Trồng răng sứ, theo cách hiểu của nhiều người thực chất là phương pháp làm cầu răng sứ. Đây là một trong những kỹ thuật làm răng giả phổ biến, được nhiều người lựa chọn khi bị mất 1 răng hay nhiều răng tại vị trí khác nhau trên cung hàm.
Với phương pháp cầu răng sứ, bác sĩ sẽ tiến hành mài 2 chiếc răng bên cạnh tại vị trí răng mất để tạo thành cùi răng. Sau đó thiết kế một nhịp cầu bao gồm 2 chiếc mão sứ bên ngoài và 1 chiếc răng sứ ở giữa nối liền nhau. Cầu răng sứ sẽ được chụp lên 2 chiếc răng đã mài trước đó và được gắn cố định, giúp đảm bảo tính thẩm mỹ và khôi phục chức năng ăn nhai.
Phương pháp cầu răng sứ
Lấy tủy là biện pháp không được bác sĩ khuyến khích khi làm cầu răng sứ bởi răng sau khi lấy tủy sẽ mất đi nguồn sống và trở nên yếu, dễ bị lung lay. Phương pháp điều trị tủy chỉ được áp dụng trong một số trường hợp răng bị bệnh lý răng miệng gây ảnh hưởng đến tủy răng, bắt buộc phải lấy tủy mới có thể bảo tồn được.
Tuy nhiên, tại một số cơ sở nha khoa thiếu uy tín chỉ định điều trị tủy sai cách khi làm cầu răng sứ. Điều này sẽ khiến cho khách hàng gặp phải tình trạng ê buốt, khó chịu và ảnh hưởng đến sức khỏe răng miệng.
Phương pháp lấy tủy khi làm cầu răng sứ chỉ được áp dụng trong một số trường hợp sau đây:
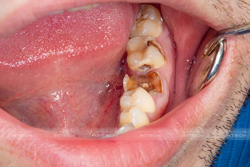
Trồng răng lấy tủy chỉ áp dụng đối với trường hợp răng trụ bị sâu, chấn thương nặng
Một trường hợp khác cũng cần phải lấy tủy răng khi làm cầu sứ đó là răng bị sai lệch nặng, độ nghiêng của răng quá lớn nên bắt buộc phải mài nhiều, xâm lấn tới tủy răng. Lúc này, quá trình mài răng sẽ gây đau nhức dữ dội vì vậy bác sĩ sẽ điều trị tủy trước khi làm cầu răng sứ.
Mặc dù vậy, việc điều trị tủy răng vô cùng khó chịu đối với bệnh nhân. Do đó trên thực tế việc lấy tủy răng để điều trị nội nha không phải lúc nào cũng được áp dụng.
Sau khi kiểm tra kỹ lưỡng tình trạng của 2 chiếc răng bên cạnh tại vị trí răng mất, nếu các răng này vẫn còn khỏe mạnh, không bị các bệnh lý răng miệng hay sai lệch nặng thì bác sĩ có thể tiến hành mài răng mà không cần lấy tủy.
“Trồng răng sứ lấy tủy có nguy hiểm không?” là một trong những thắc mắc Nha khoa Lạc Việt Intech nhận được từ rất nhiều khách hàng. Theo các chuyên gia, việc lấy tủy sẽ không gây nguy hiểm nếu như bác sĩ thực hiện đúng kỹ thuật, chỉ định phù hợp với tình trạng của bệnh nhân. Bên cạnh đó, trước khi thực hiện lấy tủy bác sĩ sẽ tiến hành gây tê để bệnh nhân không có cảm giác đau nhức khi thực hiện.
Trồng răng lấy tủy có thể gây biến chứng đau nhức nếu bác sĩ thực hiện tay nghề kém
Mặc dù vậy, nếu như bác sĩ của bạn tay nghề kém, điều trị tủy sai cách có thể dẫn đến nhiều biến chứng nguy hiểm như:
Chính vì thế, việc trồng răng lấy tủy phải được thực hiện bởi đội ngũ bác sĩ giàu kinh nghiệm. Đồng thời bệnh nhân cần lựa chọn địa chỉ nha khoa uy tín để đảm bảo an toàn và được tư vấn giải pháp trồng răng phù hợp nhất
Hiện nay, trồng răng Implant là phương pháp khôi phục răng mất an toàn, bền chắc trọn đời và đặc biệt không cần phải lấy tủy. Kỹ thuật trồng răng Implant được thực hiện bằng cách cấy trực tiếp trụ Implant vào trong xương hàm, sau đó lắp khớp nối Abutment và phục hình mão sứ bên trên.
Phương pháp trồng răng Implant không cần lấy tủy
So với cầu răng sứ, trồng răng Implant sở hữu nhiều ưu điểm vượt trội:
Giải pháp cấy ghép implant có thể phục hình cả chân răng và thân răng, đem lại tính thẩm mỹ và chức năng ăn nhai hoàn hảo như một chiếc răng thật. Chính vì thế, bệnh nhân sau khi phục hình Implant có thể thoải mái ăn uống, giao tiếp mà không sợ bị lộ chân răng sau một thời gian dài sử dụng.
Nếu như phương pháp làm cầu răng sứ bắt buộc phải mài 2 chiếc răng bên cạnh để làm trụ nâng đỡ thì trồng răng Implant chỉ phục hình độc lập tại vị trí mất răng, không xâm lấn tới các răng thật còn khỏe mạnh. Từ đó bảo tồn răng thật tối đa và hoàn toàn không phải điều trị tủy.
Phương pháp cầu răng sứ chỉ áp dụng cho trường hợp mất 1 hoặc 2 răng liền kề, trong khi trồng răng Implant được chỉ định cho mọi trường hợp mất răng như:
Với phương pháp cầu răng sứ, quá trình tiêu xương vẫn sẽ diễn ra sau một thời gian sử dụng do không thể khôi phục chân răng ở bên dưới. Trong quá trình ăn nhai, lực nhai truyền tải tới chân răng giúp kích thích xương hàm duy trì và phát triển. Tuy nhiên, với cầu răng sứ, lực nhai chỉ truyền tải tới 2 trụ răng bên cạnh, do đó xương hàm tại vị trí mất răng vẫn bị tiêu biến theo thời gian.
Trồng răng Implant giúp ngăn chặn tiêu xương hiệu quả
Trong khi đó, trồng răng Implant có thể ngăn chặn tình trạng tiêu xương hàm. Trụ Implant có chức năng thay thế chân răng đã mất, tích hợp ổn định với xương hàm. Do đó, lực nhai vẫn có thể truyền tải tới chân răng Implant, kích thích duy trì mật độ và thể tích xương.
Thông thường, phương pháp cầu răng sứ chỉ sử dụng được khoảng 5 - 7 năm là phải thay mới. Tuy nhiên với phương pháp trồng răng Implant, tuổi thọ của răng Implant có thể tồn tại tới 20 năm, thậm chí vĩnh viễn nếu được chăm sóc tốt.
Chính vì thế, lựa chọn trồng răng Implant sẽ giúp tiết kiệm thời gian và chi phí hơn do không phải thay mới nhiều lần như cầu răng sứ. Nếu đang tìm kiếm phương án trồng răng có chi phí phù hợp nhất, cô chú/anh chị có thể tham khảo thêm trong bài viết "cắm răng Implant bao nhiêu tiền" để đưa ra quyết định.
Nha khoa Lạc Việt Intech là trung tâm cấy ghép Implant chuyên sâu hàng đầu được đông đảo khách hàng mất răng lựa chọn. Sở hữu đội ngũ chuyên gia cấy ghép Implant giàu kinh nghiệm cùng hệ thống máy móc, thiết bị hiện đại, Nha khoa Lạc Việt Intech cam kết mang đến chất lượng điều trị tốt nhất cho khách hàng.
Nha khoa Lạc Việt Intech - Trung tâm trồng răng Implant chuyên sâu uy tín hàng đầu
Ứng dụng công nghệ trồng răng Implant Safe Tech hiện đại giúp hỗ trợ bác sĩ trong việc chẩn đoán và lên kế hoạch điều trị chính xác. Quá trình phẫu thuật cấy ghép Implant tại Lạc Việt Intech diễn ra an toàn, không đau, hạn chế sưng nề và mang lại tỷ lệ thành công tới 99,8%.
Công nghệ trồng răng Safe Tech đã được đài truyền hình quốc gia VTV1 đưa tin:
VTV đưa tin về công nghệ trồng răng Safe Tech
Đến với Nha khoa Lạc Việt Intech, khách hàng sẽ được thăm khám, chụp phim CT Conebeam và lên kế hoạch điều trị miễn phí ngay cả khi không đồng ý điều trị tại đây. Luôn minh bạch trong quá trình tư vấn và chi phí điều trị, Nha khoa Lạc Việt Intech cam kết hiệu quả điều trị bằng văn bản pháp lý. Vì vậy khách hàng hoàn toàn có thể yên tâm khi sử dụng dịch vụ tại Lạc Việt Intech.
Như vậy, bài viết trên đây đã giúp cô chú/ anh chị hiểu rõ hơn về vấn đề “Trồng răng có cần lấy tủy không”. Nếu quý vị còn bất kỳ thắc mắc nào, hãy liên hệ ngay Hotline: 19006421 để được chuyên gia tư vấn chi tiết!
Tin cùng chủ đề
Câu hỏi liên quan
Tin tức nổi bật
Đăng ký tư vấn
Đối tác của Nha khoa lạc việt intech