Mất hết hàm răng trồng Implant toàn hàm được không? Ảnh hưởng mất răng toàn hàm?

Quản trị viên
07/01/2023

Nguyên nhân dẫn đến tình trạng mất hết hàm răng

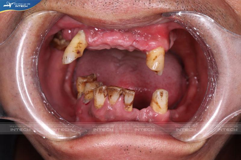
Mất răng toàn hàm là tình trạng phổ biến, thường gặp ở đối tượng người cao tuổi. Không chỉ làm mất đi khả năng ăn nhai, mất răng toàn hàm còn khiến cho gương mặt bị lão hóa sớm và ảnh hưởng tới khả năng giao tiếp. 

Tình trạng mất răng toàn hàm xảy ra do nhiều nguyên nhân khác nhauTình trạng mất răng toàn hàm xảy ra do nhiều nguyên nhân khác nhau

Có rất nhiều nguyên nhân dẫn đến tình trạng mất răng toàn hàm, cụ thể như: 

  • Do vệ sinh răng miệng kém dẫn đến tình trạng viêm nướu, viêm nha chu, sâu răng, viêm tủy… khiến răng lung lay và rụng hàng loạt. 
  • Bệnh nhân không may bị tai nạn, chấn thương hay va đập mạnh vào vùng mặt gây mất răng toàn hàm. 
  • Những người có thói quen xấu như nghiến răng, dùng răng để cắn, mở nắp chai, nhai vật cứng như mía, xương… sẽ khiến cho chân răng bị lung lay và gây mất răng vĩnh viễn. 
  • Theo nghiên cứu, những người có tiền sử đái tháo đường hay cao huyết áp có nguy cơ mất răng cao hơn người thường. 
  • Hút thuốc lá cũng là một trong những nguyên nhân hàng đầu dẫn đến tình trạng mất răng. Không chỉ khiến cho răng bị xỉn màu, hút thuốc lá còn gây ra nhiều bệnh lý răng miệng và dẫn đến tình trạng tụt nướu khiến răng lung lay và mất răng hàng loạt. 
  • Ở người cao tuổi, các bộ phận trong cơ thể sẽ bị lão hóa dần theo thời gian. Xương hàm và răng sẽ trở nên yếu hơn và rụng dần do tuổi tác. 

Xem thêm:Biến chứng mất răng toàn hàm

Những ảnh hưởng của việc mất răng toàn hàm

Tình trạng mất hết hàm răng gây ra những hệ lụy khôn lường, ảnh hưởng tới sức khỏe của bệnh nhân như sau:

Mất răng toàn hàm gây ra nhiều ảnh hưởng tới sức khỏe con ngườiMất răng toàn hàm gây ra nhiều ảnh hưởng tới sức khỏe con người

  • Suy giảm chức năng ăn nhai: Mất toàn bộ răng trên cung hàm khiến khả năng cắn xé, nghiền nát thức ăn của bệnh nhân không còn nữa. Thức ăn không được xử lý khi đưa vào cơ thể khiến dạ dày buộc phải hoạt động hết công suất để tiêu hóa thức ăn. Từ đó dẫn đến các bệnh về đường tiêu hóa và có nguy cơ gây đau dạ dày, táo bón,...
  • Teo nướu, lão hóa sớm gương mặt: Mất răng toàn hàm sau một thời gian dài khiến xương hàm bị tiêu biến và nướu bị teo lại. Tình trạng tiêu xương khiến cho vùng má bị hóp vào, da chảy xệ và khuôn mặt bị biến dạng. Có thể thấy bệnh nhân bị mất răng toàn hàm trông già hơn rất nhiều so với những người cùng độ tuổi. 
  • Đau đầu, suy giảm trí nhớ: Tình trạng mất toàn bộ răng hàm lâu năm khiến cho nướu bị teo lại, dây thần kinh hàm dưới nằm gần niêm mạc hơn. Quá trình ăn nhai gây ra tình trạng rối loạn khớp thái dương hàm, đau các cơ ở vùng cổ - vai - gáy, đau đầu và thậm chí là suy giảm trí nhớ…
  • Phát âm không chính xác: Mất răng toàn hàm đồng nghĩa với việc bệnh nhân bị mất hết răng cửa. Điều này ảnh hưởng nghiêm trọng tới khả năng phát âm, khiến bệnh nhân khó phát âm chính xác được từng từ, dễ nói ngọng từ đó mất tự tin khi giao tiếp. 
  • Gây cản trở quá trình điều trị về sau: Mất toàn bộ răng trong một khoảng thời gian dài khiến tỉ lệ và chất lượng xương hàm ngày càng suy giảm nghiêm trọng. Điều này khiến cho việc phục hình răng bằng Implant trở nên khó khăn hơn do trụ Implant không thể đứng vững trong môi trường xương kém. 

Chính vì thế, dù mất hết hàm răng do bất kỳ nguyên nhân nào đi chăng nữa thì việc phục hình răng càng sớm càng tốt là điều rất cần thiết. 

Mất hết hàm răng có trồng Implant được không? 

Rất nhiều người thắc mắc liệu mất hết hàm răng có trồng Implant được không? Với sự tiến bộ vượt bậc của nền nha khoa hiện đại, người bị mất hết hàm răng hoàn toàn có thể khôi phục lại hàm răng đã mất ngay trên ổ răng cũ mà không gây nguy hiểm cho xương hàm. 

Hiện nay, có 2 phương pháp phục hình toàn hàm bằng Implant được ứng dụng rộng rãi đó là: trồng răng Implant All-on-4 và All-on-6. Đây là 2 giải pháp phục hình răng mất tối ưu, được các chuyên gia đánh giá cao nhất. Trồng răng toàn hàm đem lại nhiều ưu điểm vượt trội về tính thẩm mỹ, độ bền chắc và tuổi thọ lâu dài. 

Trồng răng Implant All-on-4

Kỹ thuật phục hình Implant All-on-4 được thực hiện bằng cách đặt 4 trụ Implant tại 4 mốc giải phẫu quan trọng nhất trên cung hàm. Thông thường, bác sĩ sẽ cấy 2 trụ Implant góc thẳng tại vị trí răng số 2. Hai trụ Implant còn lại sẽ được đặt tại vị trí răng số 5 góc 45 độ. Hàm hybrid bao gồm 1 khung nâng đỡ đóng vai trò phân phối lực đều trên cả 4 trụ Implant.

Kỹ thuật trồng răng All On 4Kỹ thuật trồng răng All-on-4

Với phương pháp trồng răng toàn hàm All-on-4, hàm giả bên trên sẽ phục hình từ 10 - 12 chiếc răng, đảm bảo tính thẩm mỹ và khôi phục khả năng ăn nhai, phát âm… Điểm đặc biệt của kỹ thuật này đó chính là hạn chế việc ghép xương, giảm thiểu đau nhức và tiết kiệm tối đa do sử dụng ít trụ Implant. 

Trồng răng Implant All-on-6

Tương tự như kỹ thuật All-on-4, trồng răng Implant All-on-6 sử dụng 6 trụ Implant để cấy ghép trên cung hàm. Tuy nhiên, điểm khác biệt là tất cả các trụ đều được cấy thẳng, trong đó 4 trụ giữa được cắm tại vị trí răng mặt trước và 2 trụ 2 bên được cắm vào vị trí răng mặt sau (hay còn gọi là răng hàm). Nhờ đó đảm bảo phân bố lực nhai đến toàn bộ các trụ Implant. 

Kỹ thuật trồng răng All On 6Kỹ thuật trồng răng All-on-6

Phương pháp trồng răng All-on-6 sẽ phục hình cho 12 - 14 răng/ hàm, giúp đảm bảo độ chắc chắn và đem lại khả năng ăn nhai như răng thật. Tuy nhiên phương pháp này có một nhược điểm đó là chi phí cao, đòi hỏi phải ghép xương trong một số trường hợp bệnh nhân bị tiêu xương quá nhiều do mất răng lâu ngày.

Trồng răng Implant có nhiều mức giá khác nhau, cô chú/anh chị có thể xem chi tiết tại bài viết "chi phí cắm Implant" để đưa ra lựa chọn phù hợp với nhu cầu và tài chính của mình.

Trồng răng Implant toàn hàm - Giải pháp tối ưu phục hình toàn bộ răng mất

Có thể thấy rằng trồng răng Implant toàn hàm All-on-4 và All-on-6 là giải pháp tối ưu giúp khôi phục toàn bộ răng mất. Không chỉ mang đến những ưu điểm vượt trội, trồng răng Implant toàn hàm còn khắc phục được mọi nhược điểm của hàm tháo lắp cổ điển. 

Ưu điểm của trồng răng toàn hàm All-on-4, All-on-6

  • Đảm bảo tính thẩm mỹ tối đa, Có ngay hàm tạm sau khi cấy ghép Implant.
  • Ăn nhai thoải mái như răng thật, khôi phục 90% chức năng ăn nhai. 
  • Có thể áp dụng đối với mọi trường hợp mất nhiều răng hay mất toàn bộ răng hàm. 
  • Xâm lấn tối thiểu, giúp hạn chế đau nhức và tốc độ lành thương nhanh chóng. 
  • Ngăn chặn tình trạng tiêu xương hàm, giúp duy trì mật độ xương trong suốt quá trình sử dụng. 
  • Bền chắc lâu dài, tuổi thọ gần như vĩnh viễn đến suốt đời nếu như bệnh nhân chăm sóc tốt. 

Sự khác biệt giữa trồng răng toàn hàm so với hàm tháo lắp

Dưới đây là bảng so sánh giữa 2 phương pháp phục hình răng mất được sử dụng phổ biến nhất hiện nay: 

Tiêu chí

Hàm giả tháo lắp

Trồng răng toàn hàm

Thẩm mỹ

Cải thiện tính thẩm mỹ, tuy nhiên răng giả không có màu sắc tự nhiên như răng thật nên rất dễ bị lộ khi sử dụng. 

Thẩm mỹ tối ưu. Răng Implant có hình dáng, màu sắc như một hàm răng thật. 

Cố định chắc chắn

Không được cố định chắc chắn nên dễ lỏng lẻo, kênh và bật ra khi ăn nhai và giao tiếp. 

Được gắn cố định vào trong xương hàm, đảm bảo chắc chắn, không bị lung lay. 

Khả năng ăn nhai

Phục hồi 40 - 60% chức năng ăn nhai. 

Phục hồi tới 98% chức năng ăn nhai. 

Vệ sinh răng miệng

Phải tháo ra, lắp vào liên tục khi vệ sinh răng miệng, gây bất tiện trong quá trình sử dụng. 

Vệ sinh răng miệng đơn giản, chải răng như răng thật. 

Tiêu xương hàm 

Hàm giả tháo lắp không thể ngăn chặn được quá trình tiêu xương diễn ra.

Trồng răng toàn hàm giúp ngăn chặn tình trạng tiêu xương hàm. 

Tuổi thọ

3 - 5 năm 

Tuổi thọ trung bình 25 năm, có thể tồn tại vĩnh viễn nếu chăm sóc tốt. 

Từ bảng so sánh trên, bạn có thể thấy rõ sự khác biệt giữa 2 phương pháp trồng răng Implant và hàm tháo lắp cổ điển. Phương pháp trồng răng Implant toàn hàm mang đến nhiều ưu điểm vượt trội so với hàm giả tháo lắp. 

Trồng răng toàn hàm an toàn, không đau, bền chắc trọn đời với công nghệ Safe Tech

Với sự phát triển của công nghệ hiện đại ngày nay, quá trình trồng răng Implant toàn hàm diễn ra nhanh chóng, an toàn, chính xác và có thể ngăn chặn mọi nguy cơ biến chứng có thể xảy ra. Công nghệ trồng răng Safe Tech đang được áp dụng độc quyền tại Nha khoa Lạc Việt Intech mang đến nhiều ưu điểm vượt trội so với kỹ thuật truyền thống. 

  • Lên phác đồ điều trị an toàn, tỉ lệ thành công tới 99.8%. 
  • Quá trình phẫu thuật cấy ghép Implant an toàn, không đau, không sưng, lành thương nhanh. 
  • Răng Implant sau khi cấy đảm bảo ăn nhai tốt, thẩm mỹ bền đẹp theo thời gian. 
  • Hạn chế tối đa các nguy cơ viêm nhiễm, biến chứng đào thải sau cấy ghép Implant. 

=> Để tìm hiểu rõ hơn về ứng dụng của công nghệ Safe Tech trong implant răng toàn hàm, cô chú/ anh chị có thể theo dõi video sau đây:  

Bác sĩ Vũ Đức Duy chia sẻ về trồng răng toàn hàm bằng công nghệ Safe Tech

Hơn 60.000 khách hàng đã trồng răng Implant thành công tại Nha khoa Lạc Việt Intech. Dưới đây là hình ảnh trước và sau của những khách hàng trồng răng toàn hàm tại Nha khoa Lạc Việt Intech. 

Chú Nguyễn Đức Tính cấy ghép Implant All On 6 hàm trên và All on 4 hàm dướiChú Nguyễn Đức Tính cấy ghép Implant All-on-6 hàm trên và All-on-4 hàm dưới

Khách hàng Đỗ Văn Minh trồng răng Implant All On 6 toàn 2 hàmKhách hàng Đỗ Văn Minh trồng răng Implant All-on-6 toàn 2 hàm

Cô Tô Thị Hải trồng răng Implant All On 4 toàn 2 hàmCô Tô Thị Hải trồng răng Implant All-on-4 toàn 2 hàm

=> Video cảm nhận khách hàng thực tế sau 1 năm trồng răng Implant tại Nha khoa Lạc Việt Intech: 

Cảm nhận sau 1 năm trồng răng Implant - Ăn nhai như thật

Như vậy, qua bài viết trên chắc hẳn cô chú/ anh chị đã hiểu rõ vấn đề mất hết hàm răng có trồng Implant được không. Nếu cô chú/ anh chị có bất kỳ thắc mắc nào về phương pháp trồng răng toàn hàm, hãy liên hệ Hotline 19006421 để được chuyên gia tư vấn!

Chia sẻ

Tin cùng chủ đề

Đăng ký tư vấn

Vui lòng để lại thông tin và nhu cầu của Quý Khách để được tư vấn

Đối tác của Nha khoa lạc việt intech

Osstem Implant
Osstem Implant
test
test1
Đặt lịch hẹn Messenger Liên hệ Zalo Địa chỉ