutment customized zirconia Một trường hợp sử dụng trụ phục hình giải phẫu cá nhân hóa bằng zirconia.

Một nhược điểm duy nhất của loại trụ phục hình này, và cũng là trở ngại lớn nhất khiến nó khó được áp dụng đại trà trên bệnh nhân là GIÁ THÀNH CAO. Để đầu tư một dây chuyền ứng dụng Zirconia Customized đòi hỏi tốn kém rất nhiều nguồn lực cả về tiền bạc lẫn con người. Mặt khác, vật liệu phôi zirconia đa lớp Multilayer có giá thành rất cao, cao hơn nhiều so với loại dùng để sản xuất răng sứ.

Tại sao Customized không được áp dụng phổ biến tại Việt Nam?

Mặc dù, customized abutment là mắt xích cuối cùng đưa răng implant tiến đến sự hoàn hảo, khắc phục toàn bộ những nhược điểm của phương pháp này. Tuy nhiên, hiện nay tại Việt Nam nó gần như chưa được áp dụng, hoặc áp dụng rất lẻ tẻ ở một số trường hợp khách hàng cao cấp, có khả năng chi trả cao, vì 2 lý do chính sau:

Chi phí đầu tư vào công nghệ quá cao:

Để công nghệ customized đạt được hiệu quả, cần đảm bảo được cả thách thức trụ implant đặt chính xác vị trí vào trong xương hàm theo cả 3 chiều không gian, mà để có thể đặt được đúng, cần phải có công nghệ đặt trụ. Điều này có nghĩa là, một trung tâm nha khoa muốn ứng dụng customized hiệu quả cần có một hệ thống dây chuyền công nghệ từ khi đặt trụ implant, sao chép mẫu răng, thiết kế trụ phục hình cho tới khi sản xuất ra chúng. Dây chuyền này có giá thành rất cao và vận hành phức tạp.

Mặt khác, giá thành của Premill titanium thuần chất và Zirconia đa lớp Multilayer cũng có giá thành rất cao.

Đào luyện con người đạt được trình độ có thể ứng dụng được công nghệ quá khó:

Tham gia vận hành chuỗi dây chuyền công nghệ này không đơn thuần chỉ là ekip bác sĩ như phương pháp cũ. Với giải pháp này, đa phần các thao tác đều được giả lập và thao tác trước trên máy tính thông qua hệ thống công nghệ thực tế ảo, đương nhiên việc lập kế hoạch và thao tác giả định vẫn phải do đích thân bác sĩ được đào tạo chuyên sâu về công nghệ trực tiếp làm, nhưng một phần trong chuỗi công nghệ này sẽ do các kỹ thuật viên công nghệ và kỹ thuật viên labo xử lý.

Trở ngại về công nghệ ở đây sẽ bao gồm 2 vấn đề: Làm sao để khớp được sự hiểu biết và tư duy điều trị của bác sĩ và kỹ thuật viên với nhau. Và đặc biệt hơn, làm sao để các bác sĩ có thể hiểu và sử dụng thành thạo những công nghệ có phần phức tạp này, đặc biệt là các bác sĩ lớn tuổi, khả năng tiếp cận công nghệ và sự đổi mới thường chậm chạp và khó khăn.

Tất cả những điều này đưa tới một hậu quả, là giá trồng răng implant bệnh nhân phải chi trả sẽ cao hơn so với giá hiện tại. Khiến cho giải pháp công nghệ này không được sử dụng phổ biến tại Việt Nam. Để biết thêm thông tin chi tiết về các mức giá trồng răng Implant, cô chú/anh chị có thể tham khảo thêm trong bài viết "Implant giá bao nhiêu".

Tóm lại, ưu điểm của trụ phục hình giải phẫu cá nhân hóa là gì?

Việc ứng dụng trụ phục hình giải phẫu cá nhân hóa (Customized Abutment) sẽ mang lại cho khách hàng 2 lợi ích sau:

1. Ưu điểm thứ nhất: Thẩm mỹ hoàn hảo:

Customized Abutment mang lại cho bệnh nhân một chiếc răng implant giống đúc răng thật cả về thẩm mỹ trắng (hình thể răng) lẫn thẩm mỹ hồng (lợi).

  • Răng: Mang lại cho bệnh nhân chiếc răng có hình thể giống đúc răng thật vì Customized Abutment tái lập lại vùng cổ răng giống đúc răng thật, không bị thắt cổ răng, hình thể tròn ngắn như implant kiểu cũ, răng sứ là loại 3D Promax Multilayer đa lớp nên có màu sắc giống như răng thật. 
  • Lợi: tái lập được mô lợi theo đúng giải phẫu của bệnh nhân cả 3 chiều trong không gian: độ phồng trong ngoài, nhú lợi, đường viền lợi, mang lại cho bệnh nhân chiếc răng giả giống đúc răng thật, khắc phục được tình trạng lõm cổ răng, mất gai lợi của phương pháp trồng răng implant cũ.
  • Nếu là dùng Customized Abutment Zirconia thì thẩm mỹ màu sắc lợi hoàn toàn hoàn hảo, không bị ánh đen vùng cổ răng như các loại trụ phục hình bằng titanium (là loại đang được dùng 100% tại Việt Nam).

2. Ưu điểm thứ 2: Cảm biết thức ăn tốt hơn.

Việc định hình mô nha chu và lợi giống như giải phẫu lý tưởng giúp cho răng implant cá nhân hóa ăn nhai thật hơn, tuy không thể bằng răng thật khỏe mạnh, nhưng nó có thể khôi phục được 85 đến 90% cảm giác nhai.

3. Ưu điểm thứ 3: Tái lập hàng rào bảo vệ sinh học ngăn cản vi khuẩn từ môi trường miệng không xâm nhập xuống phá hủy chân implant.

Ngoài vai trò định hình mô nha chu như răng thật, phần trong lợi của Customized Abutment có khả năng tạo liên kết sinh học trực tiếp với mô nha chu quanh nó, từ đó thiết lập một hàng rào sinh học, ngăn chặn vi khuẩn và các tác nhân từ môi trường miệng xâm nhập xuống bên dưới.

So sánh khoảng sinh học trên răng thật và khoảng sinh học trên customized abutment.

4. Ưu điểm thứ 4: Tránh được giắt thức ăn, là vấn đề rất thường gặp của phục hình răng implant: 

Do tái lập được mô lợi theo giải phẫu lý tưởng, nhú lợi được hồi sinh hoàn toàn, độ phồng lợi được hồi sinh nên không để lại các “hố” mặt ngoại trong, tam giác đen vùng kẽ răng như phương pháp trồng răng implant kiểu cũ.

Mặt khác, để có thể ứng dụng được Customized Abutment, cần áp dụng 1 trong 4 công nghệ đặt trụ implant: 3D Guide, Robot định vị X Guide, Safe Tech hoặc Guide Line để đảm bảo chân răng được đặt đúng vị trí trong xương hàm cả 3 chiều trong không gian. Việc đặt trụ đúng sẽ khiến cho răng implant ăn nhai tốt hơn, ổn định hơn và bền vững hơn.

Tóm lại: Việc ứng dụng Customized Abutment kết hợp với 1 trong 4 công nghệ đặt trụ implant sẽ mang lại cho bệnh nhân một chiếc răng implant đạt cả 3 yếu tố lý tưởng: Ăn nhai tốt và ổn định, thẩm mỹ đẹp cả trắng lẫn hồng, tuổi thọ suốt đời. Để tìm hiểu thêm về trồng răng implant, hãy đến Nha Khoa Lạc Việt Intech để được khám, tư vấn bởi chuyên gia của chúng tôi.

Chia sẻ

Tin cùng chủ đề

Đăng ký tư vấn

Vui lòng để lại thông tin và nhu cầu của Quý Khách để được tư vấn

Đối tác của Nha khoa lạc việt intech

Osstem Implant
Osstem Implant
test
test1
Đặt lịch hẹn Messenger Liên hệ Zalo Địa chỉ