Tổng hợp 6 biến chứng cấy Implant có thể xảy ra và cách phòng ngừa an toàn

Lạc Việt Intech
28/01/2023

6 biến chứng cắm Implant có thể xảy ra

Trồng răng implant là phương pháp phục hình răng mất cố định, được thực hiện bằng cách khoan vào xương hàm, sau đó đặt trụ Implant vào bên trong xương hàm nhằm thay thế chân răng đã mất. Trong xương hàm chứa đựng nhiều cấu trúc giải phẫu phức tạp, do đó nếu bác sĩ phẫu thuật thiếu kiến thức chuyên môn thì có thể gây ra những nguy cơ biến chứng cắm Implant sau đây:   

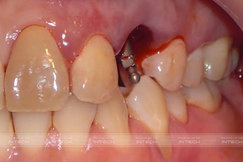
Chảy máu kéo dài 

Biến chứng đầu tiên đó chính là chảy máu kéo dài sau phẫu thuật cấy ghép Implant. Chảy máu sau khi trồng răng Implant có thể xuất phát từ 2 nguyên nhân chính đó là: bệnh nhân mắc bệnh máu khó đông nhưng bác sĩ không phát hiện ra hoặc bác sĩ sử dụng động tác quá thô bạo trong quá trình phẫu thuật.  

Biến chứng chảy máu kéo dài

Biến chứng cắm Implant đầu tiên là chảy máu kéo dài

Sau khi cấy ghép Implant, bệnh nhân sẽ thấy hiện tượng rỉ máu tại vị trí phẫu thuật. Đa phần các trường hợp trên là hậu quả của trồng răng Implant tuy nhiên chảy máu sau cấy ghép Implant thường ít trầm trọng và có thể dễ dàng cầm máu sau 1 - 2 ngày đầu. Tuy nhiên, nếu như tình trạng chảy máu kéo dài quá 3 ngày hoặc không thể cầm máu thì bệnh nhân cần liên hệ với bác sĩ để được kiểm tra và xử lý kịp thời. 

Trong miệng có những cấu trúc giải phẫu là mạch máu nguy hiểm. Nếu bác sĩ phẫu thuật không nắm vững kiến thức hoặc thiếu kinh nghiệm thì có thể làm tổn thương các mạch máu trong quá trình phẫu thuật. Điều này sẽ dẫn tới biến chứng chảy máu kéo dài sau cấy ghép Implant.  

Nhiễm trùng vùng cấy Implant

Biến chứng nhiễm trùng sau cấy ghép Implant có thể gặp sớm từ 5 - 7 ngày sau khi cấy ghép Implant hoặc có thể xuất hiện muộn hơn sau khoảng 20 ngày đến 1 tháng. Nhiễm trùng sau cấy ghép Implant có thể chỉ ở mức độ nhẹ như sưng viêm cục bộ, hay nặng hơn là dẫn tới viêm xương lan tỏa. 

Kỹ thuật trồng răng Implant bắt buộc phải can thiệp vào tận tủy xương hàm, phá vỡ hàng rào bảo vệ của cơ thể. Do đó quá trình trồng răng Implant tiềm ẩn nguy cơ nhiễm trùng cao. Trong điều kiện bắt buộc, cơ sở cấy ghép Implant phải đầu tư hệ thống phòng phẫu thuật riêng biệt với hệ thống vô trùng nghiêm ngặt, tránh nguy cơ lây nhiễm chéo. 

Biến chứng nhiễm trùng vùng cấy Implant

Hậu quả của trồng răng Implant - Bị nhiễm trùng

Khi bị nhiễm trùng, ở mức độ nhẹ bệnh nhân chỉ bị thải ghép Implant dẫn tới ca phẫu thuật thất bại. Nặng hơn thì nhiễm trùng có thể xâm lấn sâu dẫn đến tình trạng viêm xương, hoại tử xương hàm. Đây là một trong những biến chứng nặng nề và điều trị khắc phục rất dai dẳng, tốn kém thêm chi phí.   

Khi tình trạng nhiễm trùng sau cấy ghép Implant xảy ra, cách xử lý duy nhất đó là tháo bỏ Implant, nạo bỏ các tế bào viêm nhiễm để tránh viêm, hoại tử xương hàm. Sau đó bác sĩ sẽ tiến hành ghép xương để tái sinh xương rồi mới trồng lại răng Implant. 

Tổn thương răng bên cạnh

Một trong những biến chứng thường gặp phải khi cấy ghép Implant không đúng kỹ thuật đó chính là tổn thương các răng bên cạnh. Biến chứng cắm Implant này do bác sĩ thiếu kinh nghiệm lâm sàng nên không kiểm soát tốt các thao tác trong quá trình phẫu thuật hoặc do chủ quan khi thăm khám, khảo sát xương dẫn đến xác định sai vị trí đặt trụ Implant. 

Trụ Implant cắm lệch vào chân răng bên cạnh

Trụ Implant cắm lệch vào chân răng bên cạnh

Trụ Implant bị cắm sai lệch, xiêu vẹo hoặc xâm lấn vào chân răng bên cạnh có thể dẫn đến nguy cơ tổn thương hoặc chết tủy răng. Ngoài ra, trụ Implant bị cắm sai lệch còn khiến cho phục hình bên trên không sát khít, dễ bị lung lay và dắt thức ăn gây bong sút phục hình. Tệ hơn nữa là vỡ cổ Implant và khi đó sẽ phải khoét bỏ xương để lấy trụ Implant ra ngoài. 

Trụ Implant bị đào thải

Tình trạng đào thải trụ Implant có thể do nhiều nguyên nhân. Thường gặp nhất đó chính là do nhiễm trùng sau phẫu thuật hoặc cơ thể bệnh nhân mắc một số bệnh lý nền khiến Implant không thể tích hợp với xương hàm và đào thải. 

Trong quá trình thăm khám, chẩn đoán nếu bác sĩ không phát hiện ra những bệnh lý nền của bệnh nhân và vẫn chỉ định cấy ghép Implant thì sẽ dẫn đến nguy cơ đào thải trụ Implant sau khi cấy ghép. Một số bệnh lý nền như tiểu đường, huyết áp hay bệnh nhân có thói quen hút thuốc lá sẽ khiến cho trụ Implant không thể tích hợp với xương hàm. 

Biểu hiện của tình trạng đào thải trụ Implant đó là: chảy máu kéo dài, sưng viêm tại vị trí cấy Implant… Sau một thời gian răng Implant sẽ bị suy yếu, lung lay và mất khả năng ăn nhai. khi chụp X-quang có thể thấy rõ Implant không bám chặt vào xương hàm. 

Thủng xoang, Implant rơi vào trong xoang

Một biến chứng khi cấy ghép Implant nguy hiểm khác cũng rất hay gặp phải đó chính là thủng xoang hàm trên. Hàm trên có một cấu trúc giải phẫu rỗng, tương ứng với chóp các chân răng số 4,5,6,7,8 ở hàm trên. Xoang hàm đóng vai trò thông khí, cộng hưởng phát âm và lọc bụi bẩn. Khi bị mất răng hàm trên lâu ngày, phần xương hàm sẽ bị tiêu biến và đáy xoang sẽ sa xuống thấp dẫn đến không đủ mật độ, chiều cao để đặt chân răng Implant. 

Trụ Implant bị rơi vào trong xoang hàm

Trụ Implant bị rơi vào trong xoang hàm

Trong quá trình thăm khám, nếu bác sĩ không chẩn đoán đúng hoặc thiếu kiến thức về giải phẫu, chẩn đoán hình ảnh thì sẽ không thể phát hiện được đáy xoang. Do đó khi khoan sẽ làm thủng đáy xoang, gây tổn thương và viêm xoang mãn tính. 

Một trong những triệu chứng của viêm xoang đó là đau dai dẳng, đau nửa đầu hoặc đau dưới hốc mắt quá 7 ngày không hết sau khi cấy ghép Implant. Mức độ nặng hơn có thể xuất hiện mủ hoặc chảy máu từ mũi xuống họng sau phẫu thuật. 

Tê bì, mất cảm giác vùng mặt

Đây là một trong những biến chứng khi cấy ghép Implant nguy hiểm nhất và là biến chứng thường gặp ở những bác sĩ không chuyên. Hàm dưới có một cấu trúc giải phẫu là ống răng dưới. Trong đó bao gồm các mạch máu và ống thần kinh có vai trò chi phối cảm giác các răng hàm dưới và môi dưới. 

Vì dây thần kinh chạy sát các chân răng ở hàm dưới nên nếu bác sĩ phẫu thuật đặt trụ Implant quá gần hoặc xâm phạm vào ống thần kinh hàm dưới thì có thể gây ra biến chứng tê bì, mất cảm giác vùng môi, má. Đặc biệt, đây là biến chứng không hoàn nguyên và bệnh nhân sẽ phải chấp nhận thương tật này theo suốt cuộc đời mình. 

=> Tìm hiểu chi tiết về những nguy cơ biến chứng có thể xảy ra khi cấy ghép Implant qua video sau đây: 

Những biến chứng khi trồng răng Implant và cách khắc phục

>>> Cô chú/anh chị muốn biết chi phí cấy ghép Implant? Hãy tham khảo giá Implant ngay hôm nay!

Một số hậu quả của trồng răng Implant muộn xảy ra sau một thời gian

Bên cạnh các biến chứng khi cấy ghép Implant nêu trên, có một số biến chứng muộn xảy ra sau một thời gian sử dụng răng Implant bao gồm: 

  • Cấy ghép không đủ số lượng trụ Implant dẫn tới quá tải lực, gây tiêu xương và hỏng Implant. 
  • Chăm sóc, vệ sinh răng miệng không kỹ dẫn đến viêm quanh trụ Implant.
  • Hút thuốc lá, uống nhiều bia rượu gây mất tích hợp và đào thải trụ Implant. 
  • Gãy, nứt Implant hoặc bong sút phục hình do nhai vật quá dai, quá cứng. 
  • Đào thải sau một thời gian sử dụng do không đủ mật độ, thể tích xương nâng đỡ Implant nhưng bác sĩ vẫn cố hoàn thiện ca cấy ghép mà không thực hiện bất kì thủ thuật bổ sung nào. 

Có Bị Tai Biến Khi Cắm Implant Không?

Cắm implant là một kỹ thuật an toàn với tỷ lệ thành công cao (khoảng 95-98% theo nghiên cứu của Pjetursson et al., 2014). Tuy nhiên, vẫn có nguy cơ xảy ra tai biến nếu không được thực hiện đúng kỹ thuật hoặc bệnh nhân không chăm sóc tốt sau phẫu thuật.

Một số tai biến có thể gặp phải:

  • Tổn thương dây thần kinh: Chiếm 3-5% trường hợp (Renton & Yilmaz, 2012), gây tê bì môi, cằm kéo dài.
  • Viêm nhiễm quanh implant (Peri-implantitis): Tỷ lệ khoảng 10-20% sau 5 năm (Schwarz et al., 2018), có thể dẫn đến mất implant nếu không điều trị kịp thời.
  • Xuyên thủng xoang hàm: Nếu implant đặt sai vị trí, có thể gây viêm xoang, chảy dịch mũi (Jensen et al., 1992).

Tuy nhiên, các tai biến này có thể phòng tránh nếu bác sĩ có kinh nghiệm, sử dụng công nghệ hiện đại và bệnh nhân tuân thủ chăm sóc hậu phẫu.

Cách phòng ngừa các biến chứng khi cấy ghép Implant

Để tránh những nguy cơ biến chứng khi cấy ghép Implant, tốt nhất cô chú/ anh chị nên lựa chọn địa chỉ nha khoa uy tín, chuyên sâu về cấy ghép Implant. Đồng thời chú ý chăm sóc và vệ sinh răng miệng sạch sẽ để tránh nguy cơ viêm nhiễm và giúp gia tăng tuổi thọ răng Implant. 

Lựa chọn địa chỉ nha khoa uy tín

Khi lựa chọn một địa chỉ nha khoa uy tín, bệnh nhân cần chú ý tới 3 yếu tố: Tay nghề bác sĩ, trang thiết bị hiện đại và hệ thống vô trùng đạt chuẩn

Bác sĩ tay nghề giỏi

Bác sĩ cấy ghép Implant cần có đầy đủ bằng cấp, chứng chỉ chuyên môn về trồng răng Implant. Bên cạnh đó, bác sĩ phải có kinh nghiệm thực hiện nhiều ca lâm sàng mới có thể chẩn đoán và lên kế hoạch điều trị chính xác, đảm bảo an toàn và tránh được mọi nguy cơ biến chứng có thể xảy ra. 

Hiện nay, Nha khoa Lạc Việt Intech là trung tâm trồng răng Implant chuyên sâu uy tín, quy tụ đội ngũ chuyên gia giàu kinh nghiệm về lĩnh vực cấy ghép Implant. 100% bác sĩ tại Lạc Việt Intech đều tu nghiệp chuyên sâu về cấy ghép Implant tại nhiều nước trên thế giới, có đầy đủ bằng cấp chứng chỉ trồng răng Implant. 

Mỗi bác sĩ đều có kinh nghiệm thực hiện trên 500 ca lâm sàng, hiện đang là cố vấn chuyên môn cho nhiều hàng Implant danh tiếng tại Việt Nam. Bên cạnh đó, các bác sĩ còn là khách mời danh dự của các chương trình chia sẻ kiến thức răng miệng trên đài truyền hình quốc gia. 

=> Video bác sĩ Vũ Đức Duy - Chuyên gia cấy ghép Implant tại Nha khoa Lạc Việt Intech trong chương trình “Vì sức khỏe người Việt” 

Bác sĩ Vũ Đức Duy trong chương trình “Vì sức khỏe người Việt”

Ứng dụng công nghệ hiện đại 

Một địa chỉ trồng răng Implant uy tín cần phải được trang bị đầy đủ hệ thống máy móc hiện đại, ứng dụng công nghệ cấy ghép Implant tiên tiến. Nhờ đó hỗ trợ bác sĩ trong việc chẩn đoán chính xác và nắm rõ cấu trúc xương hàm. 

Các thông số quan trọng như khoảng cách từ bờ xương ổ răng tới ống răng dưới, đường đi của ống răng cần được đo đạc một cách chính xác thông qua thiết bị tầm soát hình ảnh CT Cone Beam. Nhờ đó bác sĩ có thể lựa chọn trụ Implant với đường kính, chiều dài phù hợp tại từng vị trí cụ thể. 

Tại Nha khoa Lạc Việt Intech ứng dụng công nghệ trồng răng Safe Tech giúp hỗ trợ bác sĩ trong việc lên phác đồ điều trị an toàn, thành công tới 99,8%. 

Công nghệ trồng răng Implant Safe Tech

Công nghệ trồng răng Implant Safe Tech

Dữ liệu từ hệ thống máy Scan trong miệng và CT Cone Beam được tích hợp dựa trên công nghệ Smart Tech giúp xử lý, tạo hình ảnh giả lập 3D. Nhờ đó bác sĩ có thể quan sát tổng thể cấu trúc xương hàm, mật độ xương, hệ thống xoang hàm, dây thần kinh… Từ đó đưa ra phác đồ điều trị an toàn, loại bỏ những nguy cơ biến chứng có thể xảy ra. 

Công nghệ Stop Hurt sử dụng sóng siêu âm cao tần nén ép lên mô xương, tạo lỗ chờ đặt trụ Implant một cách nhẹ nhàng, xâm lấn tối thiểu. Với sự hỗ trợ của công nghệ Safe Tech, quá trình cấy ghép Implant sẽ đảm bảo chính xác, hạn chế sưng đau, ngăn chặn chảy máu và gia tăng tỷ lệ tích hợp xương gần như tuyệt đối. 

Hệ thống vô trùng đạt chuẩn 

Bên cạnh yếu tố tay nghề bác sĩ và trang thiết bị hiện đại, việc đảm bảo vô trùng tại phòng khám là tiêu chí rất quan trọng. Tại Nha khoa Lạc Việt Intech luôn đảm bảo vấn đề vô trùng với 3 tiêu chuẩn: 

  • Vô trùng dụng cụ, làm sạch và hấp sấy khử khuẩn bằng thiết bị chuyên dụng.
  • Phòng phẫu thuật riêng biệt khép kín, vô trùng trước và sau khi cấy ghép Implant 
  • Vô trùng cho bác sĩ và bệnh nhân khi tiến hành cấy ghép Implant.

Với gần 20 năm hình thành và phát triển, Nha khoa Lạc Việt Intech đã thực hiện thành công hơn 60.000 ca cấy ghép Implant. Trở thành địa chỉ đáng tin cậy và được đông đảo khách hàng lựa chọn. 

Chế độ chăm sóc sau cấy ghép Implant

Ngoài ra, bệnh nhân cũng cần chú ý tới chế độ ăn uống, chăm sóc răng miệng sau cấy ghép Implant để hạn chế những nguy cơ biến chứng về sau. 

  • Cần vệ sinh răng miệng sạch sẽ, chải răng sau mỗi bữa ăn. Có thể sử dụng chỉ nha khoa hoặc máy tăm nước để làm sạch kẽ răng và đường viền nướu. 
  • Ăn các loại thực phẩm mềm, chứa nhiều vitamin như rau xanh, các loại hoa quả hay sinh tố. Hạn chế ăn các đồ cứng như kẹo, mía…và không dùng răng để cắn, mở chai bia. 
  • Hạn chế hút thuốc lá, tốt nhất nên bỏ thuốc lá 2 tuần trước và sau khi phẫu thuật cấy ghép Implant. 
  • Đừng quên tái khám đúng lịch hẹn của bác sĩ và lấy cao răng định kỳ để được kiểm tra và phát hiện sớm những dấu hiệu bất thường để có thể khắc phục kịp thời. 

Trên đây là những nguy cơ biến chứng có thể xảy ra khi cấy ghép Implant. Nếu cô chú/ anh chị có bất kỳ thắc mắc nào, hãy liên hệ Hotline: 19006421 để được chuyên gia giải đáp!

Chia sẻ

Tin cùng chủ đề

Đăng ký tư vấn

Vui lòng để lại thông tin và nhu cầu của Quý Khách để được tư vấn

Đối tác của Nha khoa lạc việt intech

Osstem Implant
Osstem Implant
test
test1
Đặt lịch hẹn Messenger Liên hệ Zalo Địa chỉ