Giải pháp trồng răng implant cá nhân hóa DCT - Trồng một lần, an tâm sử dụng trọn đời

Quản trị viên
14/06/2024
NỘI DUNG BÀI VIẾT

trồng răng implant cá nhân hóa DCT

Với sự ra đời của công nghệ chế tác cũng như những thay đổi trong ngành vật liệu implant, trồng răng implant cá nhân hóa đang ngày càng được áp dụng phổ biến, trong đó giải pháp trồng răng implant DCT được coi là giải pháp trồng răng có nhiều ưu điểm nhất.

Giải pháp trồng răng implant cá nhân hóa DCT là gì?

Giải pháp trồng răng implant cá nhân hóa DCT hay còn gọi là trồng răng implant dựa vào kỹ thuật số (Digital Customized Technics), là một giải pháp trồng răng implant hiện đại, dựa vào kỹ thuật số và công nghệ chế tác CAD/CAM, in 3D để tạo ra những chiếc răng implant mang tính cá nhân hóa phù hợp cho từng răng và từng người riêng biệt.

Trồng răng implant DCT dựa vào một phức hợp công nghệ: đặt trụ chính xác vào trong xương hàm thông qua máng hướng dẫn phẫu thuật Guideline, tạo hình giải phẫu lợi bằng Healing Customized, sử dụng trụ phục hình các nhân hóa (Abutment Customized) riêng biệt cho từng răng, và sử dụng răng toàn sứ đa lớp (3D Pro ML) được chế tác bằng công nghệ CAD/CAM.

Giải pháp trồng răng implant DCT ra đời nhờ sự ứng dụng của công nghệ thực tế ảo, công nghệ chế tác in 3D và CAD/CAM CNC và công nghệ chế tác vật liệu Zirconium điện di phân tử.

Tại sao bạn nên trồng răng implant cá nhân hóa bằng giải pháp DCT? 

DCT được coi là giải pháp trồng răng implant tốt nhất hiện nay nhờ 5 ưu điểm sau:

  • Ưu điểm thứ nhất: An toàn.

Mức độ an toàn của giải pháp cấy ghép impant cá nhân hóa DCT được xét trên 4 khía cạnh.

Ưu điểm an toàn thứ nhất: Đặt trụ rất an toàn:

Nhờ áp dụng máng hướng dẫn phẫu thuật Guideline để khoan và đặt trụ, DCT đảm bảo mũi khoan đi chuẩn theo kế hoạch, không xâm phạm vào các cấu trúc giải phẫu, không lệch hướng, trụ implant được đặt chính xác theo 3 chiều không gian trong xương hàm.

giải pháp trồng răng implant DCT

Kế hoạch đặt trụ với Guideline của một trường hợp lâm sàng

Ưu điểm an toàn thứ 2: Tái lập khoảng sinh học, giúp an toàn cho mô nha chu, xương ổ răng và trụ implant phía dưới.

Khi áp dụng giải pháp cấy implant DCT, trụ lành thương giải phẫu cá nhân hóa có vai trò tái lập lại hình thể và cấu trúc mô nha chu, kích thích hình thành lớp biểu mô lát tầng tạo tiền đề cho việc tái lập khoảng sinh học. Trụ phục hình cá nhân hóa có vai trò nâng đỡ mô nha chu, thiết lập bám dính sinh học giữa lợi và trụ phục hình, giúp mô nha chu ổn định, thiết lập khoảng sinh học bền vững. Ngăn ngừa sự xâm nhập, phá hủy của vi khuẩn từ môi trường miệng xuống bên dưới.

trồng răng implant DCTSo sánh hình ảnh khoảng sinh học giữa răng thật và răng implant.

trồng răng implant cá nhân hóaSo sánh khoảng sinh học giữa trụ phục hình sản xuất sẵn và trụ phục hình cá nhân hóa.

Ưu điểm an toàn thứ 3: Không gây món, sang chấn, giảm tuổi thọ răng đối diện.

Răng sứ không kim loại đa lớp ML của giải pháp trồng răng DCT có độ cứng biến thiên như răng thật, độ kháng mài mòn mặt nhai trùng khớp, không quá cứng cũng không quá mềm, nên không gây ra mòn răng đối, sang chấn răng đối diện như các loại răng sứ thông thường, thường có độ cứng cao hơn răng thật, sẽ gây món, gây sang chấn sau một thời gian ăn nhai.

Ưu điểm an toàn thứ 4: Thuận từ, không gây nhiễu từ, không phải tháo ra khi tầm soát bằng cộng hưởng từ qua vùng cấy ghép.

  • Ưu điểm thứ 2: Thẩm mỹ.

Thẩm mỹ của kỹ thuật cấy ghép imlant cá nhân hóa DCT được nhìn qua 2 lăng kính.

Ưu điểm thẩm mỹ thứ nhất: Thẩm mỹ lợi và mô nha chu đẹp nhất.

Việc sử dụng Healing Customized để tạo hình và tái lập mô nha chu, sử dụng Customzied Abutment để định hình giúp răng implant có nhân hóa có mô nha chu uốn lượn như răng thật, mang lại thẩm mỹ hồng tốt hơn so với răng implant truyền thống.

giải pháp trồng răng implant DCTHình ảnh tạo hình tái lập lợi và mô nha chu theo chuẩn giải phẫu nhờ sử dụng Healing Customized và định hình bằng Abutment Customized

Trồng răng implant cá nhân hóa

Hình ảnh lỗ lợi được tạo ra bởi trụ lành thương sản xuất sẵn và trụ phục hình sản xuất sẵn: bé, tròn, không theo hình thể giải phẫu

Ưu điểm thẩm mỹ thứ 2: Thẩm mỹ màu sắc và hình thể răng tự nhiên và bền màu.

Thay vì sử dụng sứ đắp và sten màu như các loại răng toàn sứ trước đây, 3D Pro ML sử dụng các thông số màu cài đặt sẵn, sắp xếp từ lớp phân tử, giúp cho mức độ ổn định màu rất cao, hiệu ứng màu rất giống răng thật.

  • Ưu điểm thứ 3: Ăn nhai tốt.

Việc đặt trụ implant chính xác theo hướng lực, trụ phục hình thiết kế cá nhân để kháng lại các lực bất lợi và răng sứ 3D Pro có khả năng nghiền cắt tốt mang lại cho răng implant cá nhân hóa khả năng ăn nhai rất tốt, khôi phục lại 96,5% hiệu lực nhai so với răng thật khỏe mạnh.

  • Ưu điểm thứ 4: Bền vững.

Từ việc đặt trụ chính xác, trụ phục hình thiết lập hàng rào sinh học và răng sứ độ bền cao, răng implant cá nhân hóa có độ bền rất cao, nếu kết hợp với chăm sóc và vệ sinh tốt, trồng răng impant cá nhân hóa DCT thường có tuổi thọ suốt đời.

  • Ưu điểm thứ 5: Thoải mái và ổn định khi sử dụng.

Tuy không thể bằng răng thật trong vấn đề cảm biến thức ăn, nhưng việc tái lập lại mô nha chu phần nào đó mang lại cảm biến tốt hơn, giúp bệnh nhân nhai thật hơn, đặc biệt khi sử dụng DCT, răng implant cá nhân hóa sẽ không gây ra hiện tượng nhồi nhét, giắt thức ăn, mang lại sự thoải mái khi ăn nhai.

Nếu còn băn khoăn về chi phí trồng răng, cô chú/anh chị có thể tham khảo bài viết "Trồng trụ Implant giá bao nhiêu" để có thông tin chi tiết và chính xác nhất.

Giải pháp trồng răng implant cá nhân hóa DCT được thực hiện như thế nào?

Trên lâm sàng, DCT được thực hiện qua 4 bước sau:

Bước 1: Cấy trụ implant bằng máng hướng dẫn phẫu thuật.

Thay vì sử dụng Freehand, dựa vào kinh nghiệm để đặt trụ, giải pháp trồng răng implant cá nhân hóa DCT sử dụng máng hướng dẫn phẫu thuật để đảm bảo quá trình đặt trụ chính xác nhất.

trồng răng implant cá nhân hóa DCTMáng hướng dẫn phẫu thuật guideline.

máng hướng dẫn phẫu thuật

Trụ implant được đặt chuẩn xác thông qua máng hướng dẫn phẫu thuật

Bước 2: Đặt trụ lành thương cá nhân hóa để tạo hình mô nha chu.

Trụ lành thương cá nhân hóa sẽ được đặt luôn trong thì đặt trụ. Trong một số trường hợp xương hàm thiếu hổng hoặc lợi không đủ thể tích, Healing Customized có thể được đặt sau 2 tháng, sau khi trụ implant đã tích hợp.

trồng răng implant cá nhân hóa

Bước 3: Scan mô nha chu, khớp cắn và trụ implant để chế tác trụ phục hình cá nhân hóa và răng sứ.

Scanning sẽ được thực hiện sau khi trụ implant đã tích hợp và ổn định. Thường là 2 tháng sau khi đặt trụ.

Khác với phương pháp trồng răng implant truyền thống sẽ lấy dấu bằng thủ công, DCT sử dụng công nghệ Scanning để lấy dấu, mục đích của công nghệ này là ngoài việc sao chép chính xác vị trí implant, nó còn có nhiệm vụ sao chép chính xác hình thể và cấu trúc mô nha chu, khớp cắn của bệnh nhân để dịch chuyển lên phần mềm thiết kế thực tế ảo.

Bước 4: Đặt trụ phục hình cá nhân hóa lên miệng và gắn răng sứ.

Sau khi Scanning, dữ liệu được đưa về trung tâm thiết kế giả lập, trụ phục hình cá nhân hóa sẽ được sản xuất tại đây, sau khi sản xuất xong sẽ được gắn lên miệng, trụ phục hình thông thường sẽ được thiết kế trùng khít với cấu trúc mô nha chu.

Một răng sứ cũng sẽ được thiết kế và gắn lên trụ phục hình cá nhân hóa ở bước này.

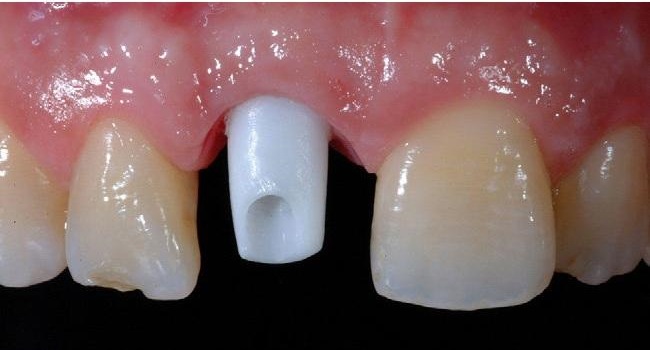
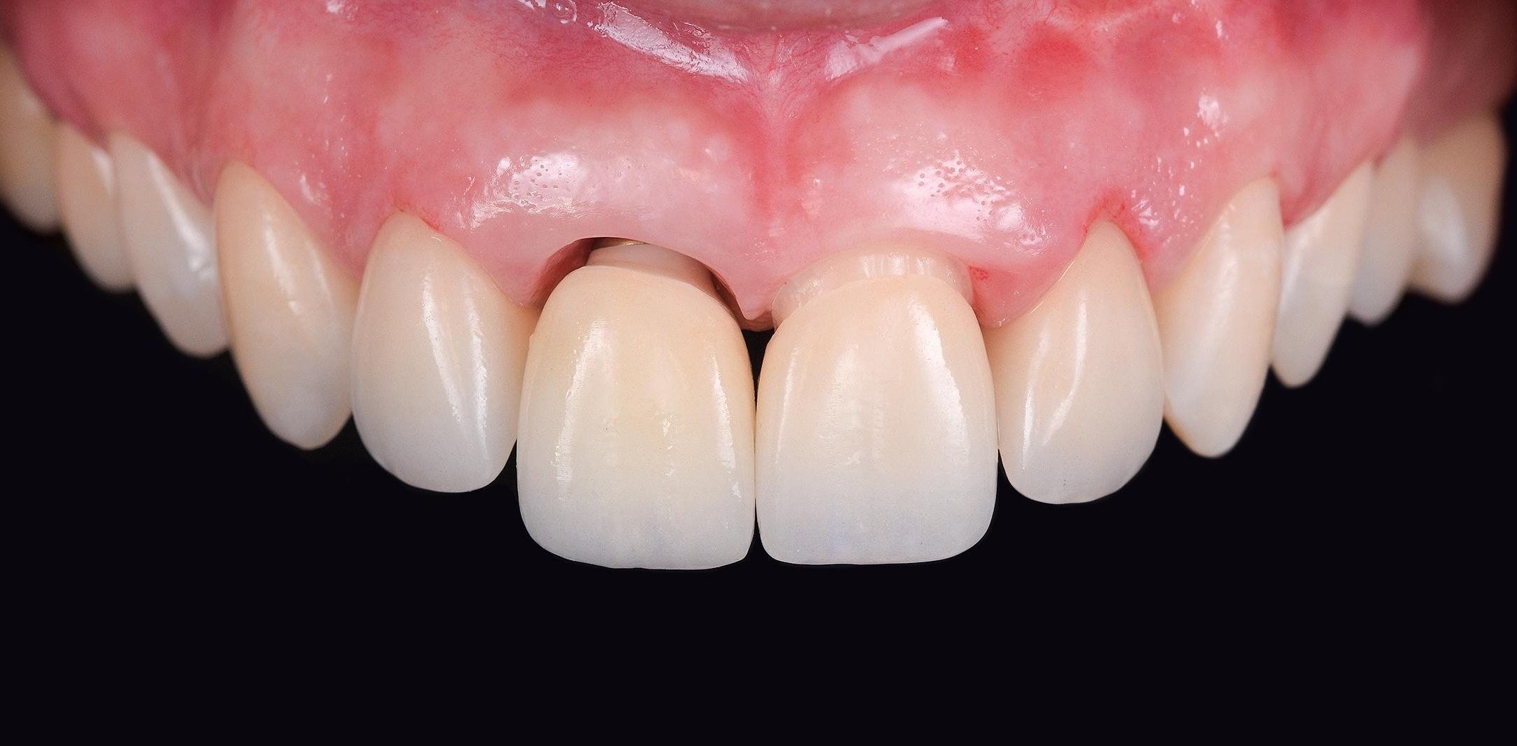
Trụ phục hình cá nhân hóa bằng Zirconia

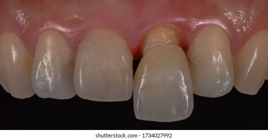
Hình ảnh gắn trụ phục hình và gắn răng sứ. Một trường hợp trồng implant răng cửa bằng giải pháp DCT tại Lạc Việt Intech.

Các tính năng công nghệ của giải pháp trồng răng implant cá nhân hóa DCT

Giải pháp DCT bao gồm một phức hợp công nghệ phát triển theo hướng cá nhân hóa an toàn, bền vững và thẩm mỹ với 4 tính năng vượt trội sau: 

Tính năng thứ nhất: Đặt trụ implant chính xác vào trong xương hàm theo cả 3 chiều nhờ máng hướng dẫn phẫu thuật Guideline.

Trong xương hàm có những cấu trúc giải phẫu nguy hiểm, như ống thần kinh răng dưới hoặc xoang hàm, mà quá trình phẫu thuật đặt trụ implant không được phép làm tổn thương. Mặt khác, để một chiếc răng implant có thể ăn nhai tốt, thì trụ implant cần đặt đúng vị trí, đúng trục truyền lực.

Khi áp dụng giải pháp trồng răng DCT, bác sĩ sẽ sử dụng công nghệ Giudeline để đặt trụ implant. Giudeline sẽ giúp bác sĩ đặt trụ chính xác vào xương hàm theo ba chiều không gian, khiến cho quá trình phẫu thuật an toàn hơn, ăn nhai tốt hơn và bền vững hơn. 

Tính năng thứ 2: Tái lập lợi và mô quanh răng theo đúng chuẩn giải phẫu nhờ Healing Customized.

Mô nha chu quanh răng rất quan trọng. Về mặt sinh học, mô nha chu kết nối với thân - chân răng qua hệ thống dây chằng và biểu mô kết nối, tại ra một hàng rào sinh học ngăn cản vi khuẩn xâm nhập xuống phía dưới. Về mặt thẩm mỹ, mô nha chu tạo ra hình thể uốn lượn mềm mại (gọi là thẫm mỹ hồng), góp phần tạo ra sự khác biệt của nụ cười giữa người này và người khác.

Khi bị mất răng, mô nha chu quanh răng sẽ bị tiêu sập, đối với phương pháp cũ, việc sử dụng trụ phục hình sản xuất sẵn rất khó để hồi sinh lại được mô nha chu.

Khi áp dụng giải pháp trồng răng implant cá nhân hóa DCT, trụ lành thương sẽ được sản xuất cá nhân hóa, thông qua mô phỏng hình thể mô nha chu lý tưởng của từng răng, từng bệnh nhân. Việc tái sinh lại mô nha chu theo chuẩn giải phẫu giúp cho răng implant trong tương lại đẹp hơn, sinh học hơn và ăn nhai chân thật hơn.

Qúa trình chế tác và sử dụng trụ lành thương cá nhân hóa để tái lập hình thể giải phẫu mô nha chu quang implant.

Tính năng thứ 3: Tái lập thân răng đúng chuẩn giải phẫu nhờ sử dụng Abutment Customized.

Thân răng, vừa có vai trò truyền tài và cảm biến ăn nhai, vừa có vai trò định hình ổn định cho mô nha chu. Để tối ưu về mặt truyền lực, thân răng có hình dạng rất khác nhau giữa răng cửa và răng hàm, răng hàm trên và răng hàm dưới.

Đối với phương pháp trồng răng implant kiểu cũ, trụ phục hình được sử dụng là trụ phục hình sản xuất sẵn, có duy nhất một hình dạng là hình trụ thuôn thiết diện tròn, khác xa với hình thể của thân răng thật, do đó nó không thể tạo ra hình thể thân răng lý tưởng, không đảm trách hết vai trò của một thân răng.

DCT sử dụng trụ phục hình cá nhân hóa (Customized Abutment), được sản xuất bằng cách may đo phù hợp với hình thể giải phẫu lý tưởng của từng răng, từng người. Customized Abutment có hình thể giống đúc thân răng lý tưởng, từ đó có thể nâng đỡ tốt mô nha chu, truyền lực tốt và đặc biệt việc sử dụng vật liệu cao cấp giúp lợi có thể kết nối trực tiếp lên bề mặt trụ, từ đó tạo ra hàng rào sinh học ngăn không cho vi khuẩn từ môi trường miệng xâm nhập xuống phía dưới.

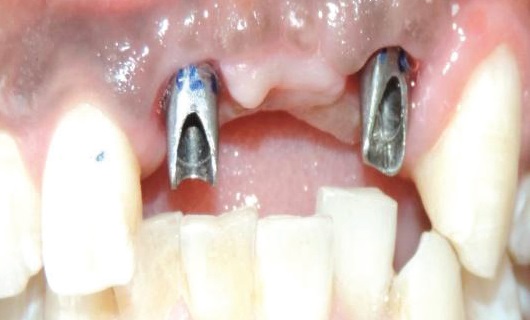
Một trường hợp sử dụng trụ phục hình các nhân hóa bằng zirconia.

So sánh với một trường hợp sử dụng trụ phục hình sản xuất sẵn (đã được mài mặt ngoài để xóa hình thể tròn).

Tính năng thứ 4: Tái lập lại men răng nhờ sử dụng răng toàn sứ đa lớp điện di (3D Pro ML).

Răng sứ 3D Pro là loại răng sứ có cấu trúc sinh học giống như răng thật. Nó có độ cứng biến thiên, mềm hơn ở mặt nhai và cứng hơn ở vùng cổ tương tự như răng thật. Điều này sẽ giúp cho răng thật đối diện không bị mòn khi ăn nhai, đây là thuộc tính duy nhất chỉ có răng sứ đa lớp ML mới có.

Mặt khác, răng sứ 3D Pro cũng có đội biến thiên màu giống như răng thật, là vật liệu thuận từ nên có thể chụp cộng hưởng từ mà không ảnh hưởng.

Độ trong mờ của răng sứ 3D Pro ML giống như răng thật.

Quy trình kỹ thuật cấy ghép implant cá nhân hóa DCT

Một trong những nhược điểm của giải pháp DCT là thời gian đi lại sẽ nhiều hơn công nghệ cũ, thay vì 3 - 4 lần hẹn, DCT sẽ phải đi lại 4 - 5 lần với quy trình kỹ thuật gồm 7 bước sau sau:

  • Bước 1: Lấy dữ liệu, lập kế hoạch và sản xuất guideline.

Tại bước này, bác sĩ sẽ tiến hành chụp CTCB, Scanning hàm răng, các dữ liệu này sẽ được đưa vào Exocad để lập kế hoạch: vị trí và hướng trụ implant sẽ được tính toán chính xác dựa trên các phân tích về lực của Exocad. Sau khi tính toán được chính xác vị trí của trụ, một máng hướng dẫn sẽ được sản xuất để đảm bảo đặt trụ chính xác

Tại bước này, mô nha chu cũng được tái lập giả định trên trạng thái lý tưởng, sau đó một trụ lành thương giải phẫu cá nhân hóa sẽ được sản xuất cùng với sản xuất máng.

  • Bước 2: Đặt trụ implant.

Sau khi máng và trụ lành thương được sản xuất xong, bạn sẽ được nha sĩ hẹn tới để phẫu thuật. Do có máng hướng dẫn, việc phẫu thuật đặt trụ của DCT thường khá nhanh và nhẹ nhàng. Đây là lần hẹn thứ 2 bạn cần tới phòng khám, thường cách lần hẹn đầu tiên 3 ngày (36 giờ).

  • Bước 3: Đặt trụ lành thương cá nhân hóa.

Trụ lành thương cá nhân hóa có thể được đặt ngay sau khi đặt trụ (đa phần là vậy) hoặc đặt ở thì hai, sau khi implant đã ổn định, nếu phải đặt ở thì 2, thì bạn cần tới nha khoa thêm một lần hẹn nữa, cách lần hẹn đặt trụ từ 2 tới 4 tháng tùy loại trụ.

Đa phần các trường hợp sẽ được đặt trụ lành thương trong thì đặt trụ implant, đây cũng là một ưu điểm của giải pháp, giúp bạn không cần phẫu thuật quá nhiều lần.

trồng răng implant cá nhân hóaMột trường hợp nhổ răng, cấy trụ implant bằng guideline và đặt trụ lành thương các nhân hóa bằng titanium, tất cả trong một lần phẫu thuật.

  • Bước 4: Scanning vị trí trụ implant, mô nha chu và khớp cắn.

Sau khi trụ implant tích hợp ổn định (2 tới 4 tháng), bạn sẽ quay trở lại phòng khám, nha khoa sẽ dùng máy quét Scanning để ghi dấu toàn bộ.

Cần lưu ý rằng, các phương pháp lấy dấu thủ công đều không phải là giải pháp trồng răng implant cá nhân hóa DCT, vì DCT cần sao chép không chỉ hàm răng, mà còn cả mô nha chu, khớp cắn và vị trí chân implant, do đó nhất định phải sử dụng công nghệ Scanning.

  • Bước 5: Thiết kế trụ phục hình cá nhân hóa và răng sứ.

Dữ liệu Scanning một lần nữa lại được đưa vào Exocad, kết hợp với các dữ liệu nhân trắc học trước điều trị, một trụ phục hình cá nhân hóa và răng sứ sẽ được thiết kế dựa trên mô nha chu lý tưởng, khuôn mặt và cung răng của từng cá nhân, nhằm mục đích tạo sự hài hòa về thẩm mỹ, về khớp cắn và sinh học mô quanh răng.

  • Bước 6: Chế tác trụ phục hình cá nhân hóa và răng sứ.

Sau khi được thiết kế, dữ liệu sẽ được chuyển qua bộ phận chế tác (gọi là bộ phận CAM) để sản xuất trụ phục hình các nhân hóa và răng sứ.

Toàn bộ trụ phục hình sẽ được sản xuất từ titanium thuần chất hoặc zirconia nguyên khối bằng công nghệ Comuter Aided Making (CAM), răng sứ sẽ được sản xuất từ Zirconia nguyên khối đa lớp.

  • Bước 7: Gắn trụ phục hình các nhân hóa và răng sứ.

Trụ phục hình và răng sứ sau khi được sản xuất xong sẽ chuyển về phòng khám, bác sĩ sẽ hẹn bạn tới nha khoa để lắp trụ phục hình cá nhân hóa và răng sứ.

Đây là lần hẹn thứ 5 bạn tới nha khoa, lần hẹn này cách lần hẹn Scanning khoảng 5 ngày.

Tóm lại: DCT là giải pháp trồng răng implant cá nhân hóa tốt nhất hiện nay, tuy nhiên không phải nha khoa nào cũng có thể làm được.

Để tìm hiểu chi tiết về trồng răng implant cá nhân hóa DCT, hãy đến nha khoa Lạc Việt Intech để được thăm khám và tư vấn miễn phí bởi các chuyên gia hàng đầu.

Chia sẻ

Tin cùng chủ đề

Đăng ký tư vấn

Vui lòng để lại thông tin và nhu cầu của Quý Khách để được tư vấn

Đối tác của Nha khoa lạc việt intech

Osstem Implant
Osstem Implant
test
test1
Đặt lịch hẹn Messenger Liên hệ Zalo Địa chỉ