7 Bước Trong Quy Trình Trồng Răng Implant DCT

Quản trị viên
18/07/2024

Quy trình trồng răng implant DCT đang tạo nên bước đột phá trong lĩnh vực nha khoa hiện đại. Với sự đồng bộ, cá nhân hoá từ khâu đặt trụ đến phục hình, giải pháp này đảm bảo an toàn, thẩm mỹ và bền vững vượt thời gian.

Tổng thời gian trồng răng Implant DCT mất bao lâu?

Thời gian trồng răng Implant dao động từ 2-6 tháng.

Tổng thời gian cấy ghép implant sẽ diễn ra khoảng từ 2-6 tháng tuỳ thuộc vào nhiều yếu tố như tình trạng răng miệng, xương hàm, loại trụ lựa chọn hay kỹ thuật sử dụng.

Với giải pháp cấy ghép implant cá nhân hoá DCT, cô chú/anh chị sẽ phải đến nha khoa khoảng 4-5 lần với các giai đoạn như sau:

  • Buổi 1: Thăm khám ban đầu, chụp X-quang và lập kế hoạch điều trị.
  • Buổi 2: Giai đoạn đặt trụ Implant. Trung bình sẽ mất khoảng 10-15 phút/trụ.

Sau khi đặt trụ implant, cô chú/anh chị sẽ về nhà và chờ răng Implant tích hợp ổn định trong xương. Đây là giai đoạn lâu nhất, thường từ 2-6 tháng.

  • Buổi 3: Sau khi Implant đã tích hợp, cô chú anh chị sẽ được hẹn tới nha khoa để lấy dấu scan. Việc lấy dấu kỹ thuật số sẽ diễn ra nhanh chóng khoảng 30 phút.
  • Buổi 4: Cô chú/anh chị được hẹn tới đặt abutment cá nhân và răng sứ cá nhân. Thời gian diễn ra khoảng 1 giờ.

Và dưới đây sẽ là quy trình trồng răng Implant DCT cụ thể giúp cô chú/anh chị có thể hình dung rõ hơn mình sẽ phải làm gì trong suốt quá trình trồng răng, đảm bảo chủ động thời gian đi lại cũng như có được kết quả Implant tốt nhất.

Ngoài ra, cô chú/anh chị có thể tham khảo thêm thông tin "trồng răng Implant bao nhiêu tiền một cái" để có sự lựa chọn phù hợp nhất với nhu cầu của mình.

Quy trình trồng răng Implant DCT được thực hiện như thế nào?

Giải pháp trồng răng implant DCT đã mang đến luồng gió mới cho ngành nha khoa nói chung. Vậy điều gì làm quy trình trồng răng Implant DCT trở nên đặc biệt? Dưới đây là quy trình 7 bước, thực hiện trong 4-5 lần hẹn:

Bước 1: Lấy dữ liệu, lập kế hoạch và sản xuất Guideline

Thu thập dữ liệu là khâu cần thiết trong quy trình trồng răng implant DCT.

Đầu tiên, bệnh nhân sẽ tiến hành chụp phim CT Conebeam và Scanning răng, chụp ảnh trong và ngoài miệng. Từ các dữ liệu thu thập được sẽ đưa vào vào phần mềm Exocad để lập kế hoạch điều trị. Với khả năng phân tích về lực, Exocad cho phép bác sĩ tính toán chính xác vị trí cũng như hướng đặt implant.

Sau khi hoàn tất quá trình lập kế hoạch trên phần mềm, một máng hướng dẫn sẽ được sản xuất nhằm mục đích đặt trụ implant chính xác, tránh làm tổn thương các cấu trúc lân cận, tổn thương ống dây thần kinh răng dưới hay xoang hàm…  Đồng thời, mô nha chu cũng được tái lập giả định trên trạng thái lý tưởng, và một trụ lành thương giải phẫu cá nhân hóa sẽ được sản xuất cùng với máng hướng dẫn.

Bước 2: Đặt trụ implant

Khi máng hướng dẫn và trụ lành thương đã được sản xuất cá nhân hoá, bệnh nhân sẽ được hẹn tới nha khoa để tiến hành phẫu thuật đặt implant. Thông thường, quy trình trồng răng implant DCT có sự hỗ trợ của máng hướng dẫn sẽ diễn ra nhanh chóng, nhẹ nhàng chỉ khoảng 10 phút/trụ.

Đây là lần hẹn thứ hai, thường cách lần hẹn đầu tiên khoảng 3 ngày (36 giờ).

Bước 3: Đặt trụ lành thương cá nhân hóa

Trụ lành thương cá nhân hoá được đặt luôn trong thì đặt trụ implant.

Đa phần trụ lành thương cá nhân hóa sẽ được đặt ngay sau khi cấy chân răng implant. Đây cũng chính là ưu điểm lớn của giải pháp trồng răng cá nhân hoá so với các trồng răng implant truyền thống.

Với trồng răng truyền thống, có thể bệnh nhân sẽ phải đặt trụ lành thương ở thì 2, tức là bệnh nhân sẽ cần đến nha khoa một lần hẹn nữa, thường là 2-4 tháng sau khi đặt chân răng. Điều này không chỉ gây tốn kém thời gian mà còn phải thực hiện phẫu thuật nhiều lần.

Bước 4: Scanning vị trí trụ implant, mô nha chu

Sau khoảng 2 tới 4 tháng, khi trụ implant đã ổn định trong xương hàm, bệnh nhân sẽ quay trở lại phòng khám. Ở buổi này, bác sĩ sử dụng máy quét scanning ghi dấu toàn bộ hàm răng, mô nha chu, khớp cắn và vị trí chân implant đảm bảo chính xác tuyệt đối.

Và trong quy trình trồng răng Implant DCT, việc lấy dấu thủ công sẽ không thể đáp ứng yêu cầu mà bắt buộc phải cần đến Scaning. Tại sao lại như vậy? Bởi DCT cần sao chép chi tiết không chỉ răng, mô nha chu mà còn cả khớp cắn, vị trí chân implant.

Đây là lần hẹn thứ ba trong quy trình trồng răng, việc Scan lấy dữ liệu sẽ diễn ra khoảng 30 phút.

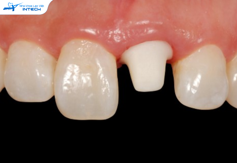
Bước 5: Thiết kế trụ phục hình cá nhân hoá và răng sứ

Trụ phục hình cá nhân hoá là quy trình bắt buộc, đóng vai trò như cùi răng thật.

Dữ liệu quét sẽ được ghi lại và một lần nữa đưa vào phần mềm Exocad, kết hợp với các dữ liệu nhân trắc trước đó, bác sĩ sẽ thiết kế trụ phục hình và răng sứ cá nhân hóa cho từng bệnh nhân.

Tại sao phải thiết kế cá nhân hoá? Nguyên nhân bởi mỗi người sẽ có cấu trúc hàm và răng khác nhau, do đó việc thiết kế cá nhân hóa giúp trụ phục hình và răng sứ phù hợp hoàn hảo, đảm bảo sự hài hòa về thẩm mỹ, khớp cắn và sinh học mô quanh răng.

Bước 6: Chế tác trụ phục hình và răng sứ cá nhân hoá

Sau khi hoàn tất quá trình thiết kế, dữ liệu sẽ được gửi đến bộ phận labo để sản xuất trụ phục hình và răng sứ.

Trụ phục hình được làm bằng titanium thuần chất hoặc zirconia nguyên khối. Trong khi đó, răng sứ sẽ được làm từ zirconia nguyên khối đa lớp thông qua công nghệ CAM.

Bước 7: Lắp trụ phục hình và răng sứ cá nhân hoá

Lắp răng sứ lên trên trụ phụ hình, đảm bảo thẩm mỹ giống như răng thật.

Trụ phục hình và răng sứ sau khi chế tác xong, bác sĩ sẽ hẹn bệnh nhân đến để đặt trụ phục hình cá nhân hóa và lắp răng sứ cá nhân hoá.

Đây là lần hẹn thứ 4, thường cách lần hẹn quét Scan khoảng 5 ngày. Tới đây, nếu cô chú/ anh chị còn chưa hiểu rõ gắn implant là gì hãy nhờ bác sĩ tư vấn chi tiết hơn nhé!

Quy trình trồng răng Implant DCT trên thực tế lâm sàng

Trong thực tế lâm sàng, quy trình trồng răng implant DCT được tiến hành qua 4 bước như sau:

Bước 1: Đặt trụ implant bằng máng hướng dẫn phẫu thuật

Thay vì dựa vào kinh nghiệm, đặt trụ implant dựa vào Freehand, giải pháp trồng răng implant DCT sử dụng máng hướng dẫn phẫu thuật đã được thiết kế trước đó, điều này đảm bảo độ chính xác, an toàn, tránh rủi ro trong quá trình đặt chân trụ.

Bước 2: Đặt trụ lành thương cá nhân hóa để tạo hình mô nha chu

Như đã đề cập, trụ lành thương cá nhân hóa sẽ được đặt luôn trong thì đặt trụ implant. Tuy nhiên, nếu xương hàm thiếu hoặc lợi không đủ thể tích, bắt buộc sẽ phải đợi 2 tháng khi implant tích hợp mới có thể đặt trụ lành thương.

Bước 3: Quét mô nha chu, khớp cắn và trụ implant để chế tác trụ phục hình cá nhân hóa và răng sứ

Quét Scanning có khả năng sao chép chính xác tuyệt đối cấu trúc mô nha chu, khớp cắn…

Quá trình quét sẽ được thực hiện sau khi trụ implant đã ổn định, thường là khoảng 2 tháng sau khi đặt trụ.

Khác với phương pháp lấy dấu thủ công của trồng răng implant truyền thống, DCT sử dụng công nghệ Scanning để sao chép chính xác vị trí implant, hình thể và cấu trúc mô nha chu, khớp cắn của bệnh nhân lên phần mềm thiết kế thực tế ảo.

Bước 4: Đặt trụ phục hình cá nhân hóa và gắn răng sứ

Sau khi quét Scan, dữ liệu được chuyển về trung tâm thiết kế, nơi trụ phục hình cá nhân hóa sẽ được sản xuất.

Sau khi hoàn thành, trụ phục hình sẽ được gắn lên miệng bệnh nhân, đảm bảo sát khít với cấu trúc mô nha chu. Răng sứ cũng được thiết kế và gắn lên trụ phục hình cá nhân hóa ở bước này.

Quy trình trồng răng Implant DCT là giải pháp tối ưu giúp khắc phục mọi trường hợp răng mất, đảm bảo an toàn, thẩm mỹ, bền vững. Với giải pháp đồng bộ này, DCT cũng hứa hẹn mang lại cho cô chú/anh chị hàm răng trồng một lần sử dụng trọn đời. Nếu bạn quan tâm đến việc trồng răng implant cá nhân hóa DCT, hãy liên hệ với nha khoa Lạc Việt Intech để được tư vấn và hỗ trợ chi tiết.

Chia sẻ

Tin cùng chủ đề

Đăng ký tư vấn

Vui lòng để lại thông tin và nhu cầu của Quý Khách để được tư vấn

Đối tác của Nha khoa lạc việt intech

Osstem Implant
Osstem Implant
test
test1
Đặt lịch hẹn Messenger Liên hệ Zalo Địa chỉ