Mất Răng Hàm Phải Làm Sao? Review Thực Tế Từ Khách Hàng Mất Nhiều Răng Hàm

Trang Thi
29/08/2025

Răng hàm là những “chiếc cối” quan trọng giúp nghiền nhỏ thức ăn, giữ vững khớp cắn. Nó cũng bảo vệ sức khỏe tiêu hóa. Nhưng thực tế, nhiều người khi lớn tuổi lại bị sâu răng, gãy răng, hoặc mất nhiều răng hàm. Điều đó khiến việc ăn uống trở nên khó khăn, giao tiếp thiếu tự tin. Thậm chí sức khỏe toàn thân cũng bị ảnh hưởng.

Minh chứng từ Nha khoa Lạc Việt Intech, chú Thành – 65 tuổi – đã trải qua tình trạng mất gần hết răng hàm. Chú không còn điểm chạm nhai. Nhờ lựa chọn trồng răng implant, chú đã lấy lại khả năng ăn nhai vững chắc và nụ cười tự tin.

Bài viết này sẽ phân tích chi tiết: Vì sao mất răng hàm lại nguy hiểm, các giải pháp phục hồi, và lời khuyên từ bác sĩ.

Vì sao mất răng hàm ảnh hưởng nghiêm trọng đến sức khỏe?

Răng hàm giữ vai trò “cối xay” của hàm răng. Chúng đảm nhận 70-80% chức năng nhai. Răng hàm giúp nghiền nhỏ thức ăn, giảm tải cho dạ dày và hệ tiêu hóa. Chúng cũng giữ ổn định khớp cắn, tránh lệch hàm.

Tình trạng mất răng hàm khiến việc ăn nhai trở nên khó khăn

Tác hại khi mất nhiều răng hàm là rất lớn. Việc ăn nhai trở nên khó khăn vì thức ăn không được nghiền kỹ. Khớp cắn sai lệch có thể gây đau khớp thái dương hàm. Một trong những hậu quả nghiêm trọng nhất là tiêu xương hàm nhanh chóng. Điều này khiến gương mặt già nua hơn, hóp má. Mất răng cũng khiến chúng ta mất tự tin khi giao tiếp vì răng thiếu thẩm mỹ.

Các giải pháp phục hồi răng hàm hiện nay

Hiện nay có nhiều giải pháp để phục hồi răng hàm đã mất. Có thể kể đến như:

Hàm tháo lắp truyền thống có ưu điểm là chi phí thấp, dễ làm. Tuy nhiên, nhược điểm là lỏng lẻo, vướng víu và khó ăn nhai. Nó cũng gây tiêu xương nhanh.

Cầu răng sứ có ưu điểm là cố định, thẩm mỹ hơn. Nhưng nó lại có nhược điểm là phải mài răng thật hai bên. Tuổi thọ của nó cũng không dài, và nó không ngăn được tiêu xương.

Bác sĩ Nguyễn Văn Luyến phân tích và tư vấn cho chú Thành giải pháp trồng răng implant

Theo chia sẻ của bác sĩ tại Lạc Việt Intech, trồng răng implant là giải pháp hiện đại. Implant là trụ titanium cắm vào xương hàm, thay thế chân răng đã mất. Nó có khả năng tích hợp sinh học với xương. Điều đó tạo nền tảng vững chắc. Sau đó, bác sĩ lắp mão sứ phía trên, phục hồi chức năng ăn nhai như răng thật.

Trường hợp thực tế – chú Thành 65 tuổi mất nhiều răng hàm

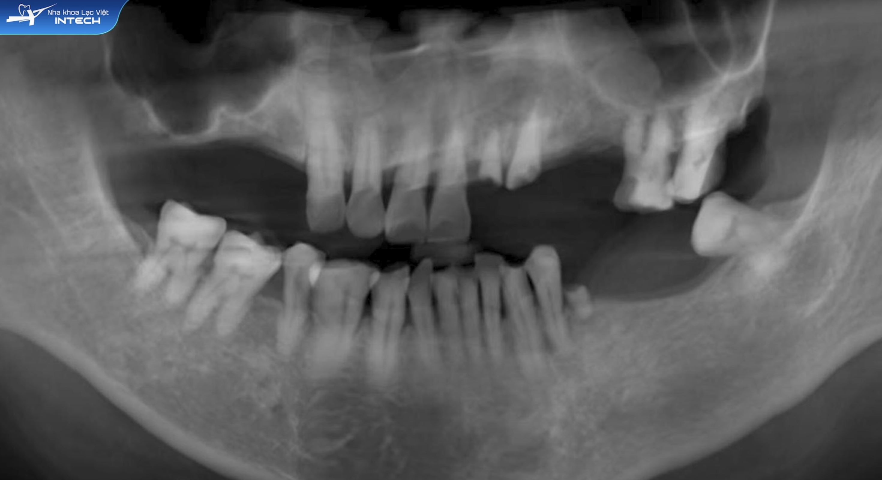
Tình trạng ban đầu của chú Thành rất đáng lo ngại. Chú đã mất gần toàn bộ răng hàm trên và dưới. Chú chỉ còn vài răng cửa yếu. Chú không còn điểm chạm nhai, khi cắn hàm dưới chạm vào lợi gây đau. Chú đã từng thử dùng hàm tháo lắp nhưng bất tiện, không hiệu quả. Giải pháp điều trị của bác sĩ rất tỉ mỉ. Bác sĩ lên kế hoạch phục hồi theo từng giai đoạn, giảm áp lực và đảm bảo an toàn. Tạm thời làm hàm tháo lắp để ổn định khớp cắn. Sau đó, tiến hành cấy implant ở các vị trí răng hàm quan trọng. Sau khi implant tích hợp xương, bác sĩ lắp răng sứ hoàn thiện. Cuối cùng, kết hợp bọc sứ răng cửa để cải thiện thẩm mỹ và khớp cắn.

Chú Thành gặp tình trạng mất gần toàn bộ răng hàm trên và dưới, không còn điểm chạm nhai

Chú Thành đã lấy lại khả năng ăn nhai vững chắc. Câu chuyện của chú là minh chứng rõ ràng. Trồng răng implant có thể phục hồi toàn diện cho người mất nhiều răng hàm, ngay cả ở tuổi 60–70.

Quy trình trồng răng implant tại Nha khoa Lạc Việt Intech

Quy trình trồng răng implant tại Lạc Việt Intech rất khoa học.

  • Bước 1: Thăm khám và chụp phim CT 3D. Điều này giúp kiểm tra tình trạng xương và lợi.
  • Bước 2: Lên phác đồ điều trị cá nhân hóa. Bác sĩ phân tích và tư vấn chi tiết.
  • Bước 3: Cấy trụ implant. Quá trình này rất nhẹ nhàng và an toàn. Nếu cần, bác sĩ sẽ ghép xương.
  • Bước 4: Chờ tích hợp xương. Giai đoạn này mất khoảng 2-3 tháng. Trụ implant sẽ bám chắc vào xương hàm.
  • Bước 5: Lắp mão sứ. Mão sứ sẽ hoàn thiện chức năng ăn nhai và thẩm mỹ.
  • Bước 6: Tái khám và chăm sóc định kỳ. Việc này đảm bảo implant ổn định lâu dài.

Quy trình trồng răng implant tại Lạc Việt Intech được thực hiện bài bản đảm bảo an toàn và hiệu quả cao nhất.

Lời khuyên từ bác sĩ dành cho cô chú, anh chị mất răng hàm

Bác sĩ khuyên nên trồng răng sớm sau khi mất răng để tránh tiêu xương. Nếu đã mất răng lâu năm, vẫn có thể trồng implant nhưng có thể cần ghép xương. Không nên lạm dụng hàm tháo lắp vì gây tiêu xương nhanh. Việc chọn cơ sở uy tín, bác sĩ nhiều kinh nghiệm và trang thiết bị hiện đại cũng rất quan trọng. Bác sĩ sẽ đưa ra lời khuyên tốt nhất dựa trên tình trạng cụ thể của mỗi người. Việc lắng nghe và tuân thủ lời khuyên của bác sĩ sẽ giúp bạn có một hàm răng khỏe mạnh. Nó cũng giúp bạn tránh những rủi ro không đáng có.

Kết luận

Cô chú, anh chị và các bạn, mất răng hàm không còn là “nỗi lo tuổi già” nữa. Với giải pháp trồng răng implant hiện đại, chúng ta có thể lấy lại khả năng ăn nhai. Chúng ta có thể ngăn tiêu xương và giữ nụ cười tự tin. Nó cũng bảo vệ sức khỏe toàn thân.

Nếu cô chú, anh chị đang lo lắng về tình trạng mất răng hàm, hãy đến Nha khoa Lạc Việt Intech để được thăm khám và tư vấn. Đội ngũ bác sĩ giàu kinh nghiệm cùng công nghệ implant tiên tiến sẽ giúp phục hồi nụ cười bền vững, an toàn và thoải mái.

Đặt lịch thăm khám với bác sĩ tại đây!

Chia sẻ

Tin cùng chủ đề

Đăng ký tư vấn

Vui lòng để lại thông tin và nhu cầu của Quý Khách để được tư vấn

Đối tác của Nha khoa lạc việt intech

Osstem Implant
Osstem Implant
test
test1
Đặt lịch hẹn Messenger Liên hệ Zalo Địa chỉ