Lỗ Rò Mủ Ở Lợi: Nguyên Nhân, Nguy Cơ Tiêu Xương, Rụng Răng Và Cách Điều Trị Hiệu Quả

Trang Thi
27/08/2025

Cô chú, anh chị và các bạn có từng thấy ở nướu xuất hiện một chấm nhỏ giống mụn, bên trong có mủ trắng hoặc xanh?
Đó chính là lỗ rò mủ ở lợi – một biểu hiện mà nhiều người thường bỏ qua hoặc chỉ mua thuốc kháng sinh về uống. Nhưng theo các chuyên gia nha khoa, đây thực chất là tín hiệu cảnh báo nguy hiểm: viêm quanh chóp, viêm xương, tiêu xương, thậm chí dẫn đến rụng răng.

Trong bài viết này, Bác sĩ Hoàng Hữu Vĩ – chuyên gia cấy ghép Implant tại Nha khoa Lạc Việt Intech sẽ giúp cô chú, anh chị và các bạn hiểu rõ hơn về:

  • Nguyên nhân hình thành lỗ rò mủ ở lợi
  • Những nguy hiểm tiềm ẩn nếu không điều trị kịp thời
  • Các phương pháp điều trị hiệu quả và an toàn hiện nay

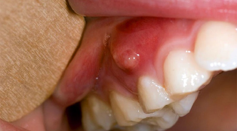
Lỗ rò mủ ở lợi là gì?

Lỗ rò mủ ở lợi (hay còn gọi là fistula) là một đường dẫn mà cơ thể tạo ra để thoát dịch mủ từ bên trong ổ viêm ra ngoài nướu. Thông thường, lỗ rò xuất hiện như một chấm nhỏ trên lợi, có thể mềm, hơi sưng đỏ, khi ấn vào sẽ thấy mủ màu trắng hoặc xanh chảy ra.

Lỗ rò mủ ở lợi có dạng một chấm nhỏ trên lợi, mềm, hơi sưng đỏ, khi ấn vào sẽ thấy mủ màu trắng hoặc xanh.

Theo Bác sĩ Hoàng Hữu Vĩ, lỗ rò mủ không phải là một bệnh lý riêng biệt. Thực chất, nó là hậu quả của tình trạng viêm tủy răng, áp xe quanh chóp hoặc viêm quanh răng kéo dài. Khi ổ viêm tích tụ lâu ngày, áp lực trong xương và mô mềm tăng lên, buộc vi khuẩn phải tìm đường thoát ra ngoài qua một đường rò và hình thành lỗ mủ.

Không ít trường hợp, người bệnh chỉ thấy xuất hiện một đường thoát mủ nhỏ nên chủ quan, nghĩ rằng đó là một dạng mụn ở lợi và chỉ uống kháng sinh để giảm triệu chứng. Tuy nhiên, sự thật nguy hiểm hơn nhiều, bởi đây chính là dấu hiệu cơ thể đang cảnh báo một ổ viêm lớn nằm sâu bên trong xương ổ răng.

Nguyên nhân hình thành lỗ rò mủ ở lợi

Nguyên nhân phổ biến nhất đến từ những chiếc răng bị sâu lớn nhưng không được điều trị kịp thời. Khi vi khuẩn xâm nhập vào buồng tủy, phần tủy răng bị hoại tử sẽ trở thành nguồn lây nhiễm, tạo điều kiện cho vi khuẩn phát triển mạnh mẽ. Dần dần, chúng lan ra chóp răng, gây viêm quanh chóp và hình thành áp xe. Ổ áp xe này tích tụ dịch mủ, phá hủy xương quanh chân răng, cuối cùng tạo ra lỗ rò để thoát mủ ra ngoài lợi.

Nguyên nhân hình thành lỗ rò mủ ở lợi

Một nguyên nhân khác thường gặp là răng đã điều trị tủy nhưng bị tái phát. Nguyên nhân có thể do kỹ thuật cũ không làm sạch triệt để ống tủy, vi khuẩn còn sót lại và âm thầm gây ổ viêm sau nhiều năm. Đến một thời điểm, khi cơ thể không thể kiểm soát ổ viêm nữa, lỗ rò mủ lại xuất hiện.

Ngoài ra, các yếu tố như sang chấn khớp cắn, viêm nha chu mạn tính, hoặc một số bệnh lý toàn thân làm giảm miễn dịch cũng có thể góp phần khiến tình trạng rò mủ xuất hiện nhanh và nặng hơn.

Những nguy hiểm tiềm ẩn nếu không điều trị

Không ít người khi thấy mủ thoát ra ngoài lợi lại cảm thấy đỡ đau hơn, từ đó lơ là việc điều trị. Đây chính là sai lầm phổ biến. Trên thực tế, lỗ rò mủ chỉ giúp dịch mủ thoát ra ngoài, làm giảm áp lực tức thời, chứ không hề giải quyết ổ viêm bên trong.

Ổ viêm vẫn tiếp tục tồn tại và gây hủy hoại xương quanh răng. Khi xương bị tiêu dần, răng sẽ mất đi sự nâng đỡ, dẫn đến tình trạng lung lay. Nếu không can thiệp sớm, hậu quả tất yếu là răng bị rụng vĩnh viễn.

Nghiêm trọng hơn, viêm nhiễm có thể lan rộng sang các răng bên cạnh, tạo thành ổ viêm lớn hơn, thậm chí ảnh hưởng đến cả xương hàm. Trong những trường hợp nặng, bệnh nhân có thể gặp phải tình trạng viêm xương, sưng đau dữ dội, sốt, mệt mỏi, ảnh hưởng trực tiếp đến sức khỏe toàn thân.

Lỗ rò mủ ở lợi tuyệt đối không thể tự khỏi và không thể điều trị tại nhà

Đây cũng là lý do bác sĩ Hoàng Hữu Vĩ cảnh báo rằng: “Lỗ rò mủ ở lợi tuyệt đối không thể tự khỏi và không thể điều trị tại nhà. Nếu trì hoãn, người bệnh có thể mất răng hàng loạt và buộc phải phục hình phức tạp bằng Implant.”

Phương pháp điều trị lỗ rò mủ ở lợi

Nguyên tắc điều trị luôn bao gồm hai phần: giải quyết triệu chứng trước mắt và loại bỏ nguyên nhân gốc rễ.

Ở giai đoạn đầu, bác sĩ sẽ tiến hành rạch dẫn lưu mủ và bơm rửa ổ viêm. Mục tiêu là giảm áp lực trong ổ xương, giúp bệnh nhân đỡ đau nhức và kiểm soát tình trạng nhiễm trùng cấp. Tuy nhiên, đây chỉ là bước xử lý ban đầu.

Điều quan trọng nhất là loại bỏ ổ viêm. Trong đa số trường hợp, bác sĩ sẽ chỉ định điều trị tủy lại. Toàn bộ ống tủy sẽ được làm sạch triệt để bằng hệ thống dụng cụ hiện đại, kết hợp dung dịch chuyên dụng để diệt khuẩn. Sau đó, thuốc kháng viêm được đặt vào trong ống tủy, rồi hàn kín và cuối cùng là phục hình răng bằng chụp sứ để bảo vệ.

Quá trình điều trị thường kéo dài qua nhiều buổi và cần theo dõi định kỳ. Sau khoảng 4–6 tháng, bác sĩ sẽ kiểm tra phim chụp để đánh giá sự hồi phục của xương. Nếu răng đáp ứng tốt, ổ viêm sẽ biến mất, lỗ rò mủ cũng không còn. Trường hợp không thành công, nhổ răng và phục hình bằng Implant sẽ là giải pháp cuối cùng.

Vì sao nên điều trị tại cơ sở nha khoa uy tín?

Một thực tế đáng tiếc là nhiều phòng khám vẫn có xu hướng chỉ định nhổ răng ngay khi thấy tiêu xương. Điều này khiến bệnh nhân mất đi cơ hội giữ lại răng thật. Tuy nhiên, theo kinh nghiệm lâm sàng, nếu được điều trị đúng cách với công nghệ hiện đại, nhiều răng vẫn có thể bảo tồn.

Chụp phim Cone Beam CT 3D giúp bác sĩ xác định chính xác tình trạng tiêu xương và ổ viêm.

Tại Nha khoa Lạc Việt Intech, quá trình chẩn đoán và điều trị lỗ rò mủ ở lợi được thực hiện theo quy trình chuẩn quốc tế.

  • Bệnh nhân được chụp phim Cone Beam CT 3D để bác sĩ có hình ảnh chi tiết, từ đó xác định chính xác tình trạng tiêu xương và ổ viêm.
  •  Công nghệ điều trị tủy hiện đại giúp làm sạch vi khuẩn triệt để, hạn chế tối đa nguy cơ tái phát.
  • Toàn bộ quá trình được thực hiện bởi các bác sĩ chuyên sâu, giàu kinh nghiệm, cùng sự theo dõi định kỳ sau điều trị để đảm bảo hiệu quả lâu dài.

Kết luận

Lỗ rò mủ ở lợi không đơn giản chỉ là một chấm mủ nhỏ trên nướu, mà là dấu hiệu cảnh báo một ổ viêm nhiễm sâu bên trong xương ổ răng. Nếu không điều trị, bệnh có thể dẫn đến tiêu xương, viêm xương hàm, mất răng vĩnh viễn và ảnh hưởng đến sức khỏe toàn thân.

Cách tốt nhất để bảo vệ sức khỏe răng miệng là thăm khám sớm tại cơ sở nha khoa uy tín. Việc tự ý mua thuốc uống, tự điều trị tại nhà hay nhổ răng vội vàng đều tiềm ẩn nhiều rủi ro. Khi có dấu hiệu bất thường như chấm mủ trên lợi, đau nhức răng kéo dài, răng lung lay, cô chú, anh chị và các bạn nên đến nha khoa để được thăm khám và có phác đồ điều trị phù hợp.

Chia sẻ

Tin cùng chủ đề

Đăng ký tư vấn

Vui lòng để lại thông tin và nhu cầu của Quý Khách để được tư vấn

Đối tác của Nha khoa lạc việt intech

Osstem Implant
Osstem Implant
test
test1
Đặt lịch hẹn Messenger Liên hệ Zalo Địa chỉ