Răng đóng vai trò rất quan trọng trong việc ăn nhai và đảm bảo tính thẩm mỹ cho khuôn mặt. Dù nguyên nhân dẫn đến mất răng là do tai nạn, bệnh lý răng miệng hay tuổi tác thì việc mất nhiều răng cũng gây ảnh hưởng nghiêm trọng tới chức năng ăn nhai và sức khỏe toàn thân.
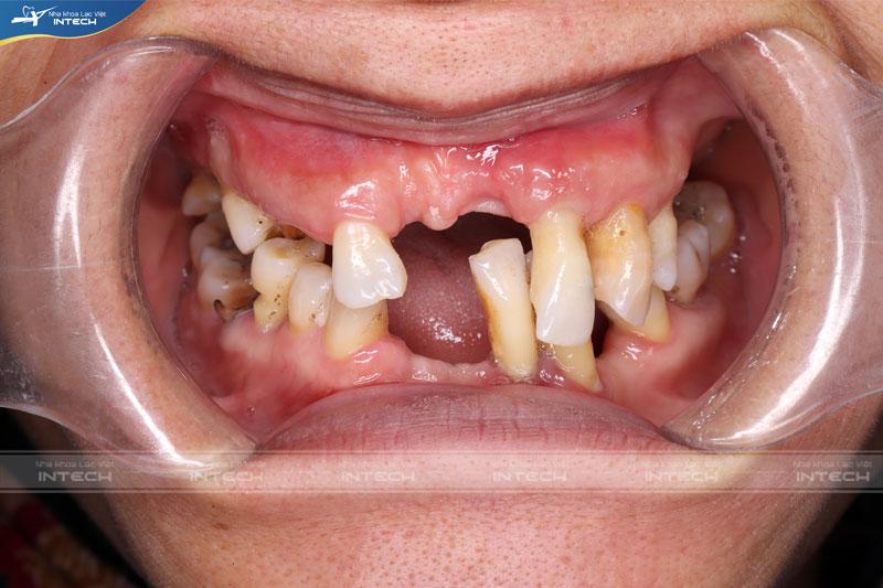
Tình trạng mất nhiều răng
Những ảnh hưởng của việc mất nhiều răng bao gồm:
Mất nhiều răng không những gây suy giảm chức năng ăn nhai mà còn khiến cho các răng bên cạnh tại vị trí răng mất bị xô lệch, ảnh hưởng đến khớp cắn. Điều này có thể gây ra tình trạng mỏi hàm, đau khớp thái dương và thậm chí là đau đầu…
Khi lực nhai không được phân bổ đều sẽ khiến các răng bên cạnh bị nghiêng về vị trí răng mất, gây ảnh hưởng nghiêm trọng tới tính thẩm mỹ và chức năng nhai của cả hàm răng.
Tình trạng mất nhiều răng khiến cho lực nhai tác động lên răng gây ra sự kích thích với vùng xương hàm không còn. Lâu dần xương hàm sẽ bị tiêu biến và ảnh hưởng tới kết quả phục hình răng về sau.
>> Xem thêm: Trồng răng khi bị tiêu xương hàm
Xương ổ răng bị tiêu biến khiến cho chiều cao và độ rộng của thành xương giảm, không còn nâng đỡ được nướu. Vì thế nướu sẽ bị tụt xuống và bờ nướu mỏng dần, lộ ra phần chân răng. Khi xương ổ răng bị tiêu và sụp xuống, răng không còn được nâng đỡ bởi xương hàm và nướu sẽ bị lung lay và rụng dần.
Mất nhiều răng gây tụt nướu, răng lung lay
Mất nhiều răng nếu không được phục hình sớm sẽ khiến cho xương hàm tiêu biến dần, nướu răng thu nhỏ lại và má bị hóp vào trong. Điều này gây ra sự mất cân đối giữa vùng má, mũi, cằm và khiến khuôn mặt trở nên già nua, da nhăn nheo như người già.
Một trong những thắc mắc được nhiều người quan tâm đó chính là “Mất nhiều răng có trồng được Implant không?”. Theo các chuyên gia, phương pháp trồng răng Implant hoàn toàn có thể khôi phục được tình trạng mất nhiều răng, giúp đảm bảo tính thẩm mỹ và đem lại khả năng ăn nhai như răng thật.
Hiện nay, cắm Implant là giải pháp phục hình răng mất tối ưu, áp dụng cho tất cả các trường hợp mất nhiều răng đơn lẻ hay mất răng liền kề. Kỹ thuật trồng răng Implant được thực hiện bằng cách đặt trực tiếp trụ Implant vào trong xương hàm, sau đó gắn khớp kết nối Abutment và lắp mão sứ bên trên. Răng Implant sau khi được phục hình đảm bảo tính thẩm mỹ, có độ bền cao và khả năng ăn nhai như răng thật.
Trồng răng Implant là phương pháp duy nhất có thể khôi phục cả chân răng và thân răng, điều mà các phương pháp truyền thống không thể làm được. Chính vì thế, với trường hợp mất nhiều răng đơn lẻ tại các vị trí khác nhau, trồng răng Implant hoàn toàn có thể phục hình độc lập tại vị trí răng mất mà không gây ảnh hưởng tới những chiếc răng khỏe mạnh bên cạnh.
Phương pháp trồng răng Implant đơn lẻ đối với trường hợp mất nhiều răng tại vị trí khác nhau
Trụ Implant sau khi cấy sẽ tích hợp với xương hàm, duy trì lực tác động nhờ đó ngăn chặn tình trạng tiêu xương, tụt nướu.
Đối với trường hợp mất nhiều răng liền kề nhau, bác sĩ vẫn có thể khôi phục toàn bộ răng mất với phương pháp trồng răng bắc cầu. Kỹ thuật trồng răng bắc cầu được thực hiện bằng cách đặt 2 hoặc 3 trụ Implant vào trong xương hàm, sau đó phục hình một chiếc cầu răng (bao gồm 4 - 6 răng sứ nối liền nhau) bên trên. Khi đã hiểu rõ implant răng là gì cô chú/anh chị có thể có quyết định trồng răng implant phù hợp nhất.
Phương pháp trồng răng bắc cầu áp dụng cho trường hợp mất nhiều răng liền kề
Ưu điểm của phương pháp này đó chính là tiết kiệm chi phí tối đa, hạn chế đau nhức do không phải cấy từng trụ Implant để thay thế cho từng chiếc răng mất. Bên cạnh đó, trồng răng bắc cầu còn đem lại khả năng ăn nhai hoàn hảo, đồng thời giúp ngăn chặn tình trạng tiêu xương hàm.
=> Video bác sĩ Hoàng Vũ Hiệp chia sẻ “Mất nhiều răng nên khắc phục thế nào tốt nhất?”:
Mất nhiều răng nên khắc phục thế nào tốt nhất? Bác sĩ giải đáp
Để ngăn chặn những ảnh hưởng do mất nhiều răng gây nên, bệnh nhân cần khôi phục răng mất càng sớm càng tốt. Bởi nếu như càng để lâu thì sẽ càng gây ra nhiều hệ lụy nghiêm trọng.
Kỹ thuật trồng răng Implant có thể thực hiện đồng thời với việc nhổ răng. Điều này không chỉ giúp giảm thiểu đau đớn cho bệnh nhân mà còn giúp cho vết thương nhanh lành hơn do không gây ra những tổn thương quá lớn. Bên cạnh đó, việc nhổ răng và cấy Implant tức thì cũng tiết kiệm chi phí do lúc này xương hàm của bệnh nhân chưa bị tiêu biến nhiều vì vậy không phải thực hiện ghép xương.
Safe Tech là công nghệ trồng răng Implant 4.0 hiện đại, được ứng dụng độc quyền tại Nha khoa lạc Việt Intech. Với sự hỗ trợ của công nghệ trồng răng Safe Tech, quá trình phẫu thuật cấy ghép Implant sẽ diễn ra an toàn, không đau, ăn nhai tốt, thẩm mỹ đẹp như răng thật và bền chắc theo thời gian.
Công nghệ Safe Tech là sự kết hợp của Smart Tech và Stop Hurt. Trong đó:
=> Tìm hiểu chi tiết về công nghệ trồng răng Safe Tech qua video sau đây:
Safe Tech - Công nghệ trồng răng Implant thế kỷ 21
Dưới đây là một hình ảnh khách hàng mất nhiều răng đã khôi phục thành công tại Lạc Việt Intech:
Khách hàng Tăng Hồng Nam phục hình răng cửa hàm dưới bằng phương pháp trồng răng bắc cầu
Khách hàng Nguyễn Đình Hải trồng răng cửa hàm trên với công nghệ Safe Tech
Khách hàng Trương Quang Vinh mất nhiều răng cửa hàm trên và hàm dưới, phục hình bằng phương pháp trồng răng bắc cầu
Để biết được tình trạng của cô chú/ anh chị nên lựa chọn phương pháp trồng răng nào, hãy đến trực tiếp Nha khoa Lạc Việt Intech để được bác sĩ thăm khám, tư vấn miễn phí.
Nếu cô chú/ anh chị có bất kỳ thắc mắc nào liên quan đến vấn đề “Mất nhiều răng có làm được Implant không?”. Hãy liên hệ ngay qua Hotline: 19006421 để được tư vấn và hỗ trợ.
Tin cùng chủ đề
Câu hỏi liên quan
Tin tức nổi bật
Đăng ký tư vấn
Đối tác của Nha khoa lạc việt intech