Niềng răng thưa bao nhiêu tiền? Cập nhật bảng giá mới nhất 2023

Quản trị viên
23/08/2024

Tại sao nên niềng răng thưa?

Trước khi tìm hiểu về chi phí niềng răng thưa, bạn cần hiểu rõ lí do tại sao cần niềng răng thưa và những hệ lụy nghiêm trọng mà tình trạng này gây nên nếu không xử lý kịp thời. 

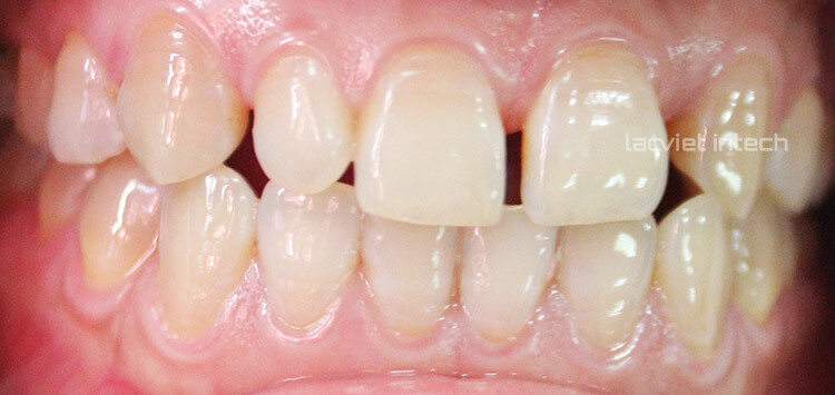
Răng thưa tức là giữa các răng có một khoảng trống lớn, nguyên nhân có thể là do cơ địa hoặc do mất răng hoặc do chính thoải quen vệ sinh răng miệng không đúng cách như: sử dụng tăm xỉa… Là sai lệch phổ biến tưởng chừng đơn giản, tuy nhiên răng thưa lại có không ít ảnh hưởng đến cuộc sống hằng ngày, cụ thể như: 

  • Làm mất thẩm mỹ khuôn miệng, cấu trúc gương mặt
  • Thiếu tự tin khi giao tiếp, trò chuyện hằng ngày 
  • Sai lệch khớp cắn, tổn thương xương hàm, ảnh hưởng đến việc ăn nhai hằng ngày 
  • Răng thưa là một trong những nguyên nhân gây rụng răng sớm hơn so với những người có hàm răng đều và khít
  • Khi gặp phải tình trạng răng thưa, việc ăn uống hằng ngày sẽ thường xuyên bị thức ăn dắt vào kẽ răng, hình thành các mảng bám và các bệnh lý răng miệng như: viêm nha chu, sâu răng…. 

null

Niềng răng thưa giải pháp giúp răng khít hơn

Hiện nay, có nhiều phương pháp khắc phục răng thưa như trám răng thưa, bọc răng sứ, tuy nhiên, niềng răng vẫn được xem là lựa chọn tối ưu mang lại kết quả bền vững nhất. Kỹ thuật niềng răng thưa sẽ kéo các răng về gần nhau hơn, đúng theo vị trí trên cung hàm. Từ đó, bạn sẽ có một khớp cắn chuẩn, hạn chế được các bệnh lý về răng miệng, cũng như tự tin hơn trong giao tiếp hàng ngày.

Lạc Việt Intech mách bạn một số lợi ích điển hình để giải quyết tình trạng răng thưa và từ đó bạn định hình được mức giá tiền niềng răng thưa:

  • Giúp bạn thuận lợi trong việc ăn uống, sinh hoạt hàng ngày
  • Giúp bạn sở hữu hàm răng se khít để tự tin hơn trong quá trình giao tiếp hàng ngày
  • Giúp bệnh nhân khi phát âm chuẩn hơn vì khi giọng nói phát ra còn người quyết định từ môi, lưỡi quan trọng hơn nữa là hàm, răng
  • Niềng răng thưa giúp bạn có nụ cười đẹp và rạng ngời hơn.
  • Niềng răng thưa giúp bạn rút gọn khoảng cách giữa các răng, khi ăn xong không còn thức ăn bám vào kẽ răng

null

Răng về gần nhau hơn, đúng theo vị trí trên cung hàm nhờ niềng răng thưa

Niềng răng thưa 2 hàm giá bao nhiêu tiền?

Niềng răng thưa mất bao nhiêu tiền? Đây là những băn khoăn thường gặp của rất nhiều khách hàng khi gặp phải tình trạng răng thưa. Thực tế, niềng răng thưa giá bao nhiêu sẽ phụ thuộc vào rất nhiều yếu tố, ví dụ như: 

  • Mức độ sai lệch trên răng 
  • Tình trạng bệnh lý răng miệng của khách hàng
  • Phương pháp chỉnh nha mà khách hàng lựa chọn
  • Công nghệ niềng răng được áp dụng
  • Kế hoạch điều trị của nha sĩ 
  • Kết cấu xương cứng hay mềm
  • …. 

null

Răng thưa làm ảnh hưởng đến việc ăn uống và giao tiếp hàng ngày

Dựa trên những tiêu chí đó mà bảng giá niềng răng thưa sẽ có những sự chênh lệch nhất định. Dưới đây là chi phí niềng răng thưa của từng phương pháp được áp dụng tại nha khoa Lạc Việt Intech, quý khách hàng có thể tham khảo:

➪ Giá niềng răng thưa bằng mắc cài kim loại

Đây là phương pháp niềng răng phổ biến và có mức giá rẻ nhất hiện nay. Nha sĩ sẽ sử dụng bộ khí cụ bao gồm mắc cài và dây cung để gắn lên răng, từ đó tạo lực siết trong từng giai đoạn nhất định, giúp siết răng lại gần, lấp đầy khoảng cách răng thưa. 

Ưu điểm: 

  • Giá thành rẻ, chỉ từ 20 triệu đồng
  • Quá trình chỉnh nha diễn ra liên tục, hiệu quả tối ưu
  • Mắc cài kim loại chắc chắn, không dễ bị bung

Hạn chế: 

  • Mắc cài bị lộ ra ngoài, tính thẩm mỹ kém
  • Cảm giác vướng víu ban đầu làm quen với mắc cài

 

null

Giải pháp niềng răng thưa bằng phương pháp niềng răng mắc cài kim loại

Bảng giá niềng răng mắc cài kim loại

Gói dịch vụ Loại khí cụ sử dụng Chỉ định điều trị Giá gốc Giá ưu đãi trả thẳng Giá ưu đãi trả góp 50%
Mắc cài kim loại buộc chun tiêu chuẩn - Mắc cài Mỹ, Nhật
- Dây cung NI - TI kích hoạt nhiệt tự trình HA.
- Hệ thống cố định dây cung Ligature
- Hệ thống khí cụ đóng khoảng kích hoạt biến nhiệt Multiloop
Mọi loại sai lệch: Hô, móm, khấp khểnh, thưa,... và mọi độ tuổi. 34.000.000 27.200.000 30.600.000
Mắc cài kim loại tự động - Mắc cài kim loại tự động Mỹ hoặc Nhật.
- Dây cung NI - TI kích hoạt nhiệt tự trình HA.
- Hệ thống cố định dây cung bằng khóa titanium nguyên khối.
- Hệ thống khí cụ đóng khoảng kích hoạt biền nhiệt Multiloop.
Mọi loại sai lệch: Hô, móm, khấp khểnh, thưa,... và mọi độ tuổi. 39.000.000 31.200.000 35.100.000

➪ Chi phí niềng răng thưa bằng mắc cài sứ

Tương tự với niềng răng mắc cài, niềng răng mắc cài sứ cũng sử dụng bộ khí cụ và dây dung, tuy nhiên, phần mắc cài được làm bằng sứ, giúp vừa đảm bảo hiệu quả trong chỉnh nha, vừa mang lại tính thẩm mỹ cao. 

Ưu điểm: 

  • Mức giá trung bình từ 40 – 50 triệu 
  • Chất liệu mắc cài làm bằng sứ an toàn với người dùng 
  • Tính thẩm mỹ cao nhờ màu mắc cài đồng nhất với màu răng 

Hạn chế: 

  • Chi phí cao hơn so với mắc cài kim loại
  • Vật liệu sứ dễ vỡ, bong mắc cài hơn so với mắc cài kim loại 

null

Niềng răng mắc cài sứ cải thiện hàm răng thưa hiệu quả

Bảng giá niềng răng mắc cài kim loại

Gói dịch vụ Loại khí cụ sử dụng Chỉ định điều trị Giá gốc Giá ưu đãi trả thẳng Giá ưu đãi trả góp 50%
Mắc cài kim loại buộc chun tiêu chuẩn - Mắc cài Mỹ, Nhật
- Dây cung NI - TI kích hoạt nhiệt tự trình HA.
- Hệ thống cố định dây cung Ligature
- Hệ thống khí cụ đóng khoảng kích hoạt biến nhiệt Multiloop
Mọi loại sai lệch: Hô, móm, khấp khểnh, thưa,... và mọi độ tuổi. 34.000.000 27.200.000 30.600.000
Mắc cài kim loại tự động - Mắc cài kim loại tự động Mỹ hoặc Nhật.
- Dây cung NI - TI kích hoạt nhiệt tự trình HA.
- Hệ thống cố định dây cung bằng khóa titanium nguyên khối.
- Hệ thống khí cụ đóng khoảng kích hoạt biền nhiệt Multiloop.
Mọi loại sai lệch: Hô, móm, khấp khểnh, thưa,... và mọi độ tuổi. 39.000.000 31.200.000 35.100.000

. Giá niềng răng mặt trong/lưỡi 

Niềng răng mặt lưỡi là một trong những bước đột phá trong niềng răng mắc cài. Khi thực hiện phương pháp này, toàn bộ khí cụ chỉnh nha, mắc cài sẽ được gắn vào mặt thân răng phía trong, mang lại tính thẩm mỹ cao cho người sử dụng. 

Ưu điểm: 

  • Chi phí từ 30 – 50 triệu đồng 
  • Không bị lộ mắc cài nên đảm bảo thẩm mỹ cao 
  • Hiệu quả tốt trong việc khắc phục các sai lệch, trong đó có tình trạng răng thưa 

Hạn chế: 

  • Khó khăn khi chỉnh nha định kỳ và vệ sinh răng miệng
  • Cảm giác vướng víu, dễ tổn thương lưỡi nếu không cẩn thận

null

Hàm răng se khít nhờ giải pháp niềng răng mặt trong

Bảng giá niềng răng mặt trong

LOẠI NIỀNG RĂNG XUẤT XỨ CƠ CHẾ ĐIỀU TRỊ GIÁ NIÊM YẾT GIÁ KHUYẾN MẠI (TT TRẢ THẲNG) GIÁ KHUYẾN MẠI (TT TRẢ GÓP)
Mắc cài mặt lưỡi 3D CLB Hàn Quốc Buộc chun cổ điển 66.900.000 đ 50.200.000 đ 53.500.000
Mắc cài mặt lưỡi 3D DTC Mỹ Tự động khóa Smart 80.900.000 đ 52.600.000 đ 55.700.000
Mắc cài mặt lưỡi cá nhân 3D Incognito Mỹ Tự buộc cá nhân hóa 103.000.000 đ 77.300.000 đ 82.400.000

➪ Chi phí niềng răng thưa bằng khay niềng trong suốt Invisalign 

Niềng răng Invisalign mang đến nhiều ưu điểm vượt trội về tính hiệu quả, an toàn, thẩm mỹ… khi sử dụng các khay niềng được làm bằng vật liệu nhựa trong suốt để nắn chỉnh răng. Invisalign sẽ chỉ cần từ 10 – 16 tháng để kéo gần các khoảng khe thưa trên răng.

Ưu điểm: 

  • Tĩnh thẩm mỹ cao nhất so với các phương pháp khác 
  • An toàn, rút ngắn thời gian chỉnh nha
  • Thuận tiện sử dụng, dễ dàng tháo lắp khi ăn uống 

Hạn chế: 

  • Chi phí cao, dao động từ 50 – 120 triệu đồng 
  • Đòi hỏi công nghệ hiện đại, tay nghề bác sĩ cao

null

Khay niềng răng trong suốt nhiều khách hàng lựa chọn cải thiện tình trạng răng thưa

Bảng giá niềng răng trong suốt Invisalign

MỨC ĐỘ KHÓ SỐ LƯỢNG CẶP KHAY GIÁ NIÊM YẾT GIÁ KHUYẾN MẠI
Ca Express Từ 7 cặp trở xuống 66.9 triệu 60,2 triệu
Ca Lite Từ 14 cặp trở xuống 97.9 triệu 68,5 triệu
Ca Moderate Từ 26 cặp trở xuống 128.8 triệu 77,3 triệu
Ca Comprehensive Không giới hạn số khay 149.4 triệu 89,6 triệu
Ca Comprehensive kết hợp với khí cụ phức tạp Không giới hạn số khay 159,7 triệu 95,8 triệu

Lưu ý:

  • Giá trên đã bao gồm chi phí nhổ răng để niềng răng, chi phí hàm duy trì sau niềng răng, chi phí chụp phim đo sọ để chẩn đoán và lập kế hoạch khi niềng răng.
  • Giá niềng răng một hàm bằng 2/3 tổng giá và không áp dụng các chương trình khuyến mãi cho trường hợp niềng răng một hàm.

Ngoài ra, bạn có thể tham khảo các chương trình ưu đãi dành cho lĩnh vực niềng răng của Lạc Việt Intech.

null

Kết quả niềng răng thưa tốt nhờ trang thiết bị + cơ sở vật chất đầy đủ

Nếu bạn muốn biết biết chính xác trường hợp giá niềng răng thưa cụ thể là bao nhiêu, hãy đến trực tiếp nha khoa để thăm khám. Tại đây, dựa trên các dữ liệu chụp X-quang, scan toàn hàm… nha sĩ sẽ có những phân tích và đưa ra câu trả lời chính xác nhất. 

Và điều quan trọng nhất, đó là bạn nên lựa chọn các phòng khám nha khoa uy tín để quá trình chỉnh nha được an toàn, đạt hiệu quả sau niềng cao nhất và tránh tiền mất tật mang.

Chi phí niềng răng thưa 1 hàm 

Giá niềng răng thưa 1 hàm trên hoặc hàm dưới sẽ bằng 2/3 tổng giá niêm yết và KHÔNG ÁP DỤNG chương trình khuyến mãi đối với trường hợp niềng răng 1 hàm. 

Đặc biệt, đối với phương pháp niềng răng Invisalign, bạn sẽ phải chi trả mức giá niềng răng 1 hàm tương đương với khi niềng cả 2 hàm. Bởi phương pháp niềng răng Invisalign vẫn phải sản xuất đầy đủ theo 1 bộ khay nên sẽ không giảm bớt chi phí. 

Ngoài ra, để biết được trường hợp của bạn có thể niềng răng 1 hàm hay không thì bạn sẽ cần phải đến nha khoa để được bác sĩ thăm khám, chụp phim CT. Sau đó, bác sĩ mới có thể đưa ra kế hoạch điều trị chi tiết nhất.

Niềng răng thưa công nghệ X-Matrix tại Lạc Việt Intech

Mỗi năm, nha khoa Lạc Việt Intech nhận được hơn 1000 ca khách hàng, trong đó bệnh nhận niềng răng thưa chiếm đến 65%. Để giúp khách hàng có thể trải nghiệm quy trình niềng răng một cách hiệu quả, an toàn với mức chi phí phù hợp nhất, Lạc Việt Intech tiên phong ứng dụng công nghệ niềng răng X-Matrix với nhiều ưu điểm vượt trội như: 

  • Khách hàng có thể xem trước kết quả chỉnh nha trước khi điều trị  
  • Hỗ trợ bác sĩ lên kế hoạch điều trị chính xác, xác định vị trí gắn mắc cài bằng công nghệ 
  • Hạn chế tình trạng nhổ răng khi niềng, kiểm soát các bệnh lý răng miệng 
  • Loại bỏ 99% nguy cơ tái phát sau niềng 
  • Giúp dàn đều răng, thiết kế nụ cười, thay đổi gương mặt cân đối 

100% khách hàng niềng răng thưa tại nha khoa Lạc Việt Intech đều đánh giá cao quy trình niềng răng chuẩn y khoa được áp dụng tại đây. Ngoài ra, bạn sẽ được trải nghiệm những dịch vụ tốt nhất, được chăm sóc bởi đội ngũ chuyên gia hàng đầu, sử dụng các thiết bị, máy móc hiện đại. Nha khoa Lạc Việt Intech cũng thường xuyên áp dụng những ưu đãi hấp dẫn giúp bạn giảm bớt áp lực chi phí khi niềng răng. 

Hy vọng những thông tin trên đã giúp bạn giải đáp niềng răng thưa mất bao nhiêu tiền. Nếu có bất kỳ thắc mắc nào, quý khách hàng có thể liên hệ trực tiếp qua hotline để được tư vấn và hỗ trợ!

 
Chia sẻ

Tin cùng chủ đề

Đăng ký tư vấn

Vui lòng để lại thông tin và nhu cầu của Quý Khách để được tư vấn

Đối tác của Nha khoa lạc việt intech

Osstem Implant
Osstem Implant
test
test1
Đặt lịch hẹn Messenger Liên hệ Zalo Địa chỉ