Cấy ghép Implant thẩm mỹ có đáng tin cậy không?

Lạc Việt Intech
08/07/2025

 1. Cấy ghép Implant thẩm mỹ là gì?

Cấy ghép Implant thẩm mỹ là phương pháp phục hình răng mất bằng răng Implant có hình dáng, màu sắc và tỷ lệ gần giống răng thật. Phương pháp này giúp cô chú/anh chị không chỉ khắc phục tình trạng mất răng mà còn cải thiện rõ rệt thẩm mỹ nụ cười, tạo cảm giác tự nhiên, gần như không thể nhận biết răng giả.

Cấy ghép Implant thẩm mỹ là giải pháp phục hình đảm bảo cả chức năng ăn nhai lẫn thẩm mỹ như răng thật

Cấy ghép Implant thẩm mỹ là giải pháp phục hình đảm bảo cả chức năng ăn nhai lẫn thẩm mỹ như răng thật

2. Các yếu tố tạo nên tính thẩm mỹ của cấy ghép Implant

Để một ca cấy ghép Implant đạt được độ thẩm mỹ như mong muốn, cô chú/anh chị cần lưu ý đến nhiều yếu tố như chất liệu mão sứ, vị trí đặt trụ Implant, sự lành thương của nướu và khả năng tích hợp xương, cụ thể:

2.1. Mão răng sứ chất lượng cao

Là “phần nổi” của răng trong cấu tạo Implant, mão răng sứ quyết định phần lớn đến tính thẩm mỹ của răng sau khi phục hình. Để tạo ra chiếc răng trông tự nhiên và hài hòa, mão sứ cần đảm bảo các yếu tố về chất liệu, thiết kế và màu sắc.

  • Vật liệu: Ưu tiên mão toàn sứ (Zirconia) vì có độ trong mờ tự nhiên, màu sắc đa dạng và khả năng mô phỏng răng thật tốt hơn răng sứ kim loại.
  • Thiết kế: Răng sứ được thiết kế riêng biệt, cá nhân hoá để phù hợp với hình dáng, kích thước của các răng còn lại và khớp cắn của mỗi người.
  • Màu sắc: Đảm bảo màu sắc răng sứ hài hòa với màu răng tự nhiên của mỗi người, có thể tẩy trắng răng thật trước khi làm răng sứ để đạt được màu sắc mong muốn.

Cô chú/anh chị nên ưu tiên loại mão sứ toàn sứ để có độ trong mờ tự nhiên hơn lõi kim loại

Cô chú/anh chị nên ưu tiên loại mão sứ toàn sứ để có độ trong mờ tự nhiên hơn lõi kim loại

2.2. Vị trí và góc độ cấy ghép Implant chính xác

Bác sĩ cần xác định chính xác vị trí và góc độ khi cấy ghép Implant để đảm bảo cả tính thẩm mỹ và độ bền cho răng. Nhờ công nghệ chụp CT Cone Beam 3D kết hợp phần mềm lập kế hoạch phẫu thuật, bác sĩ có thể tính toán độ sâu, hướng nghiêng và vị trí đặt trụ phù hợp với từng cấu trúc xương hàm.

Ngoài ra, trong quá trình thực hiện, bác sĩ có thể ứng dụng các công nghệ hiện đại khác như máng hướng dẫn phẫu thuật Guideline hoặc robot định vị X-Guide để đặt trụ đúng vị trí đã định sẵn, hạn chế xâm lấn, bảo toàn mô nướu và tạo nền vững chắc cho mão sứ.

 

 Máng hướng dẫn phẫu thuật Guideline được thiết kế theo dữ liệu xương hàm của từng người

Máng hướng dẫn phẫu thuật Guideline được thiết kế theo dữ liệu xương hàm của từng người

 

Bác sĩ ứng dụng máng hướng dẫn phẫu thuật Guideline để tăng độ chính xác khi đặt trụ Implant 

Bác sĩ ứng dụng máng hướng dẫn phẫu thuật Guideline để tăng độ chính xác khi đặt trụ Implant

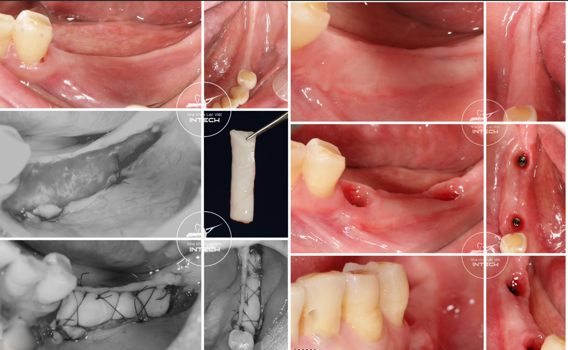
2.3. Sự ổn định của nướu răng xung quanh Implant

Khi trụ Implant được đặt đúng kỹ thuật, mô nướu sẽ ôm sát quanh cổ trụ, che phủ tốt và tránh tình trạng tụt nướu hoặc lộ trụ gây mất thẩm mỹ. Đối với vùng răng cửa hoặc trường hợp nướu quá mỏng, bác sĩ có thể chỉ định ghép nướu để cải thiện hình dáng và màu sắc viền nướu, tăng hiệu quả thẩm mỹ sau phục hình.

Bác sĩ tại nha khoa Lạc Việt Intech thực hiện ghép nướu an toàn, chính xác, ít xâm lấn, tái tạo viền nướu như răng thật

Bác sĩ tại nha khoa Lạc Việt Intech thực hiện ghép nướu an toàn, chính xác, ít xâm lấn, tái tạo viền nướu như răng thật

2.4. Sự lành thương và tích hợp xương

Sau khi cấy ghép, sẽ cần khoảng 3 - 6 tháng để trụ Implant tích hợp xương hàm, tạo nền vững chắc cho mão răng sứ. Quá trình lành thương và tích hợp xương diễn ra thuận lợi sẽ giúp răng Implant ổn định lâu dài, duy trì tính thẩm mỹ mà không phải phục hình lại gây tốn kém.

Để đạt được điều này, bác sĩ cần lựa chọn kỹ thuật phù hợp và ứng dụng công nghệ cá nhân hóa trong điều trị - đây cũng là yếu tố được đề cập trong phần tiếp theo.

Trụ Implant tích hợp tốt và mô nướu lành thương sẽ giúp răng Implant bền hơn và tổng thể trông tự nhiên

Trụ Implant tích hợp tốt và mô nướu lành thương sẽ giúp răng Implant bền hơn và tổng thể trông tự nhiên

3. Giải pháp trồng răng cá nhân hóa DCT - Bí quyết để có hàm răng Implant thẩm mỹ như thật

Tại Nha khoa Lạc Việt, giải pháp trồng răng cá nhân hóa DCT được phát triển nhằm mang lại hiệu quả thẩm mỹ vượt trội cho khách hàng, khắc phục nhiều hạn chế của phương pháp cấy ghép Implant truyền thống.

Dựa trên công nghệ hiện đại và thiết kế cá nhân hóa, giải pháp DCT giúp mỗi chiếc răng Implant sau phục hình đều đạt tính tự nhiên cao cả về màu sắc lẫn hình thể, cụ thể:

  • Cấy Implant đúng vị trí, đúng trục: Bác sĩ sử dụng máng hướng dẫn phẫu thuật Guideline để đặt trụ Implant theo đúng kế hoạch ban đầu, hạn chế sai lệch vị trí hoặc góc độ - nguyên nhân thường dẫn đến tình trạng răng lệch trục, mất cân đối hoặc khó ăn nhai.
  • Chất liệu sứ cao cấp, không đổi màu: Mỗi răng phục hình đều sử dụng vật liệu sứ 3D Multilayer cao cấp, có độ trong mờ và chuyển màu tự nhiên, giúp răng không bị đục, xỉn theo thời gian và luôn hài hòa với răng thật.
  • Không gây mòn hay sang chấn răng đối: Răng sứ 3D Pro Multilayer có độ cứng phân bố theo vùng, cứng ở cổ răng để chịu lực tốt nhưng mềm hơn ở mặt nhai và rìa cắn. Nhờ đó, răng không gây mòn men răng đối diện và không gây sang chấn khớp cắn.
  • Đường viền nướu tự nhiên: Trụ phục hình được thiết kế riêng theo đường viền lợi của từng khách hàng, ôm sát mô nướu, từ đó tạo hiệu ứng tự nhiên như răng thật, không bị gợn hoặc mất cân xứng.
  • Không bị ánh đen vùng nướu: Khác với trụ Titan làm sẵn dễ gây lộ ánh đen do màu kim loại, trụ phục hình cá nhân hóa từ Zirconia có màu trắng ngà tự nhiên, giúp vùng cổ răng không bị đổi màu hay kém thẩm mỹ khi ánh sáng chiếu vào.
  • Tái tạo thẩm mỹ hồng như răng thật: Quy trình DCT ứng dụng trụ lành thương và trụ phục hình cá nhân hóa để tái lập và giữ hình dạng mô nha chu, giúp vùng lợi uốn lượn mềm mại, ôm sát răng sứ như răng thật, mang đến hiệu ứng thẩm mỹ hồng tự nhiên mà phương pháp truyền thống khó đạt được.

Nha khoa Lạc Việt Intech cam kết thực hiện hợp đồng minh bạch và rõ ràng với từng khách hàng. Mọi quyền lợi, trách nhiệm và lộ trình điều trị đều được nêu cụ thể trong hợp đồng đã ký, đảm bảo quá trình điều trị được thực hiện đúng cam kết và đặt quyền lợi của khách hàng lên hàng đầu.

Mão răng sứ 3D Pro Multilayer có độ cứng biến thiên, mang đến cảm giác ăn nhai tự nhiên và hạn chế sang chấn răng đối

Mão răng sứ 3D Pro Multilayer có độ cứng biến thiên, mang đến cảm giác ăn nhai tự nhiên và hạn chế sang chấn răng đối

Giải pháp DCT cải thiện tình trạng ánh đen cổ răng mà các phương pháp truyền thống chưa làm được

Giải pháp DCT cải thiện tình trạng ánh đen cổ răng mà các phương pháp truyền thống chưa làm được

Như vậy, cấy ghép Implant thẩm mỹ là giải pháp phục hồi răng hiệu quả, nhưng để đạt kết quả tối ưu, cần hội tụ nhiều yếu tố từ vật liệu, kỹ thuật đến công nghệ hỗ trợ. Cô chú/anh chị nên tìm hiểu kỹ trước khi lựa chọn để đảm bảo kết quả đẹp và bền lâu.

Nếu cần thêm thông tin về giải pháp trồng Implant cá nhân hóa DCT an toàn, không đau, bền vững, ăn nhai tốt và thẩm mỹ như răng thật, cô chú/anh chị hãy liên hệ nha khoa Lạc Việt Intech theo các cách sau đây để được hỗ trợ nhanh nhất:

  • Số 91 Phố Huế, Hai Bà Trưng, Hà Nội
  • Số 168 Đường Láng, Q. Đống Đa, Hà Nội
  • Số 426 Minh Khai, Q. Hai Bà Trưng, Hà Nội
  • Số 27 Nguyễn Văn Huyên, Q. Cầu Giấy, Hà Nội
  • Địa chỉ Nghệ An: Số 24 Cao Thắng, P. Hồng Sơn, TP Vinh, Nghệ An
  • Địa chỉ Hải Phòng: 107 Tô Hiệu, Lê Chân, TP Hải Phòng
 
Chia sẻ

Tin cùng chủ đề

Đăng ký tư vấn

Vui lòng để lại thông tin và nhu cầu của Quý Khách để được tư vấn

Đối tác của Nha khoa lạc việt intech

Osstem Implant
Osstem Implant
test
test1
Đặt lịch hẹn Messenger Liên hệ Zalo Địa chỉ