Công nghệ phục hình răng sứ trên implant DCT tại Hoa Kỳ sắp có mặt tại Việt Nam

Quản trị viên

11/04/2023

Ngày 15/4/2023 tại Nha khoa Lạc Việt Intech sẽ diễn ra lễ chuyển giao công nghệ phục hình răng sứ trên Implant DCT giữa đơn vị này và tập đoàn Follow America. Sự kiện được báo Dantri đăng tải trong số mới nhất ngày 10/4/2023.

Ngày 15/4/2023 tại Nha khoa Lạc Việt Intech sẽ diễn ra lễ chuyển giao công nghệ phục hình răng sứ trên Implant DCT giữa đơn vị này và tập đoàn Follow America. Sự kiện được báo Dantri đăng tải trong số mới nhất ngày 10/4/2023.

Sự kiện sẽ có sự tham gia của những chuyên gia trong lĩnh vực cấy ghép implant, gồm có bác sĩ Nguyễn Hoàng Dương - Giám đốc chuyên khoa Cấy ghép implant và Phục hình răng tại Nha khoa Lạc Việt Intech; Đại diện của tập đoàn Follow America. Đồng hành cùng chương trình còn có các khách hàng đã từng trải nghiệm công nghệ phục hình răng sứ trên Implant DCT.

Trong sự kiện, bác sĩ Nguyễn Hoàng Dương sẽ giới thiệu chi tiết về công nghệ DCT và giải đáp cụ thể những thắc mắc của khách hàng. Bên cạnh đó, khách mời của chương trình cũng sẽ có những chia sẻ chân thực nhất sau khi trải nghiệm công nghệ này.

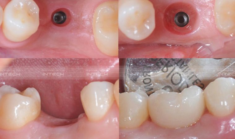
Tại sao công nghệ phục hình răng sứ trên Implant DCT lại khắc phục được các nhược điểm của công nghệ truyền thống?

Thứ nhất, thiết kế trụ phục hình (hay còn gọi là Abutment)

Trên phương diện thẩm mỹ mô mềm (thẩm mỹ hồng), một chiếc răng được gọi là đẹp khi lợi vùng cổ răng có một độ phồng nhất định theo chiều trong ngoài, có nhú lợi che kín tam giác đen, đường viền lợi ngang bằng với các răng còn lại và ngang bằng cổ giải phẫu. Tuy nhiên, khi mất răng, lợi sẽ có xu hướng co ngót lại.

Đối với phương pháp cấy implant phổ thông như hiện nay, việc sử dụng các trụ phục hình (abutment) được sản xuất sẵn theo chân implant không thể tạo ra một cổ răng giải phẫu phù hợp với từng bệnh nhân, dẫn tới trụ phục hình không đạt được độ phồng lợi cần thiết.

Abutment được sản xuất cá nhân hóa theo từng bệnh nhân

Với công nghệ DCT, Abutment sẽ được sản xuất cá nhân hóa theo từng bệnh nhân. Sau khi thu thập dữ liệu lợi và răng bằng công nghệ Scanning Oral, dữ liệu này sẽ được chuyển vào Exocad. Exocad là một phần mềm CAD nha khoa có các chức năng CAD và CAM và có thể xử lý khối lượng dữ liệu lớn. Việc chuyển dữ liệu vào phần mềm vào Exocad sẽ giúp tái lập giả định theo không gian ba chiều là chiều trong ngoài, gần xa và chiều trên dưới. từ đó, tạo mô lợi hoàn hảo.

Thứ hai, cá nhân hóa răng sứ trên Implant

Trên phương diện thẩm mỹ trắng (thẩm mỹ răng), thẩm mỹ một chiếc răng được đánh giá dựa trên 2 tiêu chí: hình thể răng và màu sắc răng.

Về màu sắc, các loại răng sứ trên implant hiện nay đã gần như đáp ứng được tiêu chí về mặt thẩm mỹ. Tuy nhiên, lại gặp vấn đề về hình thể. Do các trụ phục hình (abutment) bán sẵn trong implant tiêu chuẩn không thể tạo hình được lợi, khiến cho răng sứ trên implant thường có vùng cổ răng nhỏ hơn so với răng thật, khiến cho răng implant nhỏ hơn, ngắn hơn và thường có hình tròn hơn so với giải phẫu.

Ngoài ra, với phương pháp cũ, việc lấy dấu bằng thạch cao sẽ tạo độ sai lệch lớn, gây ra sai lệch khớp cắn, kênh cộm, hoặc tệ hơn khách hàng đi lại nhiều lần mới lắp được răng. Thời gian sử dụng không bền có thể xảy ra tình trạng bong tróc bề mặt răng sứ, sứt mẻ sau thời gian sử dụng.

Răng sứ theo công nghệ truyền thống (trái) và theo công nghệ DCT (phải)

Trong khi đó, việc ứng dụng DCT răng sứ trên implant có hình dạng giống đúc răng thật: cổ răng theo thiết kế đường viền lợi cá nhân hóa, nên răng sứ có độ phồng, màu sắc trong như màu răng thật.

Nhờ hình dạng giống đúc răng thật, lại được cắt tiện nguyên khối 3D Pro Multilayer đa lớp: Độ trong cao, độ bền cao, hiệu ứng màu đẹp nên răng sứ được sản xuất bởi DCT không sứt mẻ như răng sứ ở công nghệ implant truyền thống.

Thứ 3, khả năng chống giắt răng

Giắt thức ăn là vấn đề thường gặp đối với phương pháp trồng răng implant tiêu chuẩn hiện nay.

Nguyên nhân giắt thức ăn có thể do răng sứ được chế tác thiếu chuẩn xác, tuy nhiên nguyên nhân chính chủ yếu là do yếu điểm cố hữu của trụ abutment chế tác sẵn (bán kèm theo implant): trụ abutment quá bé và không theo hình thể giải phẫu lợi đã để lại một khoảng tam giác đen quá lớn vùng 2 bên kẽ răng, gây giắt thức ăn vào vùng này. Ngoài ra, nó còn để lại một khoảng trống giữa má và lợi phía ngoài, dẫn tới ứ đọng thức ăn tại đây.

Tái tạo đường viền lợi theo 3 chiều không gian

DCT tạo đường viền lợi giống như giải phẫu ban đầu. Ngoài ra với việc gia cố tế bào sinh học tương thích cao bằng công nghệ nano siêu phân tử nướu lợi sát khít bám chặt vào cổ Abutment tạo ra khoảng liên kết sinh học vững chắc ngăn ngừa không cho thực ăn và vi khuẩn có cơ hội xâm nhập xuống vùng chân implant.

Như vậy có thể thấy DCT hoàn toàn vượt trội hơn so với công nghệ phục hình thông thường cả về thiết kế trụ Abutment, thiết kế răng sứ trên Implant. Điều này giúp tạo độ phồng cho lợi, giúp răng thẩm mỹ hơn, không gặp tình trạng tam giác đen gây giắt thức ăn.

Sự kiện sẽ diễn ra vào ngày 15/4/2023 tại Nha khoa Lạc Việt Intech. Xin trân trọng kính mời quý khách hàng tới tham dự sự kiện để có cơ hội gặp gỡ, trao đổi và thăm khám trực tiếp bởi các chuyên gia. Quý khách hàng có thể liên hệ tới đường dây nóng 096.192.0606 - 19006421 của Nha khoa Lạc Việt Intech để được giải đáp các thắc mắc liên quan tới phương pháp trồng răng implant. 

Nguồn báo Dantri: https://dantri.com.vn/suc-khoe/cong-nghe-phuc-hinh-rang-su-tren-implant-dct-sap-co-mat-tai-viet-nam-20230410091242001.htm

Tin không thể bỏ lỡ

Khối Nghỉ Hè "Sâu Răng" Đổ Bộ Nha Khoa Lạc Việt Intech
Ngày 22/06, Nha khoa Lạc Việt Intech đồng loạt tổ chức chương trình chăm sóc răng miệng miễn phí cho hàng trăm em nhỏ tại 4 cơ sở Hà Nội. Các bé được bác sĩ khám kỹ, điều trị nhẹ nhàng và nhận quà học tập dễ thương – mang lại trải nghiệm nha khoa tích cực, giúp bố mẹ yên tâm hơn về sức khỏe răng miệng của con trong dịp hè.
Bác sĩ Lạc Việt Intech góp mặt tại Hội nghị Nha khoa Trẻ em Quốc tế VAPD 2025
Hai bác sĩ Lạc Việt Intech tham gia hỗ trợ phiên dịch tại Hội nghị Nha khoa Trẻ em Quốc tế VAPD 2025, góp phần kết nối tri thức quốc tế và cập nhật xu hướng điều trị hiện đại trong lĩnh vực nha khoa trẻ em.
Nha Khoa Lạc Việt Intech & Neo Biotech Chính Thức Ký Kết Hợp Tác Chiến Lược
Ngày 28/05/2025, Nha khoa Lạc Việt Intech và Neo Biotech đã chính thức ký kết hợp tác chiến lược, đánh dấu cột mốc mới trong mối quan hệ gắn bó giữa hai đơn vị đã đồng hành cùng nhau trong nhiều năm qua.
Nha Khoa Lạc Việt Intech Hướng Dẫn Các Bé British Vietnamese International School Hanoi Chăm Sóc Răng Miệng
Nha Khoa Lạc Việt Intech đã có dịp đồng hành cùng các bé tại British Vietnamese International School Hanoi trong một chương trình chăm sóc răng miệng vô cùng ý nghĩa diễn ra vào ngày 03/04 vừa qua. Đây là hoạt động thiết thực nhằm nâng cao nhận thức và hình thành thói quen vệ sinh răng miệng khoa học cho các em ngay từ khi còn nhỏ.
Lạc Việt InTech lọt TOP 10 Thương hiệu uy tín quốc gia 2024
Nha khoa Lạc Việt Intech vô cùng tự hào khi lọt Top 10 Thương hiệu uy tín quốc gia 2024, Giải thưởng Nha khoa Lạc Việt Intech là minh chứng khẳng định uy tín của đơn vị dẫn đầu chất lượng điều trị
Nha Khoa Lạc Việt Intech Lọt Top 50 Doanh Nghiệp Xuất Sắc Toàn Cầu
Tại sự kiện Thương hiệu xuất sắc toàn cầu 2024 ở Hà Nội, Nha khoa Lạc Việt Intech tự hào là đơn vị nha khoa Việt Nam duy nhất lọt Top 50 thương hiệu toàn cầu.

Bài viết này có hữu ích không?

Chưa có bài đánh giá.

Những bài viết đang được nhiều người quan tâm

Tin cùng chủ đề

Tại sao răng sứ Zirconia 3D Pro Multilayer hiệu quả trong phục hình implant?
VTV.vn - Hiện nay, công nghệ phục hình DCT sử dụng răng sứ Zirconia 3D Pro Multilayer và trụ phục hình cá nhân hóa đang được giới chuyên môn và khách hàng đánh giá rất cao.
Ưu điểm vượt trội của công nghệ phục hình răng sứ trên implant DCT
Trồng răng implant DCT là giải pháp ăn nhai bền vững cho người mất răng, đảm bảo từ phẫu thuật an toàn nhẹ nhàng đến trụ phục hình và răng sứ trên implant bền chắc, thẫm mỹ.
Công nghệ phục hình răng sứ trên implant DCT
(Dân Trí) - Công nghệ phục hình răng sứ trên implant DCT tái thiết lại mô lợi theo 3 chiều không gian, nhờ thiết lập trụ Abutment cá nhân hóa và răng sứ được tiện nguyên khối
Lạc Việt Intech đồng hành “Chăm sóc sức khỏe răng miệng người cao tuổi”
Nhằm phụng sự sức khỏe cộng đồng, Nha khoa Lạc Việt Intech đã kết hợp cùng hội người cao tuổi tại thành phố Hà Nội và Hải Phòng, tổ chức sự kiện “Chăm sóc sức khỏe răng miệng người cao tuổi”.
VTV.VN đưa tin: X-MATRIX - Công nghệ mới nhất giúp lột xác nhờ niềng răng
Sự tính toán chính xác được phát triển dựa trên nền tảng phức hợp bộ 3 công nghệ: Smile Stream, Web Ceph và Auto Lign mang đến trải nghiệm dễ chịu, niềng răng không đau đối với bệnh nhân. Công nghệ này cũng được báo VTV.VN đưa tin
X-MATRIX - Công nghệ niềng răng vượt trội so với các công nghệ khác
Cùng với sự phát triển của khoa học – công nghệ, trí tuệ nhân tạo dần được áp dụng vào mọi ngành nghề, chỉnh nha cũng không ngoại lệ. Thời gian gần đây, công nghệ niềng răng mắc cài X-Matrix của nha khoa Lạc Việt Intech được biết đến là bước đột phá của ngành chỉnh nha và đã được Đài truyền hình VTV đưa tin trong chương trình “Sống khỏe mỗi ngày”.

Đăng ký tư vấn

Vui lòng để lại thông tin và nhu cầu của Quý Khách để được tư vấn

Đặt lịch hẹn Messenger Liên hệ Zalo Địa chỉ