Tiêu xương hàm có trồng răng implant được không?

Quản trị viên
16/12/2022

Tiêu xương hàm là gì? 

Tiêu xương hàm là hiện tượng vùng xương ổ răng và các phần xương xung quanh chân răng bị tiêu biến. Biểu hiện rõ nhất là sự thiếu hụt mật độ, thể tích và chiều cao xương hàm. Tình trạng tiêu xương có thể xảy ra ở hàm trên hoặc hàm dưới, gây ảnh hưởng rất lớn tới khớp cắn và cấu trúc gương mặt của bệnh nhân. 

Tình trạng tiêu xương hàmTình trạng tiêu xương hàm

Cấu trúc xương hàm bao gồm xương hàm trên và hàm dưới, thuộc khối xương mặt. Trong đó:

  • Xương hàm trên là xương chính ở tầng giữa khuôn mặt, tiếp khớp với xương khác để tạo thành vòm miệng, xoang hàm, hốc mũi, ổ mắt và nền sọ. Xương hàm trên là xương xốp. 
  • Xương hàm dưới là xương thấp nhất và cùng là vùng xương khỏe nhất trong hệ xương mặt. Xương hàm là vùng xương duy nhất có thể cử động được trong hộp sọ.  

Điểm chung của xương hàm trên và hàm dưới đó là đều chịu tác động của lực nhai. Chính vì thế, khi bị mất răng lâu ngày hoặc vi khuẩn xâm nhập, tấn công sẽ khiến cho xương hàm bị tiêu đi. Ban đầu, hiện tượng tiêu xương có thể chỉ xuất hiện tại một vị trí trên cung hàm. Lâu dần sẽ tiến triển nặng hơn và lan sang các vùng xương kế cận. Từ đó gây ra nhiều hậu quả nghiêm trọng tới sức khỏe răng miệng và cơ thể. 

Nguyên nhân dẫn đến tình trạng tiêu xương hàm

Có 3 nguyên nhân chính dẫn đến tình trạng tiêu xương hàm bao gồm: mất răng lâu năm, viêm nha chu và bệnh nhân làm cầu răng sứ hoặc đeo hàm giả trong một thời gian dài. 

Bác sĩ giải đáp: Tiêu xương chân răng - Nguyên nhân và cách nhận biết

Mất răng lâu năm

Mất răng lâu năm là nguyên nhân hàng đầu dẫn đến tình trạng xương hàm bị tiêu biến nghiêm trọng. Khi một chiếc răng bị mất đi sẽ tạo ra khoảng trống ở vị trí răng mất. Quá trình ăn nhai tác động lực lên xương hàm giúp kích thích các mô xương hoạt động, đảm bảo mật độ xương hàm được duy trì ổn định. Tuy nhiên, mất răng làm mất lực tác động lên xương hàm từ đó xương hàm sẽ bị tiêu biến dần theo thời gian. 

Mất răng lâu ngày dẫn đến tình trạng tiêu xươngMất răng lâu ngày dẫn đến tình trạng tiêu xương

Khi bạn bị mất 1 răng, chiếc răng đối diện không có sự nâng đỡ sẽ trồi lên hoặc thòng xuống. Các răng bên cạnh tại vị trí răng mất sẽ bị xô lệch, đổ dần về phía răng mất gây xáo trộn khớp cắn, ảnh hưởng tới chức năng ăn nhai và tính thẩm mỹ của hàm răng. 

Viêm nha chu

Viêm nha chu cũng là một trong những nguyên nhân phổ biến dẫn đến hiện tượng tiêu xương hàm. Viêm nha chu hay còn gọi là viêm quanh răng là tình trạng phá hủy các tổ chức xung quanh răng bao gồm nướu, xương ổ răng và dây chằng nha chu do viêm nhiễm cấp tính hoặc mãn tính. 

Viêm nha chu khiến vi khuẩn tấn công gây tiêu xương hàm

Viêm nha chu khiến vi khuẩn tấn công gây tiêu xương hàm

Thông thường, răng được cố định vào xương ổ răng thông qua hệ thống dây chằng nha chu. Viêm quanh răng làm phá hủy hệ thống dây chằng nha chu và xương ổ răng, dẫn đến tình trạng tiêu xương, tụt lợi và khiến cho chân răng bị lộ ra khỏi xương. 

Làm cầu răng sứ hoặc đeo hàm giả 

Một số trường hợp bệnh nhân lựa chọn phương pháp làm cầu răng sứ hoặc đeo hàm giả tháo lắp để khôi phục răng mất vẫn sẽ bị tiêu xương hàm sau một thời gian sử dụng. 

Phương pháp cầu răng sứ và hàm tháo lắp lâu ngày sẽ gây tiêu xương hàm

Phương pháp cầu răng sứ và hàm tháo lắp lâu ngày sẽ gây tiêu xương hàm

Nguyên nhân là bởi 2 phương pháp này chỉ khôi phục phần thân răng giả bên trên, hoàn toàn không thay thế được chân răng đã mất. Chính vì thế, tình trạng tiêu xương vẫn sẽ xảy ra, thậm chí xương hàm còn bị tiêu biến nhanh hơn sau một thời gian ăn nhai. 

Các dạng tiêu xương hàm phổ biến khi mất răng

Dưới đây là các dạng tiêu xương hàm phổ biến do mất răng lâu ngày: 

Dạng 1: Tiêu xương hàm theo chiều ngang

Với trường hợp này, độ rộng của xương hàm tại vùng mất răng sẽ thu hẹp lại. Vùng xương quanh đó sẽ giãn ra và xâm lấn khoảng trống xương ổ răng vừa bị tiêu. Các răng bên cạnh không có xương nâng đỡ sẽ nghiêng dần về phía mất răng. 

Tiêu xương hàm theo chiều ngang, xương hàm bị thu hẹp lạiTiêu xương hàm theo chiều ngang, xương hàm bị thu hẹp lại

Dạng 2: Tiêu xương hàm theo chiều dọc 

Khi bị mất răng lâu ngày, phần xương hàm dưới nướu tại vị trí mất răng sẽ bị lõm xuống, trũng sâu hơn so với các vùng kế cận. Theo thời gian, vùng nướu tại vị trí mất răng cũng bị teo nhỏ lại. 

Dạng 3: Tiêu xương, xoang hàm hạ thấp

Trường hợp bị mất răng hàm trên, đáy xoang sẽ hạ xuống theo thời gian. Khoảng cách giữa xương hàm và đáy xoang bị thu hẹp lại, không còn đủ chiều cao để đặt trụ Implant. 

Dạng 4: Tiêu xương toàn bộ khuôn mặt 

Tình trạng tiêu xương toàn bộ khuôn mặt xảy ra khi bệnh nhân bị mất nhiều răng ở cả hàm trên và hàm dưới. Lúc này, khuôn mặt sẽ có sự thay đổi rõ rệt như: má hóp, khuôn miệng lõm vào và cằm đưa ra phía trước… gây ra hiện tượng lão hóa sớm và xuất hiện nhiều nếp nhăn. 

Tình trạng tiêu xương toàn bộ khuôn mặt khi mất răng toàn hàm

Tình trạng tiêu xương toàn bộ khuôn mặt khi mất răng toàn hàm

Dạng 5: Xương hàm bị hạ thấp khi mất răng

Tình trạng này thường xảy ra ở những người cao tuổi bị mất răng toàn hàm, sử dụng hàm tháo lắp trong một khoảng thời gian dài khiến xương hàm bị tiêu biến dần đến các ống thần kinh nằm sâu bên dưới. Điều này sẽ gây khó khăn cho việc phục hồi xương hàm khi muốn cấy ghép Implant. 

Mất răng bao lâu thì bị tiêu xương?

Tùy thuộc vào cơ địa của mỗi người mà sau khi mất răng, tình trạng tiêu xương hàm sẽ diễn ra nhanh hay chậm. Thông thường, sau khoảng 3 tháng đầu mất răng, mật độ xương hàm sẽ suy giảm từ từ. 

Tới 12 tháng sau, 25% xương hàm tại vị trí mất răng sẽ bị tiêu biến. Lúc này, cấu trúc gương mặt có thể trở nên mất cân đối. Người mất răng sẽ bị hóp má, lệch hàm và gặp khó khăn trong việc ăn nhai. 

Khoảng 3 năm sau, xương hàm sẽ tiêu tới 45 - 60%, biểu hiện rõ nhất qua phần nướu hõm sâu, hai bên má hóp rõ rệt và xuất hiện nhiều nếp nhăn. Ở những người bị mất nhiều răng hoặc mất răng toàn hàm, vùng cằm sẽ đưa ra phía trước gây mất thẩm mỹ. 

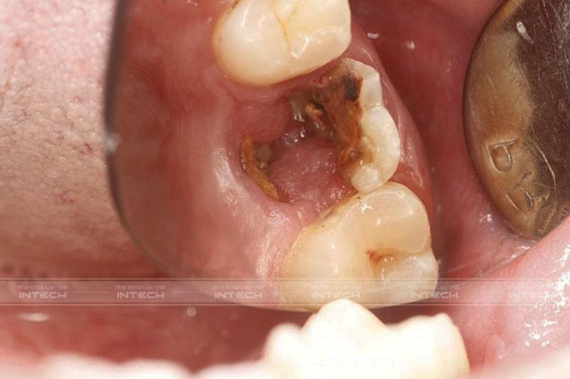
Còn chân răng liệu có bị tiêu xương hàm không?

Một trong những thắc mắc được nhiều người quan tâm đó chính là “Còn chân răng có bị tiêu xương hàm không?”. Rất nhiều người cho rằng còn chân răng sẽ không bị tiêu xương. 

Còn chân răng vẫn sẽ xảy ra tình trạng tiêu xương hàm

Còn chân răng vẫn sẽ xảy ra tình trạng tiêu xương hàm

Tuy nhiên, theo các chuyên gia, răng mất chỉ còn lại chân răng thì xương hàm tại vị trí đó không còn chịu lực tác động khi ăn nhai. Chính vì thế, hiện tượng tiêu xương vẫn sẽ diễn ra và nếu không được khắc phục kịp thời, chi phí ghép xương sẽ tốn kém hơn rất nhiều. 

Vì vậy, cô chú/ anh chị lưu ý khi bị mất răng cần sớm trồng lại răng càng sớm càng tốt để tránh tình trạng tiêu xương hàm xảy ra. 

Ảnh hưởng tiêu xương hàm đến trồng răng Implant

Tình trạng tiêu xương hàm không chỉ gây ảnh hưởng tới tính thẩm mỹ, chức năng ăn nhai mà còn khiến quá trình trồng răng Implant trở nên khó khăn hơn rất nhiều. 

Không có đủ chiều cao để đặt trụ Implant

Xương hàm bị tiêu hõm sẽ không có đủ mật độ, thể tích và chiều cao để đặt chân răng Implant. Chính vì thế, lúc này bác sĩ sẽ cần phải chỉ định ghép xương, kết hợp nâng xoang (đối với trường hợp tiêu xương hàm trên). Như vậy việc ghép xương, nâng xoang sẽ làm kéo dài thời gian cấy Implant và tăng thêm chi phí điều trị. 

Tiêu xương hàm trên khiến xoang hàm hạ thấp không có đủ chỗ để đặt Implant

Tiêu xương hàm trên khiến xoang hàm hạ thấp không có đủ chỗ để đặt Implant

Gây khó khăn trong việc phục hình Implant

Khi bệnh nhân bị mất 1 răng hay nhiều răng trong khoảng thời gian dài, các răng xung quanh sẽ bị xô lệch, gây khó khăn trong việc phục hình Implant do không có đủ chỗ để đặt trụ Implant. Lúc này, tùy thuộc vào tình trạng răng của bệnh nhân, bác sĩ trồng răng implant có thể chỉ định dựng trục răng hoặc nhổ bỏ và cấy ghép Implant thay thế nếu không thể giữ lại được các răng bị xô lệch. 

Trụ Implant bị đào thải sau cấy ghép

Trong trường hợp mất răng và đã bị tiêu xương hàm, nếu như bác sĩ chẩn đoán không chính xác, không tiến hành ghép xương trước khi đặt trụ Implant thì lúc này, xương sẽ không đủ mật độ và thể tích để giữ trụ Implant. Do vậy, trụ Implant không được cố định chắc chắn trong xương hàm sẽ nhanh chóng bị đào thải ra ngoài. 

Trụ Implant bị đào thải sau cấy ghép khi không có đủ mật độ xương

Trụ Implant bị đào thải sau cấy ghép khi không có đủ mật độ xương

Từ những ảnh hưởng nêu trên, có thể thấy rằng tiêu xương hàm sẽ khiến quá trình trồng răng Implant trở nên phức tạp hơn và hiệu quả thành công cũng thấp hơn. 

Tiêu xương hàm có trồng răng Implant được không?

Với sự phát triển của công nghệ hiện đại ngày nay, tiêu xương hàm hoàn toàn có thể trồng răng được. Tuy nhiên, trước khi trồng răng, bác sĩ sẽ tiến hành ghép xương để đảm bảo trụ Implant tích hợp tốt nhất sau khi cấy ghép. Trường hợp bệnh nhân bị mất răng hàm trên, đáy xoang hạ thấp thì bác sĩ sẽ chỉ định nâng xoang ghép xương để đáp ứng đủ tiêu chuẩn về chiều rộng và chiều cao để đặt trụ Implant. Nếu cô chú/ anh chị chưa hiểu rõ cấy ghép implant là gì hãy nhờ bác sĩ tư vấn nhé!

Phương pháp ghép xương

Phương pháp ghép xương

Với kỹ thuật ghép xương implant thông thường, vật liệu ghép xương được đưa vào cơ thể để lấp đầy chỗ khuyết hổng sau đó các tế bào xương tự thân sẽ xâm lấn từ từ vào để thay thế. Do đó, thời gian chờ ghép xương rất lâu, thông thường là khoảng 6 tháng. Đồng thời hiệu suất tái sinh xương không cao do vật liệu xương ghép bị tiêu đi khi các tế bào xương chưa kịp xâm lấn tới. 

Tại Nha khoa Lạc Việt Intech ứng dụng công nghệ ghép xương nhân tạo 3D Bone Graft hiện đại, mang đến nhiều ưu điểm: Xâm lấn tối thiểu, khả năng tái sinh xương cao, không đau, không sưng nề. 

Kỹ thuật 3D Bone Graft sử dụng vật liệu đồng loại siêu dẫn 3D RegenOss có khả năng cảm ứng sinh xương và dẫn tạo xương. Với khả năng ái tế bào siêu việt, 3D RegenOss khi đưa vào vùng khuyết hổng sẽ ngay lập tức thu hút các tế bào xương và kích thích các tế bào này phát triển nhanh hơn. 

Vật liệu xương ghép 3D RegenOss

Vật liệu xương ghép 3D RegenOss

Nhờ khả năng mao dẫn áp lực âm, 3D RegenOss sẽ thu hút các tế bào gốc trong máu, giúp tăng hiệu suất tái tạo xương. Với khả năng ngưng kết tiểu cầu ngay lập tức, 3D RegenOss giúp kháng sưng, kháng viêm, ngăn chặn chảy máu hiệu quả. Nhờ đó rút ngắn thời gian chờ tích hợp xương cho bệnh nhân.  

Tiêu xương hàm có trồng răng được không?

Để ngăn chặn tình trạng tiêu xương hàm, khi bị mất răng cô chú/ anh chị cần tới gặp bác sĩ để được kiểm tra và tư vấn giải pháp khôi phục răng mất kịp thời. Tiêu xương hàm có thể trồng răng implant được. Bởi lựa chọn phương pháp trồng răng Implant sẽ giúp ngăn chặn tình trạng tiêu xương hàm, đồng thời khôi phục chức năng ăn nhai, đảm bảo bền chắc lâu dài. 

Trồng răng Implant giúp ngăn chặn tình trạng tiêu xương

Trồng răng Implant giúp ngăn chặn tình trạng tiêu xương

Bên cạnh đó, cô chú/ anh chị cần đặc biệt chú ý tới việc chăm sóc răng miệng hàng ngày. Chải răng sạch sẽ, kết hợp sử dụng máy tăm nước giúp ngăn ngừa mảng bám cao răng tích tụ gây bệnh viêm nha chu. 

Ngoài ra, khách hàng cần tạo thói quen kiểm tra răng định kỳ 3 - 6 tháng/ lần để lấy cao răng và có thể phát hiện kịp thời các bệnh lý răng miệng và điều trị triệt để. 

Trên đây là những thông tin chi tiết về “Trồng răng tiêu xương hàm có được không?”. Nếu cô chú/ anh chị có bất kỳ thắc mắc nào về vấn đề tiêu xương, vui lòng liên hệ Hotline 19006421 để được chuyên gia tư vấn chi tiết!



Chia sẻ

Tin cùng chủ đề

Đăng ký tư vấn

Vui lòng để lại thông tin và nhu cầu của Quý Khách để được tư vấn

Đối tác của Nha khoa lạc việt intech

Osstem Implant
Osstem Implant
test
test1
Đặt lịch hẹn Messenger Liên hệ Zalo Địa chỉ