Bác sĩ giải đáp: “Trồng răng Implant có niềng răng được không?”

Lạc Việt Intech
14/01/2025

1. Trồng răng Implant có niềng răng được không?

Khi cắm Implant, trụ sẽ được cấy ghép cố định vào xương hàm nên răng sẽ không thể di chuyển linh hoạt như răng thật. Trong khi đó, niềng răng thì cần di chuyển các răng về đúng vị trí để đảm bảo tính thẩm mỹ. Tuy nhiên, sau khi trồng răng Implant, cô chú/anh chị vẫn có thể niềng răng nếu trước đó răng Implant được cấy đúng vị trí và phù hợp để niềng.

1.1. Trường hợp có thể niềng răng sau khi trồng Implant

  • Trồng Implant cho từng răng riêng lẻ: Khi cấy implant cho từng răng riêng lẻ, mão răng sứ được gắn lên trụ implant có thể dịch chuyển dễ dàng hơn đến vị trí mong muốn trong quá trình niềng răng. Điều này cho phép bác sĩ chỉnh nha thực hiện các điều chỉnh cần thiết để sắp xếp lại các răng xung quanh. Tuy nhiên, cần có sự khéo léo từ bác sĩ để tránh làm vỡ mão răng sứ trong quá trình di chuyển.
  • Niềng răng mặt trong: Phương pháp niềng răng mặt trong, tức là mắc cài được gắn ở mặt trong của răng, có thể được áp dụng cho những người đã trồng implant trước đó. Phương pháp này không chỉ giúp cải thiện sự sắp xếp của răng mà còn bảo vệ mão răng sứ, vì mắc cài không tiếp xúc trực tiếp với bề mặt ngoài của răng. Điều này giúp giảm nguy cơ tổn thương cho các răng đã cấy ghép implant và đảm bảo hiệu quả chỉnh nha tốt nhất.

1.2. Trường hợp không thể niềng răng sau khi trồng Implant

  • Trồng implant toàn hàm: Khi cấy implant toàn hàm, tất cả các răng giả được gắn lên các trụ implant đã được cố định đúng vị trí. Việc niềng răng không khả thi vì không có không gian để điều chỉnh, và bất kỳ dịch chuyển nào có thể gây áp lực lên trụ implant, dẫn đến biến chứng như đau hoặc hỏng trụ.
  • Trồng implant kết hợp cầu răng sứ: Trong trường hợp này, trụ implant và cầu răng đã được cố định chắc chắn trong xương hàm. Răng giả trên cầu không thể tháo rời hay dịch chuyển, nên niềng răng không thể thực hiện được. Nỗ lực điều chỉnh vị trí các răng khác có thể làm hỏng cầu răng và gây ra vấn đề nghiêm trọng.

Như vậy, cô chú/anh chị đã có câu trả lời cho câu hỏi "Trồng implant có niềng được không?", vậy nên niềng răng trước hay trồng răng trước, mời cô chú/anh chị tìm hiểu trong phần tiếp theo.

2. Nên niềng răng hay trồng răng Implant trước?

Bác sĩ khuyến cáo điều này chỉ nên áp dụng trong các trường hợp phát sinh nhu cầu cá nhân, niềng răng trước khi cấy Implant sẽ có nhiều thuận lợi hơn vì: 

  • Chân răng thật đã được di chuyển về vị trí chính xác và khớp cắn của hàm đã chuẩn sau khi niềng răng, có khoảng trống phù hợp dễ dàng cho việc cấy ghép Implant.
  • Chân răng thật kết nối với xương hàm nhờ hệ thống dây chằng quanh răng và xương ổ răng, do dó dễ dàng dịch chuyển đến vị trí chính xác thay vì cố định không thể di chuyển như chân răng Implant. 

Trong trường hợp cô chú/anh chị có nhu cầu niềng răng sau khi trồng răng Implant thì nên lưu ý xem xét kỹ các trường hợp về vị trí răng Implant được đề cập ở mục 3 dưới đây để đưa ra quyết định.

Bên cạnh đó, chi phí trồng răng Implant có thể khác nhau tùy thuộc vào loại trụ, mão sứ và công nghệ thực hiện. Nếu cô chú/anh chị đang thắc mắc "cấy 1 răng Implant bao nhiêu tiền", hãy tìm hiểu ngay để có sự chuẩn bị tốt nhất.

Có thể niềng răng sau khi cắm Implant nhưng tùy thuộc vào từng trường hợp khác nhau

Có thể niềng răng sau khi cắm Implant nhưng tùy thuộc vào từng trường hợp khác nhau

3. Quy trình niềng răng sau khi trồng răng Implant với từng trường hợp cụ thể

Trồng răng implant có niềng được không? Khi đã hoàn tất quá trình trồng răng Implant và có nhu cầu niềng răng sau đó, cô chú/anh chị cần xem xét kỹ lưỡng từng trường hợp cụ thể để đảm bảo hiệu quả và an toàn.

3.1. Quy trình niềng răng Implant sau khi trồng Implant

Chi tiết về quy trình thăm khám và niềng răng sau khi trồng Implant:

Bước 1: Thăm khám và đánh giá:

Bác sĩ sẽ kiểm tra kỹ lưỡng vị trí răng đã cấy ghép implant và tình trạng răng miệng tổng quát. Chụp X-quang được thực hiện để đánh giá cấu trúc xương hàm và vị trí của trụ implant.

Bước 2: Lên kế hoạch điều trị:

Bác sĩ sẽ lấy dấu răng và lập kế hoạch điều trị chi tiết, xác định phương pháp niềng răng phù hợp. Kế hoạch này cũng sẽ xác định lực tác động lên răng và thời gian điều trị dự kiến.

Bước 3: Gắn mắc cài hoặc khay niềng

Sau khi có dấu hàm, bác sĩ sẽ gắn mắc cài hoặc khay niềng trong suốt lên răng. Các khí cụ này được thiết kế để tạo lực kéo, giúp di chuyển răng về vị trí mong muốn.

Bước 4: Theo dõi và điều chỉnh:

Trong quá trình niềng răng, bạn cần tái khám định kỳ để bác sĩ theo dõi sự dịch chuyển của răng và điều chỉnh lực kéo. Bác sĩ có thể điều chỉnh dây cung, mắc cài hoặc khay niềng để tối ưu hóa hiệu quả.

Bước 5: Tháo niềng và duy trì:

Sau khi răng đã dịch chuyển đến vị trí mong muốn (thường từ 12-24 tháng), bác sĩ sẽ tháo mắc cài hoặc khay niềng. Để giữ răng ổn định ở vị trí mới, cô chú/anh chị sẽ cần đeo hàm duy trì trong ít nhất 6 tháng hoặc theo chỉ định của bác sĩ.

3.2. Một số trường hợp cần lưu ý

Trong một số trường hợp niềng răng sau khi trồng Implant, bác sĩ sẽ có sự điều chỉnh để phù hợp với tình trạng của cô chú/anh chị. Cụ thể:

Trường hợp Implant ở vị trí răng hàm

Trong trường hợp người muốn niềng răng đã trồng răng Implant ở vị trí răng hàm và Implant được đặt đúng vị trí, không ảnh hưởng đến quá trình dịch chuyển của các răng thật, bác sĩ có thể niềng răng ngay sau khi thăm khám. Quá trình niềng răng sẽ không yêu cầu tháo mão răng, vì Implant đã ổn định và không cản trở sự di chuyển của các răng xung quanh.

Lúc này, trồng răng implant răng hàm sẽ đóng vai trò như một điểm neo chặn vững chắc tương tự như các minivis chỉnh nha, giúp kéo lùi các răng thật ở phía trước về đúng vị trí mong muốn. Phương pháp này không chỉ giúp cải thiện khớp cắn, thẩm mỹ mà còn đảm bảo quá trình niềng răng diễn ra an toàn và hiệu quả, không ảnh hưởng đến chất lượng của răng Implant.

Hình ảnh răng Implant được cắm tại vị trí răng hàm 

Hình ảnh răng Implant được cắm tại vị trí răng hàm

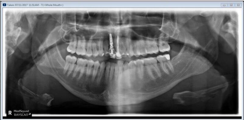
Trong trường hợp răng Implant ở vị trí răng phía trước

Khi răng Implant được trồng ở vị trí răng phía trước và cản trở sự dịch chuyển của các răng thật trong quá trình niềng, bác sĩ có thể quyết định tháo bỏ mão răng sứ trên Implant và thay thế bằng mão răng nhựa tạm thời để giúp mắc cài bám dính tốt hơn. Việc thay mão răng giúp tạo không gian linh hoạt hơn, không gây cản trở việc di chuyển của các răng thật xung quanh, từ đó bác sĩ có thể dễ dàng điều chỉnh hướng dịch chuyển của các răng thật.

Sau khi quá trình niềng răng hoàn tất và mắc cài được tháo bỏ, bác sĩ sẽ tiến hành đặt lại mão răng sứ cho Implant nhằm đảm bảo thẩm mỹ và khớp cắn chuẩn xác. Qua đó, răng sẽ được khôi phục vẻ ngoài tự nhiên và đảm bảo chức năng ăn nhai bình thường sau khi hoàn tất quá trình niềng răng.

 Hình ảnh trụ Implant được đặt ở vị trí răng phía trước (Nguồn: MOD Squad Dental) 

Hình ảnh trụ Implant được đặt ở vị trí răng phía trước (Nguồn: MOD Squad Dental) 

Trường hợp trụ Implant đặt sai vị trí

Trong trường hợp trụ Implant đặt sai vị trí nhưng có ít sự sai lệch, bác sĩ có thể tháo bỏ mão răng sứ và thực hiện niềng răng như bình thường. Sau khi quá trình chỉnh nha hoàn tất, bác sĩ sẽ đặt lại mão răng sứ trên Implant. Tuy nhiên, trước khi làm lại mão răng sứ, bác sĩ cần sử dụng trụ phục hình cá nhân hóa hoặc bẻ góc để đảm bảo mão răng mới phù hợp với vị trí chính xác của răng Implant.

Trong trường hợp trụ Implant bị sai lệch quá nhiều và không thể thực hiện các biện pháp chỉnh sửa như trên, bác sĩ sẽ quyết định tháo bỏ hoàn toàn chân răng Implant. Sau đó, quy trình niềng răng được thực hiện đến khi khớp cắn đã ổn định, bác sĩ sẽ tiến hành cấy lại Implant mới nếu cần thiết.

Hình ảnh các trụ Implant đặt sai vị trí (Nguồn: Avant Dental) 

Hình ảnh các trụ Implant đặt sai vị trí (Nguồn: Avant Dental)  

Cô chú/anh chị có thể tìm hiểu video dưới đây để biết thêm chi tiết những lưu ý khi niềng răng sau khi trồng răng Implant: 

4. Trồng răng Implant bao lâu thì niềng răng?

Sau khi gắn mão răng sứ, cô chú/anh chị chỉ cần đợi răng Implant ổn định hoàn toàn trong khoảng 2 tuần là có thể niềng răng. Tuy nhiên, cô chú/anh chị cần thông báo cho bác sĩ về thời điểm cấy Implant để được kiểm tra các yếu tố có thể ảnh hưởng đến quá trình niềng và lên phác đồ điều trị hợp lý. Như đã nói ở trên, các bác sĩ nha khoa luôn khuyến khích khách hàng niềng răng trước khi trồng răng để đảm bảo hiệu quả điều trị được tối ưu nhất. 

Thời gian hợp lý để niềng răng sau khi cấy Implant có thể phụ thuộc vào các yếu tố khác nhau như tình trạng xương hàm và chất lượng trụ Implant được chọn cấy ghép, cụ thể như sau:

  • Chất lượng xương hàm: Khi xương hàm chắc khỏe, quá trình tích hợp Implant sẽ diễn ra nhanh chóng. Nếu xương hàm yếu phải trải qua tiểu phẫu để cấy răng Implant thì cần thêm thời gian để Implant ổn định.
  • Loại Implant: Các dòng trụ Implant khác nhau có thời gian tích hợp vào xương hàm khác nhau, có thể kéo dài từ 6 - 8 tuần hoặc từ 12- 16 tuần tuần tùy theo từng loại trụ.  
  • Kỹ thuật cấy ghép Implant: Các phương pháp cấy răng Implant áp dụng công nghệ cao, máy móc hiện đại sẽ đảm bảo được tính an toàn, ổn định và rút ngắn thời gian lành thương so với phương pháp trồng răng Implant truyền thống sử dụng cảm giác tay để cấy ghép Implant.

Thời gian hợp lý để niềng răng sau ghép Implant còn tùy thuộc vào những yếu tố trên

Thời gian hợp lý để niềng răng sau ghép Implant còn tùy thuộc vào những yếu tố trên

Nhiều cô chú/anh chị lo lắng về cảm giác khi trồng răng giả và băn khoăn "trồng răng Implant có đau không". Hãy cùng tìm hiểu để có sự chuẩn bị tốt nhất trước khi thực hiện.

5. Những lưu ý khi niềng răng sau khi cấy ghép Implant

Sau khi niềng răng, răng Implant cần được chăm sóc đặc biệt và cần lưu ý những điểm sau:

5.1. Chế độ ăn uống

  • Trong những ngày đầu sau khi gắn mắc cài hoặc khi răng còn đau nhức, bạn nên sử dụng các loại thức ăn mềm, dễ nhai như cháo, súp, phở, bún, các loại sinh tố, sữa chua,....
  • Hạn chế ăn các loại thức ăn cứng như xương, sụn, các loại hạt, bánh mì cứng,... vì chúng có thể làm hỏng mắc cài hoặc gây đau nhức răng.
  • Hạn chế đồ ngọt, đồ ăn có ga để tránh làm hỏng men răng.
  • Không ăn đồ quá nóng hoặc quá lạnh vì có thể gây kích ứng răng và làm hỏng mắc cài.

Sau khi cấy ghép Implant, chế độ ăn uống đóng vai trò quan trọng trong quá trình lành thương. Vậy "cắm Implant kiêng gì?" Cùng tìm hiểu ngay để bảo vệ răng Implant tốt nhất!

5.2. Chăm sóc răng miệng

  • Chải răng ít nhất 2 lần mỗi ngày bằng kem đánh răng có chứa fluoride, nhẹ nhàng theo chuyển động tròn để làm sạch răng và mắc cài.
  • Sử dụng chỉ nha khoa mỗi ngày để làm sạch các kẽ răng và vùng dưới mắc cài, nơi mà bàn chải không thể tiếp cận được.
  • Súc miệng bằng nước muối sinh lý hoặc nước súc miệng chuyên dụng để loại bỏ vi khuẩn và mảng bám.
  • Khám răng định kỳ 3-6 tháng một lần để kiểm tra tình trạng răng miệng và mắc cài.

Trồng răng Implant cá nhân hóa DCTniềng răng X-Matrix là hai dịch vụ mũi nhọn tại Lạc Việt Intech, được xây dựng với mức độ hoàn thiện cao nhất, tập trung vào tầm soát cấu trúc xương hàm, lập phác đồ điều trị chính xác. Quá trình thăm khám và điều trị luôn được cá nhân hóa, giúp khách hàng dễ dàng theo dõi tiến trình chỉnh nha, đồng thời đảm bảo hiệu quả bền vững. Tại Lạc Việt Intech, chúng tôi luôn lắng nghe và thấu hiểu nhu cầu của khách hàng, điều chỉnh phương án điều trị phù hợp, mang lại cảm giác thoải mái và gần gũi xuyên suốt hành trình chăm sóc sức khỏe răng miệng.

Máy móc và trang thiết bị hiện đại tại Lạc Việt Intech được nhập khẩu quốc tế

Máy móc và trang thiết bị hiện đại tại Lạc Việt Intech được nhập khẩu quốc tế

 

Như vậy, bài viết trên đã giải đáp tất cả thắc mắc xoay quanh cắm Implant có niềng răng được không. Thời gian hợp lý để niềng răng sau khi trồng răng Implant phụ thuộc vào tốc độ lành thương, bên cạnh đó quy trình niềng răng có sự khác nhau với các vị trí Implant đã cắm trước đó như răng hàm, răng phía trước hay răng đặt sai vị trí. Để đảm bảo an toàn và có quy trình điều trị hợp lý, cô chú/anh chị hãy tham khảo tư vấn từ bác sĩ nhằm nhận được lời khuyên chính xác nhất.

Nếu cô chú/anh chị cần tư vấn về dịch vụ trồng răng Implant an toàn, chuyên nghiệp, hãy liên hệ với Nha khoa Lạc Việt Intech theo thông tin dưới đây để được hỗ trợ nhanh chóng.

  • Website: https://lacvietdental.vn/
  • Fanpage: https://www.facebook.com/Implant.Lacviet
  • Hotline: 0866.38.0033
  • Địa chỉ Hà Nội:
    • Trụ sở Đống Đa, Hà Nội: Số 168 đường Láng, Đống Đa, Hà Nội
    • Trụ sở Minh Khai, Hà Nội: Số 426 Minh Khai, Hai Bà Trưng, Hà Nội
    • Trụ sở Cầu Giấy, Hà Nội: 27 Nguyễn Văn Huyên, Cầu Giấy, Hà Nội
  • Địa chỉ Nghệ An: Số 24 Cao Thắng, P. Hồng Sơn, TP Vinh, Nghệ An
  • Địa chỉ Hải Phòng: 107 Tô Hiệu, Lê Chân, TP Hải Phòng

Lưu ý : Mọi thông tin trên website Nha khoa Lạc Việt Intech chỉ mang tính tham khảo, không thay thế chẩn đoán hoặc điều trị y tế chuyên nghiệp. Kết quả điều trị thực tế phụ thuộc vào từng cá nhân và cần sự thăm khám trực tiếp của bác sĩ. Chúng tôi khuyến nghị bạn luôn tham khảo ý kiến chuyên gia cho mọi vấn đề sức khỏe.

Chia sẻ

Tin cùng chủ đề

Đăng ký tư vấn

Vui lòng để lại thông tin và nhu cầu của Quý Khách để được tư vấn

Đối tác của Nha khoa lạc việt intech

Osstem Implant
Osstem Implant
test
test1
Đặt lịch hẹn Messenger Liên hệ Zalo Địa chỉ