Cấy răng khểnh giá bao nhiêu? Gợi ý 3 phương bền, đẹp

Lạc Việt Intech
15/04/2025

1. 3 cách cấy răng khểnh tự nhiên cho người không mất răng

Nếu cô chú/anh chị không bị mất răng số 3 nhưng vẫn muốn có một chiếc răng khểnh tự nhiên để sở hữu nụ cười duyên dáng, có thể lựa chọn các phương pháp đắp răng khểnh sau:

1.1. Cấy răng khểnh bằng cách đắp composite

Đắp răng khểnh bằng composite là phương pháp tạo hình răng khểnh bằng vật liệu composite – một loại nhựa nha khoa có màu sắc tương tự răng thật. Bác sĩ sẽ đắp composite trực tiếp lên răng số 3, sau đó tạo hình sao cho răng khểnh trông tự nhiên và hài hòa với cung hàm. Quá trình này diễn ra nhanh chóng, không cần mài răng và có thể hoàn thành ngay trong một buổi hẹn.

Phương pháp này có nhiều ưu điểm nổi bật như:

  • Chi phí thấp: So với các phương pháp khác, đắp răng khểnh bằng composite có mức giá hợp lý, phù hợp với nhiều đối tượng.
  • Không xâm lấn răng thật: Kỹ thuật này không yêu cầu mài răng hay can thiệp sâu vào cấu trúc răng thật, giúp bảo tồn tối đa mô răng tự nhiên.
  • Thời gian thực hiện nhanh chóng: Quá trình đắp răng chỉ mất khoảng 30 - 60 phút, cô chú/anh chị có thể sở hữu răng khểnh ngay sau khi thực hiện.
  • Dễ dàng chỉnh sửa hoặc tháo bỏ: Nếu không còn nhu cầu hoặc muốn điều chỉnh hình dáng răng khểnh, bác sĩ có thể sửa lại hoặc tháo composite mà không gây ảnh hưởng đến răng gốc.

Đắp composite tạo răng khểnh không xâm lấn cấu trúc răng tự nhiên

Đắp composite tạo răng khểnh không xâm lấn cấu trúc răng tự nhiên

Song song với đó, cấy răng khểnh bằng composite cũng có một số hạn chế:

  • Độ bền không cao: Composite dễ bị sứt, mẻ hoặc bong tróc hơn so với răng sứ, đặc biệt khi ăn nhai đồ cứng hoặc có tác động mạnh.
  • Dễ bị nhiễm màu: Theo thời gian, composite có thể bị đổi màu do thực phẩm, nước uống có màu như cà phê, trà, rượu vang.
  • Tuổi thọ ngắn: Trung bình, răng khểnh composite chỉ duy trì được khoảng 3 - 5 năm, sau đó có thể cần chỉnh sửa hoặc thay mới.

Giá đắp răng khểnh bằng composite thường dao động từ 500.000 - 1.500.000 VNĐ/răng, tùy vào chất lượng vật liệu và tay nghề của bác sĩ.

Composite có nhược điểm là nhanh đổi màu sau một thời gian sử dụng

Composite có nhược điểm là nhanh đổi màu sau một thời gian sử dụng

1.2. Cấy răng khểnh bằng cách bọc răng sứ

Bọc răng sứ để tạo răng khểnh là phương pháp sử dụng mão sứ chụp lên răng thật nhằm tạo hình một chiếc răng khểnh tự nhiên. Trước khi bọc sứ, bác sĩ sẽ tiến hành mài một phần răng số 3 để tạo khoảng trống phù hợp, sau đó lấy dấu răng và chế tác mão sứ theo kích thước, hình dáng mong muốn. Khi mão sứ hoàn tất, bác sĩ gắn cố định lên răng bằng keo nha khoa chuyên dụng.

Phương pháp này có nhiều ưu điểm nổi bật hơn đắp composite như:

  • Tính thẩm mỹ cao: Răng sứ có màu sắc tự nhiên, độ bóng đẹp giống răng thật, giúp răng khểnh hài hòa với cung hàm.
  • Độ bền cao: Răng sứ chịu lực tốt, ít bị sứt mẻ hay bong tróc, có thể duy trì từ 10 - 15 năm nếu chăm sóc đúng cách.
  • Không đổi màu theo thời gian: Khác với composite, răng sứ có khả năng chống bám màu tốt, không bị ố vàng dù sử dụng thực phẩm có màu.
  • Cải thiện chức năng ăn nhai: Bọc răng sứ giúp bảo vệ răng thật bên trong, đảm bảo khả năng ăn nhai mà không gây khó chịu.

Bọc răng sứ có độ bền cao, màu sắc tự nhiên như răng thật

Bọc răng sứ có độ bền cao, màu sắc tự nhiên như răng thật

Tuy nhiên, phương pháp này vẫn có một số hạn chế nhất định:

  • Cần mài răng thật: Để gắn mão sứ, bác sĩ phải mài một phần men răng, phần bị mài đi không thể phục hồi về sau.
  • Chi phí cao hơn so với đắp composite: Giá thành bọc răng sứ cao hơn do sử dụng vật liệu bền chắc và cần kỹ thuật chế tác chính xác.
  • Quá trình thực hiện mất nhiều thời gian hơn: Cần ít nhất 2 - 3 buổi hẹn để hoàn thành do phải lấy dấu răng và chế tác mão sứ riêng biệt.

Giá bọc răng sứ để tạo răng khểnh thường dao động từ 1.000.000 - 8.000.000 VNĐ/răng, tùy vào loại răng sứ sử dụng (sứ kim loại, sứ toàn sứ, sứ cao cấp). Khi đã nắm rõ cắm implant để làm gì bạn sẽ có quyết định cắm răng phù hợp với tài chính của bản thân.

Phương pháp bọc răng sứ phải mài mòn răng thật bên trong, có thể dẫn đến ê buốt khi ăn uống

Phương pháp bọc răng sứ phải mài mòn răng thật bên trong, có thể dẫn đến ê buốt khi ăn uống

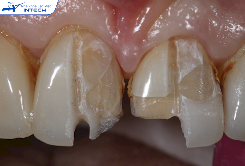
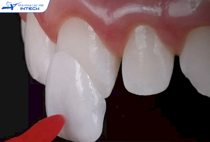
1.3. Cấy răng khểnh bằng cách dán sứ Veneer

Dán sứ Veneer là phương pháp tạo răng khểnh bằng cách dán một lớp sứ mỏng lên bề mặt răng thật. Quá trình này ít xâm lấn, bác sĩ chỉ cần mài rất ít hoặc không cần mài răng. Sau khi lấy dấu răng, mặt dán sứ được chế tác theo kích thước và hình dáng mong muốn, sau đó gắn cố định lên răng bằng keo dán chuyên dụng.

Phương pháp này mang đến nhiều lợi ích cho người dùng như:

  • Bảo tồn răng thật tối đa: Ít hoặc không cần mài răng nên không gây tổn hại đến men răng tự nhiên.
  • Tính thẩm mỹ cao: Veneer sứ có độ mỏng tự nhiên, màu sắc sáng đẹp, hài hòa với răng thật.
  • Không gây ê buốt: Do không mài nhiều mô răng nên hạn chế cảm giác ê buốt sau khi thực hiện.
  • Tuổi thọ lâu dài: Nếu chăm sóc đúng cách, mặt dán sứ có thể bền từ 3 - 7 năm mà không bị đổi màu.

Dán sứ Veneer không cần mài răng, không gây ê buốt và có tính thẩm mỹ cao

Dán sứ Veneer không cần mài răng, không gây ê buốt và có tính thẩm mỹ cao

Đồng thời, phương pháp này cũng có một số khuyết điểm:

  • Chi phí cao hơn so với đắp composite: Do sử dụng vật liệu cao cấp và yêu cầu kỹ thuật chế tác chính xác.
  • Chỉ áp dụng cho răng có cấu trúc tốt: Răng thật phải đủ khỏe, không bị lệch lạc quá mức để dán sứ Veneer hiệu quả.
  • Cần chăm sóc cẩn thận: Mặt dán sứ tuy bền nhưng vẫn có thể bị nứt vỡ nếu va đập mạnh hoặc cắn vật cứng.

Giá dán sứ Veneer để tạo răng khểnh dao động từ 4.000.000 - 10.000.000 VNĐ/răng, tùy vào loại sứ và tay nghề bác sĩ. 

Bề mặt sứ Veneer cần chăm sóc kỹ vì vẫn có thể bể vỡ khi tác động lực mạnh

Bề mặt sứ Veneer cần chăm sóc kỹ vì vẫn có thể bể vỡ khi tác động lực mạnh

Để hiểu rõ hơn về các phương pháp cấy răng khểnh, cô chú/anh chị có thể xem chi tiết trong video dưới đây:

2. 2 cách cấy răng khểnh cho người mất răng số 3

Đối với những người bị mất răng số 3 và muốn tạo răng khểnh, có thể lựa chọn các phương pháp phổ biến sau:

2.1. Làm cầu răng sứ răng khểnh

Làm cầu răng sứ răng khểnh là phương pháp sử dụng một dãy răng sứ liên kết với nhau để thay thế răng mất. Hai răng bên cạnh răng khểnh sẽ được mài nhỏ để làm trụ nâng đỡ cầu răng. 

Cầu răng sứ răng khểnh sử dụng hai răng thật bên cạnh răng 3 làm trụ, nâng đỡ cho mão răng sứ ở giữa, lấp đầy khoảng trống bị mất răng

Cầu răng sứ răng khểnh sử dụng hai răng thật bên cạnh răng 3 làm trụ, nâng đỡ cho mão răng sứ ở giữa, lấp đầy khoảng trống bị mất răng

Phương pháp này có các ưu nhược điểm như sau:

  • Ưu điểm:
    • Cải thiện thẩm mỹ nhanh chóng: Chỉ sau khoảng 2 - 3 ngày, bạn đã có thể sở hữu một chiếc răng khểnh đẹp tự nhiên.
    • Chi phí thấp hơn so với Implant: So với phương pháp cấy ghép Implant, làm cầu răng sứ có mức giá rẻ hơn đáng kể.
  • Nhược điểm:
    • Ảnh hưởng răng thật: Bắt buộc phải mài nhỏ hai răng bên cạnh, có thể làm răng yếu đi và tăng nguy cơ hư tổn sau này.
    • Không ngăn được tiêu xương hàm: Do không có chân răng thay thế, vùng xương hàm tại vị trí mất răng có thể bị tiêu biến theo thời gian.
    • Tuổi thọ không cao: Trung bình cầu răng sứ chỉ duy trì được khoảng 5 - 10 năm trước khi cần thay mới.

Khuyến cáo: Phương pháp này có thể gây tổn hại đến răng thật, làm suy yếu men răng và có nguy cơ mất thêm nhiều răng khác.

Về lâu dài, do không có chân răng thay thế, cầu răng sứ dễ xuất hiện tình trạng tiêu xương hàm, gây lộ khoảng đen mất thẩm mỹ

Về lâu dài, do không có chân răng thay thế, cầu răng sứ dễ xuất hiện tình trạng tiêu xương hàm, gây lộ khoảng đen mất thẩm mỹ

2.2. Trồng răng Implant cho răng khểnh

Trồng răng Implant cho răng khểnh sử dụng trụ Implant cấy trực tiếp vào xương hàm để thay thế chân răng đã mất, sau đó gắn mão sứ lên trên để tái tạo hình dáng răng khểnh tự nhiên. Ưu và nhược điểm của phương pháp này như sau:

  • Ưu điểm:
    • Bảo tồn răng thật tối đa: Không cần mài răng bên cạnh như phương pháp cầu răng sứ, giúp bảo vệ răng tự nhiên.
    • Độ bền cao, sử dụng trọn đời: Trụ Implant có thể duy trì đến trọn đời nếu được chăm sóc đúng cách.
    • Ngăn chặn tiêu xương hàm: Implant thay thế cả chân răng, giúp duy trì mật độ xương hàm, tránh hiện tượng hóp má, lão hóa sớm.
    • Chắc chắn, ăn nhai tốt: Cấu trúc bám chặt vào xương hàm giúp răng khểnh Implant chắc khỏe, chức năng ăn nhai gần như răng thật.
  • Nhược điểm:
    • Chi phí cao: Đây là phương pháp trồng răng có mức giá cao hơn so với cầu răng sứ hoặc răng giả tháo lắp.
    • Thời gian điều trị dài hơn: Quá trình cấy ghép và tích hợp xương thường mất từ 3 - 6 tháng trước khi hoàn thiện mão sứ.

Trồng Implant răng khểnh tương tự như răng bình thường, sử dụng 1 trụ Implant cấy trực tiếp vào xương hàm để thay thế chân răng đã mất

Trồng Implant răng khểnh tương tự như răng bình thường, sử dụng 1 trụ Implant cấy trực tiếp vào xương hàm để thay thế chân răng đã mất

So với các phương pháp khác, trồng răng Implant vượt trội hơn về độ bền, chức năng ăn nhai và bảo vệ sức khỏe răng miệng lâu dài. Dù chi phí ban đầu cao hơn, nhưng xét về lợi ích tổng thể, đây vẫn là lựa chọn tối ưu nếu muốn duy trì răng khểnh bền đẹp theo thời gian.

3. Chi phí cấy răng khểnh là bao nhiêu?

Chi phí cấy răng khểnh phụ thuộc vào phương pháp thực hiện. Dưới đây là mức giá tham khảo cho từng phương pháp:

  • Làm cầu răng sứ: Dao động từ 3,5 - 8 triệu đồng/răng, tùy vào loại răng sứ và số lượng răng cần làm cầu. Tuy nhiên, phương pháp này có thể ảnh hưởng đến răng thật, gây mất thêm răng về sau.
  • Trồng răng Implant cho răng khểnh: Giá từ 12,5 - 47 triệu đồng/răng, tùy vào loại trụ Implant và mão sứ lựa chọn. Đây là phương pháp có độ bền cao, không gây tổn hại đến răng tự nhiên. Để biết chi tiết hơn, cô chú/anh chị có thể tham khảo bài viết giá trồng răng Implant.

Mặc dù chi phí ban đầu của phương pháp trồng răng Implant cho răng khểnh cao hơn so với cầu răng sứ, nhưng xét về độ bền và khả năng bảo vệ răng tự nhiên, đây vẫn là phương án tối ưu. Nếu đầu tư ngay từ đầu, cô chú/anh chị sẽ tránh được các chi phí phát sinh trong tương lai do hư hỏng hoặc mất thêm răng.

Chi phí cấy răng khểnh có sự khác biệt tùy thuộc vào phương pháp, vật liệu sử dụng, công nghệ và tay nghề của bác sĩ

Chi phí cấy răng khểnh có sự khác biệt tùy thuộc vào phương pháp, vật liệu sử dụng, công nghệ và tay nghề của bác sĩ

4. 3 điều cần lưu ý trước khi quyết định cấy răng khểnh

Cấy răng khểnh có thể giúp nụ cười trở nên duyên dáng hơn, nhưng trước khi thực hiện, cô chú/anh chị cần cân nhắc một số yếu tố quan trọng sau:

  • Tác động đến sức khỏe răng miệng: Răng khểnh có thể tạo ra những khe hở khó vệ sinh, làm tăng nguy cơ sâu răng, viêm nướu và ảnh hưởng đến khớp cắn. Nếu không được chăm sóc đúng cách, tình trạng này có thể gây hại cho toàn bộ hàm răng về lâu dài.
  • Yếu tố thẩm mỹ: Không phải ai cũng phù hợp với răng khểnh. Hình dáng khuôn mặt, nụ cười và tổng thể hàm răng cần được đánh giá kỹ lưỡng để đảm bảo răng khểnh hài hòa với diện mạo.
  • Lắng nghe tư vấn từ chuyên gia nha khoa: Trước khi quyết định cấy răng khểnh, cô chú/anh chị nên tham khảo ý kiến bác sĩ để chọn phương pháp phù hợp nhất. Các chuyên gia sẽ giúp cô chú/anh chị đánh giá tình trạng răng miệng, dự đoán những ảnh hưởng về lâu dài và đưa ra lời khuyên chính xác.

Tóm lại, hãy cân nhắc kỹ các yếu tố trên để đảm bảo răng khểnh không chỉ đẹp mà còn không gây ảnh hưởng tiêu cực đến sức khỏe răng miệng.

Để đảm bảo an toàn khi cấy răng khểnh, cô chú/anh chị cần chọn đơn vị uy tín và lắng nghe lời khuyên từ các chuyên gia phục hình răng

Để đảm bảo an toàn khi cấy răng khểnh, cô chú/anh chị cần chọn đơn vị uy tín và lắng nghe lời khuyên từ các chuyên gia phục hình răng

5. Câu hỏi thường gặp về cấy răng khểnh

Trong quá trình tìm hiểu về cấy răng khểnh, nhiều người thắc mắc về độ bền, cảm giác khi thực hiện hay các yếu tố ảnh hưởng đến kết quả. Dưới đây là những câu hỏi phổ biến sẽ giúp cô chú/anh chị có thông tin rõ ràng hơn trước khi quyết định làm răng khểnh:

5.1. Cấy răng khểnh có đau không?

Cấy răng khểnh không gây đau, vì quá trình thực hiện có sự hỗ trợ của thuốc tê và kỹ thuật hiện đại, giúp giảm thiểu xâm lấn. Sau khi thực hiện, cô chú/anh chị có thể cảm thấy ê nhẹ trong thời gian ngắn nhưng có thể kiểm soát dễ dàng bằng thuốc giảm đau.

Quá trình cấy răng khểnh có sử dụng thuốc tê, kết hợp với công nghệ cấy ghép hiện đại nên cô chú/anh chị sẽ không cảm thấy đau

Quá trình cấy răng khểnh có sử dụng thuốc tê, kết hợp với công nghệ cấy ghép hiện đại nên cô chú/anh chị sẽ không cảm thấy đau

5.2. Làm răng khểnh giữ được bao lâu?

Độ bền của răng khểnh phụ thuộc vào phương pháp thực hiện. Đắp composite hoặc dán sứ Veneer thường duy trì từ 3 - 7 năm, tùy vào chế độ chăm sóc. Bọc răng sứ có thể kéo dài 10 - 15 năm nếu được bảo dưỡng tốt. Trong trường hợp mất răng, trồng Implant răng khểnh có độ bền trên 20 năm, thậm chí trọn đời, nhờ trụ Implant tích hợp chắc chắn với xương hàm.

5.3. Đắp răng khểnh có tháo được không?

Đắp răng khểnh có thể tháo được nếu răng khểnh được đắp bằng composite hoặc dán sứ Veneer. Khi muốn gỡ bỏ, cô chú/anh chị cần đến nha khoa để bác sĩ thực hiện thao tác an toàn, tránh ảnh hưởng đến răng thật.

Với các trường hợp đắp hoặc dán răng khểnh, cô chú/anh chị có thể đến nha khoa để bác sĩ hỗ trợ tháo nếu có nhu cầu

Với các trường hợp đắp hoặc dán răng khểnh, cô chú/anh chị có thể đến nha khoa để bác sĩ hỗ trợ tháo nếu có nhu cầu

5.4. Có thể cấy răng khểnh nếu đang niềng răng không?

Nếu đắp sứ để tạo răng khểnh, cô chú/anh chị nên hoàn thành niềng răng trước để đảm bảo răng đã ổn định. Trong trường hợp trồng răng Implant dáng răng khểnh, nên thực hiện trước khi niềng vì răng Implant không thể dịch chuyển như răng tự nhiên.

6. Gợi ý các mẫu răng khểnh đẹp 

Răng khểnh từ lâu đã trở thành nét duyên ngầm của nhiều người, đặc biệt là những ngôi sao sở hữu nụ cười cuốn hút. Nếu cô chú/anh chị đang cân nhắc cấy răng khểnh, hãy tham khảo những hình ảnh dưới đây để tìm cảm hứng cho dáng răng phù hợp với mình:

Ngô Kiến Huy là một trong những sao Việt nổi tiếng có nụ cười duyên dáng với chiếc răng khểnh đặc trưng

Ngô Kiến Huy là một trong những sao Việt nổi tiếng có nụ cười duyên dáng với chiếc răng khểnh đặc trưng

Hoa hậu Mai Phương Thúy cũng gây ấn tượng với người đối diện với chiếc răng khểnh nổi bật

Hoa hậu Mai Phương Thúy cũng gây ấn tượng với người đối diện với chiếc răng khểnh nổi bật

Diễn viên hài Anh Đức tăng độ duyên dáng với khán giả nhờ nụ cười răng khểnh

Diễn viên hài Anh Đức tăng độ duyên dáng với khán giả nhờ nụ cười răng khểnh

Diễn viên Phạm Bảo Hân trong bộ phim “Về nhà đi con” cũng gây sốt với nụ cười răng khểnh đáng yêu

Diễn viên Phạm Bảo Hân trong bộ phim “Về nhà đi con” cũng gây sốt với nụ cười răng khểnh đáng yêu

Thành viên Kenta của nhóm nhạc Hàn Quốc JBJ95 sở hữu nụ cười thân thiện, khả ái với chiếc răng khểnh

Thành viên Kenta của nhóm nhạc Hàn Quốc JBJ95 sở hữu nụ cười thân thiện, khả ái với chiếc răng khểnh

Một chiếc răng khểnh đẹp không chỉ tạo điểm nhấn cho nụ cười mà còn cần đảm bảo sự hài hòa với khuôn mặt và sức khỏe răng miệng. Dù lựa chọn phương pháp nào, cô chú/anh chị cũng nên cân nhắc kỹ lưỡng, tham khảo ý kiến của bác sĩ để có quyết định phù hợp, giúp duy trì vẻ đẹp lâu dài và an toàn khi cấy răng khểnh.

Nếu cô chú/anh chị đang quan tâm đến cấy răng khểnh và muốn tìm hiểu phương pháp phù hợp nhất, hãy liên hệ với Nha khoa Lạc Việt Intech để được các bác sĩ chuyên khoa tư vấn chi tiết và đưa ra giải pháp tối ưu:

  • Website: https://lacvietdental.vn/
  • Fanpage: https://www.facebook.com/lacvietdental.vn
  • Hotline: 0866.38.0033
  • Địa chỉ TP. HCM: Số 90 - 92 Ngô Gia Tự, Phường 9, Quận 10, TP. HCM
  • Địa chỉ Hà Nội:
    • Số 91 Phố Huế, Hai Bà Trưng, Hà Nội
    • Số 168 Đường Láng, Q. Đống Đa, Hà Nội
    • Số 426 Minh Khai, Q. Hai Bà Trưng, Hà Nội
    • Số 27 Nguyễn Văn Huyên, Q. Cầu Giấy, Hà Nội
  • Địa chỉ Nghệ An: Số 24 Cao Thắng, P. Hồng Sơn, TP Vinh, Nghệ An
  • Địa chỉ Hải Phòng: 107 Tô Hiệu, Lê Chân, TP Hải Phòng

Lưu ý : Mọi thông tin trên website Nha khoa Lạc Việt Intech chỉ mang tính tham khảo, không thay thế chẩn đoán hoặc điều trị y tế chuyên nghiệp. Kết quả điều trị thực tế phụ thuộc vào từng cá nhân và cần sự thăm khám trực tiếp của bác sĩ. Chúng tôi khuyến nghị bạn luôn tham khảo ý kiến chuyên gia cho mọi vấn đề sức khỏe.

Chia sẻ

Tin cùng chủ đề

Đăng ký tư vấn

Vui lòng để lại thông tin và nhu cầu của Quý Khách để được tư vấn

Đối tác của Nha khoa lạc việt intech

Osstem Implant
Osstem Implant
test
test1
Đặt lịch hẹn Messenger Liên hệ Zalo Địa chỉ