Hình ảnh trồng răng Implant từng giai đoạn tại Lạc Việt Intech

Lạc Việt Intech
08/07/2025

1. Hình ảnh kết quả trồng răng Implant đơn lẻ tại Lạc Việt Intech

Trong gần 20 năm hoạt động, Nha khoa Lạc Việt Intech đã thực hiện thành công hàng nghìn ca trồng răng Implant đơn lẻ cho cô chú/anh chị bị mất răng do sâu răng, viêm nha chu hoặc chấn thương. Mỗi ca điều trị đều được thực hiện theo quy trình chuẩn y khoa, ứng dụng công nghệ hiện đại cùng hệ thống thiết bị chẩn đoán hình ảnh chính xác, giúp đảm bảo tính an toàn, thẩm mỹ và chức năng ăn nhai tự nhiên.

Để yên tâm hơn trước khi lựa chọn cấy ghép Implant, cô chú/anh chị có thể tham khảo một số chia sẻ thực tế từ các khách hàng đã điều trị thành công tại Lạc Việt Intech sau đây:

Chú Trần Hồng Tuyến bị mất răng cửa sau một tai nạn và phải sống với tình trạng sún răng suốt hơn 10 năm. Khi đến Nha khoa Lạc Việt Intech, sau khi thăm khám và chụp CT Conebeam, bác sĩ xác định cần thực hiện ghép xương, tạo hình lợi, làm sạch ổ viêm trước khi tiến hành cấy một trụ Implant và phục hình răng sứ bằng công nghệ 3D Pro Multilayer hiện đại. Nhờ phác đồ điều trị rõ ràng và chuyên môn vững vàng của đội ngũ bác sĩ, chú Tuyến đã lấy lại được chiếc răng cửa như thật và sự tự tin sau nhiều năm.

Tình trạng răng của khách hàng Trần Hồng Tuyến trước khi điều trị

Tình trạng răng của khách hàng Trần Hồng Tuyến trước khi điều trị

Sau khi phục hình răng đơn lẻ bằng giải pháp trồng Implant cá nhân hóa DCT, chú Trần Hồng Tuyến đã có chiếc răng mới thẩm mỹ ăn nhai tốt

Sau khi phục hình răng đơn lẻ bằng giải pháp trồng Implant cá nhân hóa DCT, chú Trần Hồng Tuyến đã có chiếc răng mới thẩm mỹ ăn nhai tốt

Cô giáo trẻ Kiều Nguyễn Tuyết Mai mất răng cửa do tai nạn, ảnh hưởng đến khả năng ăn nhai và sự tự tin khi giao tiếp. Sau thăm khám, bác sĩ tại Nha khoa Lạc Việt Intech đã chỉ định trồng một trụ Implant bằng giải pháp DCT. Nhờ đó, quá trình phục hồi diễn ra nhanh chóng, chính xác và thẩm mỹ, giúp cô Mai tự tin trở lại với nụ cười tự nhiên.

Cô giáo trẻ Kiều Nguyễn Tuyết Mai rạng rỡ sau khi phục hình răng cửa bằng giải pháp trồng Implant cá nhân hóa DCT tại Nha khoa Lạc Việt Intech

Cô giáo trẻ Kiều Nguyễn Tuyết Mai rạng rỡ sau khi phục hình răng cửa bằng giải pháp trồng Implant cá nhân hóa DCT tại Nha khoa Lạc Việt Intech

Răng Implant mới không những đảm bảo khả năng ăn nhai mà còn có thẩm mỹ như răng thật, không quá khác biệt với các răng tự nhiên xung quanh

Răng Implant mới không những đảm bảo khả năng ăn nhai mà còn có thẩm mỹ như răng thật, không quá khác biệt với các răng tự nhiên xung quanh

Anh Vũ Ngọc Đức mất một răng cửa hàm trên và lựa chọn phục hình tại Nha khoa Lạc Việt Intech bằng giải pháp trồng răng Implant DCT. Sau 2 tháng đặt chân Implant an toàn, bác sĩ tiến hành lắp trụ phục hình cá nhân hóa và gắn răng toàn sứ 3D Pro Multilayer. Nhờ thiết kế sát khít với đường viền lợi và màu sắc tự nhiên, răng phục hình không chỉ đảm bảo thẩm mỹ mà còn ăn nhai chắc chắn như răng thật. Anh Đức chia sẻ: “Đến mình còn không phân biệt được đâu là răng thật đâu là răng giả.”

Anh Vũ Ngọc Đức đã đến điều trị tại nha khoa Lạc Việt Intech với tình trạng bị mất 1 răng cửa hàm trên

Anh Vũ Ngọc Đức đã đến điều trị tại nha khoa Lạc Việt Intech với tình trạng bị mất 1 răng cửa hàm trên

Sau khi điều trị bằng giải pháp cá nhân hóa DCT, răng Implant mới khôi phục khả năng ăn nhai và thẩm mỹ gần như răng thật

Sau khi điều trị bằng giải pháp cá nhân hóa DCT, răng Implant mới khôi phục khả năng ăn nhai và thẩm mỹ gần như răng thật

Sau khi phục hình hoàn tất, anh Đức đã lấy lại được phong độ tự tin khi giao tiếp, cười nói

Sau khi phục hình hoàn tất, anh Đức đã lấy lại được phong độ tự tin khi giao tiếp, cười nói

Anh Lý Phú Đại (1998) đến Nha khoa Lạc Việt Intech trong tình trạng mất răng cửa số 21 do tai nạn, mang theo nỗi lo lớn về thẩm mỹ. Sau khi được chỉ định phục hình bằng công nghệ DCT, bác sĩ tiến hành đặt trụ Implant và lắp răng sứ 3D Pro Multilayer trên abutment cá nhân hóa bằng zirconia. Nhờ thiết kế sát khít mô lợi và màu sắc tự nhiên, chiếc răng mới có hình thể, độ trong mờ và độ bền như răng thật. Sau điều trị, anh Đại ngạc nhiên đến mức phải thốt lên: “Đâu mới là răng giả?” - câu hỏi cũng là minh chứng cho hiệu quả thẩm mỹ của giải pháp này.

Phục hình răng cửa bằng Implant DCT, khôi phục thẩm mỹ hoàn hảo cho anh Nguyễn Văn Đại

Phục hình răng cửa bằng Implant DCT, khôi phục thẩm mỹ hoàn hảo cho anh Nguyễn Văn Đại

Chị Nông Huyền Trang (29 tuổi) tìm đến Nha khoa Lạc Việt Intech khi bị mất một răng cửa, ảnh hưởng lớn đến thẩm mỹ nụ cười. Sau khi được điều trị bằng công nghệ DCT, trụ Implant cá nhân hóa tích hợp tốt và tái tạo mô lợi hài hòa. Chỉ sau 3 tháng, chị Trang đã có thể lắp răng sứ 3D Pro Multilayer hoàn thiện, với độ trong, màu sắc và hình dáng giống hệt răng thật. “Rất khó phân biệt được đâu là răng thật, đâu là răng Implant” - chị chia sẻ sau khi phục hình thành công.

Sau 3 tháng trồng Implant bằng giải pháp DCT tại nha khoa Lạc Việt Intech, chị Nông Huyền Trang đã tự tin nở nụ cười và giao tiếp thoải mái

Sau 3 tháng trồng Implant bằng giải pháp DCT tại nha khoa Lạc Việt Intech, chị Nông Huyền Trang đã tự tin nở nụ cười và giao tiếp thoải mái

Ngoài ra, tại nha khoa Lạc Việt Intech, đội ngũ bác sĩ và cơ sở vật chất đảm bảo đủ điều kiện để thực hiện các phương pháp cấy ghép, thủ thuật phức tạp như cấy ghép tức thì, giải pháp phục hình cá nhân hóa DCT, ghép lợi...

Một ca phục hình cấy ghép Implant tức thì kết hợp ghép xương, được thực hiện đúng quy trình và đảm bảo an toàn tại Nha khoa Lạc Việt Intech

Một ca phục hình cấy ghép Implant tức thì kết hợp ghép xương, được thực hiện đúng quy trình và đảm bảo an toàn tại Nha khoa Lạc Việt Intech

Trường hợp mất răng hàm được nha khoa Lạc Việt Intech điều trị bằng phương pháp cá nhân hóa DCT

Trường hợp mất răng hàm được nha khoa Lạc Việt Intech điều trị bằng phương pháp cá nhân hóa DCT

Thủ thuật ghép lợi trước khi cấy ghép Implant được thực hiện an toàn, chính xác tại nha khoa Lạc Việt Intech

Thủ thuật ghép lợi trước khi cấy ghép Implant được thực hiện an toàn, chính xác tại nha khoa Lạc Việt Intech

2. Hình ảnh kết quả trồng răng Implant toàn hàm tại Lạc Việt Intech

Trồng răng Implant toàn hàm là giải pháp tối ưu cho cô chú/anh chị mất răng toàn bộ hàm, giúp phục hồi khả năng ăn nhai và cải thiện thẩm mỹ khuôn mặt một cách toàn diện. Tại Nha khoa Lạc Việt Intech, phương pháp phục hình toàn hàm bằng kỹ thuật All-On-4 và All-On-6 đã được ứng dụng thành công trong nhiều năm qua, mang đến kết quả vượt trội về cả chức năng và độ bền lâu dài.

Mời cô chú/anh chị xem qua một số trường hợp phục hình toàn hàm thành công tại nha khoa Lạc Việt Intech sau đây để thấy rõ hiệu quả phục hình, tính thẩm mỹ và sự thay đổi tích cực sau khi cấy ghép:

Chú Hà Hồng Bắc mất răng toàn hàm sau 25 năm do sâu răng và chăm sóc không đúng cách. Qua thăm khám và chụp phim X-quang, bác sĩ tại Nha khoa Lạc Việt Intech đánh giá tình trạng tiêu xương nghiêm trọng, thể tích xương ít cùng bệnh tiểu đường mãn tính làm ca điều trị phức tạp. Bác sĩ Hoàng Vũ Hiệp đã sử dụng phương pháp Implant toàn hàm All-On-4 kết hợp nâng xoang, ghép xương và kiểm soát bệnh tiểu đường, giúp chú Bắc lắp răng tạm chỉ sau 1 ngày và hoàn thiện răng vĩnh viễn sau 2 tháng, phục hồi chức năng ăn nhai và thẩm mỹ như răng thật.

Tình trạng mất răng toàn hai hàm, tiêu xương nặng của chú Hà Hồng Bắc trước khi điều trị

Tình trạng mất răng toàn hai hàm, tiêu xương nặng của chú Hà Hồng Bắc trước khi điều trị

Sau khi được điều trị bằng phương pháp All-On-4, chú Bắc đã có hai hàm răng mới tự nhiên, ăn nhai tốt, bền vững và thuận tiện sử dụng

Sau khi được điều trị bằng phương pháp All-On-4, chú Bắc đã có hai hàm răng mới tự nhiên, ăn nhai tốt, bền vững và thuận tiện sử dụng

Cô Trần Thị Bộ chịu đựng hơn 20 năm đau nhức răng và mất răng toàn bộ hàm dưới, cùng hàm trên còn lại vài răng lung lay, suy giảm chức năng ăn nhai nghiêm trọng. Bác sĩ Nguyễn Hoàng Dương đã chỉ định phương pháp trồng răng Implant All-On-4 toàn hàm. Phương pháp này sử dụng 4 trụ Implant đặt ở vị trí chiến lược, kết hợp Multi-unit Abutment để cố định hàm răng giả 12 răng trên mỗi hàm. Sau gần 3 tháng tích hợp xương, cô Bộ đã phục hồi hoàn chỉnh khả năng ăn nhai và thẩm mỹ, tự tin trong sinh hoạt hàng ngày.

Nhờ điều trị bằng phương pháp All-On-4 tại nha khoa Lạc Việt Intech, cô Trần Thị Bộ đã khôi phục khả năng ăn nhai và thẩm mỹ toàn hàm

Nhờ điều trị bằng phương pháp All-On-4 tại nha khoa Lạc Việt Intech, cô Trần Thị Bộ đã khôi phục khả năng ăn nhai và thẩm mỹ toàn hàm

Chú Trần Văn Bình mất răng dần trong 10 năm do bệnh lý răng miệng và thói quen hút thuốc lá. Sau thời gian dài dùng hàm giả tháo lắp không hiệu quả, bác sĩ tại Nha khoa Lạc Việt Intech thăm khám và xác định tình trạng tiêu xương nặng, kèm viêm nhiễm ở cả hai hàm. Chú được chỉ định ghép xương, nâng xoang, làm sạch ổ viêm và trồng răng toàn hàm theo phương pháp All-On-4. Sau 5 tháng, 4 trụ implant tích hợp hoàn toàn, phục hồi chắc chắn khả năng ăn nhai và thẩm mỹ.

Tình trạng răng toàn hàm bị hỏng nặng, viêm nhiễm của chú Trần Văn Bình trước khi điều trị

Tình trạng răng toàn hàm bị hỏng nặng, viêm nhiễm của chú Trần Văn Bình trước khi điều trị

Nụ cười tự tin, trẻ trung của chú Bình sau khi điều trị thành công bằng phương pháp All-On-4 tại nha khoa Lạc Việt Intech

Nụ cười tự tin, trẻ trung của chú Bình sau khi điều trị thành công bằng phương pháp All-On-4 tại nha khoa Lạc Việt Intech

Khách hàng Trịnh Đạt Hải (65 tuổi) đến với Nha khoa Lạc Việt Intech trong tình trạng mất răng hỗn hợp toàn hàm, các răng còn lại lung lay, không còn chức năng ăn nhai. Trăn trở về chi phí và sức khỏe, chú Hải đã quyết định tìm hiểu kỹ lưỡng và lựa chọn Lạc Việt Intech để điều trị bằng phương pháp trồng răng Implant toàn hàm All-on-6. Sau khi nhổ bỏ các răng viêm nhiễm, bác sĩ Vũ Đức Duy đã tiến hành phục hình 2 hàm Implant. Chỉ sau 3 tháng, trụ Implant tích hợp hoàn toàn, chú Hải được lắp răng vĩnh viễn, khôi phục lại khả năng ăn nhai và khuôn mặt cân đối, tự tin sống khỏe ở tuổi xế chiều.

Tình trạng răng miệng toàn hàm hư hỏng nặng trước điều trị của chú Trịnh Đạt Hải

Tình trạng răng miệng toàn hàm hư hỏng nặng trước điều trị của chú Trịnh Đạt Hải

Sau khi sử dụng phương pháp All-On-6, gương mặt chú Hải trông trẻ trung hơn với hai hàm răng mới

Sau khi sử dụng phương pháp All-On-6, gương mặt chú Hải trông trẻ trung hơn với hai hàm răng mới

Chú Nguyễn Duy Khích (Phú Thọ) đến Lạc Việt Intech trong tình trạng mất nhiều răng hàm, răng còn lại lung lay kèm viêm nha chu nặng gây đau nhức, khó ăn nhai. Sau khi được bác sĩ Nguyễn Hoàng Dương tư vấn điều trị bằng phương pháp Implant All-on-6, chú đã yên tâm lựa chọn phục hình toàn hàm, lấy lại khả năng ăn uống và sự tự tin chỉ sau thời gian ngắn điều trị.

Tình trạng răng toàn hàm nghiêng lệch, tiêu xương và viêm nhiễm nặng của chú Nguyễn Duy Khích

Tình trạng răng toàn hàm nghiêng lệch, tiêu xương và viêm nhiễm nặng của chú Nguyễn Duy Khích

Chú Khích được bác sĩ Nguyễn Hoàng Dương chỉ định điều trị bằng phương pháp All-On-6

Chú Khích được bác sĩ Nguyễn Hoàng Dương chỉ định điều trị bằng phương pháp All-On-6

Chỉ mới lắp hàm tạm, chú Khích đã lấy lại nụ cười tự tin và thoải mái trong giao tiếp

Chỉ mới lắp hàm tạm, chú Khích đã lấy lại nụ cười tự tin và thoải mái trong giao tiếp

Chú Trần Quang Ánh bị mất răng hơn 10 năm, gặp nhiều khó khăn trong ăn nhai, kéo theo sức khỏe suy giảm. Sau khi sử dụng cầu răng sứ không hiệu quả, chú đến Nha khoa Lạc Việt Intech thăm khám và được xác định mất toàn bộ răng hàm trên cùng nhiều răng hàm dưới. Bác sĩ chỉ định trồng răng Implant toàn hàm theo phương pháp All-on-6. Sau 3 tháng tích hợp trụ Implant, chú Ánh được lắp răng hoàn thiện, phục hồi chức năng ăn nhai và cải thiện rõ rệt diện mạo khuôn mặt.

Chú Ánh đã điều trị thành công toàn hai hàm bằng phương pháp All-On-6

Chú Ánh đã điều trị thành công toàn hai hàm bằng phương pháp All-On-6

Không chỉ dừng lại ở những trường hợp vừa chia sẻ, trong suốt gần 20 năm hoạt động, nha khoa Lạc Việt Intech đã thực hiện thành công hơn 80.000 ca phục hình. Hàng nghìn cô chú/anh chị đã lấy lại nụ cười tự tin và khả năng ăn nhai như răng thật:

Khách hàng Thái Văn Tiến gặp tình trạng tiêu xương, viêm nhiễm nặng do sử dụng cầu răng sứ lâu năm, được điều trị trồng Implant toàn hàm trên và hàm dưới

Khách hàng Thái Văn Tiến gặp tình trạng tiêu xương, viêm nhiễm nặng do sử dụng cầu răng sứ lâu năm, được điều trị trồng Implant toàn hàm trên và hàm dưới

Một khách hàng khác được bác sĩ Nguyễn Hoàng Dương điều trị theo phương pháp phục hình Implant cả hai hàm

Một khách hàng khác được bác sĩ Nguyễn Hoàng Dương điều trị theo phương pháp phục hình Implant cả hai hàm

Nhờ phương pháp phục hình All-On-4 tại nha khoa Lạc Việt Intech, cô khách hàng trung niên đã lấy lại được nụ cười tự tin và diện mạo tươi tắn

Nhờ phương pháp phục hình All-On-4 tại nha khoa Lạc Việt Intech, cô khách hàng trung niên đã lấy lại được nụ cười tự tin và diện mạo tươi tắn

3. Tổng hợp hình ảnh thăm khám và thực hiện trồng răng Implant

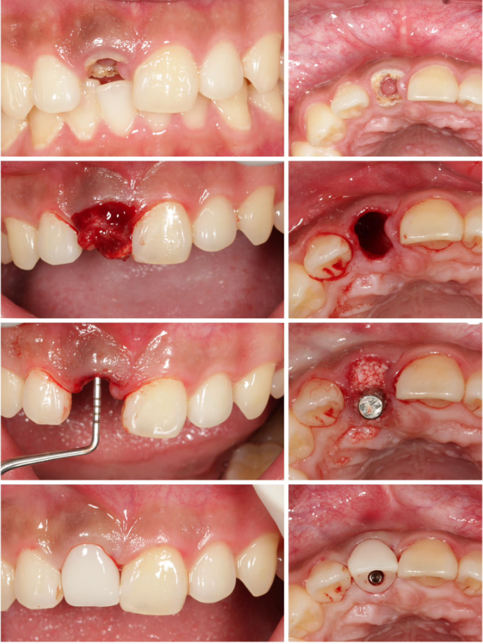
Trước khi tiến hành cấy ghép Implant, cô chú/anh chị cần được thăm khám tổng quát và đánh giá toàn diện tình trạng răng miệng nhằm xác định các yếu tố ảnh hưởng đến quá trình điều trị như: mật độ xương hàm, tình trạng nướu, viêm nhiễm hoặc các bệnh lý răng miệng liên quan.

Tại Nha khoa Lạc Việt Intech, bác sĩ sẽ tiến hành chụp phim bằng máy CT Cone Beam 3D để xác định chính xác vị trí và chất lượng xương hàm của cô chú/anh chị trước khi đặt trụ Implant.

Thiết bị CT Cone Beam chẩn đoán hình ảnh hiện đại giúp bác sĩ xác định chính xác vị trí

Thiết bị CT Cone Beam chẩn đoán hình ảnh hiện đại giúp bác sĩ xác định chính xác vị trí

Phim chụp từ CT Cone Beam sẽ được gửi về máy vi tính để bác sĩ đánh giá mật độ xương cũng như xem xét vị trí đặt trụ phù hợp

Phim chụp từ CT Cone Beam sẽ được gửi về máy vi tính để bác sĩ đánh giá mật độ xương cũng như xem xét vị trí đặt trụ phù hợp

Sau khi đánh giá đầy đủ và xác nhận đủ điều kiện thực hiện, bác sĩ sẽ tiến hành đặt trụ Implant vào vị trí răng đã mất.

Bác sĩ sẽ dùng các dụng cụ hiện đại để tách mô mềm và xương, tạo lỗ chờ cắm Implant ít xâm lấn nhất có thể

Bác sĩ sẽ dùng các dụng cụ hiện đại để tách mô mềm và xương, tạo lỗ chờ cắm Implant ít xâm lấn nhất có thể

Máng hướng dẫn phẫu thuật Guideline được thiết kế cá nhân hóa giúp bác sĩ đặt trụ chính xác hơn

Máng hướng dẫn phẫu thuật Guideline được thiết kế cá nhân hóa giúp bác sĩ đặt trụ chính xác hơn

Robot định vị X-Guide là công nghệ hiện đại bậc nhất, cung cấp tọa độ cắm trụ theo dữ liệu phim chụp CT Cone Beam, tăng độ chính xác thêm 11%

Robot định vị X-Guide là công nghệ hiện đại bậc nhất, cung cấp tọa độ cắm trụ theo dữ liệu phim chụp CT Cone Beam, tăng độ chính xác thêm 11%

Trụ Implant được đặt an toàn với vị trí, phương và hướng chính xác trong xương hàm

Trụ Implant được đặt an toàn với vị trí, phương và hướng chính xác trong xương hàm

Tiếp theo, bác sĩ sẽ lấy dấu hàm bằng công nghệ số để thiết kế mão răng sứ phù hợp với hình dáng và khớp cắn tự nhiên.

Bác sĩ sẽ lấy dấu răng bằng máy scan, cho kết quả chính xác, nhanh chóng, không gây khó chịu cho người điều trị

Bác sĩ sẽ lấy dấu răng bằng máy scan, cho kết quả chính xác, nhanh chóng, không gây khó chịu cho người điều trị

Sau khi trụ Implant hoàn toàn tích hợp xương, bác sĩ sẽ tiến hành lắp trụ phục hình và mão răng sứ lên trụ Implant và hoàn tất quy trình trồng răng Implant

Trụ phục hình được thiết kế cá nhân hóa theo cấu trúc giải phẫu của mỗi người, được lắp trên trụ Implant khi đã hoàn toàn tích hợp xương

Trụ phục hình được thiết kế cá nhân hóa theo cấu trúc giải phẫu của mỗi người, được lắp trên trụ Implant khi đã hoàn toàn tích hợp xương

Mão răng sứ cá nhân hóa có độ trong mờ và độ cứng như răng thật, được lắp bên trên trụ phục hình

Mão răng sứ cá nhân hóa có độ trong mờ và độ cứng như răng thật, được lắp bên trên trụ phục hình

Hình ảnh trồng răng Implant qua từng giai đoạn không chỉ giúp cô chú/anh chị hình dung trực quan về quy trình điều trị, mà còn là minh chứng rõ ràng cho sự chuẩn hóa và chuyên nghiệp trong kỹ thuật cấy ghép tại các nha khoa uy tín như Lạc Việt Intech. Cô chú/anh chị nên ưu tiên yếu tố an toàn và hiệu quả lâu dài khi lựa chọn, thay vì chỉ tập trung vào chi phí.

Nếu cô chú/anh chị đang cần tìm một địa chỉ trồng răng Implant uy tín, an toàn, với đội ngũ bác sĩ giàu kinh nghiệm và trang thiết bị hiện đại, nha khoa Lạc Việt Intech là lựa chọn đáng cân nhắc. Vui lòng liên hệ để được tư vấn chi tiết:

  • Số 91 Phố Huế, Hai Bà Trưng, Hà Nội
  • Số 168 Đường Láng, Q. Đống Đa, Hà Nội
  • Số 426 Minh Khai, Q. Hai Bà Trưng, Hà Nội
  • Số 27 Nguyễn Văn Huyên, Q. Cầu Giấy, Hà Nội
  • Địa chỉ Nghệ An: Số 24 Cao Thắng, P. Hồng Sơn, TP Vinh, Nghệ An
  • Địa chỉ Hải Phòng: 107 Tô Hiệu, Lê Chân, TP Hải Phòng
 
Chia sẻ

Tin cùng chủ đề

Đăng ký tư vấn

Vui lòng để lại thông tin và nhu cầu của Quý Khách để được tư vấn

Đối tác của Nha khoa lạc việt intech

Osstem Implant
Osstem Implant
test
test1
Đặt lịch hẹn Messenger Liên hệ Zalo Địa chỉ