Tìm lại nụ cười tự tin sau 26 năm không dám cười vì hàm răng thưa nhờ niềng răng invisalign

Quản trị viên
13/02/2023
Nguyễn Thị Phương Anh

Bác sĩ phụ trách

BS. Nguyễn Thị Phương Anh

Xem chi tiết Đăng ký khám
Từng có khoảng thời gian dài không dám cười vì hàm răng thưa, nữ nhân viên ngân hàng đã quyết định niềng răng invisalign tại Nha khoa Lạc Việt Intech để tìm lại nụ cười rạng rỡ vốn có. Hãy cùng theo dõi hành trình niềng răng của cô bạn trong bài viết dưới đây.

Từng có khoảng thời gian dài không dám cười vì hàm răng thưa, nữ nhân viên ngân hàng đã quyết định niềng răng invisalign tại Nha khoa Lạc Việt Intech để tìm lại nụ cười rạng rỡ vốn có. Hãy cùng theo dõi hành trình niềng răng của cô bạn trong bài viết dưới đây.

Hàm răng thưa và những trở ngại

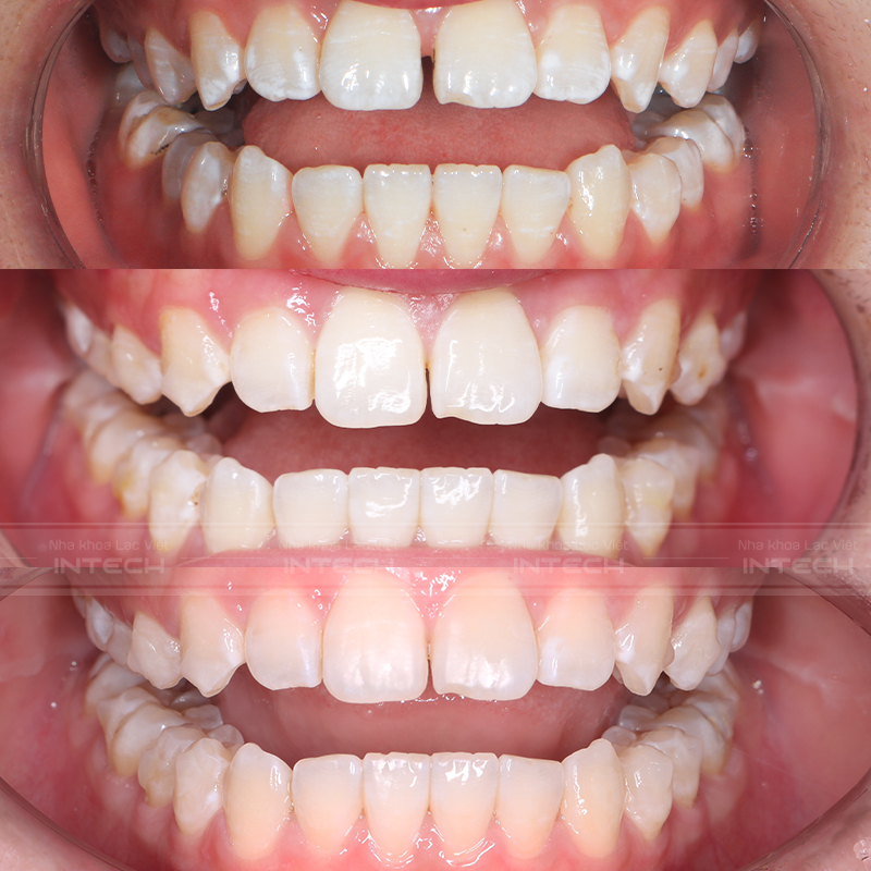
Là phụ nữ ai cũng có quyền được làm đẹp và được xinh đẹp, ấy thế mà hơn 26 năm Phương Thảo lại can tâm với khuyết điểm hàm răng kém duyên của mình. Với khe thưa lớn giữa 2 răng cửa khiến cô gái ngân hàng luôn cảm thấy tự ti và rụt rè. Mỗi lần nói chuyện với bạn bè hay khách hàng, cô cứ lấy tay che miệng, thậm chí lúc chụp hình cũng không dám cười vì sợ lộ hàm răng xấu xí.

Không những thế, việc ăn uống của cô bạn cũng gặp khá nhiều khó khăn khi thức ăn liên tục dắt vào giữa khe thưa. Bên cạnh đó, nếu tình trạng này không được vệ sinh răng miệng kỹ càng rất dễ gây ra các bệnh lý về răng miệng.

Trong những ngày tháng sống chung, Phương Thảo đã dần quen thuộc với khuyết điểm đó, mặc dù hàm răng khiến cô luôn ngại ngùng, ít giao tiếp với mọi người. Từng đã sử dụng khay chỉnh nha tháo lắp nhưng khe thưa không được cải thiện. Cũng từng có lần Thảo có ý định niềng răng bằng mắc cài nhưng cô lại không can đảm vì sợ ăn uống bất tiện rồi đau nhức. 

Hành trình niềng răng invisalign thay đổi vận mệnh

Trong 1 lần đi cafe với bạn và tâm sự về khuyết điểm trên răng của mình, Thảo được bạn thân chia sẻ về phương pháp niềng răng mới nhất hiện nay- invisalign. Về nhà, cô nàng bắt đầu tìm hiểu về invisalign và quyết tâm khắc phục hàm răng thưa của mình. 

Sau khi tìm hiểu kỹ lưỡng và tham khảo ý kiến bạn bè, cô nhân viên ngân hàng quyết định niềng răng bằng máng trong suốt invisalign tại Nha khoa Lạc Việt Intech. Và từ đây, hành trình kéo khít khe thưa, thay đổi diện mạo của Phương Thảo chính thức được bắt đầu.

Tại Lạc Việt Intech, Thảo được các bác sĩ tư vấn, thăm khám tận tình. Cô nàng chia sẻ: “Mình được thăm khám bằng trang thiết bị máy mọc rất hiện đại như: chụp phim X-quang bằng Panorama và Cephalo, quét dấu răng bằng máy iTero Element 5D”

Sau khi nghe bác sĩ trao đổi kế hoạch Clincheck, Thảo hoàn toàn đồng ý với phác đồ điều trị mà bác sĩ đưa ra. 

Quá trình kéo khít khe thưa bằng khay niềng trong suốt invisalign của Phương Thảo tại Lạc Việt Intech

Trong thời gian đeo khay niềng invisalign, Phương Thảo cho biết: “Lúc đầu khi chưa làm quen với khay niềng, mình cảm thấy hơi khó chịu 1 chút.  Tuy nhiên, mức độ không đáng kể và nhanh chóng biến mất. Khi đã quen, mình cảm thấy niềng invisalign rất thoải mái và tiện lợi. Với invisalign, mình có thể tháo lắp khay dễ dàng, tiện lợi trong việc ăn uống và vệ sinh răng miệng. Hơn nữa, phương pháp này có tính thẩm mỹ hoàn hảo vì gần như không ai phát hiện ra mình niềng răng”.

“Lựa chọn khắc phục khe thưa răng cửa bằng khay trong suốt invisalign là quyết định đúng đắn của mình. Nó hầu như khắc phục được mọi nhược điểm của niềng răng mắc cài. Invisalign không gây đau đớn, thẩm mỹ và vô cùng tiện lợi” - Phương Thảo chia sẻ thêm.

Màn biến hình đầy ngoạn mục sau khi niềng răng invisalign

Sau gần 18 tháng đeo khay niềng invisalign, Phương Thảo đã mang trên mình một diện mạo khác, không còn là cô gái với hàm răng thưa trước kia nữa. Giờ đây, khe thưa đã được kéo gần như khít, khuôn mặt còn thon gọn hơn trước. Cô nàng đã cười nhiều hơn, tự tin hơn với khuôn mặt hài hòa, thanh tú.

Tình trạng răng sau gần 18 tháng niềng răng invisalign

Phương Thảo sẽ còn trải qua giai đoạn tinh chỉnh để kết thúc con đường chinh phục nụ cười rạng rỡ của mình. Thế nhưng với những gì đang đạt được, cô nàng đã vô cùng hạnh phúc chia sẻ: “Mình rất vui khi khuyết điểm trên răng đã gần như được khắc phục. Chỉ cần tinh chỉnh 1 chút xíu nữa thôi là mình sẽ sở hữu hàm răng hằng mong ước. Từ người thân cho đến bạn bè, đồng nghiệp đều bất ngờ với sự thay đổi này của mình. Mình sẽ cười nhiều hơn để khoe hàm răng đều và đẹp. Thật sự, mình rất cảm ơn đội ngũ nhân sự tại Nha khoa Lạc Việt Intech, từ bác sĩ, y tá và các bạn lễ tân. Lần đầu tiên mình thấy một nha khoa chuyên nghiệp như thế”.

Nhìn ánh mắt hạnh phúc, nụ cười tự tin của Thảo chính là động lực to lớn, tiếp thêm sức mạnh cho chúng tôi - Đội ngũ y bác sĩ tại Nha khoa Lạc Việt Intech trên con đường kiến tạo nụ cười.

Nếu bạn đang gặp tình trạng tương tự như Phương Thảo hay các sai lệch về răng khác. Hãy liên hệ tới Nha khoa Lạc Việt Intech qua hotline 1900 6421 để được tư vấn và giải đáp miễn phí.

Chia sẻ

Tin cùng chủ đề

Đăng ký tư vấn

Vui lòng để lại thông tin và nhu cầu của Quý Khách để được tư vấn

Đặt lịch hẹn Messenger Liên hệ Zalo Địa chỉ